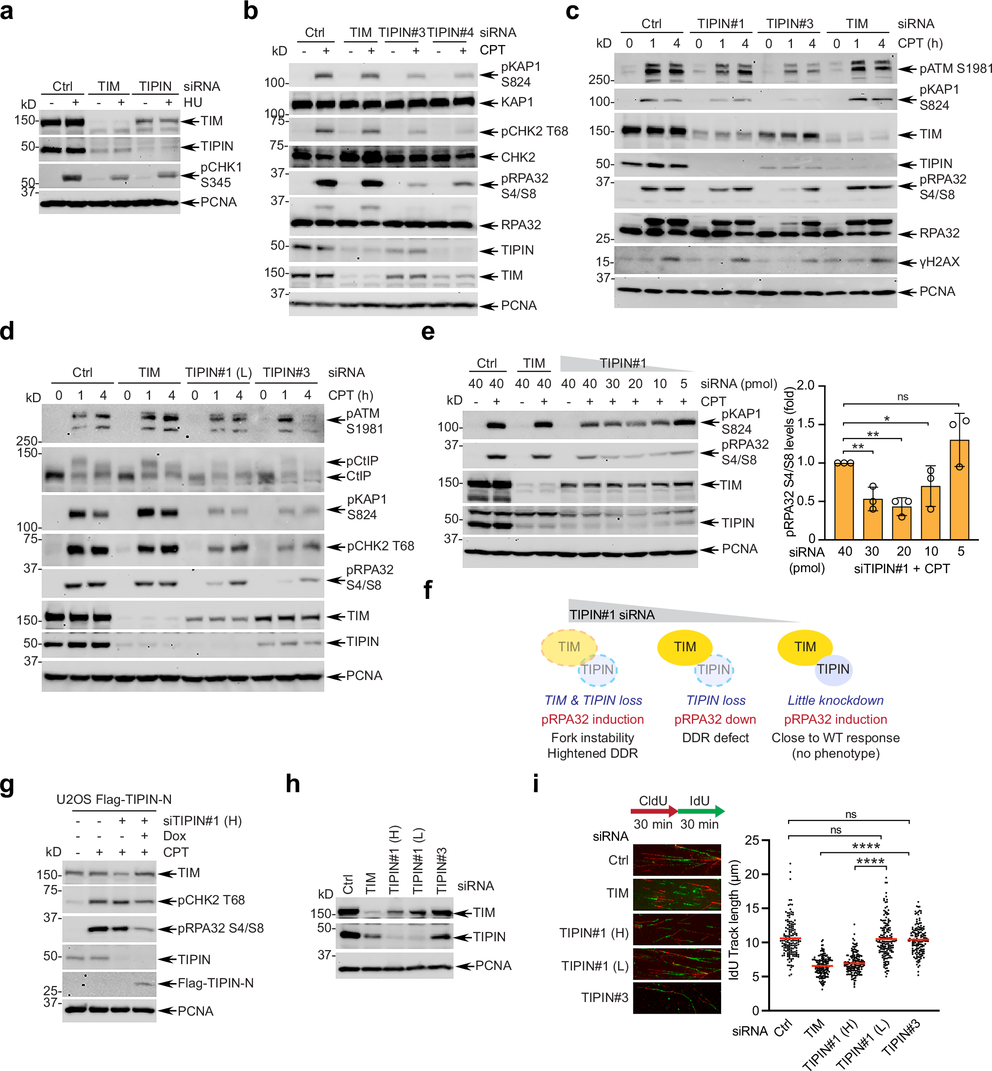
Fig. 1: Specific depletion of TIPIN in the FPC impairs cellular DSB responses to Top1 inhibition.

Western blotting (WB) of U2OS cells transfected with indicated siRNAs (vs. control) and treated with a 2 mM HU for 16 h or b 1 µM CPT for 1 h. c, d WB of U2OS cells transfected with indicated siRNAs and treated with 1 µM CPT for indicated times. TIPIN#1 (L: low) indicates 10 pmol siRNA transfection. e WB of U2OS cells transfected with indicated siRNA and treated with 1 µM CPT for 1 h. The amount of siRNA TIPIN#1 is indicated. Quantification of pRPA32 S4/S8: n = 3 from three biological replicates, mean ± s.d. **P < 0.01, *P < 0.05, ns: not significant, Student’s t test. f Schematic of TIPIN siRNA titration and its effect on DDR activation. g WB of U2OS Retro-X Flag-TIPIN N-terminus (amino acids 1-173) inducible cell line transfected with siRNA TIPIN#1 (H: high, 20 pmol transfection) for 64 h, Flag-TIPIN-N induced by 100 ng/ml doxycycline (Dox) for 48 h, and treated with 1 µM CPT for 1 h. h WB showing knockdown of TIM or TIPIN. Two different amounts of siRNA was transfected for TIPIN knockdown. i Representative images of DNA fiber tracks and dot plot of IdU track lengths from U2OS cells transfected with indicated siRNA. Red bars indicate median from at least 150 fiber tracks. ****P < 0.0001, ns: not significant, Mann-Whitney test.