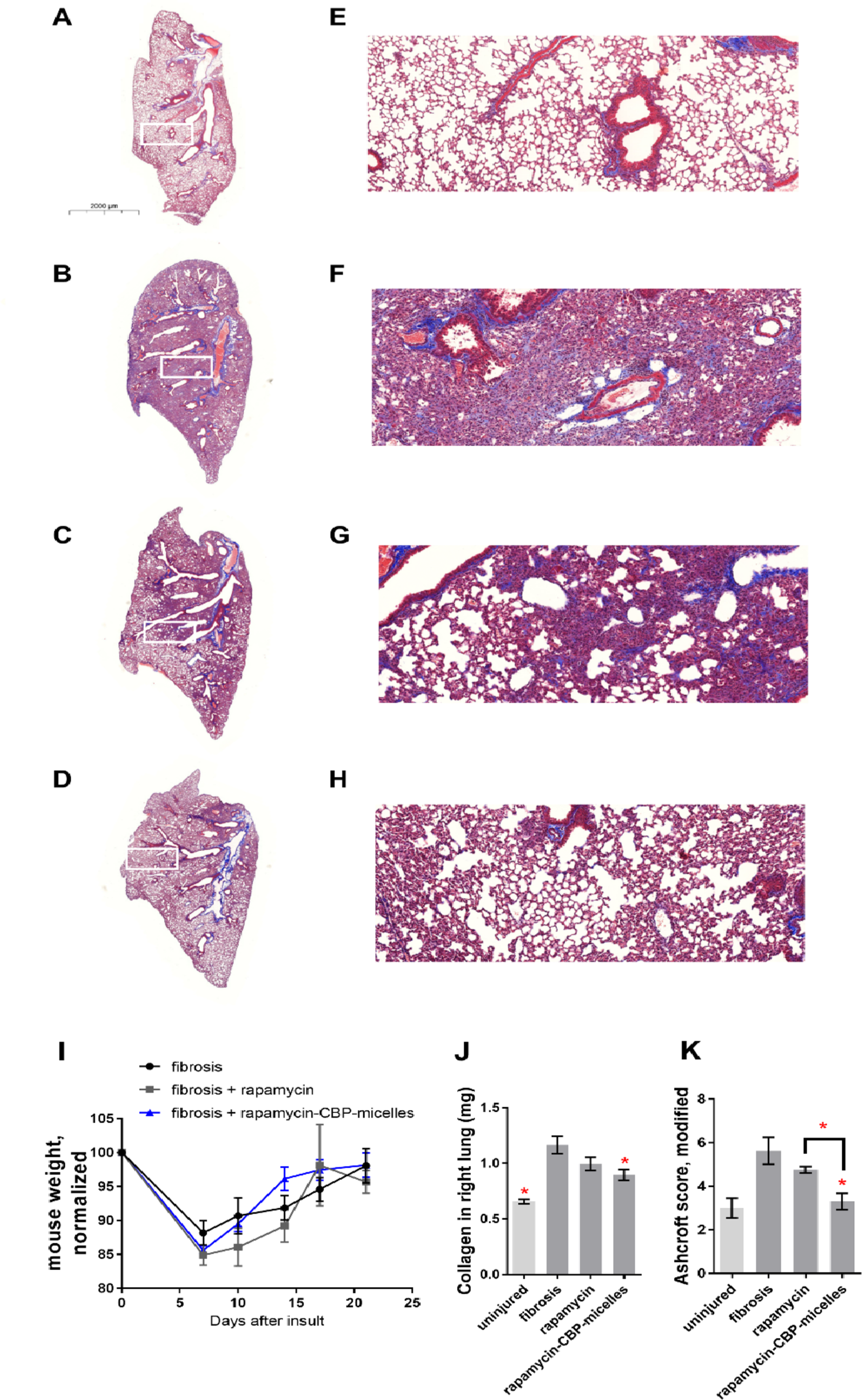
Fig. 5

Rapamycin and rapamycin-CBP-micelle treatments rescue the fibrotic damage in a mouse model of lung fibrosis. Lungs were insulted with 75 µg bleomycin and 1 week later mice were left untreated (B, F) or injected i.v. with 3 mg/kg of free rapamycin (C, G) or rapamycin-CBP-micelles (D, H) on days 7, 9, 11, 13, 15, 17 and 19. Healthy lungs (A, E) were imaged for reference. Insets are pictured and the size bar is 2000 microns. (I) Mouse weights after bleomycin insult and treatment. (J) Collagen content from the right, multi-lobed lung assessed by hydroxyproline assay. (K) Blinded Ashcroft scoring. N = 7 for untreated fibrosis, N = 4 for rapamycin-treated fibrosis, and N = 6 for rapamycin-CBP-micelles treated fibrosis. * = statistical significance of P < 0.05, significance vs. fibrotic lungs calculated by 2-way ANOVA (with Fisher’s LSD post-test). Comparison between rapamycin and rapamycin-CBP micelles is Student’s t-test. Error bars are SEM.