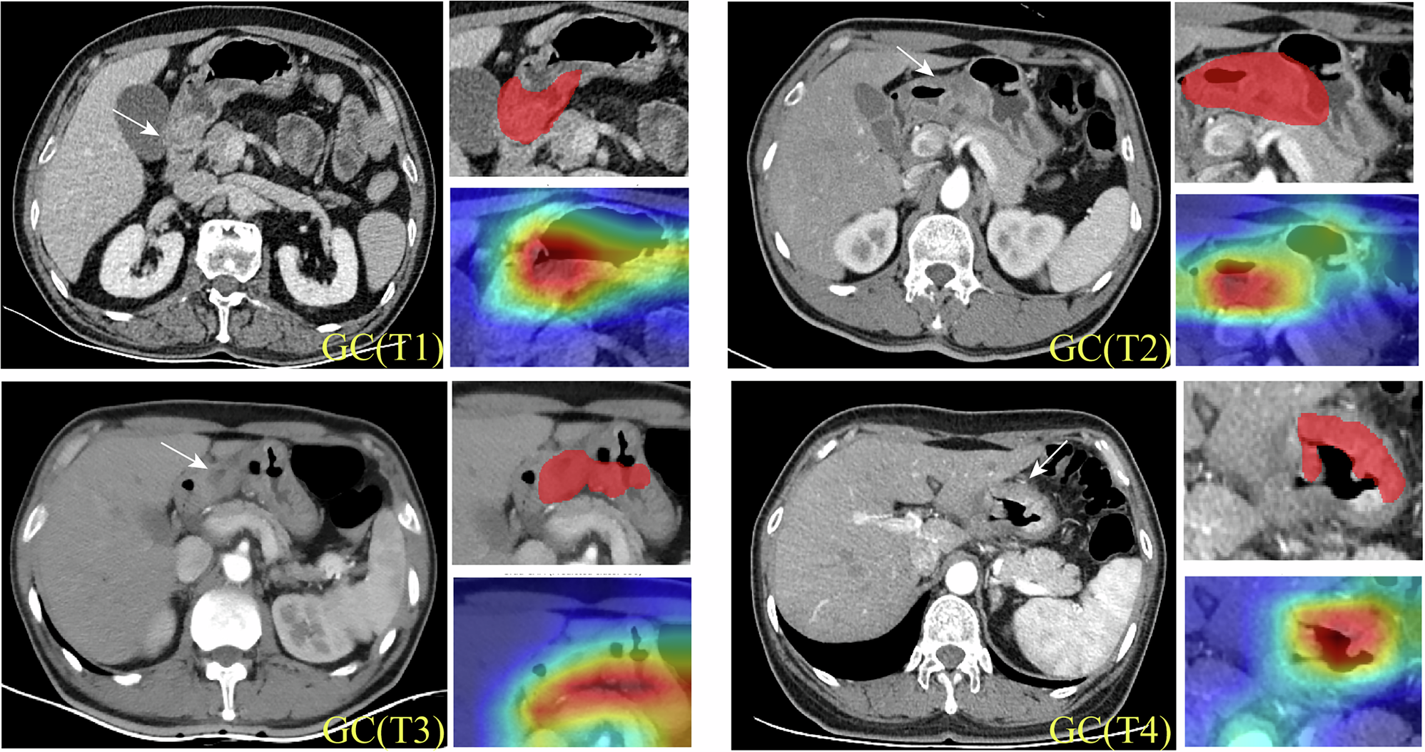
Fig. 3: Grad-CAM visualization.
From: Interpretable deep learning for multicenter gastric cancer T staging from CT images

For representative T1–T4 cases, portal-venous CT images (left) and color heatmaps (right) highlight mucosa (cT1), muscularis propria (cT2), serosal surface (cT3), and pancreatic invasion (cT4).