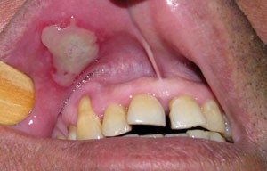
Sir, promoted by the paper by Gilvetti et al.,1 we would like to report a further case. A 50-year-old male was referred to our oral medicine clinic complaining of a painful ulcer on his upper lip. The patient reported a previous history of long-standing recurrent aphthous stomatitis (RAS) that had been treated elsewhere without relief of the symptoms, which had recurred nine days previously. In an attempt to alleviate the local pain he placed cotton wool soaked in formalin (37%) on his upper lip mucosa. Oral examination revealed a white pseudomembrane covering an extensive ulcer (2.5 × 2.5 cm diameter) with irregular borders. The lesion was associated with intense pain during mouth opening and lip palpation (Fig. 1) and was diagnosed as traumatic chemically induced oral ulceration. The patient was informed about the risks of self-treatment without professional advice and received instructions to maintain excellent oral hygiene. The mucosa injury completely resolved spontaneously after 21 days of clinical follow-up (Fig. 2).
To the best of our knowledge this is the first case reporting an oral chemical burn associated with formalin, an irritating and toxic corrosive liquid that can be absorbed from all surfaces of the human body.2
References
Gilvetti C, Porter S R, Fedele S . Traumatic chemical oral ulceration: a case report and review of the literature. Br Dent J 2010; 208: 297–300.
Pandey C K, Agarwal A, Baronia A, Singh N . Toxicity of ingested formalin and its management. Hum Exp Toxicol 2000; 19: 360–366.
Author information
Authors and Affiliations
Rights and permissions
About this article
Cite this article
Ribeiro, A., Simonato, L., Santos-Silva, A. et al. Formalin burn. Br Dent J 209, 4 (2010). https://doi.org/10.1038/sj.bdj.2010.587
Published:
Issue date:
DOI: https://doi.org/10.1038/sj.bdj.2010.587

