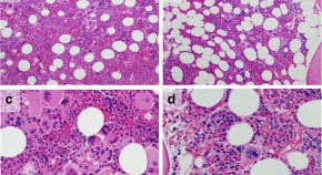
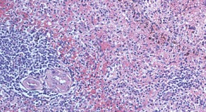
Changes in the bone marrow (BM) stroma can create an environment that favors neoplastic cell growth and survival. The authors of this Review examine the contribution of the BM stroma to several hematological neoplasms and describe the processes that are responsible for remodeling the BM stroma. Approaches that target components of the altered BM stroma and prevent the crosstalk between BM stromal cells and neoplastic cells are also discussed.
- Claudio Tripodo
- Sabina Sangaletti
- Stefano A. Pileri