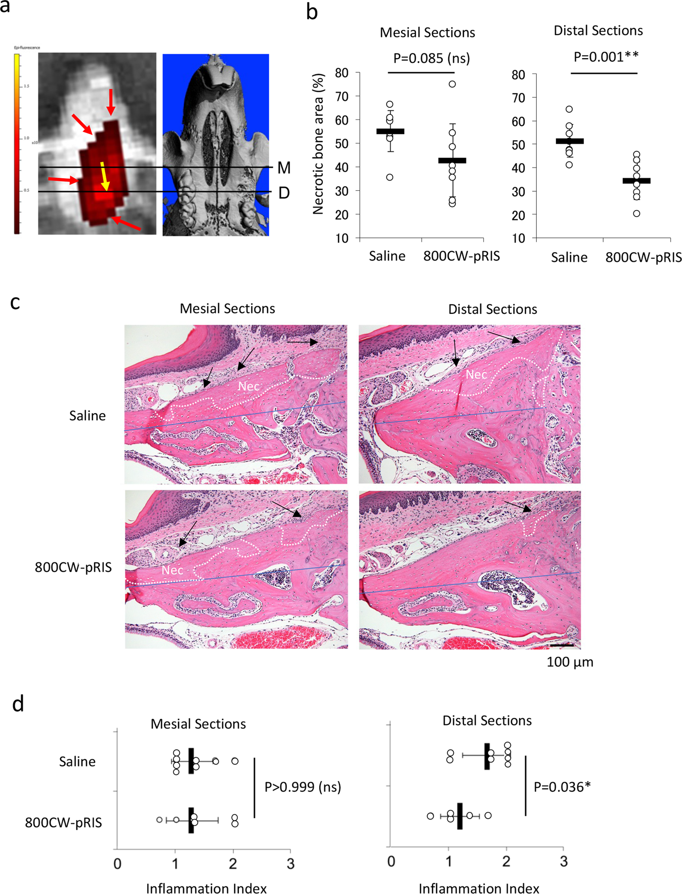
Fig. 5: The effect of 800CW-pRIS intra-oral injection on osteonecrosis and gingival inflammation around socket in mice pretreated with ZOL.

a Distribution of 800CW-pRIS after intra-oral injection examined by IVIS and the corresponding micro-CT image. An intense 800CW signal is observed in the direction of injectant (yellow arrow) from the injection site and a weaker signal is seen in the peripheral zone (red arrows). The mesial section (M) has relatively less signal intensity compared to the distal section (D). b Percent area of osteonecrosis over the occlusal half of maxillary alveolar bone measured in the medial and distal sections (n = 8 per group). c Histological cross-sections of mesial and distal tooth extraction area with osteonecrosis (white dotted line: Nec) and inflammation (Inf and black arrows). The osteonecrosis area was normalized by the occlusal half of maxillary bone indicated by blue line. d Inflammation index (0–3) was evaluated by three blinded examiners. The graphs present the mean and standard deviation (n = 8 per group). Student’s t test was used. *p < 0.05; **p < 0.01. Source data: Supplementary Data 1, Fig. 5b, d.