Abstract
Background
Stereotactic ablative radiotherapy (SABR) has emerged as a new treatment modality for hepatocellular carcinoma (HCC). Evaluation of tumour responses following SABR are currently based on conventional radiological criteria used for locoregional therapies. Whether these criteria accurately reflect tumour responses following SABR remains unknown. In this study, we provide a direct comparison of post-SABR radiological evaluation and explant histology for patients with HCC who underwent bridging SABR prior to liver transplantation.
Methods
Patients with HCC who received SABR as bridging therapy prior to liver transplantation (January 2016-December 2022) in a large UK liver transplant centre were included. Post-SABR imaging was reported by two specialist hepato-pancreato-biliary radiologists, and histological examination of the explanted liver was performed by experienced liver histopathologists.
Results
Six patients with residual active HCC received SABR as bridging therapy prior to undergoing liver transplantation in our cohort. Of five patients with viable HCC detected on explant histology, recent radiological evaluation using LI-RADS treatment response criteria had suggested no evidence of residual active HCC for three patients, difficulty delineating residual disease from post-radiotherapy changes for one patient, and accurately identified viable tumour in one patient.
Conclusion
In our case series conventional radiological criteria underestimated HCC tumour viability following SABR compared to explant histology. As the role for SABR expands in the management of HCC, caution is needed with radiological interpretation of HCC responses to radiotherapy using standard LI-RADS criteria. Prospective study in a larger cohort is required to identify radiological criteria capable of more conclusively evaluating HCC responses to SABR.
Similar content being viewed by others

Background
Hepatocellular carcinoma (HCC) is the third-leading cause of cancer-related death worldwide, with a rising prevalence globally [1]. Treatment options for HCC depend on the tumour size and location, patients’ liver function, medical comorbidities, physical fitness and patient choice [2]. For patients with HCC that are listed for liver transplantation, bridging therapies are frequently applied to prevent progression of the tumour outside listing criteria [2].
In recent years, stereotactic ablative radiotherapy (SABR) has been introduced as a new non-invasive treatment option for HCC, in particular as second-line therapy for tumours not suitable for radiofrequency or microwave ablation, or poorly responsive to transarterial chemoembolisation (TACE) [3]. SABR delivers precise high-dose radiation to the tumour, while sparing surrounding healthy liver tissue. While the evidence base for SABR in HCC consists largely of retrospective studies with heterogeneous patient populations, early results appear promising in appropriately selected patients with compensated liver function, showing high rates of local tumour control in the region of 75-90% at three years, and low risks of radiation-induced liver disease [4,5,6,7,8,9].
More recent data support the use of SABR as a bridging therapy to liver transplantation for patients with HCC [10, 11]. In a retrospective review of 379 patients by Sapisochin et al. bridging SABR demonstrated similar post-transplant outcomes to bridging radiofrequency ablation or TACE [10]. Preliminary data from the first phase two randomised control trial comparing bridging SABR versus TACE for HCC (NCT02182687) suggest that SABR may be associated with fewer inpatient admission days and lower toxicity [12].
Timely assessment of treatment responses in HCC is important. However, since HCC in cirrhotic patients is conventionally assessed by radiological criteria and not biopsy, whether radiological responses following SABR accurately represent histological findings has not been well explored. Examining explants obtained after SABR provides a valuable opportunity for direct comparison.
In this study, we compare radiological evaluation of tumour responses to explant histology in a case series of six patients with HCC who received SABR as bridging therapy prior to undergoing liver transplantation.
Methods
All patients diagnosed with HCC who received SABR as bridging therapy to liver transplantation, between 1 January 2016 to 31 December 2022, at the Queen Elizabeth Hospital Birmingham, were included in the study. Our centre is a large UK tertiary-centre for liver transplantation with specialist expertise in HCC management.
SABR is not routinely performed as bridging therapy to liver transplantation for HCC in the UK, and HCC tumours are not commonly biopsied following treatment, limiting the total sample size.
Data were retrospectively collected on patient demographics, HCC tumour size, tumour number and location and the presence of vascular invasion, as well as patients’ liver function, alpha-fetoprotein (AFP) level, and Child Pugh score. Data on previous treatments received, SABR treatment protocols, radiological imaging performed, and liver transplantation were collated (Table 1).
SABR was performed by experienced clinical oncologists. SABR was delivered using a risk-adjusted approach to dose prescription. All patients were treated in five fractions, treating on alternate weekdays, using abdominal compression for motion management and 4D CT for treatment planning. Patients were treated in breath hold using volumetric arc therapy. Total dose was determined by mean liver dose, up to a maximum of 50 Gy.
