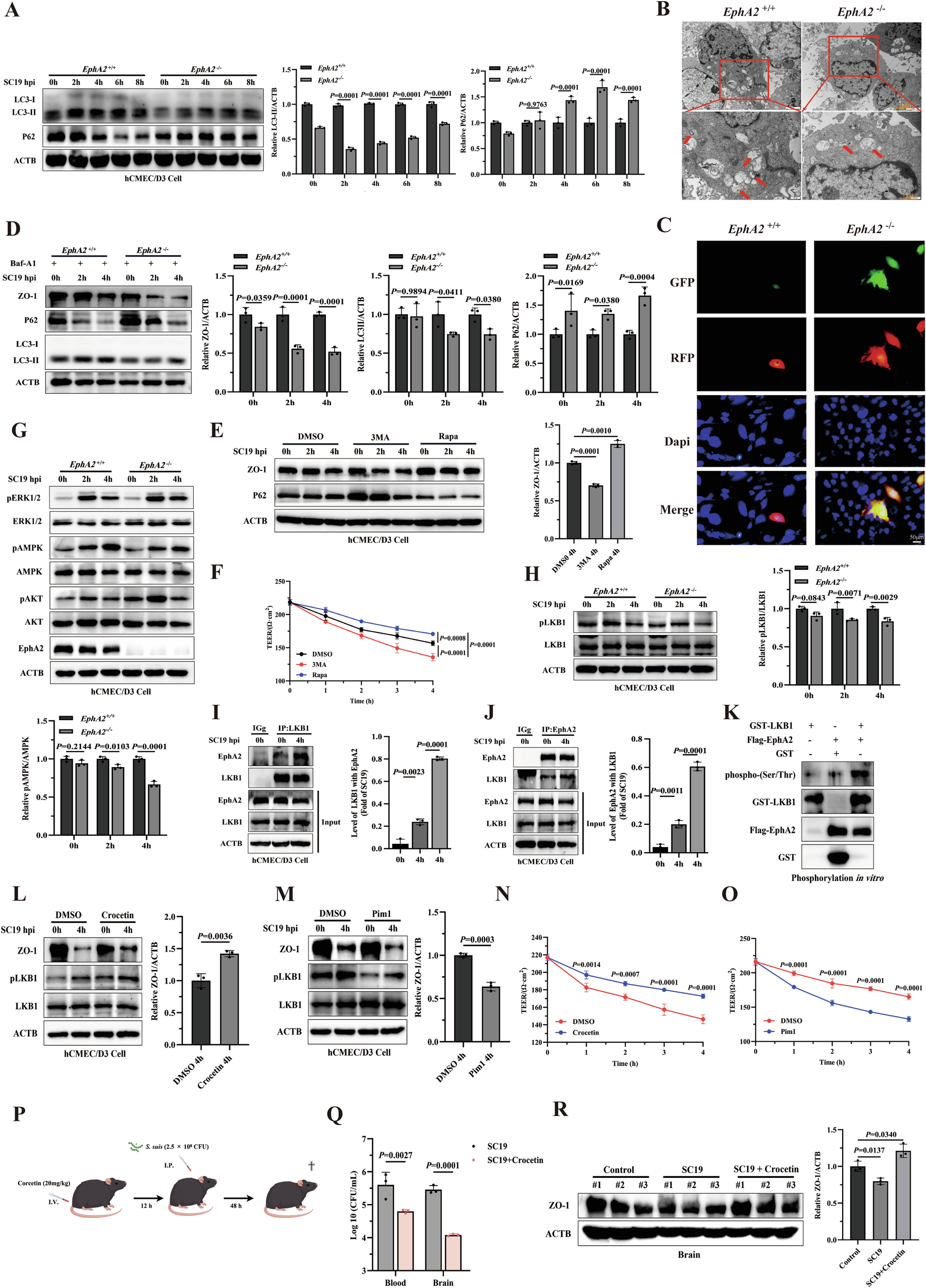
Fig. 3: EphA2 is required for LKB1/AMPK-mediated autophagy to protect S. suis-induced disruption of blood-brain barrier.

A Immunoblot analysis of LC3 and P62 in EphA2+/+ or EphA2−/−hCMEC/D3 cells infected with SC19 for indicated time. B Representative TEM images of EphA2+/+ or EphA2−/−hCMEC/D3 cells infected with SC19. Red arrows indicate autophagosomes and autolysosomes. Scale bars: 2 μm, 500 nm. C Analysis of autophagic flux using mRFP-GFP-LC3 adenovirus-infected hCMEC/D3 cells, showing impaired flux in EphA2−/− cells evidenced by increased green and yellow puncta. D Immunoblot analysis of LC3-II and P62 about the autophagic flux in SC19-infected EphA2+/+ and EphA2−/−cells treated with or without bafilomycin A1 (BafA1). E Immunoblot analysis of ZO-1 and P62 in SC19-infected hCMEC/D3 cells for indicated time with treatment of DMSO, 3MA or Rapamycin (Rapa). F The TEER value in transwell infection model with treatment of DMSO, 3MA or Rapamycin (Rapa). G Immunoblot analysis of pERK1/2, ERK1/2, pAMPK, AMPK, pAKT, AKT and EphA2 in EphA2+/+ or EphA2−/−hCMEC/D3 cells infected with SC19 for indicated time. H Immunoblot analysis of pLKB1 and LKB1 in EphA2+/+ or EphA2−/−hCMEC/D3 cells infected with SC19 for indicated time. I, J Co-IP analysis of interaction between the endogenous EphA2 and LKB1 in hCMEC/D3 cells infected with SC19 for indicated time. K Phosphorylation of LKB1 induced by EphA2 in vitro. L, M Immunoblot analysis of ZO-1, pLKB1 and LKB1 in SC19-infected hCMEC/D3 cells for indicated time with treatment of DMSO, Crocetin (L) and Pim1 (M). N, O The TEER value in transwell infection model with treatment of Crocetin (N) and Pim1 (O). P The flowchart showing that mice (total N = 25, each group n = 5) were pretreated with Crocetin (20 mg/kg) via tail veil for 12 h prior to SC19 infection. After 48 h infection, samples were collected for the determination of bacterial load and ZO-1 expression in brain. This figure was created using Figdraw. Q bacterial load in blood and brain (Total N = 27, each group n = 3). R ZO-1 expression in brain. Data are representative of three independent experiments with triplicate samples in vitro or three or five mice per group in vivo. All data are presented as mean ± SD. P ≤ 0.05 was considered as statistical significance.