Abstract
Rodent-borne cestodes of the genus Raillietina include several poorly characterized species with potential zoonotic relevance, yet their molecular identity, host–parasite interactions, and susceptibility to alternative anthelmintic agents remain inadequately understood. Here, we present an integrated morphological, ultrastructural, molecular, immunopathological, and experimental evaluation of Raillietina hymenolepidoides naturally infecting the fat sand rat (Psammomys obesus) in Egypt. Adult cestodes were identified using light microscopy, scanning electron microscopy, and mitochondrial cytochrome c oxidase subunit I (COI) sequencing, confirming species identity and revealing close phylogenetic affinity to Raillietina mahnerti. Histopathological analysis of infected hosts demonstrated severe intestinal epithelial degeneration, necrosis, and Peyer’s patch hyperplasia, accompanied by pulmonary emphysematous changes. Immunohistochemical profiling revealed increased CD56⁺ natural killer cell infiltration alongside reduced CD68⁺ macrophage and TGF-β expression, indicating altered local immune regulation during chronic infection. In parallel, the in vitro anthelmintic activity of Androctonus crassicauda crude venom was assessed against adult cestodes, revealing time-dependent tegumental disruption, microtriche erosion, proglottid detachment, and parasite death, as visualized by scanning electron microscopy. Collectively, these findings provide the first comprehensive molecular confirmation of R. hymenolepidoides in P. obesus in Egypt and demonstrate the pronounced in vitro cestocidal effects of scorpion venom. The study highlights the value of integrative parasitological approaches and supports further investigation of venom-derived compounds as potential leads for novel anthelmintic development.
Introduction
Residents of low- and middle-income nations are disproportionately affected by rodent-borne helmet teeth, which are neglected infections. Various genera of cestode parasites can use rodents as intermediate hosts and spread the infection to humans and other animals1. Transmissible parasitic illnesses, which are usually common within tropical and subtropical locations, may affect about 25% of the global populace2. Within tropical and subtropical there are major worries about human and veterinary health since certain rat cestodes are zoonotic and can parasitize both humans and animals3. Some of the hymenolepidid species of rodents are of health interest since they are zoonotic and can cause severe diseases in immunosuppressed individuals4. There are hundreds of species known to exist in the complex genus Raillietina of cestodes that inhabit a variety of vertebrate hosts. In humans, it may result in infrequent, unintentional infections. Additionally, the only group of the Davaineidae family reported to blight humankind is represented by the genus Raillietina. As such, this family is largely unknown to the medical parasitological community5, Five genera of uncommonly encountered zoonotic cyclophyllidea (Bertiella, Dipylidium, Raillietina, Inermicapsifer and Mesocestoides) may cause patent intestinal infections in humans worldwide5. Although the recognized zoonotic kinds are linked to gnawer and bird hosts, the majority of knowledge regarding the development of Raillietina spp. is from experimental studies of poultry-infecting species (namely Raillietina cesticillus, Raillietina echinobothrida and Raillietina tetragona)6, Although most species of Raillietina infect definitive hosts in birds, the three reported zoonotic species (R. celebensis, R. demerariensis, and R. siriraji) are naturally are rodents’ natural parasites, not birds’. Peridomestic rats (Rattus norvegicus and R. rattus) and certain various murid rodents from Southeast Asia are the main hosts of R. celebensis and R. siriraji. Numerous Neotropical rodents and sporadically monkeys have been reported to harbor R. demerariensis5.
Raillietina spp. are potentially zoonotic or even capable, R. celebensis has been recovered from children in southeastern Africa, Australia, Iran, Japan, Mauritius, Philippines, Taiwan, Thailand6,7,8 R. demerariensis is a neotropical species that has been found in human infections in Cuba, Ecuador, Guyana, and Honduras. Many of the species of these tapeworms that infect humans have a dubious taxonomic status5, they can be misidentified as Inermicapsifer madagascariensis5.
Although the precise identity of the intermediate hosts for the zoonotic Raillietina spp. is mysterious, more than a few ant kinds, land scuttles (family Carabidae), Scarabaeus scuttles (family Scarabaeidae), and darkling scuttles (family Tenebrionidae) serve as intermediate hosts for other Raillietina spp.9.
Accordingly, the availability of infective stages in a highly contaminated habitat enhances the chance for rodents and accidental (humans) hosts to be infected10. To date, Raillietina has been identified as a cosmopolitan parasite of small rodents. Since there aren’t many published studies on Raillietina spp. that are linked with mammals, conclusions drawn from species that relate to rats should be regarded as preliminary. Whether R. hymenolepidoides, which was discovered from rodents, is zoonotic or even able to infect mammalian hosts—and vice versa—is unknown. The phylogenetic tree of Raillietina sp. (P. obesus) worldwide had not been studied before, Nevertheless, the morphological characteristics of Raillietina spp., showed a wide range of variations within and between species, difficult to identify by morphology11. Many molecular techniques (RAPD-PCR, RFLP, SSCP & LSSP) clarified knowledge of genus Raillietina. Some DNA regions (internal transcribed spacer (ITS) gene, Cytochrome C oxidase (CO1) and nicotinamide adenine dinucleo-tide dehydrogenase subunit 1 (ND1) gene identified worms among kinds. Helminthic identification was aided using molecular techniques in conjunction with morphological analysis12,13.
P. obesus is found in North Africa, ranging from Mauritania to Egypt and Sudan, and east across the Arabian Peninsula14,15. One of the most common mammals in the world, the fat sand rat (P. obesus) is a member of the gerbil subfamily16. Even when fed, they maintain their leanness. It is considered a significant annoyance. Moreover, it can host the parasite that causes leishmaniasis in humans due to Leishmania DNA that has been discovered in this rodent using molecular studies17. They are recognized as the primary reservoir hosts of Bartonella sp. and Babesia sp.18, Trypanosoma and Leishmania major19 and occasionally of Leishmania arabica20.
Three types of intestinal parasitic infection were recorded in sand rats, Trichuris muris, from Sinai Peninsula, Egypt21. Raillietina trapezoids and Hymenolepis nana from breeding colony in Tunisia22.,23. Trichuris arvicolae from saline marsh areas (navigations) in the western part of North Coast, Egypt24. The genus scorpion is found in Western and Central Asia as well as Africa. Numerous subspecies are recognized by this genus, which is constantly being revised. Triple enzymatic functions—pseudocalasic, peroxydasic, and superoxide-dismutasic—are induced by scorpion hemocyanins25. In addition to permitting efficacious remedies against poisoning, advancements in purification, separation techniques, and labeling procedures have led to the identification of multiple medicinally useful biomolecules from scorpion poison. Scorpion stings are regarded as significant authenticity and therapeutic topics worldwide. Accordingly, scorpion venom might not only pose a risk to human health but also serve as a significant source of beneficial compounds that could prevent diseases in the future26. The A. crassicauda Crude Venom (ACCV) was first demonstrated experimentally contrast Echinococcus granulosus protoscolices by27,28, claiming that it possesses strong anthelminthic properties. According to24, T. arvicolae isolated from P. obesus underwent notable ultrastructural surface alterations because of ACCV.
