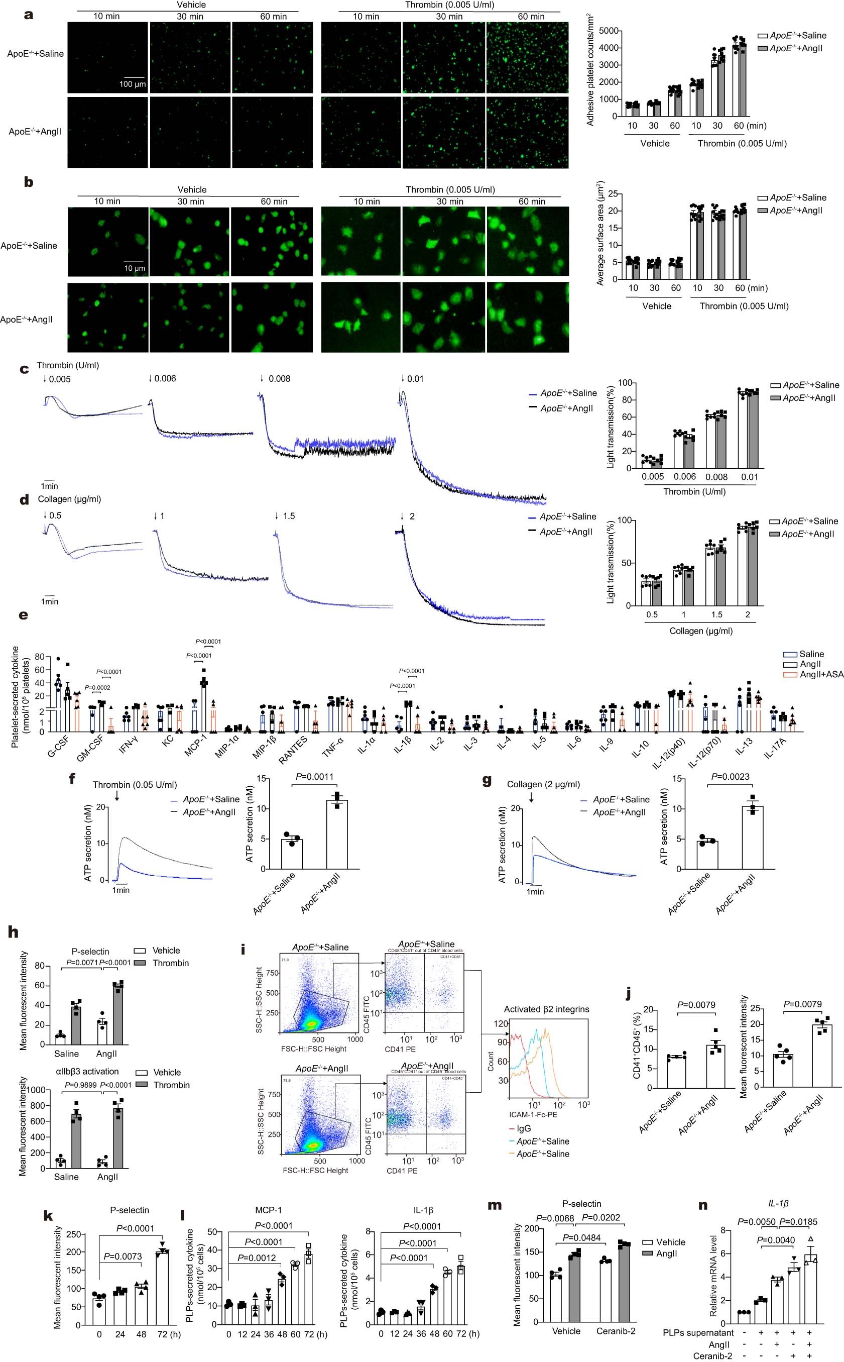
Extended Data Fig. 7: AngII Infusion promotes platelet secretion in mice.

a-d. Washed platelets were isolated from 16-week-old male ApoE-/- mice infused with saline or AngII (1000 ng/kg/min) for 7 days. (a-b) Representative images and quantitative data for platelet adhesion on collagen I (a) and spreading on fibrinogen (b) following thrombin (0.005 U/mL) stimulation for 10, 30 or 60 min. n = 8 mice per group. (c-d) Representative tracings and quantitative data for platelet aggregation induced by thrombin (0.005, 0.006, 0.008 and 0.01 U/mL, C) or collagen I (0.5, 1, 1.5 and 2 μg/mL, D). n = 6 biologically independent samples. e. Washed platelets were isolated from ApoE-/- mice infused with saline, AngII (1000 ng/kg/min), or AngII and aspirin (in drinking water, 2-3 mg/kg/day) for 28 days. Protein microarray analysis of cytokine profiling in supernatants of platelets cultured for 30 min. n = 7 mice per group. f-j. The washed platelets were isolated from ApoE-/- mice infused with saline or AngII for 7 days. (f-g) Representative and quantitative data for thrombin (0.1 U/mL, f) or collagen (2 μg/mL, g)-induced ATP secretion from platelets. n = 3 mice per group. (h) Flow cytometric analysis of cell surface P-selectin (CD62P) using FITC-conjugated antibody and integrin αIIbβ3 activation using Alexa Flour 647-conjugated fibrinogen of platelets from C57BL/6 mice with saline or AngII infusion for 7 days, followed by administeration with thrombin (0.001 U/mL) or saline (as vehicle) for 30 minutes. n = 4 mice per group. (i) Representative flow cytometry of platelet-leukocyte aggregates (PLAs, the percentages of CD45+CD41+ subpopulation out of CD45+ blood cells) and activated β2 integrins (LFA-1 and Mac-1) in PLAs using ICAM-1-Fc and PE-conjugated anti-human IgG1 Fc antibody. (j) Quantitation of PLAs in blood and activated β2 integrins (LFA-1 and Mac-1) in PLAs. n = 5 mice per group. k. Quantitative flow cytometry of P-selectin (CD62P) cell surface translocation of Meg-01 cell-produced platelet-like particles (PLPs) treated with AngII (1 μM) for different time periods. n = 4 biologically independent experiments. l. ELISA of IL-1β and MCP-1 in conditioned media produced by PLPs treated with AngII (1 μM) for different time periods. n = 3 biologically independent experiments. m-n. PLPs were produced followed by stimulation with or without AngII (1 μM), with or without ceranib-2 (10 μM) for 3 days. (m) Flow cytometric analysis of P-selectin on the surface of PLPs. n = 4 biologically independent experiments. (n) THP-1 monocytes were incubated with conditioned media of AngII-stimulated PLPs for 24 hours, and then IL-1β was evaluated by qRT-PCR in THP-1 cells. n = 3 biologically independent experiments. Data are presented as mean ± SEM. P values were calculated by ANOVA followed by the Bonferroni test (a-b, e, h, k-n), two-sided unpaired Student’s t test (f-g) or the two-sided Mann-Whitney test (c-d, j).