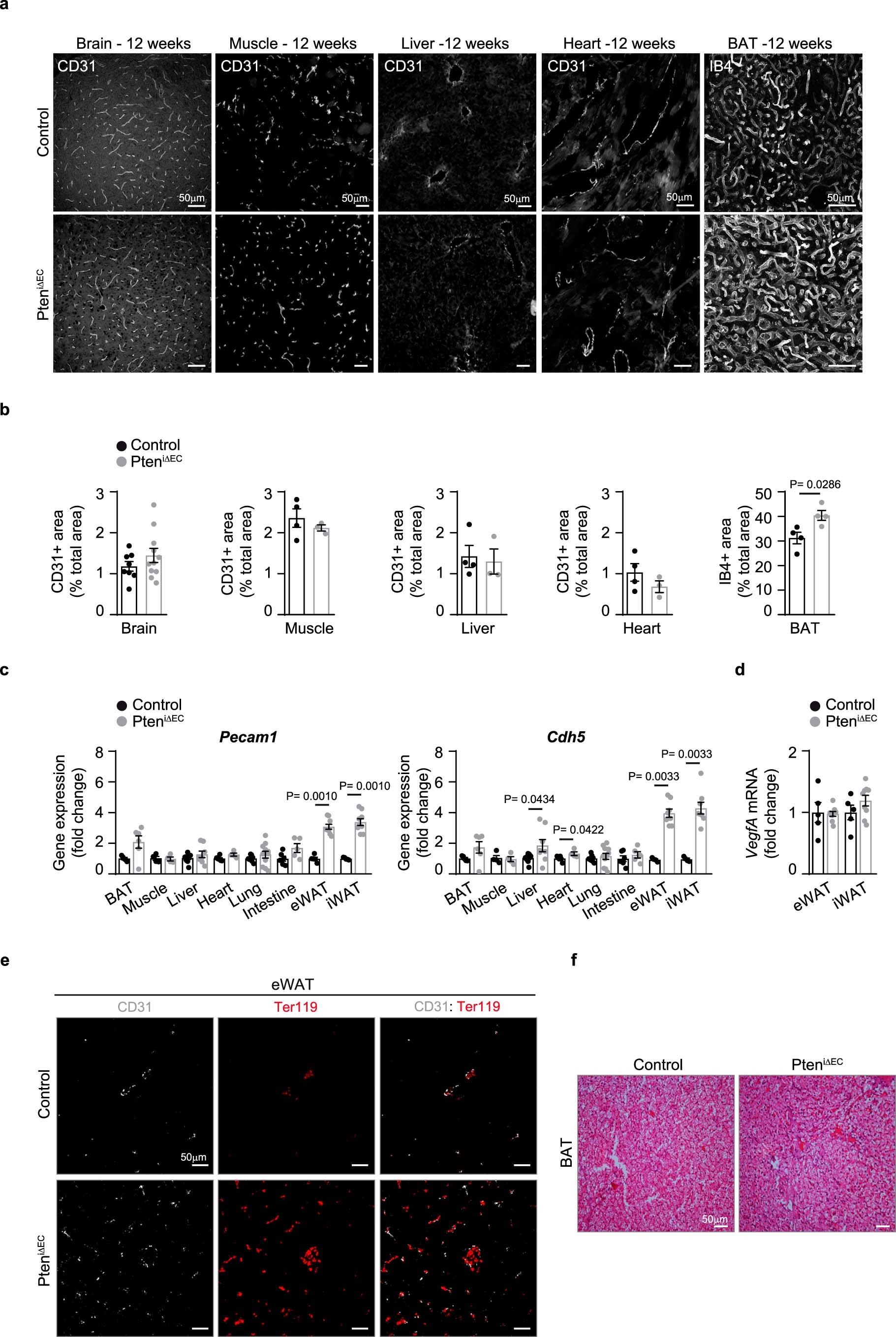
Extended Data Fig. 3: Molecular and histological vascular characterization in several tissues of control and PteniΔEC mice.

(a) Representative images of CD31-stained blood vessels (white) in sections from brain, muscle, liver and heart and IB4-stained blood vessels (white) in cryosections of BAT and from control (upper panels) and PteniΔEC mice (lower panels) at 12 weeks of age. (b) Quantification of vessel density expressed as percentage of total area in brain, muscle, liver, heart, and BAT sections from control and PteniΔEC mice at 12 weeks of age (brain n = 8, muscle, liver and heart control n = 4, PteniΔEC n = 3, BAT n = 4). (c) Gene expression analysis of endothelial markers Pecam1 (left graph) and Cdh5 (right graph) in whole tissue extracts from control and PteniΔEC mice at 5 weeks of age (BAT n = 5, muscle n = 4, liver n = 8, heart n = 4, lung n = 9, intestine n = 5, eWAT=5, iWAT=5). (d) VegfA gene expression analysis in whole tissue extracts from eWAT and iWAT from control (n = 5) and PteniΔEC (n = 9) mice at 12 weeks of age. (e) Representative images of CD31 (white) and Ter119 (red) stained sections of control and PteniΔEC eWAT at 12 weeks of age. (h) Representative hematoxylin and eosin staining of BAT sections from control and PteniΔEC mice at 12 weeks of age. Data represent mean ± SEM (error bars). Samples represent biological replicates. Statistical analysis was performed by the two-sided Mann-Whitney test (Extended Data Fig. 3b, c, d).