This study was planned to evaluate the state of morphology, ultrastructure and to characterize the cestode molecularly with their immunological and histopathological effects on their host and to investigate the influence of venom on R. hymenolepidoides by SEM.
Material and method
Scorpion venom preparation and collection
Following previously published guidelines, the scorpions were collected, and their venoms were extracted and diluted27,28. They showed that venom was collected by electrical stimulation (20 V) in the articulation of the telson. The venom drops were purified and gathered in an Eppendorf tube and centrifuged at 14,000 rpm at 4 °C for 15 min. The supernatant was pooled, freeze-dried, and stored at − 20 °C. The lyophilized samples were dissolved in distilled water and centrifuged at 15,000 rpm for 15 min at 4 °C.
Animals
Thirty obese sand mice (P. obesus) were taken from salty swamp regions on Egypt’s North Coast for the current investigation. Mice were harbored in crates and reserved in chamber heat with ordinary 12 h bright/ dusky rotation. Mice were provided with their herbs and water during the trial, and after acclimatization, animals were humanely euthanized under deep anesthesia induced by inhalational isoflurane (5% for induction in an induction chamber), followed by confirmation of death via cervical dislocation, in accordance with the American Veterinary Medical Association (AVMA) Guidelines for the Euthanasia of Animals (2020). This study is reported in accordance with the ARRIVE guidelines for reporting animal research.
Parasitological examination
For each rat, the intestine was opened and placed in physiological saline in a Petri dish for macroscopic examination and parasitic study. Isolated cestode was taken from the small intestine; washed in saline solution (0.9% NaCl in DW); flattened and preserved in 2% acetic acid, 3% formaldehyde, and 95% ethanol29 and kept individually for morphological study. Then, worms were stained with acetic acid alum, dehydrated in an ethanol series, cleared with methyl salicylate and mounted in Canada balsam30. Some worms were preserved in 70% alcohol for molecular analysis, and the remaining of the worms were employed to investigate the structure of R. hymenolepidoides and parasiticidal impact of venom utilizing SEM.
Assessment of scorpion venom’s in vitro anthelmintic effectiveness
The trial helminths were categorized into 3 sets within distinct petri dishes (n = 6) and cultured in Hanks’ saline at 37 ± 1 °C in a brooder, whereas groups I, II, and III of parasites were exposed to 100 µg/mL of ACCV at 30 min, 60 min and 90 min, respectively. SEM was used to study the structure of fresh R. hymenolepidoides and the impact of ACCV on the external morphology of worms. After the palsy, specimens were promptly taken from each group, namely the venom-treated and the fresh, and subsequently processed for SEM using normal procedures. After 4–12 h of fixation in 3% glutaraldehyde, the samples were washed in 0.1-M cacodylate buffer at pH 7.4. The samples were critical point dried in tetramethylsilane, dehydrated in increasing acetone grades, and then sputter-coated with gold. Observations were made using Jeol JSM–6360 SEM31.
Histopathological observation
Small pieces of the small intestine and lung were fixed in 10% neutral buffered formalin for 24 h. After fixation, tissue samples were routinely processed for conventional hematoxylin and eosin staining; according to32.
Immunohistochemical examination
Immunohistochemistry staining technique had been performed on the paraffin fixed tissue of small intestine as described by33. After being deparaffinized with xylene and hydrated with a decreasing grade of ethanol, the paraffin sections were rinsed with 1 milliliter of PBS. Antigen retrieval was performed using 1 mML sodium citrate buffer solution (pH 6) for 10 min, then allowed to cool for 30 min before being rinsed with PBS (pH 7.4) to demask the antigen epitopes. Afterwards, using 3% H₂O₂ in H₂O for 25 min inhibits the endogenous peroxidase efficiency. at the room temperature (RT) was performed. After that, the sectors were gridlocked for two hours at RT using 10% ordinary goat serum + 0.2% Triton-X100/PBS. The sections were incubated overnight at 4 °C with the following antibodies: transforming growth factor beta (TGF β, rabbit monoclonal 1:50, 1-TR059-07, Quartett), mouse anti-CD68 (GFAP, mouse monoclonal 1:100, MC0084, Medaysis), and neural cell adhesion molecule (CD 56 mouse monoclonal 1:500, FCMAB199P, Millipore). Sections were rinsed (3 times 10 min) in PBS and incubated with biotinylated IgG goat anti-rabbit secondary antibody (Dako, 123 Hamburg, Germany) diluted at 1:250 for 2 h at RT, followed by incubation with 124 Vectastain ABC (Avidin-Biotin complex) reagent for 45 min in a humid chamber at 125 room temperature. DAB was used to visualize the response for five to ten minutes, and Harris hematoxylin was used as a counterstain.
Molecular analysis
DNA extraction
Genomic DNA from individual worms was extracted using the QIAamp Tissue Kit (Qiagen) for purification of DNA from worms according to the manufacturer’s protocol, then eluted in 200 µl Tris EDTA (TE) buffer. The quality of the genomic DNA was detected using 1.5% agarose gel electrophoresis stained with ethidium bromide (10 µg/ml)34 and OD260 was determined by Nanodrop.
Amplification
PCR was performed in a 25 µl volume of solution containing 12.5 µl Emerald Amp GT PCR master mix, 1 µl of primer F, 1 µl of primer R (10pmoles), 5 µl of template DNA (100 ng) and completed with nuclease free water to reach the required volume. The PCR reaction was performed in a thermocycler (Biometra) using the following cycling protocol: initial denaturation at 94º C for 5 min. and then 35 cycles of 94º C for 30 s, 54 °C for 40 s, and 72º C for 1 min. Final extension was carried out at 72º C for 10 min. Amplified products from the PCR were electrophoresed on 1.5% agarose gels stained with ethidium bromide. A 100 bp ladder (Jena Bioscince, GmbH, Germany) was loaded in each gel then photographed under UV light with a gel documentation system. DNA sequences of the forward primer NC5 (5′- CGCGAATRGCTCATTACAACAGC − 3′) and reverse primer NC2 (5′- GGGCGGTATCTGATCGCC − 3′).
Sequences analysis
PCR products were purified using QIAquick PCR Product extraction kit. (Qiagen, Valencia). Bigdye Terminator V3.1 cycle sequencing kit (PerkinElmer) was used for the sequence reaction and then it was purified using Centrisep spin column. DNA sequences were obtained by Applied Biosystems3130 genetic analyzer (HITACHI, Japan), a BLAST® analysis (Basic Local Alignment Search Tool)35 was initially performed to establish sequence identity to GenBank accessions. The phylogenetic tree was created by the MegAlign module of Laser gene DNA Star version 12.136 and Phylogenetic analyses were done using maximum likelihood, neighbour joining and maximum parsimony in MEGA637.
