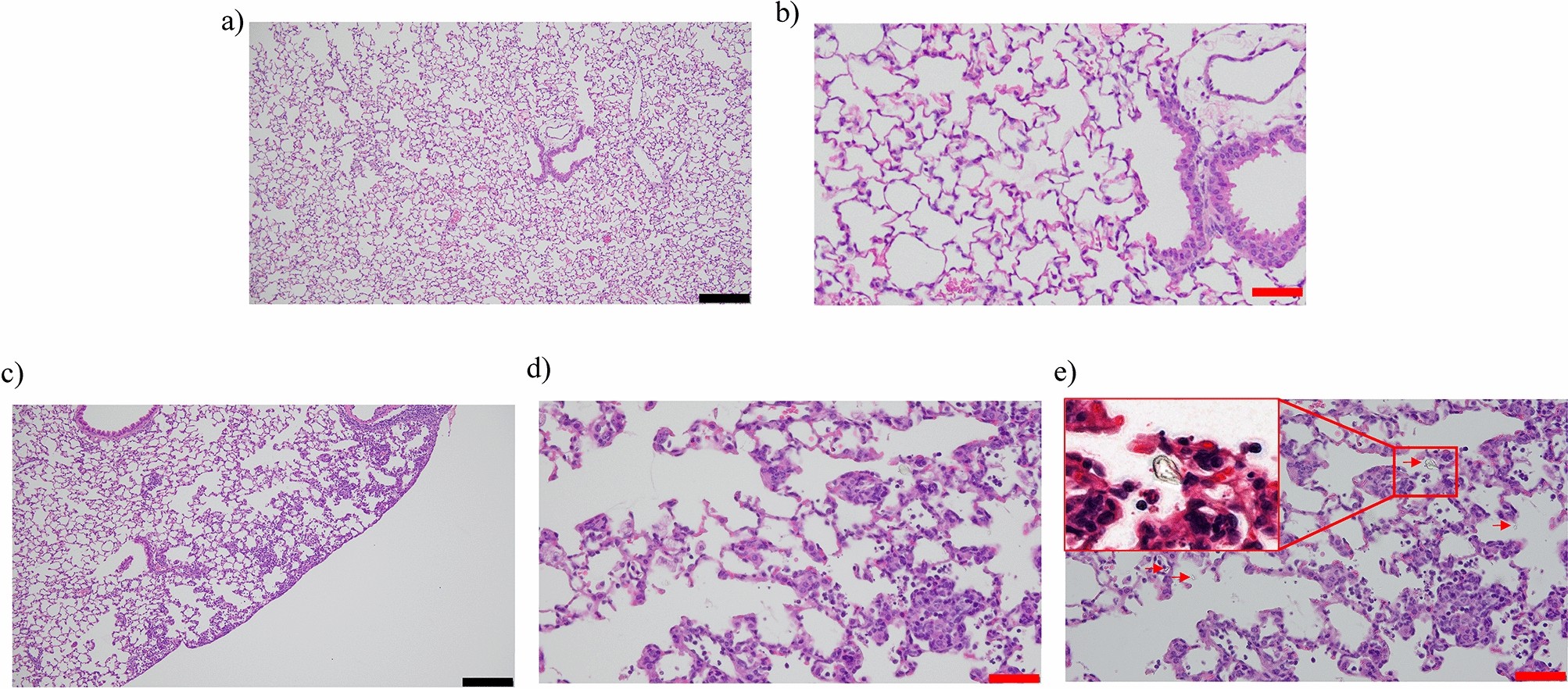
Fig. 5

Histopathological examinations of the mice lungs in the four-week repeat-dose toxicity assay. Microscopy examinations of mouse lungs after 4 weeks of repeated exposure to PET-MPs. (a) Normal lung tissue structure from the control group under low magnification, showing intact alveolar spaces and terminal bronchioles without any signs of inflammation or cellular infiltration. (b) High magnification of normal lung tissue from the control group, highlighting well-organized alveolar spaces and the absence of granulomatous inflammation or particle infiltration. (c) Lung tissue from the PET-MP-treated showing granulomatous inflammation with infiltration of mononuclear cells and lymphocytes in the terminal bronchioles and alveolar spaces. (d) Granulomatous region under higher magnification showing mononuclear cells and lymphocytes clustering around the terminal bronchioles and alveolar spaces and (e) particles presumed to be PET-MPs were observed when the condenser was adjusted. Scale bar: 200 µm (black) and 50 µm (red).