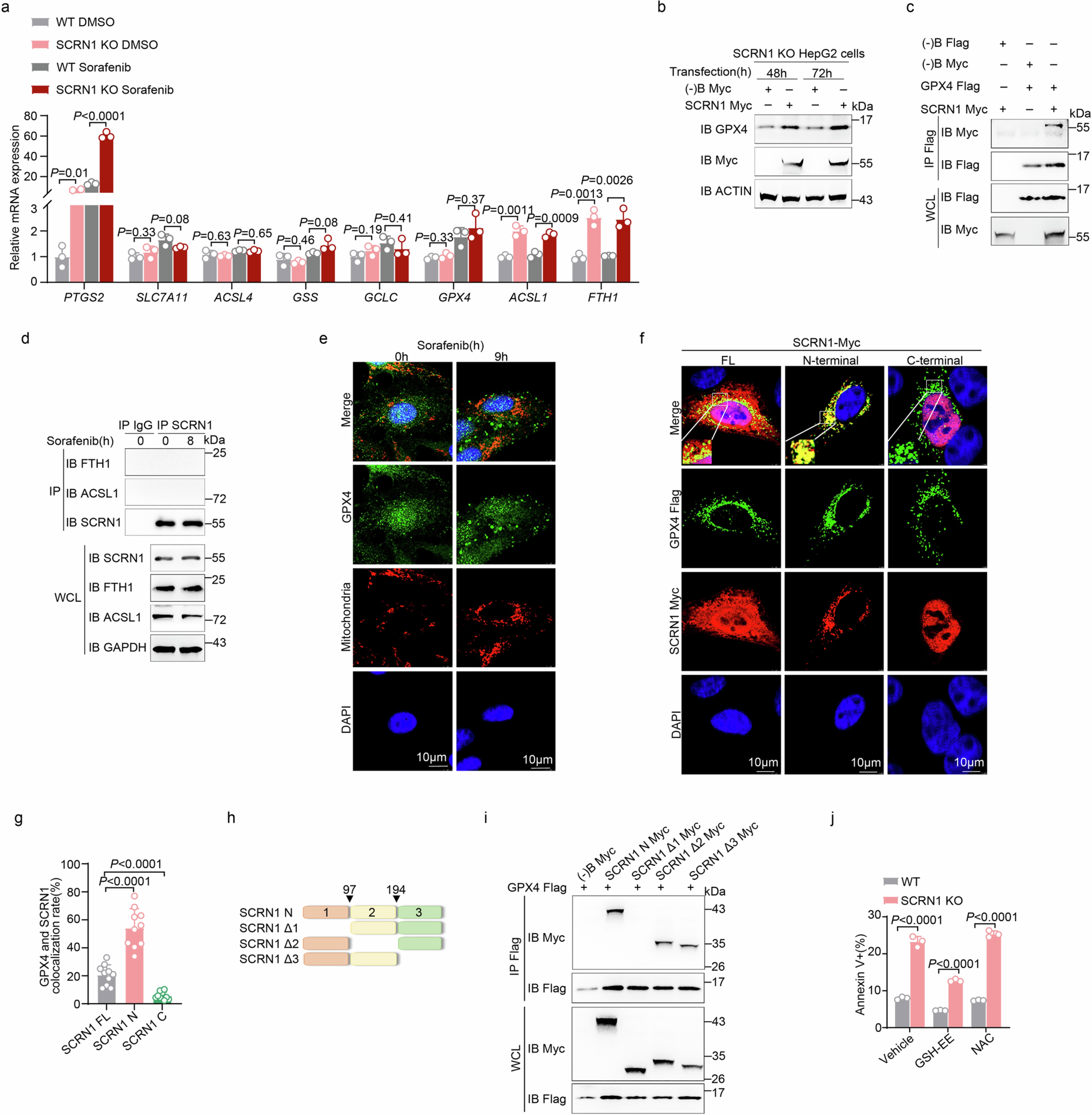
Extended Data Fig. 4: SCRN1 suppresses ferroptosis by targeting GPX4.

a, The mRNA expression of PTGS2, solute carrier family 7 member 11(SLC7A11), ACSL4, glutathione synthetase (GSS), glutamate cysteine ligase (GCLC), GPX4, ACSL1 and FTH1 in WT and SCRN1 KO HepG2 cells treated with sorafenib (n = 3 biological replicates). b, Endogenous GPX4 expression in SCRN1 KO HepG2 cells transfected with SCRN1-Myc for indicated hours. c, The interaction between GPX4-Flag and SCRN1-Myc in HEK293T cells was detected by co-IP analysis. d, The endogenous interaction of SCRN1 with ACSL1 and FTH1 in HepG2 cells. e, Confocal analysis of endogenous GPX4 distribution in HepG2 cells treated with sorafenib or not. f, g, Respective images (f) and analysis (g) of co-localization between GPX4 and SCRN1 truncations in HepG2 cells (n = 10 cells per group). h, Schematic structure and truncates of SCRN1 N truncation. i, Interaction between GPX4-Flag and SCRN1-Myc N truncations in HEK293T cells was detected by co-IP analysis. j, Percentage of cell death of WT and SCRN1 KO HepG2 cells pre-treated with 2 mM GSH-EE and 1 mM NAC and stimulated with sorafenib (n = 3 biological replicates). Data shown are representative of three independent experiments with similar results (b-d, i). Data presented as mean ± s.d. of three independent experiments (a, j) or mean ± s.e.m. (g). Statistical significance was determined by two-tailed unpaired Student’s t-test (a, g, j).