Results
Parasitological examination
The whole prevalence of R. hymenolepidoides of fat sand mice was 86.6%. Here, we detail the morphology of R. hymenolepidoides based on specimens in naturally infected P. obesus. The structure of R. hymenolepidoides, the gastrointestinal tapeworm of the sand rats (P. obesus), was studied using light, scanning electron microscopy and molecular approaches.
Grossly examination
This species of Raillietina were found and the predilection site for these cestodes was the first-third of the small intestine (Fig. 1a). The cestode R. hymenolepidoides is a whitish, soft-bodied helminth (Fig. 1b).
Morphology of Raillietina hymenolepidoides
Light and scanning electron micrographs showed that the parasite possessed the classic tapeworm body contour composed of a succession of ribbon-like body segments, was extensively elongated, entirely covered with a tegument, and dorsoventrally flattened. The body was broad at the posterior region, gradually narrowing toward the anterior end, and terminated at the anterior into a pin head-sized scolex. The body is very thin and fragile, consisting of proglottids. Proglottids craspedote, always wider than long; detached gravid proglottids may be almost spherical (Fig. 1c).
The scolex was unambiguously a round, distended and bulbous anterior end of the body, very small, well-delineated from neck, the scolex exhibited a globular design and bore two conspicuous structural components, namely suckers (= acetabula) and rostellum, which are the holdfasts of the worm to the mucosa of the host’s intestine (Fig. 2A).
Suckers rounded muscular, armed with 4–5 dense rows of hooklets, there were four suckers, which were rather evenly spaced from one another, thus located radially around the equatorial sphere of the scolex. The rim of the sucker shows a mass of fine microtriches in the upper region and rows of pointed spines in the lower region. The rostellar opening reveals two layers of mattock-shaped hooks along the rim, each layer consisting of rows of hooks, and the bottom left corner showing dense microtriches that fill up the hollow rostellum. The suckers surrounded at the center of the scolex an apical mouth-like opening called rostellum and slightly smaller than the suckers them-selves. The apical rostellum was distinctly an invaginated, depressed and hollow structure. the rostellum was circularly, muscular, armed with a double row of small typical davaineid hooks. Rostellar opening surfaces have scale-like spines. Rostellar sac absent (Fig. 2B, C).
The scolex was followed by a body segment-forming portion termed the neck, which was a short and unsegmented region, and a lavishly segmented body called the strobila. The strobila was highly elongated consisting of a long series body segments called the proglottids. The size of the proglottids steadily increased from the region succeeding the neck toward the posterior end of the strobila. The entire body covering of the body is named the tegument, strobili surface has pores. Genital pores unilateral, situated slightly anteriorly to mid-length of lateral proglottis margin (Fig. 2D).
Photograph and photomicrograph showing: (A) Heavy cestode infection which blockage the intestinal lumen, (B) numerous isolated adult cestode, note that the cestode is a whitish, soft-bodied helminth and (C) long ribbon of adult cestoda beginning from scolex to different proglottids, stained by (acetic acid alum X 100).
SEM of adult R. hymenolepidoides showing (A) scolex, suckers and neck region, (B) high power of (A), (C) the suckers surrounded at the center of the scolex an apical mouth-like opening called rostellum and slightly smaller than the suckers themselves. The apical rostellum was distinctly an invaginated, depressed and hollow structure. The rostellum was circular, muscular, armed with double rows of small typical davaineid hooks. Rostellar opening surfaces have scale-like spines, note that the rim of the sucker showing a mass of fine microtriches in the upper region and rows of pointed spines in the lower region (arrow) and (D) mature proglottids (star) which have unilateral genital atrium.
The phylogenetic analysis
The species name refers to the overall similarity of the strobilar anatomy of this species to that of cestodes of the family Hymenolepididae.
forest birds in Malaysia (Selangor): R. hymenolepidoides sp. nov. (Davaineidae).
Four members of the genus Raillietina (R. hymenolipidoides, R. mahnerti, R. australis, Raillietina sonini) were characterised by their mitochondrial cytochrome c oxidase subunit I (COI) gene sequences and their genetic relationships were compared with those derived from the cytochrome c oxidase subunit I sequence data. This sequence data may prove useful in studies of the systematic and population genetic structure of the Davaineidae.
The nucleotide sequences of the COI gene in R. hymenolipidoides individuals were deposited in GenBank with accession numbers (ON228189, ON228190 and ON228191). PCR products of this region were consisted of 500 bp (Fig. 3).
The level of genetic distance (Divergence) in the COI between Raillietina species is shown in Table 1. The table shows a genetic distance of 8.9 between R. mahnerti and R. hymenolipidoides, 16.4 between R. australis and R. hymenolipidoides, and 18.9 between R. sonini and R. hymenolipidoides.
Alignment of the COI (Fig. 4) revealed that sequences of our strain were mostly identical to R. mahnerti previously described in from Malaysian birds with accession number (MN590291) (high value of bootstrap (100%)., while low identity with R. australis (bootstrap 72%). Our phylogenetic analysis using Maximum Parsimony method distinguishes two major clades (Fig. 5): clade (A) comprises Davaineidae, and clade (B) constitutes outgroup (Taeniadae, Phyllobothriidae and Diphyllobothriidae families as sister Taxa). Family Davaineidae, clustered into 2 subclades (1) the first subclade where our strain was clustered with R. mahnerti isolated from Malaysia, (2) the second subclade including R. australis. Notably that R. sonini arising from independent clade with outgroup families, so there is no identity between R. sonini and R. hymenolepidoides.
PCR products (~ 500 bp fragment) of COI gene amplified by universal primers pair from Egyptian R. hymenolipidoides, and 1000 bp DNA Ladder Marker. (L. ladder, N.negative, Ppositive, 1, 2, and 3 triplicate of R. hymenolipidoides).
Nucleotides multiple alignment of COI gene sequences of Egyptian Raillietina. Colored columns represent identical nucleotide sequences between aligned isolates.
Rooted phylogenetic tree among Egyptian Raillietina sp., Echinococcus sp., Dipylidium sp., Taenia sp. based on cytochrome c oxidase subunit I (COI) gene using Maximum Parsimony method. the red circle is the diagnosed strain: R. hymenolipidoides from examined sand rats in upper Egypt.
Histopathological examination
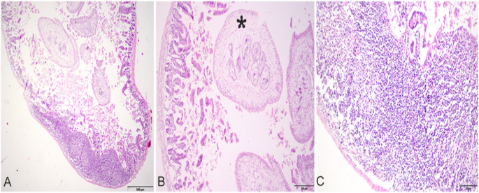
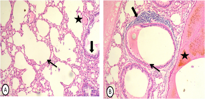
As revealed by hematoxylin and eosin staining, different parts of worms present in the lumen of small intestine with hyperplasia of Payer patches, severe degeneration in the villi of the intestine, with massive necrosis of epithelium and lymphocytic infiltration (Fig. 6A–C). Also, pathological findings of lungs of infected rats revealed Emphysema, bronchial lymphoid cell reaction, severe congestion in blood vessels and marked degeneration in bronchial epithelium (Fig. 7A, B).