Post SABR imaging (multiphasic contrast CT or MRI) was planned for an interval of 3 months following treatment. Imaging was reported by specialist hepato-pancreato-biliary radiologists and reviewed in an HCC multidisciplinary meeting for confirmation, using LI-RADS (Liver Imaging Reporting and Data Systems) treatment response algorithm examining tumour necrosis or lack of arterial enhancement in lesions following treatment as markers of treatment response.
Histological examination of the explanted liver and tumoural tissue was performed by experienced liver histopathologists. The histological diagnosis of HCC was made in accordance to World Health Organisation classification [13], with each HCC lesion assessed for size, differentiation, tumour necrosis or viability, and vascular invasion.
Results
Between 1 January 2016 to 31 December 2022, six patients received SABR as bridging therapy prior to undergoing liver transplantation in our centre. Patient characteristics are detailed in Table 1. The median age of the patients was 63 (range 57–68), five patients were male, one female. All had an underlying diagnosis of cirrhosis, the aetiology of cirrhosis was Metabolic-dysfunction associated steatotic liver disease (MASLD) in three patients, Alcohol-related liver disease (ARLD) in one patient, and mixed Met-ALD (MASLD and increased alcohol intake) and Primary biliary cholangitis for one patient each. The diagnosis of HCC had been based on characteristic radiological findings in all cases, encompassing at least one solid liver lesion >1 cm in size with arterial enhancement and delayed washout on multiphasic CT or MRI imaging on a background of cirrhosis [14, 15]. The Child Pugh score prior to SABR treatment ranged between 5 and 6 (grade A), the median number of tumours was 1 (range 1–4), median diameter of the largest HCC tumour was 3.2 cm (range 2.7 cm to 4.5 cm), and median AFP pre-treatment was 5 (range 3 to 1668).
SABR was performed as a second-line therapy due to suboptimal responses to TACE in five patients, and second-line to percutaneous ethanol injections in one patient (who had been unsuitable for ablation or TACE), with residual active HCC noted on radiological assessment (CT or MRI) in all cases prior to SABR. The median prescribed dose was 50 Gy in 5 fractions. SABR was well-tolerated with no significant adverse events noted, and no increase in adhesions or surgical challenges was encountered.
The median time from bridging SABR to liver transplantation was 5 months (range 1–12 months). Post SABR imaging was available in five patients prior to undergoing liver transplantation (Table 1), one patient was transplanted before repeat imaging. The median interval between post-SABR imaging and liver transplantation was 1 month (range 1–4 months). Multiphasic contrast CT was the choice of imaging in three patients and MRI in two patients, with imaging performed at a median time-frame of 3-months post SABR treatment.
Post-SABR imaging was available in five patients and was reported by experienced radiologists as showing no evidence of residual active HCC in three patients (Table 1, Fig. 1), indeterminate hyperenhancement with difficulty delineating residual disease from post-radiotherapy changes in one patient (Fig. 2), and active HCC with increased tumour size in one patient. In all five of these cases, viable HCC tumour was subsequently detected in the explant histology.
Patient 4 a Pre-SABR MRI showing arterially enhancing central Segment 8/5 HCC lesion; (b) 3 months post-SABR CT showing partial response and treatment related changes, with central necrosis and thin rim-like peripheral enhancement; (c) 8 months post-SABR CT showing very inconclusive arterial phase enhancement; (d, e, f) 8 months post-SABR CT showing further 3 arterialised liver lesions with no convincing washout LIRADS 3. (G1) Macroscopic slice of liver showing tumour with surrounding fibrosis and cirrhotic liver; (G2) Low-power haematoxylin and eosin staining of tumour showing fibrosis, TACE embolization material (black arrows) and multiple nodules of viable HCC (white arrow). (G3) High power view of viable tumour.
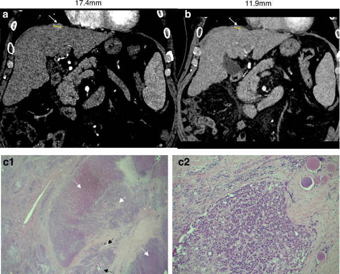
a Pre-SABR CT showing arterially enhancing Segment 4 HCC; (b) 3 months post-SABR CT showing reduction in the lesion size with minimal residual enhancement; (C1) Low power haematoxylin and eosin staining of tumour showing fibrosis, embolization material (black arrows), viable tumour (white arrows), and a background of cirrhosis (left hand side of image). (C2) Higher power view showing viable tumour (embolization material present on right hand side of image).
