Abstract
NTRK gene rearrangements are important to identify as predictors of response to targeted therapy in many malignancies. Only 0.16–0.3% of colorectal carcinomas (CRCs) harbor these fusions making universal screening difficult. We therefore investigated whether pan-Trk immunohistochemistry (IHC), mismatch repair deficiency (MMRd), and BRAFV600E mutation status could be used to triage molecular testing for NTRK gene rearrangements in CRC. CRCs from 4569 unselected patients underwent IHC in TMA format with two different anti-pan-Trk rabbit monoclonal antibodies. All positive cases were confirmed on whole sections and underwent RNA-sequencing. Pan-Trk IHC was positive in 0.2% of CRCs (9/4569). Both antibodies demonstrated similar staining characteristics with diffuse positive staining in all neoplastic cells. Of note 8/9 (89%) IHC positive cases were both MMRd (all showing MLH1/PMS2 loss) and lacked BRAFV600E mutation. That is, IHC was positive in 5.3% (8/152) MLH1/PMS2/BRAFV600E triple negative CRCs, but only 0.02% (1/4417) not showing this phenotype. All nine IHC positive CRCs demonstrated gene rearrangements (LMNA-NTRK1 in 5 CRCs, TPR-NTRK1, STRM-NTRK1, MUC2-NTRK2, and NTRK1 with an unknown partner in one each), suggesting close to 100% specificity for IHC in this sub-population. NTRK fusions were associated with right sided (p = 0.02), larger tumors (p = 0.029) with infiltrative growth (p = 0.021). As a part of universal Lynch syndrome screening many institutions routinely test all CRCs for MMRd, and then proceed to reflex BRAFV600E mutation testing in MLH1/PMS2 negative CRCs. We conclude that performing pan-Trk IHC on this preselected subgroup of MLH1/PMS2/BRAFV600E triple negative CRCs (only 3.3% of all CRC patients) is a resource effective approach to identify the overwhelming majority of CRC patients with NTRK gene fusions.
Similar content being viewed by others
Introduction
The neurotrophic tyrosine receptor kinase (NTRK) family of genes (NTRK1 located at 1q23.1, NTRK2 at 9q21.33, and NTRK3 at 15q25.3) encode three closely related tropomyosin receptor kinases TrkA, TrkB, and TrkC, respectively [1]. When activated by binding to neurotropins, these tyrosine kinases contribute to neuronal development, function, and proliferation [2, 3]. Most oncogenic events involving the NTRK genes require the fusion of the 3′ end of an NTRK gene, which contains the kinase domain, to the 5′ end of another gene resulting in constitutive overexpression and ligand-independent activation of a chimeric Trk protein. This drives proliferation via downstream signaling of the mitogen-activated protein kinase (MAPK) pathway [2].
ETV6-NTRK3 fusions drive the great majority of certain specific rare neoplasms—infantile fibrosarcoma, cellular, and mixed congenital mesoblastic nephroma and secretory carcinoma of the breast and salivary glands [4,5,6,7,8]. However, oncogenic NTRK fusions with many other partners also occur at a very low incidence in a wide range of malignancies. To date, published data on the incidences of these fusions may be subject to a referral bias towards cases with advanced disease undergoing extensive molecular testing, but current best estimates of the incidences in different malignancies include glial/neuroepithelial tumors 0.55–1.4%, lung adenocarcinoma 0.07–0.23%, pancreatic adenocarcinoma 0.34%, melanoma 0.36%, and cholangiocarcinoma 0.25% [4, 9].
There are three different NTRK genes; fusions may be either intrachromosomal or interchromosomal; and fusions may involve a wide range of partners including AFAP1F1, ARHGEF11, BCR, CTRC, DIAPH1, EML4, EPS15, ETV6, IRFBP2, KANK1, KIF21B, LMNA, PEAR1, PLEKHA6, QKI, RBPMS, STRN, SNHG26, SQSTM1, TFG, TPM3, TPR, TRAF2, TRIM63, and ZBTB7B [2, 4,5,6]. Therefore, detection of these gene rearrangements by multiplexed next-generation sequencing assays (NGS) or fluorescence in-situ hybridization assays (FISH) studies can be complex, expensive, and difficult to deploy in the routine clinical setting.
