Fig. 4
From: Reproduction of vesicles coupled with a vesicle surface-confined enzymatic polymerisation

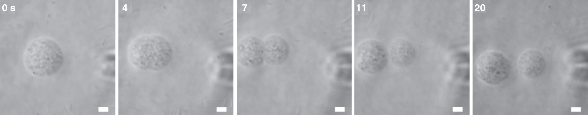
Phase contrast light microscopy images of a binary AOT/cholesterol GUV, taken during the polymerisation reaction. The binary AOT/cholesterol GUV (9:1, 2.7 mM AOT, 0.3 mM cholesterol), coupled with the synthesis of PANI-ES, showed vesicle growth and division. The binary GUV was prepared in 20 mM NaH2PO4 pH = 4.3 solution with 4.0 mM aniline and 0.92 μM HRP, and an aqueous solution of 2.0 M H2O2 and 20 mM AOT micelles (prepared in pure water) was micro-injected. The images were taken 0, 4, 7, 11, and 20 s after micro-injection (from left to right). Length of the scale bars: 5 μm. See also Supplementary Movie 7