Fig. 1

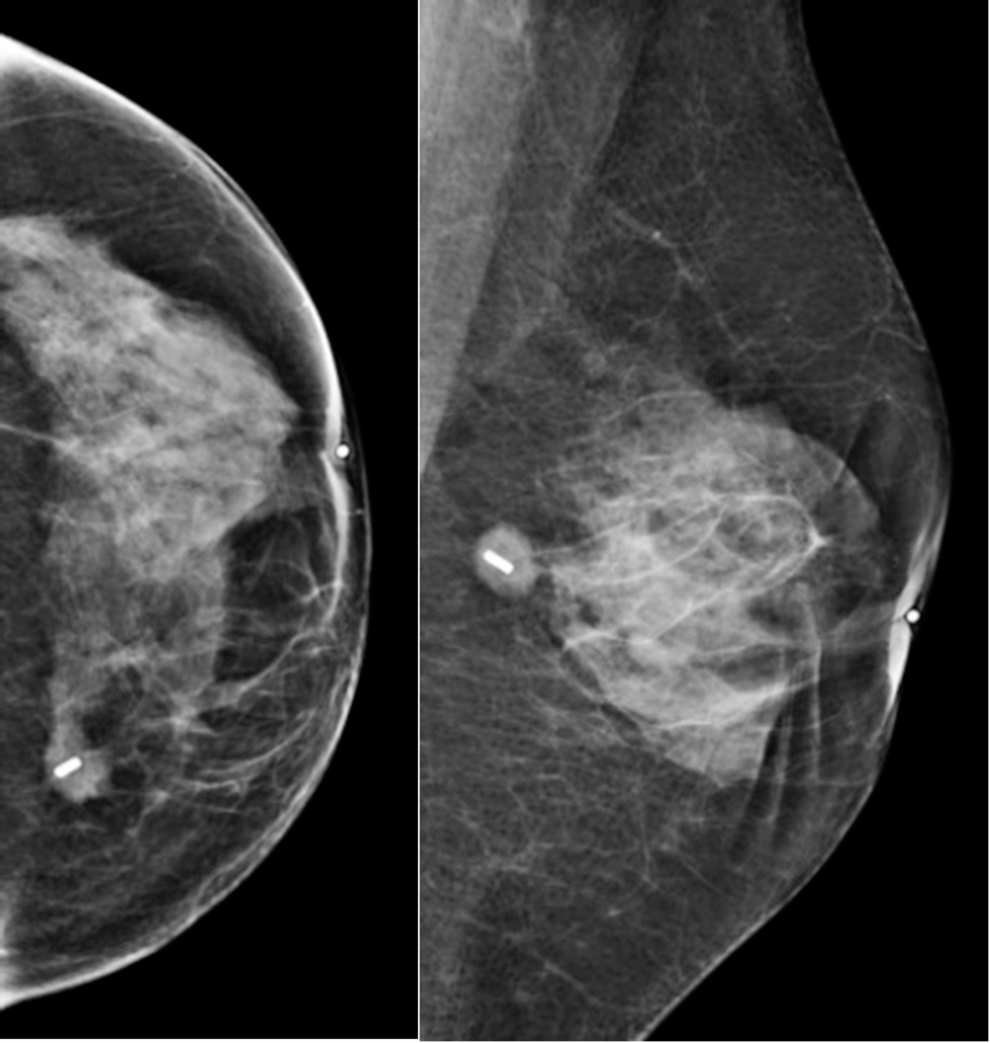
Pre-operative mammographic control of the magnetic marker. Sub clinical centimetric tumor at the union of the inner quadrants of the left breast, corresponding to a ductal invasive carcinoma, luminal A, without adenopathy.

Pre-operative mammographic control of the magnetic marker. Sub clinical centimetric tumor at the union of the inner quadrants of the left breast, corresponding to a ductal invasive carcinoma, luminal A, without adenopathy.