In November 2018, larotrectinib became the first in a new class of rationally designed Trk inhibitors to receive accelerated approval for solid cancers with NTRK fusions in the advanced/metastatic setting, or where other treatment options are not feasible, regardless of histological classification [10, 11]. Larotrectinib and other Trk inhibitors have continued to demonstrate tremendous promise in this setting [10,11,12]. This has driven a demand for NTRK fusion testing in routine surgical pathology laboratories. Whilst the expense of these assays can be justified in the small number of advanced or resistant malignancies with a very high incidence of these rearrangements such as secretory carcinoma, infantile fibrosarcoma, and mesoblastic nephroma, universal screening can be difficult to achieve in a resource effective manner in the large numbers of common malignancies with very low incidences of NTRK fusions.
Similar to other malignancies, dramatic responses to larotrectinib have been reported in patients with metastatic colorectal carcinoma (CRC) harboring NTRK fusions [11]. In some well-resourced institutions most patients with advanced CRC already undergoing NGS or advanced molecular testing, which may include NTRK fusion testing as part of a broad panel. However, CRC is one of the most common malignancies, with an estimated 1.8 million new cases report worldwide each year [13], and NTRK fusions occur in only 0.16–0.31% of CRC [4, 9]. Therefore, despite the potential benefit for a small number of patients, in many centres it is considered difficult to justify the cost of routine molecular testing for NTRK fusions in all patients with CRC.
Pan-Trk immunohistochemistry (IHC) is emerging as a promising but not flawless surrogate marker for the detection of NTRK fusions in a range of malignancies [1, 4, 14]. Recently it has also been demonstrated that CRCs which are microsatellite unstable (MSI) due to MLH1 promoter hypermethylation are highly enriched for targetable tyrosine kinase fusions including NTRK fusions [15] and that such fusions are mutually exclusive with BRAFV600E and RAS hotspot mutations (which also activate the MAPK pathway) [15]. As a part of Lynch syndrome screening programs, most institutions now perform either MSI or mismatch repair deficiency (MMRd) testing on all CRCs, with cascade molecular or immunohistochemical testing for BRAFV600E mutation in CRCs that demonstrate dual PMS2 and MLH1 loss of expression [16].
We therefore sought to investigate whether the combination of pan-Trk IHC, MMRd, and BRAFV600E mutation status could be used to triage molecular testing for NTRK gene rearrangements in all patients with CRC.
Methods
Patients
We developed a cohort of unselected patients undergoing surgical resection for CRC by searching the computerized database of the Department of Anatomical Pathology, Royal North Shore Hospital, Sydney, Australia for all cases between June 1998 and 31 December 2017. Exclusion criteria included extracolonic and appendiceal location, tumors undergoing biopsy alone or treated endoluminally, and histological type other than adenocarcinoma and its variants as defined by the World Health Organization 2019 classification [17]. A tissue microarray (TMA) was created containing duplicate 1 mm cores from formalin-fixed paraffin-embedded (FFPE) tumor blocks. The entire cohort was annotated for clinicopathological details including stage, grade, MMR status, and BRAFV600E mutation status. Detailed methods for MMR and BRAFV600E detection have been previously described [18]. Overall survival was obtained from medical records and publicly available death notices and defined as the duration alive from the time of surgical resection until 1 August 2019.
Immunohistochemistry (IHC)
IHC for Trk was performed on TMA sections using the Leica-Bond III automated staining platform (Leica Micro systems, Mount Waverley, Victoria, Australia). Two different rabbit monoclonal anti-NTRK antibodies were employed on all cases and sections – clone EPR17341 (Abcam, Cambridge, MA) and clone A7H6R (Cell Signaling Technology, Danvers, MA). Both antibodies were used at a dilution of 1:50 after heat-induced epitope retrieval for either 90 min (EPR17341) or 60 min (A7H6R) at 97 °C in the manufacturer’s alkaline retrieval solution ER2 (VBS part no: AR9640).
