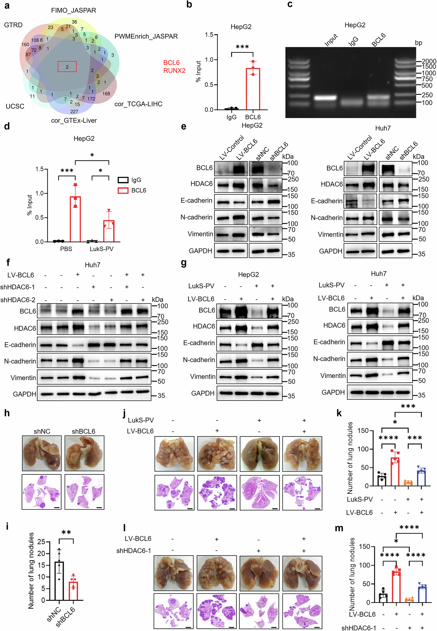
Fig. 4: LukS‑PV inhibits EMT in HCC by decreasing HDAC6 expression via BCL6 downregulation.
From: LukS-PV targeting C5aR inhibits EMT in hepatocellular carcinoma via the BCL6/HDAC6/HSPD1 axis

a Venn diagram showing the overlap of transcription factors among the six datasets. b, c The binding capacity of BCL6 to the HDAC6 gene promoter was validated by ChIP assays in HepG2 cells. d The binding capacity of BCL6 at the HDAC6 gene promoter was determined by ChIP-qPCR in HepG2 cells treated with or without 1 µM LukS-PV for 24 h. e Western blot analysis was used to examine the protein expression levels of BCL6, HDAC6, E-cadherin, N-cadherin, and vimentin in HCC cells ± BCL6 overexpression or knockdown. f Western blot analysis was used to examine the protein expression levels of BCL6, HDAC6, E-cadherin, N-cadherin, and vimentin in Huh7 cells ± BCL6 overexpression and/or HDAC6 knockdown. g Western blot analysis was used to examine the protein expression levels of BCL6, HDAC6, E-cadherin, N-cadherin, and vimentin in HCC cells ± BCL6 overexpression treated with or without 1 μM LukS-PV for 24 h. h, j, l Representative images of the gross lung appearance and HE staining of the lung lobes. i, k, m Statistical analysis of the metastatic nodules in the lung metastasis mouse model from the indicated experimental groups. Scale bar, 2 mm. ChIP-qPCR (mean ± SD; n = 3) and metastatic lung nodules data (mean ± SD; n = 5) were analyzed by unpaired two-tail t-test or one-way ANOVA. *, p < 0.05; **, p < 0.01; ***, p < 0.001; ****, p < 0.0001.