Photomicrographs of sections small intestine from naturally infected rats with R. hymenolipidoides: showing (A) different parts of worms present in the lumen of small intestine, (B) Mature proglottide (star) of R. hymenolipidoide, note massive necrosis in the epithelium villi of small intestine (C) hyperplasia of Payer patches (H&E X400).
Photomicrographs of sections of lung from naturally infected rats with R. hymenolipidoides: showing (A) Emphysema (permanent enlargement of the air spaces distal to the terminal bronchioles, and destruction of the alveolar walls) (thin arrow), congestion in blood vessel (star) and degeneration in bronchial epithelium, (B) bronchial lymphoid cell reaction (thick arrow), severe congestion in blood vessels (star) and marked degeneration in bronchial epithelium (thin arrow).
Immunohistochemistry observation
The host protective immune response in the intestine was assessed by immunohistochemistry. The CD 56 positive cells showed an increase in intensity in the parasitized intestine than in normal ones. The positive cells occurred frequently within the epithelium of the intestinal villi and in the glandular epithelium (Fig. 8A-D). Additionally, CD 68, is revealed to have a decrease in staining intensity in the parasitized intestine (Fig. 8E, F). Furthermore, numerous cells showed positive immunoreactivity to TGF-β in the normal intestine. Nevertheless, there are few positive cells within the intestinal villi, around the blood capillaries, and submucosa in the parasitized intestine (Fig. 8G, H).
Immunohistochemical staining of immune cells in the intestine of normal (A,C,E,G) and parasitized (B,D,F,H) intestines. (A–D) Immunoreactivity to CD 56, showing numerous natural killer cells (arrows) within the epithelium of the intestinal villi and the glandular epithelium, which more frequent in parasitized (B,D) than in normal intestine (A,C). (E,F) Immunoreactivity to CD 68, showing strong positive macrophages (short arrows) in normal intestine (E) but weak reactive cells in parasitized one (F). (G,H) Immunoreactivity to TGF-β, showing numerous positive cells (wavy arrows) in normal intestine (G). few positive cells within the intestinal villi, around the blood capillaries and submucosa in parasitized intestine (H).
In vitro study
SEM observations of adult R. hymenolepidoides treated with 100 µg/mL of scorpion crude venom revealed time-dependent tegumental alterations.
After 30 min of exposure, the scolex maintained a normal appearance (Fig. 9A). However, initial signs of toxicity were evident as mild breaks and disorganization in the striations of both immature and mature proglottids (Fig. 9B, C).
At 60 min, more pronounced degenerative changes were observed. The tegument of the scolex and neck regions exhibited general shrinkage. Both suckers and the rostellum appeared distorted, characterized by surface wrinkling and erosion of the microtriches (Fig. 9D). This period also marked significant tegumental breaches and severe disorganization of the proglottids, where the transverse segment borders were entirely obscured by irregular creases (Fig. 9E, F).
By 90 min, the anthelmintic effect reached its peak. The tegumental surface developed deep perforations and extensive longitudinal/transverse breaks, leading to detachment between individual proglottids (Fig. 9G, H). The entire body appeared severely crumpled and contracted, suggesting massive destruction of both the tegumental and underlying muscle layers. Final stages of tegumental digestion and complete loss of surface topography were evident (Fig. 9I).
The SEM imaging of adult R. hymenolepidoides, changes at 100 µg/mL conc. At different durations, (A,B,C At 30 min), (D,E,F At 60 min) and (G,H,I At 90 min). (A) Normal scolex appearance. (B) Minor breaks in immature proglottid striations. (C) Disorganization of mature proglottid striations. (D) Rostellum collapse with wrinkled, spineless suckers. (E) Multiple tegumental breaks in proglottids. (F) Severe distortion of tegument and segment borders. (G) Deep tegumental perforations. (H) Advanced tegumental detachment and breakage. (I) Evident digestion of the tegumental surface.
Discussion
Rodents are a highly diverse mammalian group and harbor many zoonotic diseases. According to reports, rats are also hosts to certain human-transmittable bacteria, viruses, nematodes, trematodes, protozoa, and cestodes38.
The current study aimed to investigate the adult cestoda isolated from the small intestine of fat P. obesus which captured, from places of salt marsh (Navigations) of North Coast, Egypt.
Using light and scan microscopes, morphological observations were used to accurately identify cestodes, paying special emphasis to the molecular identity of Raillietina sp. using molecular techniques: PCR which shows this species is R. hymenolepidoides.
However, in previous study39, identified this species as R. trapezoides due to only using light microscope and according to23 found tapeworm R. trapezoides in P. obesus in Tunis, a longitudinal field survey tracked seasonal variations in parasite and host abundance23.
A longitudinal field survey tracked seasonal variations in parasite and host abundance23.
Furthermore40, studied the cestode fauna (Platyhelminthes) of forest birds in Malaysia (Selangor). When 90 birds from 37 species were analyzed, the worldwide cestode prevalence was 15.3%. There are five new taxa described: one of them was R. hymenolepidoides sp. nov. (Davaineidae) and R. mahnerti sp. nov. (Davaineidae) from Chalcophaps indica (Linnaeus, 1758) (Columbidae). These findings corroborate with40 assertion that some morphological criteria confirmed cestode identification.
They described a unilateral posterior genital, an armed rostellum with two rows of hammer-shaped hooks, and ovals to rounded armed suckers.
Moreover41, reported that two genera (Raillietina sp. I, Raillietina sp. II) found in the Nile rat (Arvicanthis niloticus Desmarest), which trapped from different regions of Sudan.
When the tapeworm, R. trapezoides Janicki 1904, was first reported, it was known as Davainea trapezoides, from the Egyptian species “Mus variegatus” (A. niloticus). The species has been identified in dipodid and gerbillid rodents, including Jaculus jaculus, P. obesus, Meriones spp., and Gerbillus spp.22. It is unknown which intermediary host they use23.
African rodents, such as M. musculus and Rhabdomys sp., harbor many species of this genus of Raillietina42. Their intermediate host (s) is unknown however43, reported that mites (Siphonaptera) are their intermediate hosts, hence we must study the rodent diet. The high rate of infection (65%) in rats taken from the Khartoum, an area that is probably home to a higher density of intermediate hosts, may be explained by the theory that the cysticercoids develop in insects, even though the life cycle of the majority of these worms is unknown44. According to45, these insects may consume the same foods as rats or meet their waste.
Comparing studies on different species of Raillietina described in different rodents worldwide, R. hymenolepidoides of our study can be exactly identified for the first time in this species of rodents. We identified one hymenolepid species from sand rats’ small intestines in Egypt. We found that R. hymenolepidoides had prevalence in our study with 26 rats (86.6%) whereby rats exhibited these species for the first time relatively with other studies worldwide. The current results higher than39 who showed prevalence of R. trapezoides in the gastrointestinal tract of 4 rats (12%).