The results of Trk IHC were interpreted independently by two pathologists (AG, AC) who were blinded to all clinical and pathological data. Cases were scored as positive if there was unequivocal staining in any percentage of tumor cells in any pattern (nuclear, cytoplasmic, and/or membrane) locations. The absence of any staining was scored as negative. If there was any doubt (for example if there was weak non-specific staining possibly in mucus only) on the TMA sections, cases were interpreted as equivocal. All cases that were considered positive or equivocal on TMA sections underwent repeat IHC on whole sections, which were again scored blinded to all clinical and pathological details.
Molecular testing
All Trk IHC whole section positive cases underwent NGS of FFPE tumor tissue. This was performed in a CLIA-certified laboratory (Knight Diagnostic Laboratories, OHSU) using a QIAseq amplicon based (Qiagen) RNA-sequencing assay (GeneTrails® Solid Tumor Fusion Gene Panel) which covers 21 target genes including NTRK1, NTRK2, NTRK3, AKT3, ALK, BRAF, EGFR, ERBB4, ERG, FGFR1, FGFR2, FGFR3, MET, NOTCH1, NOTCH2, NRG1, NUTM1, PDGFRA, RAF1, RET, and ROS1 [19]. This assay is fusion partner agnostic and requires a minimum of 100,000 unique mapped reads for analysis.
FISH testing
Any case for which a definitive diagnostic result was not obtained by RNA-sequencing underwent FISH testing for NTRK1 gene rearrangements using the ZytoLight SPEC NTRK1 Dual Color Break Apart Probe (cat no Z-2167-50, ZytoVision, Bremerhaven, Germany). FISH was performed and interpreted according to the manufacturer’s instructions. A threshold of 15% nuclei positive for a break apart signal, or the same percentage with a red only signal (indicating a preserved 3′ end containing the tyrosine kinase domain with a disrupted 5′ end) was considered positive for gene rearrangement [20].
Statistical analysis
Statistical analysis was performed using IBM SPSS Statistics v23 on OSX and P values of <0.05 were considered as statistically significant. Mean overall survival was estimated using Kaplan–Meier methods and the significance of the differences was tested using the log-rank test. Clinicopathological characteristics between pan-TRK positive and pan-TRK negative tumors were compared using Fisher’s exact test. A p value of <0.05 was considered significant. This study was approved by the Northern Sydney Local Health District Human Research Ethics Committee—ref: LNR 1312-417 M.
Results
Patient characteristics
A total of 4569 patients with CRC diagnosed between June 1998 and December 2017 had material in TMA sections and comprised the study cohort. The clinicopathological characteristics and overall survival are summarized in Table 1. As expected, male gender (p = 0.026), older age (p = 0.0001), right-sided location (p = 0.0001), larger size (p = 0.0001), apical node involvement (p = 0.0001), high pT stage (p = 0.0001), high pN stage (p = 0.0001), high pM stage (p = 0.0001), high overall stage (p = 0.0001), high histological grade (p = 0.0001), infiltrative pattern of growth (p = 0.0001), small vessel invasion (p = 0.0001), extramural venous invasion (p = 0.0001), discontinuous tumor nodules (p = 0.0001), positive margin involvement (p = 0.0001), and BRAFV600E mutation (p = 0.001) were all associated with worse overall survival.
Characteristic of NTRK positive CRC
Trk IHC was diffusely positive in all neoplastic cells in both the TMAs and whole sections in tumors from 9 of 4569 (0.2%) CRCs – Fig. 1. An additional four cases had demonstrated possible very focal non-specific staining confined to mucus on TMA sections but were definitively negative when staining was repeated on whole sections. The clinicopathological characteristics of the nine Trk IHC positive cases are summarized in Table 2. Briefly, all nine cases were negative for BRAFV600E mutation. Eight of the nine cases were MMRd characterised by MLH1 and PMS2 loss of expression with positive staining for MSH2 and MSH6. The one case that was mismatch repair proficient (MMRp) was also confirmed to be microsatellite stable on formal molecular testing.
