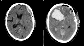
Cheng et al. developed a computer vision tool (SeeMe) that detects low-amplitude facial movements in comatose brain injury patients. Purposeful responses are detected days before clinical detection, suggesting that covert consciousness may often go unrecognized.
- Xi Cheng
- Sujith Swarna
- Sima Mofakham