As far as we are aware, this is the first time we have comprehensively assessed the ACCV anthelmintics’ in vitro activity against R. hymenolepidoides.
Antihelimentic effect of A. crassicauda scorpion venom against Raillietina spp. showed breaks in striation of immature proglottids, disorganization of striation in mature proglottide, both the suckers were wrinkled and lost the otherwise smooth contour, marked breaks in the tegument of proglottids of the worms, severe distortion and disorganization of the tegument, the transverse borders of the segments were entirely distorted by irregular crease, the surface of the tegument developed into deep perforations, breaks occurred in the tegument of proglottid leading to their breakage and detachment between proglottid, severe distortion and disorganization of the tegument, and digestion of the tegumental surface. From the previous data, we concluded that ACCV may be powerful. A forgoing study was performed to assess the effectiveness of A. crassicauda scorpion venom (ACCV) against E. granulosus and Fasciola gigantica and T. arvicolae by24,27,28,46 respectively.
27 reported that 100 µg/mL of ACCV, can destroy all E.granulosus protoscolices after 240 min incubation.
According to28, protoscolices that were brooded at 100 µg/mL of ACCV showed a significantly higher expression of caspase-3 than those that were brooded at 50 µg/mL. Additionally, ACCV causes distinct morphological and ultrastructural changes in protoscolices that can be seen by TEM, light, and SEM imaging. These changes include tegumental damage, some regional contraction, rostellum disarray, hook loss, and microtriche shedding in scolex regions.
Additionally, using scanning electron microscopy24, demonstrated that ACCV caused a notable ultrastructural surface alteration in T.arvicolae, including noticeable cuticular sloughing, disintegrated bacillary glands, vulva bursting, and anal edema.
47 showed that in cases of severe and persistent infestation, the intestines displayed variable degrees of degenerative alterations to mucosal sloughing. and inflammatory reaction in areas of mechanical damage by scolices in infected domestic fowl by R. cesticillus. Enteritis, intestinal blockage, and gastrointestinal tract perforation can be caused by high levels of Raillietina. The small intestine is home to adult cestodes48. The availability of food may help to explain this. In cases of severe infection, cestodes were found throughout the intestine, suggesting that competition compelled some of them to settle in less desirable areas.
Moreover, in our study microscopic examination of the small intestine revealed different parts of worms present in the lumen of small intestine with hyperplasia of Payer patches, severe degeneration in the villi of the intestine, with massive necrosis of epithelium and lymphocytic infiltration. These results compatible with39 who found that different parts of R. trapezoides inside the intestinal lumen.
with those of necrotic enteritis. Additionally49, found that necrotic enteritis with diffuse mucosal degradation and mononuclear cell infiltration was present in the intestines of hens infected with Raillietina sp. Moreover50, reported that avian Gallus domesticus infected with Raillietina spp. showed inflammatory swelling surrounding the parasites combined with histopathological changes such as necrosis and degeneration of the muscularis51.
Observed the presence of lymphocytes in the submucosa, while52 found hyperplasia of lymphoid follicles. Similarly, necrotic enteritis with diffuse mucosal degeneration and sloughing, and mononuclear cells infiltrations were observed by49 in domestic chickens which were similar to our observations.
Little is known about the local immune response in the parasitized intestine. Our results demonstrate some proteins which play a significant function in the innate immunity of the intestine. CD 56 is mostly expressed in natural killer cytotoxic lymphocytes and other lymphocyte and monocyte subtypes53. CD 56 natural killer cells are a crucial cell component of the innate immune system54. In the current study CD, 56 positive cells showed an increase in the intensity in the parasitized intestine than in normal. Natural killer cells’ actions contribute to the vigorous inflammatory responses that are associated with severe disease55. Additionally, CD 68, is a protein found in the granules of macrophages56, the intensity of CD 68 immunostaining revealed a decrease in the parasitized intestine. This finding means that there is a decline in the macrophage infiltration in the infected intestine. A possible explanation for this result may be because of the chronic infection. The greatest number of resident macrophages are present in the physiological state of the intestine57. The intestinal inflammation induces the decrease of lamina propria infiltrating CD 68 positive macrophage, which may be through enhancement of macrophage apoptosis58. TGF-β is a cytokine produced by various cells including B and T lymphocytes and activated macrophages. Interestingly, in the present work numerous cells showed positive immunoreactivity to TGF-β in the normal intestine. However, there are few positive cells within the intestinal villi, around the blood capillaries, and submucosa in the parasitized intestine. The cells of the immune system produce the TGF- β cytokine, which exerts anti-inflammatory functions, and is the main regulator of the immune response59. Taken together, the immunohistochemical findings imply that the chronic parasitic infection led to gradual exhaustion in immune response because the parasite penetrates deeply through the alimentary canal epithelium and caused extensive damage. That comes in line with our histopathological results which showed extensive destruction of the intestinal epithelium. The pathogenicity of the intestinal parasite is attributed to two factors: density of the parasitic infestation and depth of worm penetration60.
Also, pathological finding of lungs of infected rats reveled Emphysema, bronchial lymphoid cell reaction, severe congestion in blood vessels and marked degeneration in bronchial epithelium. These results are compatible with61,62, who reported that although a murine-adapted strain of Nippostrongylus brasiliensis larvae are present for only a few hours, infection results in lasting changes to the immunological, physiological and structural architecture of the lungs. Structurally, the initial damage inflicted by the larvae results in focal areas where the respiratory epithelium is destroyed causing the formation of emphysema like lesions61,63. As in emphysema, airspace enlargement is heterogeneous, widespread and progressive62.
As rodents are usually infected with a number of Zoonotic parasites, hence control of these animals has a vital component in safeguarding public health due to parasites represent a major threat for animals, especially in case of direct life cycles.
The genealogical relationship of a group Raillietina spp. is often expressed as a phylogenetic tree. Based on the availability of excellent computer program software for phylogenetic analysis was constructed phylogenetic tree. To clarify the systematics and to reveal the phylogenetic relationships between Raillietina spp in Egypt, fragments of Cytochrome C oxidase (CO1) is herein sequenced and analyzed for genetic variation. This study introduced the CO1 gene sequence as a good marker for phylogenetic analysis of Raillietina spp. in addition to the morphological characters.
Although these variances can be ascribed to variations in climate circumstances, environmental hygiene, prior control interference, occupant socioeconomic status, intermediate host abundance, and host vulnerability to parasite infection, more research should be done to determine the prevalence of cestoda infection in sand rats in various countries.
Conclusion
This study provides a re-description of R. trapezoides molecularly and identifies that it is R. hymenolepidoides. It highlights the significance of molecularly identifying Raillietina species in Egypt. Additionally, this study offered a clear assessment of how black scorpion poison affects these common cestodes. As far as the authors are aware, this is the first study to measure the anthelmintic effects of ACCV on gastrointestinal cestoda. This necessitates additional research to identify the active ingredients by refining the crude venom before applying it in vivo, due to the venomous scorpion A. crassicauda having a very low LD50 value. If this is the case, scorpion venom could be used to assist in managing intestinal helminths in humans and animals as well as to develop a necessary new medication.