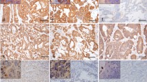
Serial H&E (a, c, e) and Trk IHC (b, d, e) stained sections. a, b Case 3 showing some mucinous differentiation and cytoplasmic only Trk staining (MUC2-NTRK2 fusion). c, d Case 4 showing a solid-cribriform growth pattern and cytoplasmic only staining (STRM-NTRK1 fusion). e, f Case 9 pan-TRK IHC showing nuclear, cytoplasmic, and nuclear membrane staining (LMNA-NTRK1 fusion). [Original magnifications ×400]
When restricted to MMRd tumors, positive Trk IHC expression was found in 0.9% of the CRCs, and when restricted to both MLH1/PMS2-ve and BRAFV600E wild-type tumors, Trk IHC expression was found in 5.3% of cases. Trk IHC positive CRCs were associated with location in the right colon (p = 0.02), larger tumor size (p = 0.029), and MMRd (p = 0.0001)—summarized in Table 3. When examined in MMRd tumors only, Trk IHC positive CRC was associated with BRAFV600E wild type (p = 0.0001) and infiltrative pattern of growth (p = 0.021). Other than features that are well reported to be associated with MMRd, including areas of mucinous differentiation (n = 3 cases), a tendency to a solid-cribriform growth pattern (n = 3) and prominent tumor infiltrating lymphocytes, there were no specific histological features of Trk IHC positive CRCs. Four patients underwent MLH1 promoter methylation studies and all were found to be somatically hypermethylated. In view of a significant family history one of these patients also underwent genetic testing for Lynch syndrome and was found to lack germline MLH1 and PMS2 mutations. No other patients were tested for Lynch syndrome, and none were known to have Lynch syndrome.
Survival analysis of the entire cohort demonstrated that pan-Trk positive CRCs were associated with a trend toward shortened mean overall survival, however the difference did not reach statistical significance (83 vs 119 months, p = 0.976). This finding of a non-statistically significant trend towards shortened survival was similar when restricted to MMRd tumors (p = 0.732) and MLH1/PMS2/BRAFV600E triple negative tumors (p = 0.582).
RNA-sequencing
All nine pan-TRK positive tumors were submitted for RNA-sequencing. One case failed RNA-sequencing (repeated on two separate blocks) due to poor RNA yield. The other eight cases all showed gene rearrangement involving either the NTRK1 (7/8) or NTRK2 (1/8) genes. LMNA-NTRK1 was found in 62.5% (5/8) of the cases. The other rearrangements comprised TPR-NTRK1, STRM-NTRK1, and MUC2-NTRK2 fusions—Table 2.
Fluorescence in-situ hybridization
We performed NTRK1 FISH on case 7, which was positive for pan-Trk IHC in a nuclear, nuclear membrane, and cytoplasmic pattern but failed RNA-sequencing. FISH studies confirmed the presence of a gene rearrangement with a red only signal pattern, which has previously been reported in an orthogonally confirmed NTRK1 rearranged lung adenocarcinoma [20]—Fig. 2.
IHC staining pattern
Both rabbit monoclonal anti-Trk antibodies demonstrated similar staining characteristics. Although we noted that clone EPR17341 was more prone to focal non-specific uptake in extracellular mucin (explaining the four cases which were equivocal on TMA but definitively negative with both antibodies on whole sections), there was complete concordance between the two antibodies on whole sections. There was also complete concordance between the two observers in interpreting both antibodies.
On whole and TMA sections all nine Trk IHC positive cases showed diffuse strong cytoplasmic staining in all neoplastic cells. Positive staining was also noted in the adenomatous and in-situ components when present in whole sections (n = 3). In the three cases with adenomatous components, all were conventional adenomas (two tubulovillous and one villous). None of the precursor lesions had a discernible serrated component. There was no uptake in non-neoplastic epithelium, but staining was noted in ganglion cells and nerves in the myenteric plexus. Details of the staining patterns are summarized in Table 2 and Fig. 1. In addition to cytoplasmic staining, three cases with LMNA-NTRK1 fusions (case 1, case 6, and case 9) and case 7 (failed RNA-seq, but NTRK1 rearranged by FISH) also showed nuclear and nuclear membrane staining (Fig. 1f). The case with MUC2-NTRK2 fusion (case 3), and one case with LMNA-NTRK1 (case 8) demonstrated nuclear membrane staining without nuclear staining.
