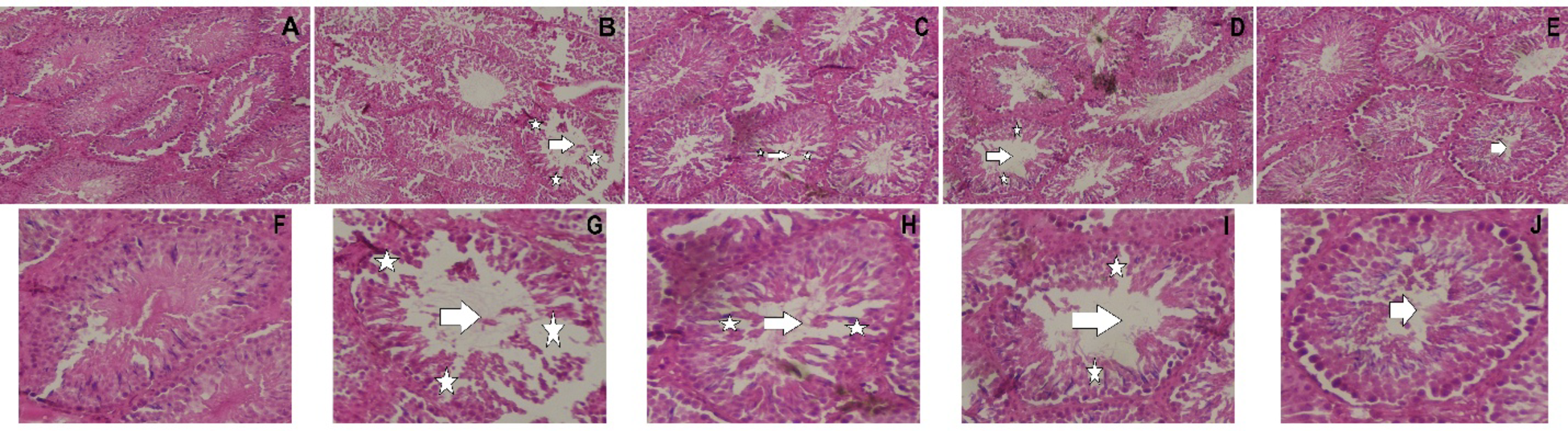
Fig. 3

Fisetin and quercetin mitigate testicular damage induced by torsion/detorsion (T/D). Images (A–E) are magnified at 100x with a scale bar of 65 μm, while images (F–J) are magnified at 400x with a scale bar of 20 μm. The structure of testicular tissue was compared among the following experimental groups: (A, F) Control, (B, G) T/D, (C, H) Fisetin + T/D, (D, I) Quercetin + T/D, and (E, J) Fisetin + Quercetin + T/D. In the control group (A, F), germ cells were well-organized in columnar arrangements, with thick walls in the convoluted seminiferous tubules and a high density of sperm within the tubular lumens. White arrows indicate reduced sperm density in the lumen of the seminiferous tubules, particularly in the T/D group (B, G) and the treatment groups: Fisetin + T/D (C, H), Quercetin + T/D (D, I), and Fisetin + Quercetin + T/D (E, J). Asterisks highlight the disorganization and disruption of the germinal epithelium across different groups, with the most severe alterations observed in the T/D group (B, G), followed by the treatment groups: Fisetin + T/D (C, H), Quercetin + T/D (D, I), and Fisetin + Quercetin + T/D (E, J).