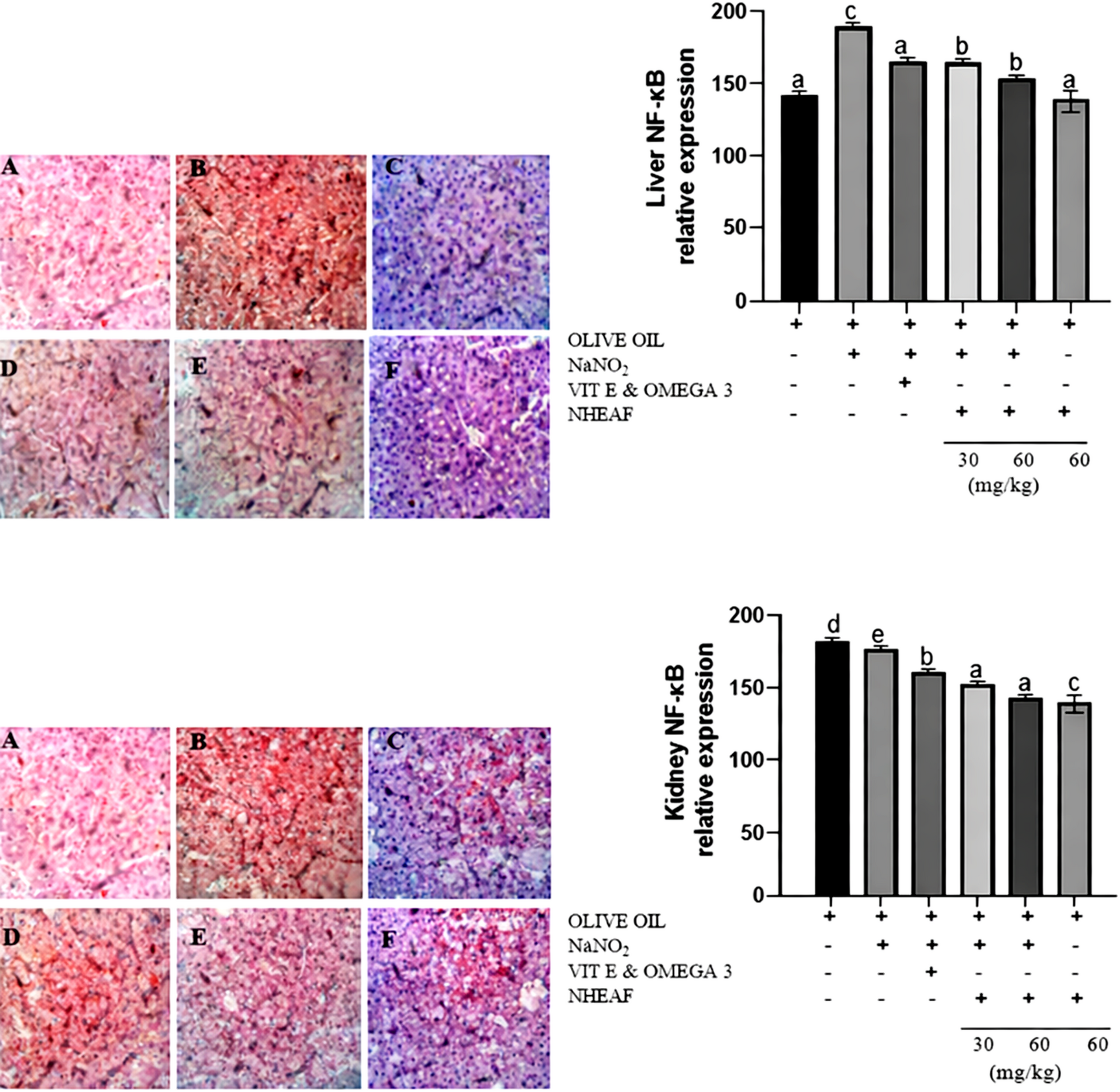
Fig. 15

Effects of NHEAF on Liver and Kidney NF-κB relative expression. Bars represent mean ± SEM (n = 5). Bars with different letters are significantly different at p < 0.05. Where A = control (olive oil), B = NaNO2, C = NaNO2 (Vitamin E 100 mg/kg bwt and Omega-3 essential fatty acid (72 mg Eicosapentaenoic acid (EPA) + 48 mg Docosahexaenoic acid (DHA)/kg bwt)), D = NaNO2 + 30 mg/kg bwt NHEAF, E = NaNO2 + 60 mg/kg bwt NHEAF and F = 60 mg/kg bwt NHEAF.