Discussion
In our large unselected cohort of 4569 surgically resected CRCs, we found that pan-Trk IHC is 100% specific for the presence of NTRK gene rearrangements with 8 of 9 IHC positive cases confirmed rearranged by RNA-sequencing and the remaining case which failed this approach confirmed rearranged by FISH. That is, providing IHC is validated in the local setting, IHC expression in CRC as determined by either of the Trk antibodies we tested can be considered very strong presumptive evidence of NTRK gene rearrangement.
However, we note that in the unselected cohort only 9 of 4569 (0.2%) CRCs were positive and thus universal Trk IHC testing is a very low yield approach. Therefore it is emphasized that Trk IHC was positive in 5.3% (8/152) CRCs demonstrating the PMS2/MLH1/BRAFV600E triple negative phenotype but only 0.02% (1/4417) lacking this phenotype. Given that many laboratories already perform either MSI or MMR testing on all CRCs at first biopsy or resection and then perform BRAFV600E mutation testing or mutation specific IHC in PMS2/MLH1 dual negative cases as part of Lynch syndrome screening programs [16, 21], CRCs with this PMS2/MLH1/BRAFV600E triple negative phenotype are already identified in routine clinical practice. We propose that by performing Trk IHC in this highly enriched preselected cohort, this marker then becomes high yield (5.3% of cases positive) and identifies the great majority (89%) of Trk IHC positive CRCs.
We do not routinely perform RAS mutation testing at first diagnosis, but do perform this testing at the time of recurrence to guide anti-EGFR therapy. In addition to being highly enriched in CRCs which are MMRd and BRAF wild type, there is now emerging evidence that NTRK gene rearrangements are also highly enriched in tumors that lack RAS mutations (and other abnormalities that affect the MAPK pathway) [15, 22, 23]. Although two of the NTRK1 gene rearranged CRCs in our study were known to be KRAS wild type, we do not have detailed data on the RAS mutation status in our cohort. It is known that approximately 30% of MLH1-hypermethylated BRAF wild-type CRCs harbor KRAS mutations [24]. Therefore, the yield of Trk IHC could be further increased by restricting testing to CRCs which are MLH1/PMS2/BRAFV600E/RAS quadruple negative. This would have added advantages in planning treatment, given that there is now emerging evidence that NTRK rearranged CRCs are likely to be resistant to anti-EGFR therapy despite being RAS wild type [22, 23].
We designed this study to assess the practicalities of restricting reflex Trk IHC to MLH1/PMS2/BRAFV600E triple negative CRC. However, a significant weakness of this study is that we did not assess the sensitivity of Trk IHC for NTRK fusions as we did not perform NTRK fusion testing on the IHC negative cases. This is an important limitation of the study because Trk IHC is an imperfect screening test for NTRK rearrangements. In one study [14], 4 of 5 (80%) molecularly confirmed NTRK rearranged CRCs were Trk IHC positive, but IHC did not identify one case that was ETV6-NTRK3 gene rearranged. In a follow up study from the same group, presumably in an overlapping cohort, Trk IHC identified NTRK rearrangements in 7 of 8 (87.5%) CRCs [4].
