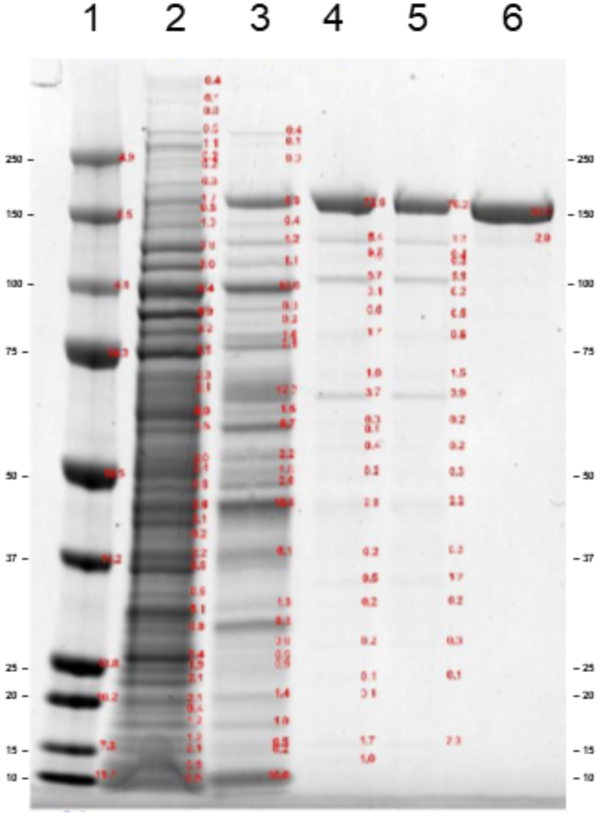
Fig. 1
From: Accelerated vaccine process development by orthogonal protein characterization

SDS-PAGE sample analysis to monitor progressive increase in antigen purity during downstream purification for the ancestral spike antigen production. Lane 1 molecular weight markers; Lane 2 crude fermenter supernatant; Lane 3 post-CaptoMMC chromatography; Lane 4 post-Hypercel chromatography Lane 5 Mustang Q; and Lane 6 TFF concentrated purified drug substance. Red overlay numbers indicate relative (%) of band intensity per lane from densitometry analysis.