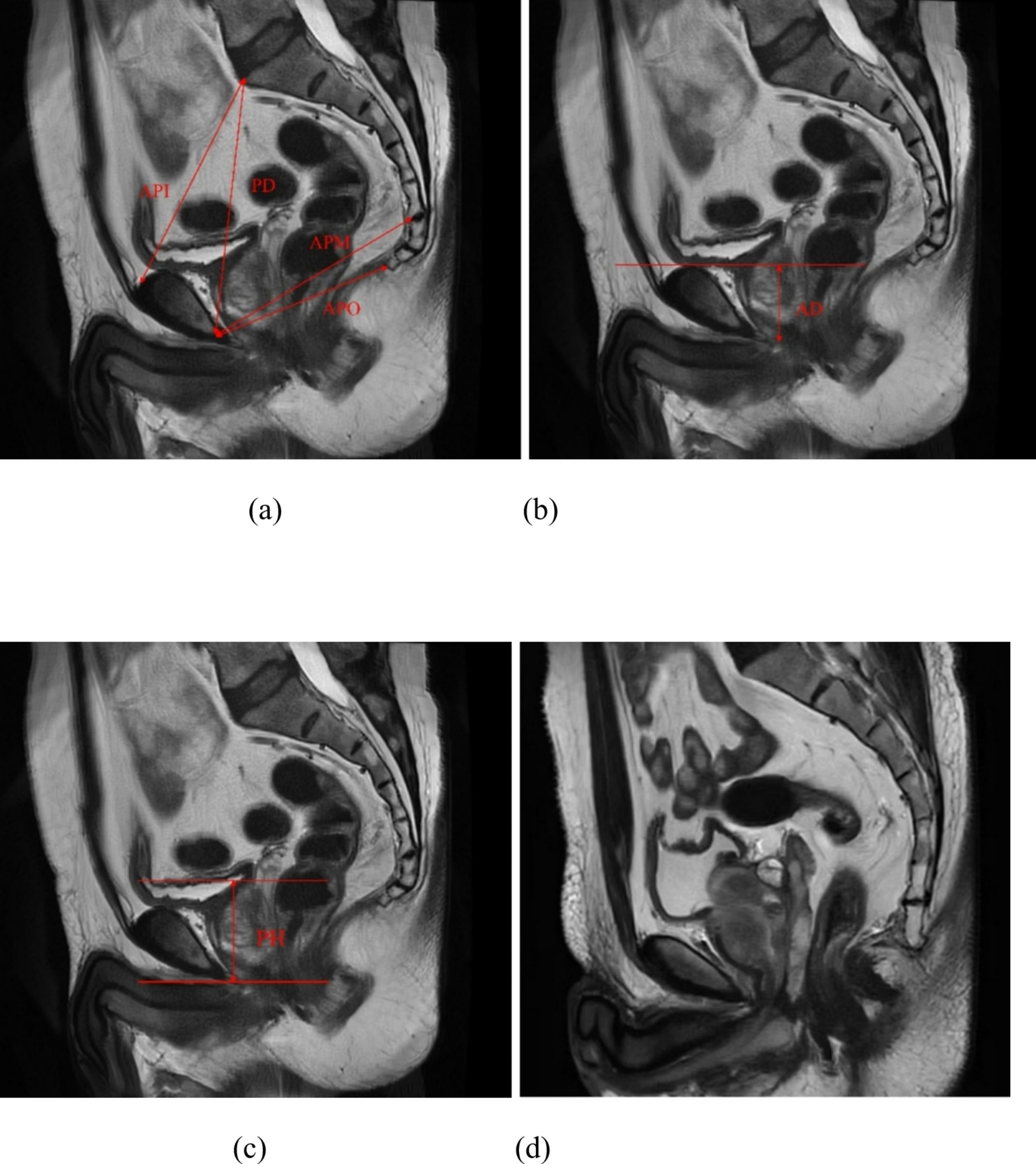
Fig. 2

Sagittal MRI of the pelvis on T2WI. (a) API: anteroposterior distance of the pelvic inlet, the distance from the sacral promontory to the upper edge of the pubic symphysis. APM: anteroposterior distance of the pelvic midplane, the shortest distance from the inferior edge of the pubic symphysis to the sacrococcygeal junction. APO: anteroposterior distance of the pelvic outlet, the distance from the inferior edge of the pubic symphysis to the tip of the coccyx. PD: pelvic depth, the distance from the sacral promontory to the inferior edge of the pubic symphysis. (b) AD: apical depth, the craniocaudal distance from the level of the superior edge of the pubic symphysis to the level of the prostate apex. (c) PH: prostate height, the craniocaudal distance from the level of the superior edge of the prostate to the level of the prostate apex. (d) Presence of median lobe.