Discussion
SABR is emerging as a valuable treatment modality for HCC. In this study we directly compare post-SABR radiological and histological evaluation of treatment responses for patients with HCC. In our case series of six patients, we show that radiological evaluation following SABR under-represented residual tumour activity compared to explant histology.
Accurate assessment of treatment responses in HCC is crucial to facilitate timely treatment decisions, and prevent eligible patients progressing outside liver transplant criteria. Tumour responses are conventionally assessed by a reduction in arterial enhancement and decrease in tumour volume on multiphasic CT or MRI [16, 17]. The commonly used mRECIST and LI-RADS treatment response criteria measure the diameter of viable arterially enhancing tumour components and show good prognostic value for HCC treated with locoregional therapy [16,17,18]. However, whether these criteria are applicable to HCC treated with SABR remains uncertain.
Additional challenges of differentiating viable tumour from radiotherapy-related changes are also present, as persistent arterial hyperenhancement is commonly observed on imaging within the first few months following SABR and in previous studies has not correlated with the risk of local recurrence [4]. In most cases in our cohort, subtle hyperenhancement within the treated lesion had been described on post-SABR imaging, but was not associated with washout on portovenous phase imaging and could not conclusively be differentiated from post-radiotherapy changes. Imaging performed at an earlier 6–8 week interval did not provide additional benefit over a planned 3-month post-treatment imaging interval, due to the difficulties delineating residual disease from post-radiotherapy appearances.
Up to 30% of patients with HCC listed for transplantation are delisted due to progressive disease [19]. An emerging body of literature supports SABR as a promising bridging therapy to achieve tumour control while awaiting liver transplantation [10,11,12], although the rates of complete tumour necrosis on explant histology have appeared modest [10, 20,21,22]. Previous case series of patients with HCC transplanted following bridging SABR in Mount Sinai USA (n = 27) [20], Germany (n = 4) [21], Rochester USA (n = 24) [22], and Canada (n = 30) [10], have demonstrated complete tumour necrosis on explant histology for: 14% (versus a collective estimate of 30% by radiology), 25%, 29%, and 13% of treated patients respectively [10, 20,21,22].
To our knowledge, our study is the first UK study comparing radiological interpretation and explant histology of tumour responses for patients with HCC treated with bridging SABR, and the first study to provide a detailed side-by-side comparison of the radiology and histology. In our cohort, a significant reduction in tumour size by >1 cm occurred in three out of six patients post SABR treatment, accompanied by a marked reduction in AFP in two cases. However, all six treated patients in our cohort still had viable tumour detected in explant histology. This may be due to the relatively short time-frame between SABR and transplantation in our cohort (median 5 months), as while we would expect early reductions in tumour volume by 3 months post SABR [23], tumour necrosis has been shown to increase for up to 12 months in primary HCC tumours treated with SABR [23]. The short interval between post SABR imaging and subsequent transplantation (median 1 month) makes it unlikely that new local tumour recurrence had occurred during this interval.
While our data suggest that greater caution is needed with radiological interpretation of post-SABR tumour activity, this would not have affected the decision to transplant in our cohort. Radiological assessment provided appropriate reassurance of tumour control and no patients had progressed outside transplant criteria on explant histology. However, if our waiting times from treatment to transplantation had been longer, the need for more accurate stratification of residual tumour activity post-SABR may have been more imperative.
Our study also raises a broader question over the accuracy of post-treatment imaging interpretation for patients with early-stage HCC who receive SABR treatment alone and not as a bridge to liver transplantation. Histological evaluation of treatment response is rarely obtained for this cohort, and currently there are no definitive radiological criteria validated for evaluation of tumour activity following SABR, leading to potential risks for inaccurate classification. In our centre, we adopt a protocol of serial 3-monthly multiphasic contrast MRI or CT imaging for the first 12 months post-SABR (and 6-monthly thereafter) for surveillance for lesion changes, together with AFP monitoring, to help facilitate timely treatment decisions.
This case series is limited by its retrospective nature and small sample size. Despite our seven-year recruitment period, SABR is not routinely performed as a bridging therapy to liver transplantation for HCC in the UK, and HCC tumours are not commonly biopsied in cirrhotic patients due to concerns over bleeding and tumour seeding, albeit these risks have recently been demonstrated to be low [24], thus routine access to histology for examination in a larger cohort was not available. Future study in a larger patient cohort across multiple liver transplant centres is required to validate our findings.
