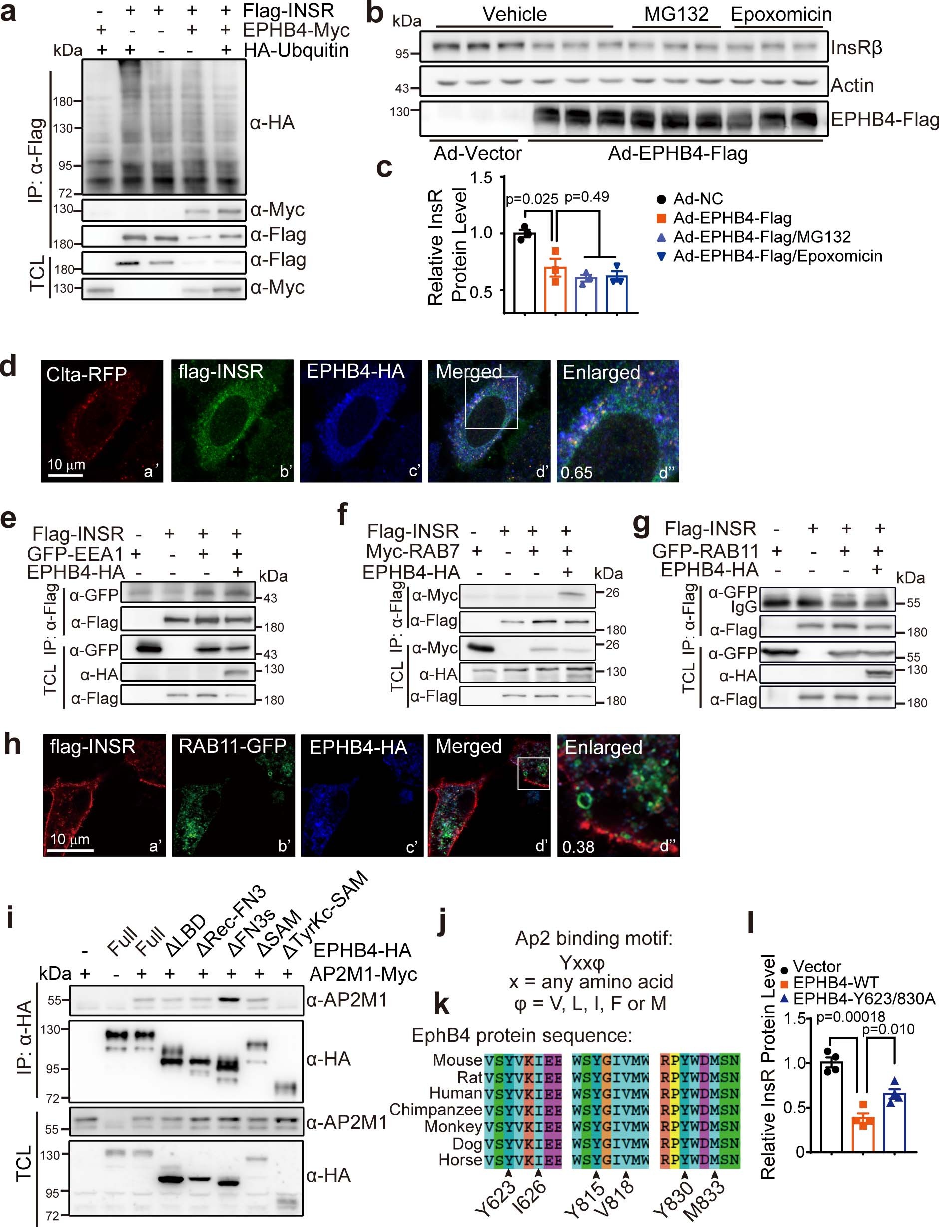
Extended Data Fig. 6: EphB4 promoted InsR degradation in the lysosome.
From: Insulin induces insulin receptor degradation in the liver through EphB4

a, Effect of EPHB4 on INSR ubiquitination in HepG2 cells. b, c, Effect of proteasome inhibitors on EPHB4-induced INSR degradation. n = 3 biologically independent cell samples in c. d, Colocalization of EPHB4, INSR and Clathrin light chain (Clta) in HepG2 cells. Enlarged images are indicated by the white frames. Pearson’s R value for the colocalization of INSR with Clta: 0.65. e, Effect of EPHB4 overexpression on the interaction between InsR and the early endosome marker EEA1. f, Effect of EPHB4 overexpression on the interaction between INSR and the late endosome marker RAB7. g, Effect of EPHB4 overexpression on the interaction between INSR and the recycling endosome marker RAB11. h, Colocalization of EPHB4, INSR and RAB11 in HepG2 cells. Enlarged images were indicated by the white frames. Pearson’s R value for the colocalization of INSR with RAB11: 0.38. i, Interaction of AP2M1 with EPHB4 domains in EPHB4 truncation mutants. j, Ap2 binding motif sequence. k, Predicted Ap2 binding motifs in EPHB4. l, Statistical analysis of the rescue effect of mutants in the Ap2 binding motifs in EPHB4 on INSR degradation in HepG2 cells. n = 4 biologically independent cell samples. For statistical analysis in c and l, comparisons were versus related controls, using two-sided Student’s t-test. Values are expressed as the mean ± SEM.