Two consistent themes are emerging on the sensitivity and specificity of Trk IHC in the pan-malignancy setting and mirror our experience [3]. Firstly, it appears that Trk IHC is highly specific (close to 100%) for NTRK rearrangements in certain tumors such as colon, lung, thyroid and pancreatobiliary, but at high risk of false positive staining in certain other malignancies including some salivary gland neoplasms, sarcomas, gliomas, and tumors with neurogenic differentiation [4, 25]. Secondly, it appears that Trk IHC is highly sensitive for NTRK1 and NTRK2 gene rearrangements with reported sensitivities in the pan-malignancy setting of 87.5–96.2% for NTRK1 and 89–100% for NTRK2 [4, 9]. However, the sensitivity for NTRK3 rearrangements is much lower—ranging from just 55–79.4% [4, 9]. Therefore, it is possible that our IHC stain may have been falsely negative in some CRCs, and in particular may have missed NTRK3 rearranged CRCs. However, NTRK3 rearrangements are relatively rare in CRC [4, 9]. Furthermore, the reported incidences of NTRK fusions in CRCs range from 2 of 1272 (0.16%) [4] to 9 of 2929 (0.31%) [9] and our finding of rearrangements in 9 out of 4569 (0.20%) CRCs in this study is certainly within the expected incidence of rearrangements in this population. That is, although Trk IHC may have missed some rearranged cases in this cohort, it is unlikely that we missed many cases. However we fully accept that some NTRK (particularly NTRK3) gene rearranged CRCs may be negative for Trk IHC. Therefore the fact that we did not directly assess the sensitivity of Trk IHC by screening large numbers of IHC negative CRCs, but rather presumed it is likely to have good sensitivity based on similar incidences in molecularly screened populations, remains a weakness of this study.
Despite the cost advantages of restricting Trk IHC to MLH1/PMS2/BRAFV600E triple negative or MLH1/PMS2/BRAFV600E/RAS quadruple negative CRCs where systemic therapy is being considered, we emphasize that we still consider Trk IHC to be a triage/screening test. We note that this approach will identify the overwhelming majority of TrK IHC positive CRCs (89%), but it will certainly not identify all IHC positive CRCs and, as discussed above, based on current knowledge it may be that not all NTRK gene rearranged CRCs will be positive for TrK IHC. Therefore, if resources permit, molecular testing for NTRK gene rearrangements may still be reasonable on very low risk CRCs (those that lack the MLH1/PMS2/BRAFV600E triple negative phenotype) or extremely low risk CRCs (those that lack this phenotype and are TrK IHC negative).
Another potential weakness of this study is that screening was first performed on TMA rather than whole sections and it is possible that it may have missed cases with focal expression on whole sections (which would still be considered positive). However, we note that in all Trk IHC positive CRCs, the protein was expressed diffusely through the carcinomas (including in the adenomatous and in-situ components). Therefore this is less likely to be a confounding factor.
The most common NTRK rearrangements found in the present study involved NTRK1 (n = 8), partnered with LMNA (n = 5), TPR (n = 1), STRN (n = 1), or an unknown partner (n = 1). One case involved NTRK2 partnered with MUC2. To date, reported NTRK fusion partners in CRC include LMNA, TPM3, EML4, SCYL3, TPR, and ETV6 [14, 26, 27] and fusions involving all three NTRK genes have shown good response to larotrectinib in a recent basket trial [28]. Single case reports of good responses to NTRK inhibition have also been in reported in CRCs with LMNA-NTRK1 and TPM3-NTRK1 fusions [7, 29]. However, the MUC2-NTRK2 fusion which we identified has not previously been described in any malignancy, and the STRN-NTRK1 fusion has not previously been reported in CRC.
Recently Lasota et al. [30] reported their experience of NTRK IHC in a cohort of 7008 CRCs also screened first by IHC in TMAs or multi-tumor blocks with subsequent molecular testing on positive cases. Similar to us, they found that 0.23% (16 cases) demonstrated positive IHC expression for NTRK and NTRK fusions were confirmed in all 15 of these cases with sufficient RNA for testing—TPM3-NTRK1 (n = 9), LMNA-NTRK1 (n = 3), TPR-NTRK1 (n = 2), and EML4-NTRK3 (n = 1). They also found a predisposition for right-sided involvement (75% compared with our 89%), female predominance (4.3:1 vs our 2:1), frequent solid growth pattern, mucinous differentiation, and high tumor infiltrating lymphocytes, and that the majority (81% versus our 89%) were MMRd (MLH1/PMS2 deficient) with no BRAF, K-RAS, N-RAS, or PIK3CA mutations found in any of the ten CRCs tested.