Data availability
The datasets generated and/or analysed during the current study are included in this published article and its supplementary information files. DNA sequence data have been deposited in GenBank under accession numbers ON228189, ON228190, and ON228191. Additional raw data are available from the corresponding author upon reasonable request.
References
Bajer, A. et al. Rodents as intermediate hosts of cestode parasites of mammalian carnivores and birds of prey in Poland, with the first data on the life-cycle of Mesocestoides melesi. Parasites vectors. 13, 1–10. https://doi.org/10.1186/s13071-020-3961-2 (2020).
Youssef, A. I. & Uga, S. Review of parasitic zoonoses in Egypt. Trop. Med. health. 42 (1), 3–14. https://doi.org/10.2149/tmh.2013-23 (2014).
Younis, A. E., Saad, A. I., El-Akhal, I. R. M. & Saleh, N. M. K. A parasitological survey of zoonotic cestodes carried by house rats in Aswan, Egypt, reveals cryptic diversity at the molecular level. Veterinary World. 14 (8), 2160–2169. https://doi.org/10.14202/vetworld.2021.2160-2169 (2021).
Macnish, M. G., Ryan, U. M., Behnke, J. M. & Thompson, R. C. A. Detection of the rodent tapeworm Rodentolepis (= Hymenolepis) microstoma in humans. A new zoonosis? Int. J. Parasitol. 33 (10), 1079–1085. https://doi.org/10.1016/S0020-7519(03)00137-1 (2003).
Sapp, S. G. & Bradbury, R. S. The forgotten exotic tapeworms: a review of uncommon zoonotic Cyclophyllidea. Parasitology 147 (5), 533–558. https://doi.org/10.1017/S003118202000013X (2020).
Horsfall, M. W. Observations on the life history of Raillietina echinobothrida and of R. tetragona (Cestoda). J. Parasitol. 24 (5), 409–421. https://doi.org/10.2307/3272117 (1938).
Chandler, A. C. & Pradatsundarasar, A. Two cases of Raillietina infection in infants in Thailand, with a discussion of the taxonomy of the species of Raillietina (Cestoda) in man, rodents and monkeys. J. Parasitol. 43 (1), 81–88 (1957).
Tung, K. C., Hsiao, F. C., Wang, K. S., Yang, C. H. & Lai, C. H. Study of the endoparasitic fauna of commensal rats and shrews caught in traditional wet markets in Taichung City. Taiwan. J. Microbiol. Immunol. Infect. 46 (2), 85–88. https://doi.org/10.1016/j.jmii.2012.01.012 (2013).
Davis, R. E., Mathison, B. A. & Couturier, M. R. Raillietiniaisis in a toddler from Hawaii: a case of mistaken tapeworm identity. Clin. Infect. Dis. 69 (6), 1053–1055. https://doi.org/10.1093/cid/ciz055 (2019).
Thompson, R. C. A. & Conlan, J. V. Emerging issues and parasite zoonoses in the SE Asian and Australasian region. Vet. Parasitol. 181 (1), 69–73. https://doi.org/10.1016/j.vetpar.2011.04.025 (2011).
Caira, J. N., Jensen, K., Waeschenbach, A., Olson, P. D. & Littlewood, D. T. J. Orders out of chaos–molecular phylogenetics reveals the complexity of shark and stingray tapeworm relationships. Int. J. Parasitol. 44 (1), 55–73. https://doi.org/10.1016/j.ijpara.2013.10.004 (2014).
Eom, K. S. et al. Identification of Taenia asiatica in China: molecular, morphological, and epidemiological analysis of a Luzhai isolate. J. Parasitol. 88 (4), 758–764. https://doi.org/10.1645/0022-3395(2002)088[0758:IOTAIC]2.0.CO;2 (2002).
Lavikainen, A. et al. Mitochondrial DNA data reveal cryptic species within Taenia krabbei. Parasitol. Int. 59 (2), 290–293. https://doi.org/10.1016/j.parint.2010.03.003 (2010).
LeBerre, M. & Chevallier, J. Faune du Sahara. In Mammifères (Vol. 2). Lechevalier. (1990).
Mendelssohn, H. & Yom-Tov, Y. A report of birds and mammals which have increased their distribution and abundance in Israel due to human activity. Isr. J. Ecol. Evol., 45(1), 35–47. https://doi.org/10.1080/00212210.1999.10688975 (1999
Fichet-Calvet, E., Jomâa, I., Ismail, R. B. & Ashford, R. W. Reproduction and abundance of the fat sand rat (Psammomys obesus) in relation to weather conditions in Tunisia. J. Zool. 248 (1), 15–26. https://doi.org/10.1111/j.1469-7998.1999.tb01018.x (1999).
Othman, S. B. et al. First detection of Leishmania DNA in Psammomys obesus and Psammomys vexillaris: Their potential involvement in the epidemiology of leishmaniasis in Tunisia. Infect. Genet. Evol. 59, 7–15. https://doi.org/10.1016/j.meegid.2018.01.013 (2018).
Fichet-Calvet, E., Jomaâ, I., Ben Ismail, R. & Ashford, R. W. Patterns of infection of haemoparasites in the fat sand rat, Psammomys obesus, in Tunisia, and effect on the host. Annals Trop. Med. Parasitol. 94 (1), 55–68. https://doi.org/10.1080/00034980057617 (2000).
Yakimoff, W. L. & Schokhor, N. I. Recherches sur les maladies tropicales humaines et animales au Turkestan. II. La leishmaniose cutanée (bouton d’Orient) spontanée du chien Turkestan. Bull. Soc. Pathol. Exot. 7 (186), 7 (1914).
Peters, W., Elbihari, S. & Evans, D. A. Leishmania infecting man and wild animals in Saudi Arabia. 2. Leishmania arabica n. sp. Trans. R. Soc. Trop. Med. Hyg. 80 (4), 497–502. https://doi.org/10.1016/0035-9203(86)90125-2 (1986).
Banaja, A. E. A., Soliman, M. I., Taha, H. A. & Ashour, A. A. SEM studies on Trichurus muris from Psammomys obessus from Sinai Peninsula. Egypt. J. Egypt. Soc. Parasitol. 42 (2), 453–460 (2012).
Gruber, H. E., Johnson, T. L., Kinsella, J. M., Greiner, E. C. & Gordon, B. E. Tapeworm identification in the fat sand rat (Psammomys obesus obesus). J. Am. Assoc. Lab. Anim. Sci. 40 (6), 22–24 (2001).
Fichet-Calvet, E., Wang, J., Jomaa, I., Ismail, R. B. & Ashford, R. W. Patterns of the tapeworm Raillietina trapezoides infection in the fat sand rat Psammomys obesus in Tunisia: season, climatic conditions, host age and crowding effects. Parasitology 126 (5), 481–492. https://doi.org/10.1017/S0031182003 (2003).
