Extended Data Fig. 8: MP-FB interactions in mouse and human hearts post-lesion.
From: Spatiotemporal dynamics of the cardioimmune niche during lesion repair

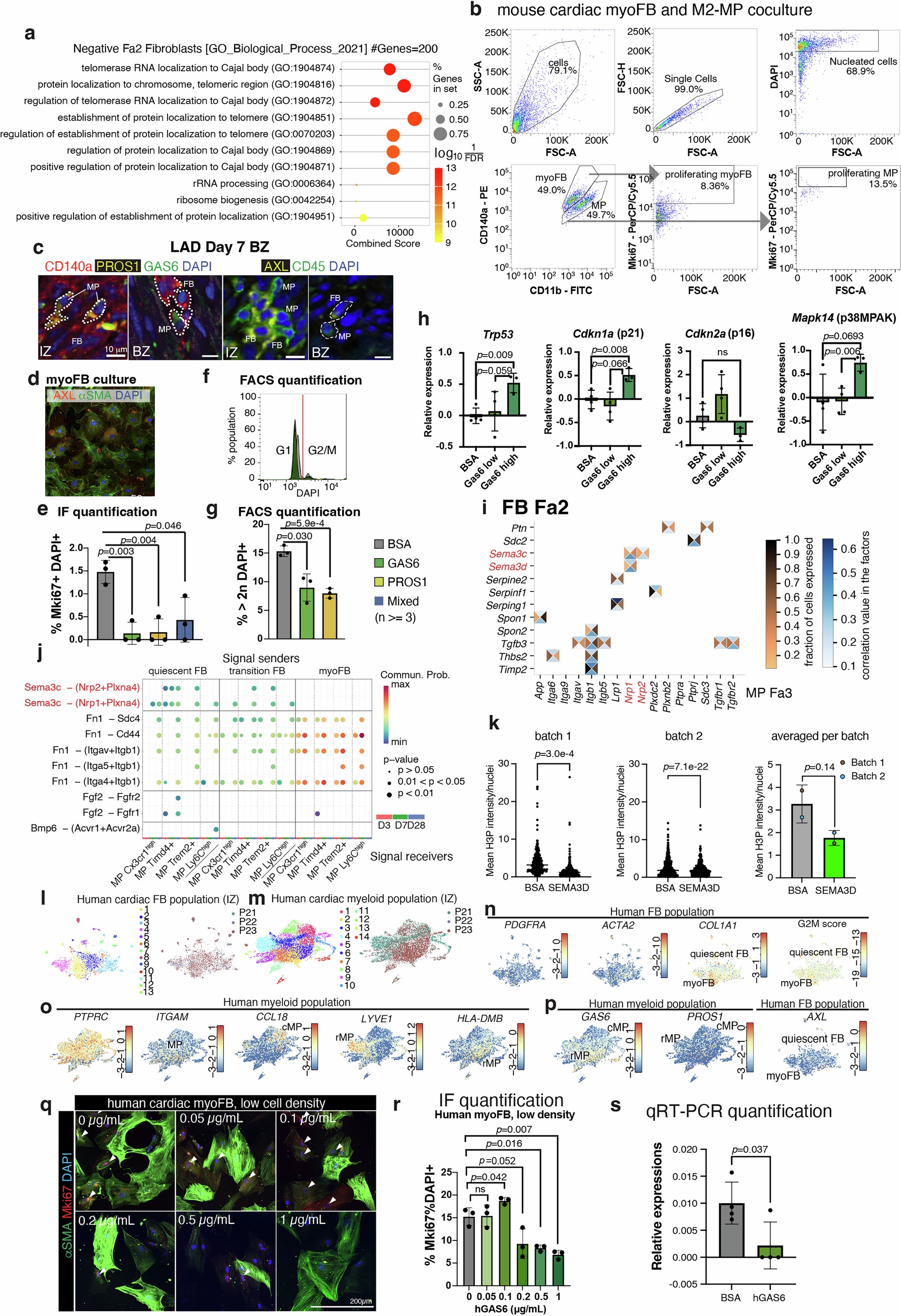
a, Pathways enriched in the top 200 genes negatively correlated to FB Fa2 (GO Biological Process 2021 database). b, Schematic diagram of the FACS analysis gating strategy for the M2 MP and myoFB co-culture experiment (Methods). c, IF staining of day 7 post-LAD IZ and BZ of cardiac slices. Dotted lines in left panels highlight MP (CD140a− PROS1+ GAS6+ ) and FB (CD140a+ ). Dotted lines in the right panels highlight cells resembling MP (CD45+ AXL−) and FB (CD45- AXL + ). n = 2 experiments. d, IF staining of AXL in myoFB (αSMA+ ) cell culture. n = 2 experiments. e-h, Mouse cardiac myoFB culture experiments. Cardiac myoFB exposed to recombinant mouse GAS6, PROS1, GAS6 + PROS1 (mixed), or BSA were harvested for IF Mki67+ nuclei quantification (e), FACS quantification of the percentage of nuclei with > 2n DNA content, indicated by G1 and G2M peaks of DAPI intensity (f,g), and qRT–PCR quantification of senescence and cell cycle arrest marker genes (h). For (e), n = 3 biological replicates. For (h) n = 4 biological replicates. i, Predicted ligand–receptor interactions, where the ligand and receptor correlate to FB Fa2 and MP Fa3, respectively. Boxes depict correlation with factors (blue) and fraction of cells expressing the gene (brown) j, CellChat ligand–receptor interaction prediction from days 3–28. Signal senders are FB subtypes, signal receivers are MP subtypes. Statistics, permutation test. In (i) and (j), Sema3-Nrp interactions are highlighted in red. k, Mouse BMDM culturing. BMDM were exposed to BSA/SEMA3D for 72 hours, then harvested for H3P intensity quantification. Mean H3P intensity per area of nucleus is shown for each experimental batch, where each data point represents a single nucleus (left and mid panels), and the overall average intensity in each group is shown in the right panel. Left panel, BSA n = 516 cells. SEMA3D n = 378 cells. Middle panel, BSA n = 271 cells, SEMA3D n = 401 cells. Right panel, n = 2 experiments. l-p, Reanalysis of published snRNA-seq data from 3 MI patients (P21, 22 and 23), isolated from IZ 6. l and m, Human cardiac FB (l) and myeloid (m) populations. UMAPs highlighting clusters (left panels) and patient identities (right panels). n-p, UMAP plots showing expression of FB marker genes and G2M score (n), MP marker genes (o), and expression of GAS6, PROS1 and AXL in these two populations (p). Quiescent FB were defined by PDGFRA+ ACTA2low COL1A1 low and lower G2M score. myoFB were defined by PDGFRA+ ACTA2high COL1A1high and higher G2M score. cMP were defined by PTPRC+ ITGAM+ CCL18+ HLA-DMBlow LYVE1−. rMP were defined by PTPRC+ ITGAM+ CCL18−HLA-DMBhigh/LYVE1+. q-s, Purified human primary cardiac FB culture exposed to recombinant hGAS6 protein. q, Representative images of myoFB cultures, stained with αSMA and Mki67 antibodies. r, Percentages of proliferating cells (Mki67+ DAPI+ ) under exposure to different hGAS6 concentrations, determined by IF staining quantification. n = 3 biological replicates. s, qRT-PCR quantifications of MKI67 in myoFB culture. n = 4 biological replicates. Statistics for (e,g,h,k,r,s), unpaired two-tailed t-test for two experimental groups. ns, not significant. Error bars, standard deviation.