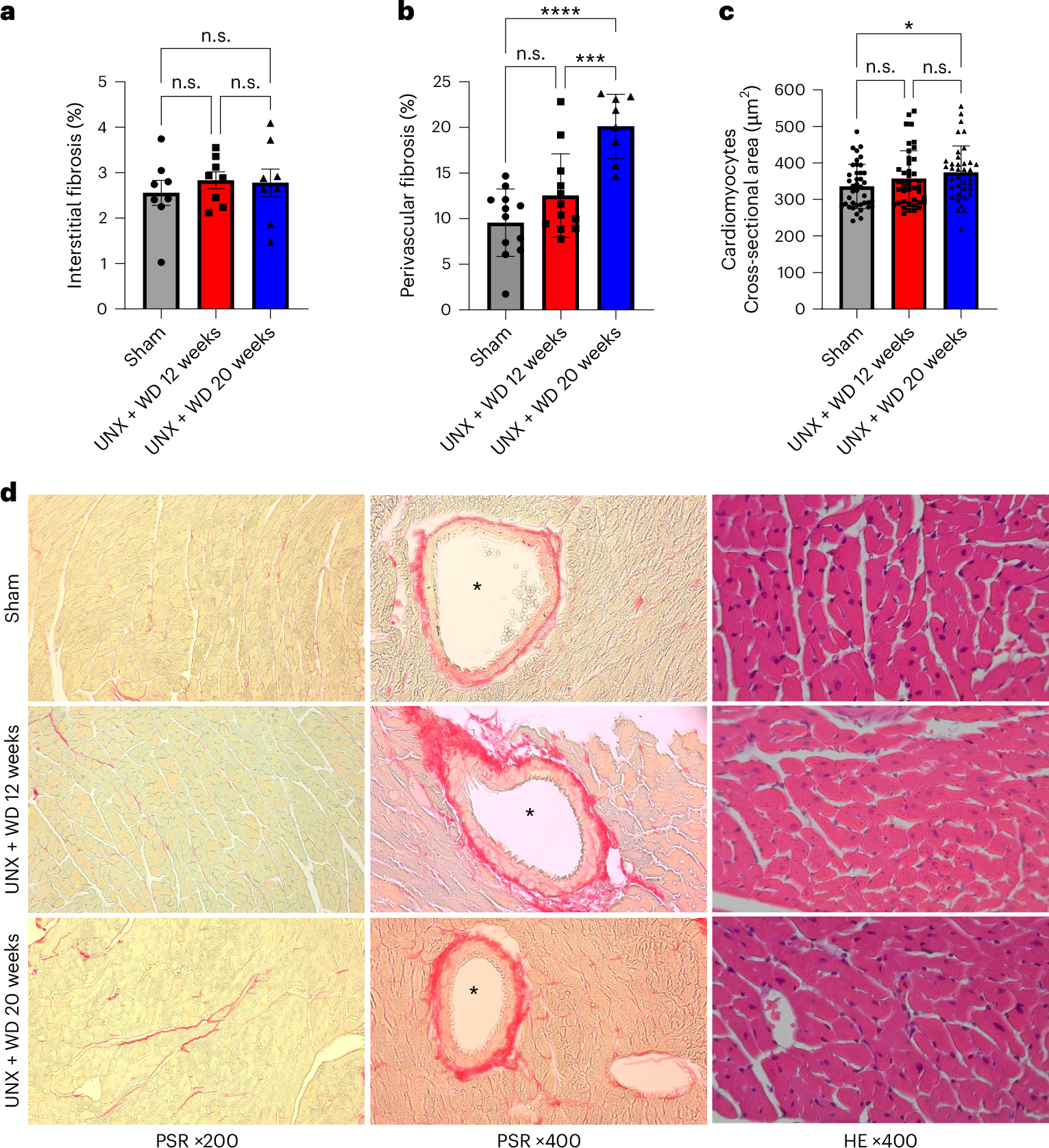
Fig. 5: Histopathological evaluation of the heart.

The cardiovascular histopathology of mice that underwent UNX and were fed with a salt-rich WD for 12 and 20 weeks, compared with the sham-operated group consuming RD. a, Interstitial fibrosis assessed by PicroSirius Red (PSR) staining at ×200 magnification (representative images in the first column in d). b, Perivascular fibrosis assessed by PSR staining at ×400 magnification (representative images in the second column in d). c, Cardiomyocyte size assessed by HE stain at ×400 magnification (representative images in the third column in d). The data are expressed as mean ± s.d., and the number of samples per method is described in Supplementary Table 2. For all parameters, one-way ANOVA was performed followed by Tukey’s multiple comparison test. *P < 0.05, **P < 0.01, ***P < 0.001, ****P < 0.0001. d, Representative photomicrographs of the experimental groups, staining techniques and magnifications used for histopathological evaluation. The asterisk indicates the lumen of the evaluated vessels.