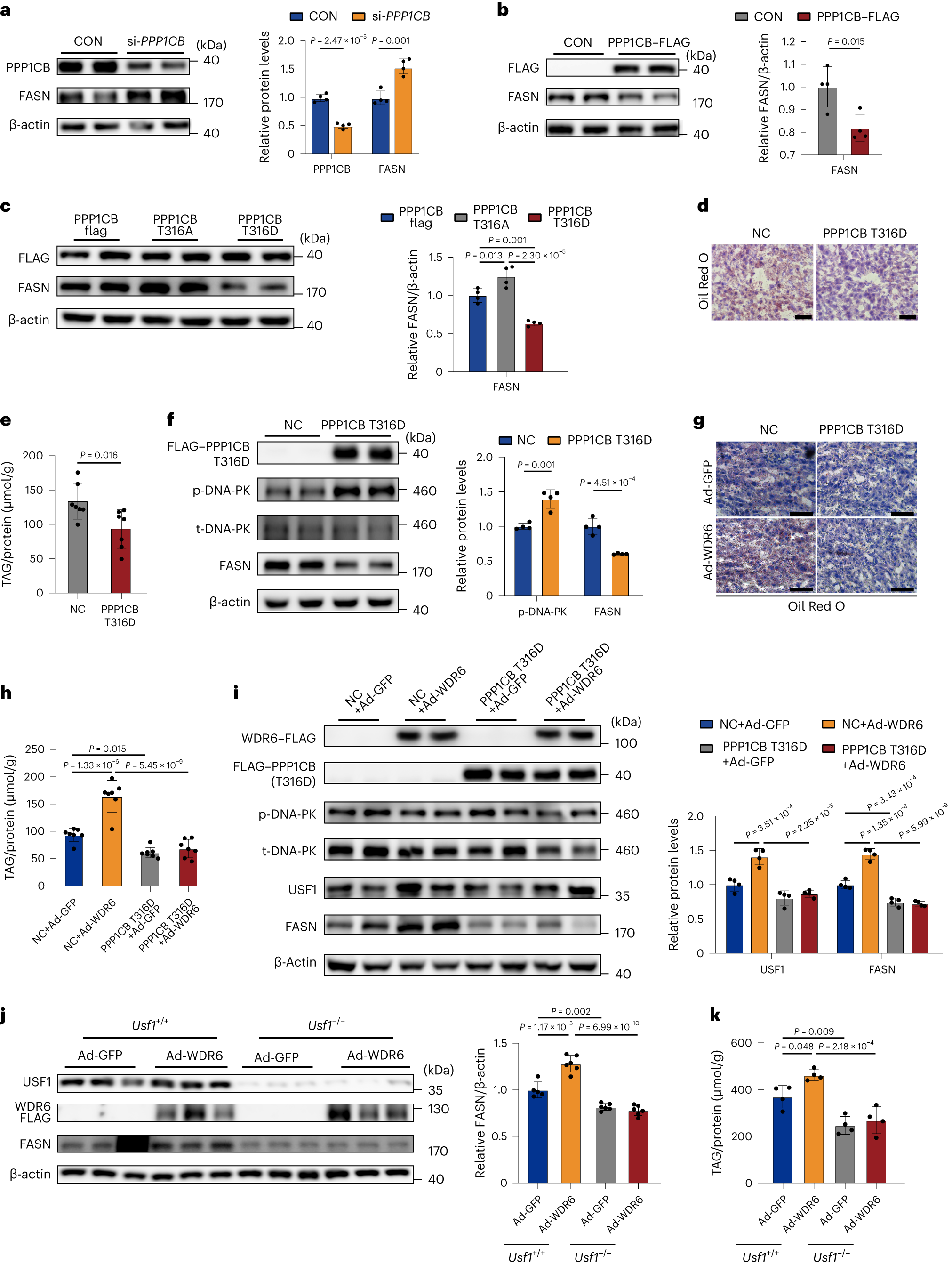
Fig. 5: WDR6 regulates FASN transcription by promoting dephosphorylation of PPP1CB.
From: Upregulation of WDR6 drives hepatic de novo lipogenesis in insulin resistance in mice

a,b, Western blots of FASN levels in HepG2 cells transfected with PPP1CB siRNA (a) or PPP1CB overexpression vector (b). β-actin served as the loading control. c, FASN protein levels of lysates from cells expressing PPP1CB–FLAG, Thr316Ala–FLAG or Thr316Asp–FLAG. β-actin served as the loading control. d, Representative ORO staining of liver sections from mice injected with AAV2/8-PPP1CBb Thr316Asp (PPP1CB-Thr316Asp group) or AAV2/8-GFP (NC group). Scale bars, 50 μm. e, Liver TAG levels of mice in PPP1CB-Thr316Asp group or NC group; the amount was normalized to the protein content of the same sample, n = 7 biologically independent mice per group. f, Western blots of phospho-DNA-PK and total-DNA-PK and FASN protein levels in liver of PPP1CB-Thr316Asp or NC group. n = 4 biologically independent mice per group. β-actin served as a loading control. g, Representative ORO staining of liver sections of PPP1CB-Thr316Asp or NC group randomly injected with Ad-WDR6 or Ad-GFP. Scale bars, 50 μm. h, Liver TAG levels of the mice described in g; the amount was normalized to the protein content of the same sample, n = 7 biologically independent mice per group. i, Phospho-DNA-PK and total-DNA-PK, USF1 and FASN protein levels in liver of the mice described in g. n = 4 biologically independent mice per group. β-actin served as the loading control. j, Western blots of FASN protein levels in primary hepatocytes of Usf1−/− or Usf1+/+ (WT) mice injected with Ad-WDR6 or Ad-GFP, respectively. β-actin served as the loading control. k, TAG levels of the primary hepatocytes described in j; the amount was normalized to the protein content. For a–c and k, n = 4 independent experiments; for j, n = 5 independent experiments in Usf1+/+, Ad-GFP group; n = 6 independent experiments in other groups. Experiments in e–k were performed using male mice. Data in a, b, e and f are presented as the the mean ± s.d., determined by unpaired two-sided Student’s t-test. Data in c are presented as the mean ± s.d., determined by one-way ANOVA and Tukey’s multiple-comparisons test. Data in h–k are presented as the mean ± s.d., determined by two-way ANOVA and Tukey’s multiple-comparisons test.