Alshammari, A., Anwar, F. A., Mohamed, S. A. A. & Abdelsater, N. Antihelimentic effect of Androctonus crassicauda scorpion venom against Trichuris arvicolae isolated from Psammomys obesus in Egypt. Saudi J. Biol. Sci. 30 (8), 103713. https://doi.org/10.1016/j.sjbs.2023.103713 (2023).
Elfiky, A. A., Attia, H. R. & Abd Elaziz, M. R. Cross neutralization of some kinds of scorpion venoms from Africa and South East using VACSERA Polyvalent Scorpion Antisera. J. Egypt. Soc. Parasitol. 49 (2), 443–349. https://doi.org/10.21608/jesp.2019.68189 (2019).
Yekany, L. V., Mofrad, F. B., Shirmardi, S. P., Erfani, M. & Mirakabadi, A. Z. Radiolabeling of Iranian Androctonus crassicauda Scorpion Venom with Technetium-99m for Biological Studies. Radiochim. Acta. 110 (12), 995–1002. https://doi.org/10.1515/ract-2022-0016 (2022).
Al-Malki, E. S. & Abdelsater, N. In vitro Scolicidal effects of Androctonus crassicauda (Olivier, 1807) venom against the protoscolices of Echinococcus granulosus. Saudi J. Biol. Sci. 27 (7), 1760–1765. https://doi.org/10.1016/j.sjbs.2020.05.014 (2020).
Al-Malki, E. S., Aljedaie, M. M., Amer, O. S., Abdelsater, N. & Badry, A. Scorpion crude venom induced apoptosis and structural changes of Echinococcus granulosus protoscolices. J. King Saud University-Science. 34 (4), 101937. https://doi.org/10.1016/j.jksus.2022.101937 (2022).
Brooks, D. R. & Amato, J. F. Cestode parasites in Potamotrygon motoro (Natterer) (Chondrichthyes: Potamotrygonidae) from southwestern Brazil, including Rhinebothroides mclennanae n. sp.(Tetraphyllidea: Phyllobothriidae), and a revised host-parasite checklist for helminths inhabiting neotropical freshwater stingrays. J. Parasitol. 78 (3), 393–398. https://doi.org/10.2307/3283633 (1992).
Chubb, J. C. Acetic acid as a diluent and dehydrant in the preparation of whole, stained helminths. Stain Technol. 37 (3), 179–182. https://doi.org/10.3109/10520296209117729 (1962).
Deori, K. & Yadav, A. K. Anthelmintic effects of Oroxylum indicum stem bark extract on juvenile and adult stages of Hymenolepis diminuta (Cestoda), an in vitro and in vivo study. Parasitol. Res. 115, 1275–1285. https://doi.org/10.1007/s00436-015-4864-6 (2016).
Bancroft, J. D. & Stevens, A. Theory practice of histological examination. New York. (1982).
Abdel-Maksoud, F. M., Hussein, M. T. & Attaai, A. Seasonal variation of the intraepithelial gland in camel epididymis with special reference to autophagosome. Microsc. Microanal. 25 (4), 1052–1060. https://doi.org/10.1017/S1431927619014557 (2019).
Sambrook, J. F. & Russell, D. W. Molecular cloning: A laboratory manual, third 39 edition Vol. 40, 41 (Cold Spring Harbor Laboratory Press, 2001).
Altschul, S. F., Gish, W., Miller, W., Myers, E. W. & Lipman, D. J. Basic local alignment search tool. J. Mol. Biol. 215 (3), 403–410. https://doi.org/10.1016/S0022-2836(05)80360-2 (1990).
Thompson, J. D., Higgins, D. G., Gibson, T. J. & CLUSTAL, W. Improving the sensitivity of progressive multiple sequence alignment through sequence weighting, position-specific gap penalties and weight matrix choice. Nucleic Acids Res. 22 (22), 4673–4680. https://doi.org/10.1093/nar/22.22.4673 (1994).
Tamura, K., Stecher, G., Peterson, D., Filipski, A. & Kumar, S. MEGA6: molecular evolutionary genetics analysis version 6.0. Mol. Biol. Evol., 30(12), 2725–2729. https://doi.org/10.1093/molbev/mst197 (2013).
Banda, A., Gandiwa, E., Muposhi, V. K. & Muboko, N. Ecological interactions, local people awareness and practices on rodent-borne diseases in Africa: A review. Acta Tropica 238, 106743. https://doi.org/10.1016/j.actatropica.2022.106743 (2023).
Anwar, F. A. et al. Intestinal helminth infestation of sand rats (Psammomys obesus) collected from north coast egypt ecological morphological and histopathological approach. Fresenius Environ. Bull. 31 (7), 7072–7082 (2022).
Mariaux, J. & Georgiev, B. B. Cestode parasites (Neodermata, Platyhelminthes) from Malaysian birds, with description of five new species. Eur. J. Taxonomy. 616 https://doi.org/10.5852/ejt.2020.616 (2020).
Fagir, D. M. & EL-Rayah, E. A. Parasites of the Nile rat in rural and urban regions of Sudan. Integr. Zool. 4 (2), 179–187. https://doi.org/10.1111/j.1749-4877.2009.00148.x (2009).
Yamaguti, S. Systema helminthum. Volume III. The nematodes of vertebrates. (1961).
Joyeux, C. & Baer, J. G. Morphology, evolution and systematic position of Catenotaenia pusilla (Goeze, 1782), Cestode parasite of Rodents. Rev (in French). Suisse Zool. 52, 13–51. https://doi.org/10.5962/bhl.part.117873 (1945).
Wardle, R. A. & McLeod, J. A. The Zoology of Tapeworms (Hafner Publishing, 1968).
Abu-Madi, M. A., Pal, P., Al-Thani, A. & Lewis, J. W. Descriptive epidemiology of intestinal helminth parasites from stray cat populations in Qatar. J. Helminthol. 82 (1), 59–68. https://doi.org/10.1017/S0022149X07870830 (2008).
Abdelsater, N., Amer, O. S., Elshehaby, M. & Mohamed, S. A. A. Alterations in the Tegument Surface of Adult Fasciola gigantica, After in vitro Treatment with the Crude Venom of Vespa orientalis. J. Adv. Veterinary Res., 13 (2). (2023). https://www.advetresearch.com/index.php/AVR/article/view/1184.
Salam, S. T., Mir, M. S. & Khan, A. R. The prevalence and pathology of Raillietina cesticillus in indigenous chicken (Gallus gallus domesticus) in the temperate Himalayan region of Kashmir-short communication. Vet. Arh. 80 (2), 323–328 (2010). https://hrcak.srce.hr/56720
Demis, C., Anteneh, M. & Basith, A. Tapeworms of poultry in Ethiopia: A Review. Br. J. Poult. Sci. 4 (3), 44–52 (2015).
Khaki, A. et al. Epidemiological and pathological studies on the helminthic parasites in native chickens of Tabriz city. Iran. Genet. Mol. Res. 16 (4). (2017).
