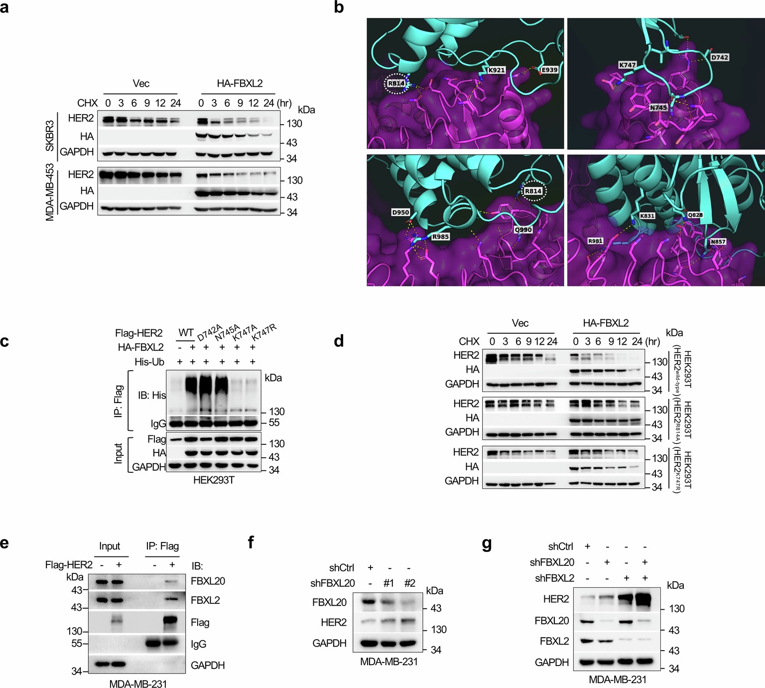
Extended Data Fig. 5: FBXL2 facilitates HER2 protein polyubiquitination on K747 site, and E3 ubiquitin ligase FBXL20 is a negative regulator of HER2.

(a) The replicated experiments of Fig. 4c. SKBR3 or MDA-MB-453 cells stably expressing HA-FBXL2 or vector (Vec) were subjected to protein half-life assays. Data from two independent experiments were presented (Fig. 4d). (b) Four potential interaction models between FBXL2 (colored in magenta) and the HER2 kinase domain (colored in cyan) were selected from the protein-protein interaction prediction by ZDOCK 3.0.2. (c) HEK293T cells were co-transfected with indicated expressing plasmids for 24 h. Cells were then treated with MG132 (10 μM) for 10 h prior to IP-Western analyses. (d) The replicated experiments of Fig. 5j. HEK293T cells were co-transfected with indicated expressing plasmids for 24 h, and cells were then subjected to protein half-life assays. Data from two independent experiments were presented (Fig. 5k). (e) MDA-MB-231 cells stably expressing Flag-HER2 or Vector (-) were treated with 10 μM MG132 for 10 h prior to IP-Western analyses. (f) MDA-MB-231 cells stably expressing shRNA targeting FBXL20 (#1 or #2), or control (shCtrl) were subjected to Western blot analyses. (g) MDA-MB-231 cells stably silencing of FBXL20 expression were infected with a recombinant lentivirus expressing specific shRNA targeting FBXL2 or control (shCtrl). Cells were then subjected to Western blot analyses. The blots (c, e-g) are representative of 3 independent experiments.