Fig. 3
From: Prognostic factors in pediatrics TAPVC: a 10-year retrospective study

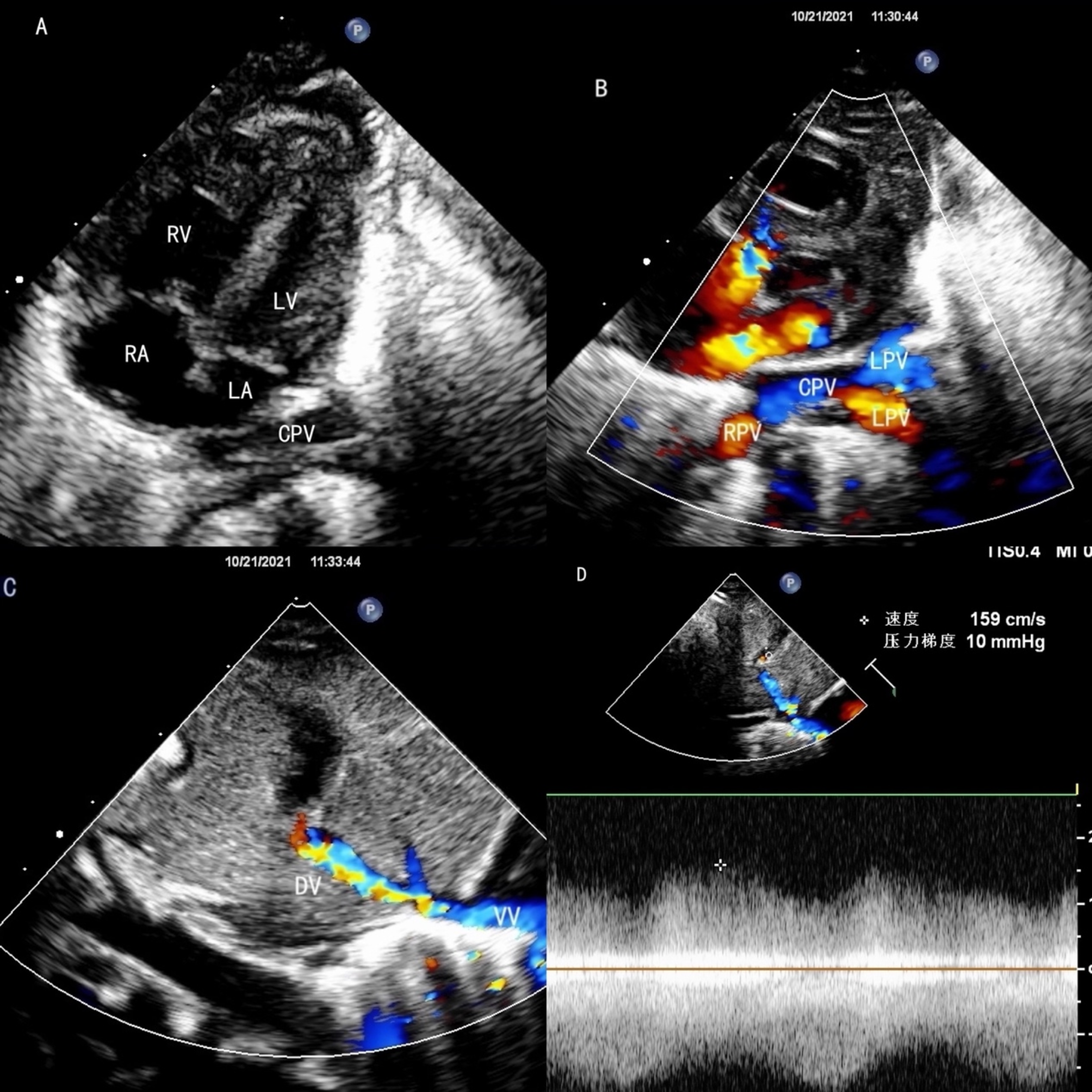
The echocardiography of infracardiac TAPVC. (A) The left heart is small, the posterior wall of the LA is smooth, and the CPV is behind the LA. (B) The pulmonary veins drain into the CPV. (C) The vertical vein goes down then drains into duct vein, the color doppler shows turbulent flow at the drainage site. (D) A non-phasic flow was detected at the drainage site.