In conclusion, we find that conventional radiological evaluation following SABR underestimated residual HCC tumour activity compared to explant histology. Prospective study is required to identify radiological criteria capable of more conclusively evaluating HCC responses to radiotherapy.
Data availability
The authors confirm that the data supporting the findings of this study are available within the article.
References
Sung H, Ferlay J, Siegel R, Laversanne M, Soerjomataram I, Jemal A, et al. Global Cancer Statistics 2020: GLOBOCAN Estimates of Incidence and Mortality Worldwide for 36 Cancers in 185 Countries. CA Cancer J Clin. 2021;71:209–49.
Llovet JM, Kelley RK, Villanueva A, Singal AG, Pikarsky E, Roayaie S, et al. Hepatocellular carcinoma. Nat Rev Dis Prim. 2021;7:6.
NHS England. Clinical Commissioning Policy: Stereotactic Ablative Radiotherapy (SABR) for Hepatocellular Carcinoma (Adults) (URN:1913) [200206P].
Shanker MD, Liu HY, Lee YY, Stuart KA, Powell EE, Wigg A, et al. Stereotactic radiotherapy for hepatocellular carcinoma: expanding the multidisciplinary armamentarium. J Gastroenterol Hepatol. 2021;36:873–84.
Dobrzycka M, Spychalski P, Rostkowska O, Wilczynski M, Kobiela P, Grat M, et al. Stereotactic body radiation therapy for early-stage hepatocellular carcinoma – a systematic review on outcome. Acta Oncol. 2019;58:1706–13.
Rim CH, Kim HJ, Seong J. Clinical feasibility and efficacy of stereotactic body radiotherapy for hepatocellular carcinoma: a systematic review and meta-analysis of observational studies. Radiother Oncol. 2019;131:135–44.
Takeda A, Sanuki N, Tsurugai Y, Iwabuchi S, Matsunaga K, Ebinuma H, et al. Phase 2 study of stereotactic body radiotherapy and optional transarterial chemoembolization for solitary hepatocellular carcinoma not amenable to resection and radiofrequency ablation. Cancer. 2016;122:2041–9.
Kang JK, Kim MS, Cho CK, Yang KM, Yoo HJ, Kim JH, et al. Stereotactic body radiation therapy for inoperable hepatocellular carcinoma as a local salvage treatment after incomplete transarterial chemoembolization. Cancer. 2012;118:5424–31.
Kim JW, Seong J, Lee IJ, Woo JY, Han KH. Phase I dose-escalation study of helical intensity-modulated radiotherapy-based stereotactic body radiotherapy for hepatocellular carcinoma. Oncotarget. 2016;7:40756.
Sapisochin G, Barry A, Doherty M, Fischer S, Goldaracena N, Rosales R, et al. Stereotactic body radiotherapy vs. TACE or RFA as a bridge to transplant in patients with hepatocellular carcinoma. An intention-to-treat analysis. J Hepatol. 2017;67:92–99.
Barry AS, Sapisochin G, Russo M, Brade AM, Brierley JD, Kim JH, et al. The use of stereotactic body radiotherapy as a bridge to liver transplantation for hepatocellular carcinoma. J Clin Oncol. 2016;34:418.
Nugent FW, Qamar A, Stuart KE, Galuski K, Flacke S, Molgaard C, et al. A randomized phase II feasibility study of individualized stereotactic body radiation therapy (SBRT) versus transarterial chemoembolization (TACE) with DEBDOX beads as a bridge to transplant in hepatocellular carcinoma (HCC). J Clin Oncol. 2017;35.
Nagtegaal ID, Odze RD, Klimstra D, Paradis V, Rugge M, Schirmacher P, et al. The 2019 WHO classification of tumours of the digestive system. Histopathology. 2020;76:182–8.
European Association for the Study of the Liver. EASl clinical practice guidelines: management of hepatocellular carcinoma. J Hepatol. 2018;69:182–236.
Marrero JA, Kulik LM, Sirlin CB, Zhu AX, Finn RS, Abecassis MM, et al. Diagnosis, staging, and management of hepatocellular carcinoma: 2018 Practice Guidance by the American Association for the Study of Liver Diseases. Hepatology. 2018;68:723–50.
Lencioni R, Llovet JM. Modified RECIST (mRECIST) assessment for hepatocellular carcinoma. Semin Liver Dis. 2010;30:52–60.
