Fig. 8

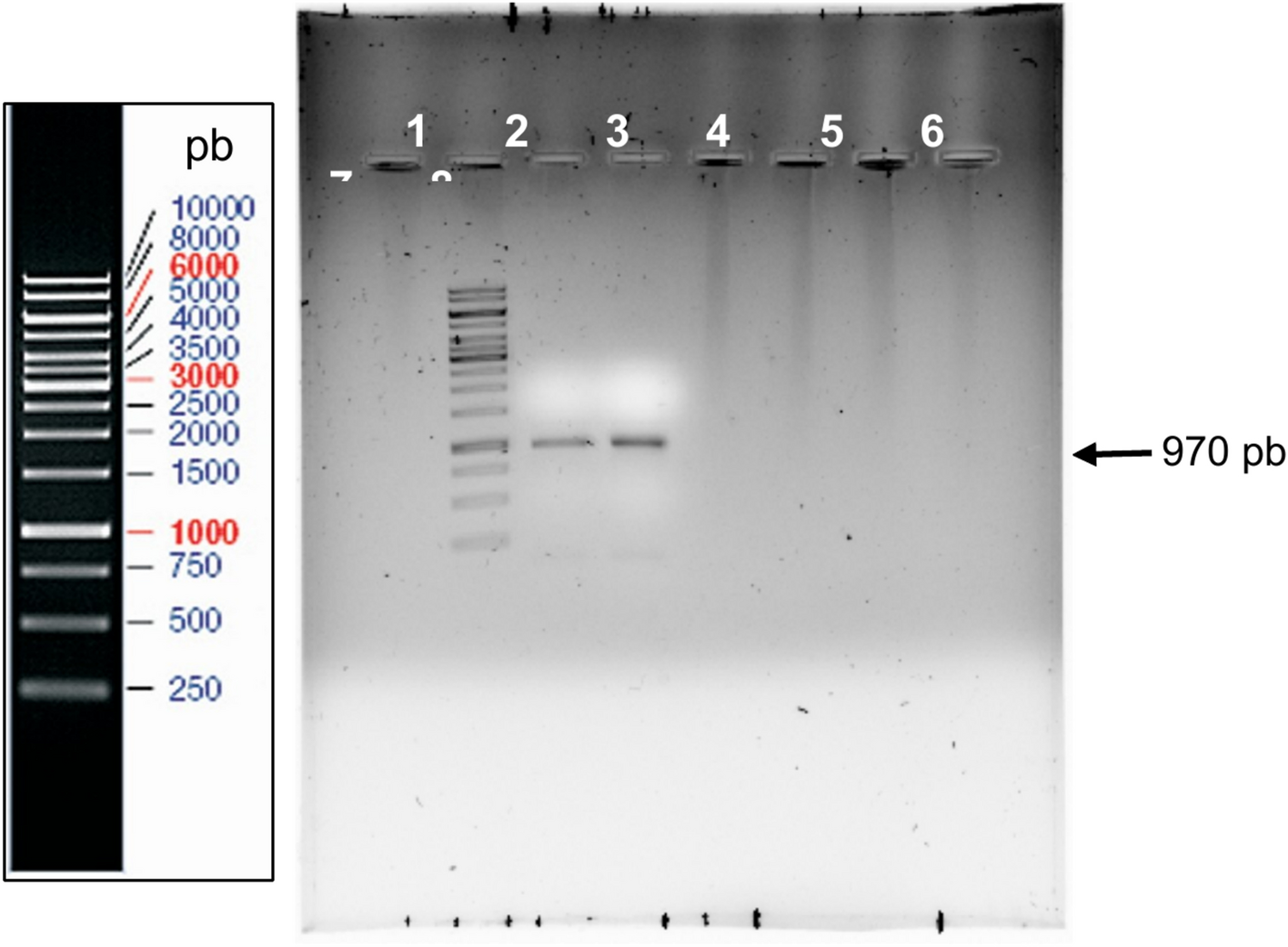
Agarose gel electrophoresis (1.0%) of PCR products. Lanes 1,5,6,7 and 8 empties. Lane 2: Molecular Weight Marker (MWM)1 Kb (Gene Ruler Fermentas®); Lanes 3 and 4: Amplified product (970 bp) (detection of the aio AB gene).

Agarose gel electrophoresis (1.0%) of PCR products. Lanes 1,5,6,7 and 8 empties. Lane 2: Molecular Weight Marker (MWM)1 Kb (Gene Ruler Fermentas®); Lanes 3 and 4: Amplified product (970 bp) (detection of the aio AB gene).