Patil, S. D. & Hemlata, S. C. Histopathological Studies on intestine of Gallus Domesticus infected with cestode parasites. Bioscan 6 (4), 661–663 (2011). https://thebioscan.com/index.php/pub/article/view/2078
Tilney, L. G., Connelly, P. S., Guild, G. M., Vranich, K. A. & Artis, D. Adaptation of a nematode parasite to living within the mammalian epithelium. J. Exp. Zool. 303A (11), 927–945. https://doi.org/10.1002/jez.a.214 (2005).
Fernandes, M. P. M. & Saliba, A. M. Histological and histochemical study of the lesions induced by Trichuris vulpis in the caecum of dogs. Rev. Fac. Med. Vet. Zootec Saint Paulo Univ. 59–67. (1974).
Van Acker, H. H., Capsomidis, A., Smits, E. L. & Van Tendeloo, V. F. CD56 in the immune system: more than a marker for cytotoxicity? Front. Immunol. 8, 892. https://doi.org/10.3389/fimmu.2017.00892 (2017).
Alegretti, A. P. et al. The expression of CD56 antigen is associated with poor prognosis in patients with acute myeloid leukemia. Revista brasileira de hematologia e hemoterapia. 33, 202–206. https://doi.org/10.5581/1516-8484.20110054 (2011).
Wolf, A. S., Sherratt, S. & Riley, E. M. NK cells: uncertain allies against malaria. Front. Immunol. 8, 212. https://doi.org/10.3389/fimmu.2017.00212 (2017).
Nuovo, G. J. In situ molecular pathology and co-expression analyses (Academic, 2020).
Hume, D. A., Perry, V. H. & Gordon, S. The mononuclear phagocyte system of the mouse defined by immunohistochemical localisation of antigen F4/80: macrophages associated with epithelia. Anat. Rec. 210 (3), 503–512. https://doi.org/10.1002/ar.1092100311 (1984).
Caprioli, F. et al. Reduction of CD68 + macrophages and decreased IL-17 expression in intestinal mucosa of patients with inflammatory bowel disease strongly correlate with endoscopic response and mucosal healing following infliximab therapy. Inflamm. Bowel Dis. 19 (4), 729–739. https://doi.org/10.1097/MIB.0b013e318280292b (2013).
Prud’homme, G. J. Pathobiology of transforming growth factor β in cancer, fibrosis and immunologic disease, and therapeutic considerations. Lab. Invest. 87 (11), 1077–1091. https://doi.org/10.1038/labinvest.3700669 (2007).
Dezfuli, B. S., Castaldelli, G., Bo, T., Lorenzoni, M. & Giari, L. Intestinal immune response of Silurus glanis and Barbus barbus naturally infected with Pomphorhynchus laevis (Acanthocephala). Parasite Immunol. 33 (2), 116–123. https://doi.org/10.1111/j.1365-3024.2010.01266.x (2011).
Reece, J. J. et al. Hookworm-induced persistent changes to the immunological environment of the lung. Infect. Immun. 76, 3511–3524. https://doi.org/10.1128/iai.00192-08 (2008).
Marsland, B. J., Kurrer, M., Reissmann, R., Harris, N. L. & Kopf, M. Nippostrongylus brasiliensis infection leads to the development of emphysema associated with the induction of alternatively activated macrophages. Eur. J. Immunol. 38, 479–488. https://doi.org/10.1002/eji.200737827 (2008).
Harvie, M. et al. The lung is an important site for priming CD4 T-cell mediated protective immunity against gastrointestinal helminth parasites. Infect. Immun. 78, 3753–3762. https://doi.org/10.1128/iai.00502-09 (2010).
Funding
This work was supported and funded by the Deanship of Scientific Research at Imam Mohammad Ibn Saud Islamic University (IMSIU) (grant number IMSIU-DDRSP2601).
Author information
Authors and Affiliations
Contributions
Fatma A. S. Anwar, Naser A. Alkenani, and Sary Kh. Abdel-Gahfar conducted field sampling, parasitological examinations, and morphological analyses. Hossam El-Din M. Omar and Fatma M. Abdel-Maksoud performed histopathological and immunohistochemical analyses. Naser Abdelsater and Islam Saber Ead Mohamed prepared the scorpion venom, designed and executed the in vitro anthelmintic assays, and contributed to scanning electron microscopy analyses. Hassan Rudayni and Mohammed Al-Zahrani assisted with data curation, experimental validation, and manuscript revision. Sara Abdel-Aal Mohamed carried out molecular analyses and phylogenetic reconstruction. Komla Mawunyo Dossouvi and Amr Elkelish conceived and supervised the study, coordinated the multidisciplinary methodology, interpreted the data, critically revised the manuscript, and served as corresponding authors. All authors approved the final manuscript.
Corresponding authors
Ethics declarations
Competing interests
The authors declare no competing interests.
Ethics approval
The procedures followed the guidelines for capture, handling, and care of mammals of the Animal house ethical committee, Assiut University, ethically approved all procedures in this study. All animals’ procedures were in accordance with the standard international guidelines by the National Institutes of Health guide for the care and use of Laboratory animals and Ethical approval was obtained from the Committee of the Faculty of Veterinary Medicine, Assiut University, Egypt 06/2023/0126. This study was conducted and reported in compliance with the ARRIVE guidelines and in accordance with internationally accepted standards for animal welfare. All anesthesia and euthanasia procedures followed AVMA (2020) guidelines and were designed to minimize pain and distress.
Additional information
Publisher’s note
Springer Nature remains neutral with regard to jurisdictional claims in published maps and institutional affiliations.
Rights and permissions
Open Access This article is licensed under a Creative Commons Attribution-NonCommercial-NoDerivatives 4.0 International License, which permits any non-commercial use, sharing, distribution and reproduction in any medium or format, as long as you give appropriate credit to the original author(s) and the source, provide a link to the Creative Commons licence, and indicate if you modified the licensed material. You do not have permission under this licence to share adapted material derived from this article or parts of it. The images or other third party material in this article are included in the article’s Creative Commons licence, unless indicated otherwise in a credit line to the material. If material is not included in the article’s Creative Commons licence and your intended use is not permitted by statutory regulation or exceeds the permitted use, you will need to obtain permission directly from the copyright holder. To view a copy of this licence, visit http://creativecommons.org/licenses/by-nc-nd/4.0/.
About this article
Cite this article
Anwar, F.A.S., Alkenani, N.A., Abd-elghaffar, S.K. et al. Integrated morphological, molecular, and immunopathological characterization of Raillietina hymenolepidoides from Psammomys obesus reveals potent in vitro anthelmintic activity of Androctonus crassicauda venom. Sci Rep 16, 10540 (2026). https://doi.org/10.1038/s41598-026-43187-3
Received:
Accepted:
Published:
Version of record:
DOI: https://doi.org/10.1038/s41598-026-43187-3








