Fig. 2
From: Prognostic factors in pediatrics TAPVC: a 10-year retrospective study

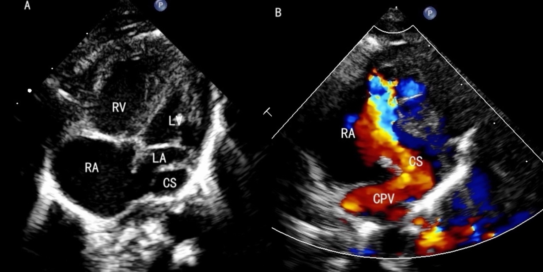
The echocardiography of cardiac TAPVC. (A) The CS is dilated behind the small LA. (B) The CPV drains into the CS.
From: Prognostic factors in pediatrics TAPVC: a 10-year retrospective study

The echocardiography of cardiac TAPVC. (A) The CS is dilated behind the small LA. (B) The CPV drains into the CS.