Bruix J, Sherman M, Llovet JM, Beaugrand M, Lencioni R, Burroughs AK, et al. Clinical management of hepatocellular carcinoma. Conclusions of the Barcelona-2000 EASL conference. Eur Assoc Study Liver J Hepatol. 2001;35:421–30.
Vincenzi B, Di Maio M, Silletta M, D’Onofrio L, Spoto C, Piccirillo MC, et al. Prognostic relevance of objective response according to EASL criteria and mRECIST criteria in hepatocellular carcinoma patients treated with loco-regional therapies: a literature-based meta-analysis. PLoS One. 2015;10:e0133488.
Mehta N, Guy J, Frenette CT, Dodge JL, Osorio RW, Minteer WB, et al. Excellent outcomes of liver transplantation following down staging of hepatocellular carcinoma to within milan criteria: a multi-center study. Clin Gastroenterol Hepatol. 2018;16:955–64.
Facciuto ME, Singh MK, Rochon C, Sharma J, Gimenez C, Katta U, et al. Stereotactic body radiation therapy in hepatocellular carcinoma and cirrhosis: evaluation of radiological and pathological response. J Surg Oncol. 2012;105:692–8.
Bauer U, Gerum S, Roeder F, Munch S, Combs SE, Philipp AB, et al. High rate of complete histopathological response in hepatocellular carcinoma patients after combined transarterial chemoembolization and stereotactic body radiation therapy. World J Gastroenterol. 2021;27:3630–42.
Mohamed M, Katz AW, Tejani MA, Sharma AK, Kashyap R, Noel MS, et al. Comparison of outcomes between SBRT, yttrium-90 radioembolization, transarterial chemoembolization, and radiofrequency ablation as bridge to transplant for hepatocellular carcinoma. Adv Radiat Oncol. 29;1:35-42.
Goyal K, Einstein D, Yao M, Kunos C, Barton F, Singh D, et al. Cyberknife stereotactic body radiation therapy for nonresectable tumors of the liver: preliminary results. HPB Surg 2010;309780.
Childs A, Zakeri N, Ma YT, O’Rourke J, Ross P, Hashem E, et al. Biopsy for advanced hepatocellular carcinoma: results of a multicentre UK audit. Br J Cancer. 2021;125:1350–5.
Acknowledgements
This study is funded by the National Institute for Health and Care Research Birmingham Biomedical Research Centre. The views expressed are those of the authors and not necessarily those of the NIHR or the Department of Health and Social Care.
Author information
Authors and Affiliations
Contributions
NZ and SS contributed to the study concept and design. NZ collated and analysed the data and drafted and revised the manuscript. RM, OC, JG, TS, SS contributed to data collection, review and editing of the manuscript.
Corresponding author
Ethics declarations
Competing interests
The authors declare no competing interests.
Ethics approval and consent to participate
The study was conducted in accordance with the Declaration of Helsinki. The study was approved by the Institutional Review Board of the Queen Elizabeth Hospital Birmingham UK (Clinical audit registration and management system reference number 22814). Participants’ consent was not required for approval as presented data are all anonymised.
Additional information
Publisher’s note Springer Nature remains neutral with regard to jurisdictional claims in published maps and institutional affiliations.
Rights and permissions
Open Access This article is licensed under a Creative Commons Attribution-NonCommercial-NoDerivatives 4.0 International License, which permits any non-commercial use, sharing, distribution and reproduction in any medium or format, as long as you give appropriate credit to the original author(s) and the source, provide a link to the Creative Commons licence, and indicate if you modified the licensed material. You do not have permission under this licence to share adapted material derived from this article or parts of it. The images or other third party material in this article are included in the article’s Creative Commons licence, unless indicated otherwise in a credit line to the material. If material is not included in the article’s Creative Commons licence and your intended use is not permitted by statutory regulation or exceeds the permitted use, you will need to obtain permission directly from the copyright holder. To view a copy of this licence, visit http://creativecommons.org/licenses/by-nc-nd/4.0/.
About this article
Cite this article
Zakeri, N., Sundareyan, R., Cain, O. et al. Stereotactic ablative radiotherapy for patients with hepatocellular carcinoma: analysis of post-treatment radiology and explant histology. BJC Rep 3, 36 (2025). https://doi.org/10.1038/s44276-025-00136-3
Received:
Revised:
Accepted:
Published:
Version of record:
DOI: https://doi.org/10.1038/s44276-025-00136-3