In conclusion, pathogenic NTRK fusions occur in only a small minority of CRCs—estimated at 0.20% in this study with previously reported incidences of 0.16–0.31%. Because of their rarity, NTRK fusions can be difficult and expensive to identify in the routine clinical setting. This study, although not intended to address sensitivity, demonstrates that Trk IHC is close to 100% specific for the presence of NTRK rearrangements in CRC. Furthermore, given that universal MMRd/MSI screening with cascade BRAFV600E mutation testing or mutation specific IHC in PMS2-ve/MLH-ve CRCs is established as part of routine clinical care in most laboratories, we propose that the addition of Trk IHC to all patients with MLH1/PMS2/BRAFV600E triple negative CRCs in whom systemic therapy is being considered represents a rational and cost-effective approach to identify the great majority of patients with CRC who would benefit from this novel targeted therapy.
References
Penault-Llorca F, Rudzinski ER, Sepulveda AR. Testing algorithm for identification of patients with TRK fusion cancer. J Clin Pathol. 2019;72:460–7.
Cocco E, Scaltriti M, Drilon A. NTRK fusion-positive cancers and TRK inhibitor therapy. Nat Rev Clin Oncol. 2018;15:731–47.
Zaborowski M, Gill AJ. Is secretory breast carcinoma underdiagnosed? In the era of targeted therapy should there be a low threshold to screen for NTRK immunohistochemistry in triple negative breast cancers? Pathology. 2019;51:653–5.
Solomon JP, Linkov I, Rosado A, Mullaney K, Rosen EY, Frozina D, et al. NTRK fusion detection across multiple assays and 33,997 cases: diagnostic implications and pitfalls. Mod Pathol. 2019. https://doi.org/10.1038/s41379-019-0324-7.
Vaishnavi A, Le AT, Doebele RC. TRKing down an old oncogene in a new era of targeted therapy. Cancer Discov. 2015;5:25–34.
Amatu A, Sartore-Bianchi A, Siena S. NTRK gene fusions as novel targets of cancer therapy across multiple tumour types. ESMO Open. 2016;1:e000023.
Ardini E, Bosotti R, Borgia AL, De Ponti C, Somaschini A, Sammarota R, et al. The TPM3-NTRK1 rearrangement is a recurring event in colorectal carcinoma and is associated with tumor sensitivity to TRKA kinase inhibition. Mol Oncol. 2014;8:1495–507.
El Demellawy D, Cundiff CA, Nasr A, Ozolek JA, Elawabdeh N, Caltharp SA, et al. Congenital mesoblastic nephroma: a study of 19 cases using immunohistochemistry and ETV6-NTRK3 fusion gene rearrangement. Pathology. 2016;48:47–50.
Gatalica A, Xiu J, Swensen J, Vranic A. Molecular characterization of cancers with NTRK gene fusions. Mod Pathol. 2019;32:147–53.
Administration FaD. FDA approves larotrectinib for solid tumors with NTRK gene fusions. 2018. https://www.fda.gov/drugs/fda-approves-larotrectinib-solid-tumors-ntrk-gene-fusions-0. Accessed 20 Sept 2019.
Drilon A, Laetsch TW, Kummar S, DuBois SG, Lassen UN, Demetri GD, et al. Efficacy of larotrectinib in TRK fusion-positive cancers in adults and children. N. Engl J Med. 2018;378:731–9.
Hong DS, Bauer TM, Lee JJ, Dowlati A, Brose MS, Farago AF, et al. Larotrectinib in adult patients with solid tumours: a multi-centre, open-label, phase I dose-escalation study. Ann Oncol. 2019;30:325–31.
Bray F, Ferlay J, Soerjomataram I, Siegel RL, Torre LA, Jemal A. Global cancer statistics 2018: GLOBOCAN estimates of incidence and mortality worldwide for 36 cancers in 185 countries. CA-Cancer J Clin. 2018;68:394–422.
Hechtman JF, Benayed R, Hyman DM, Drilon A, Zehir A, Frosina D, et al. Pan-Trk immunohistochemistry is an efficient and reliable screen for the detection of NTRK fusions. Am J Surg Pathol. 2017;41:1547–51.
Cocco E, Benhamida J, Middha S, Zehir A, Mullaney K, Shia J, et al. Colorectal carcinomas containing hypermethylated MLH1 promoter and wild type BRAF/KRAS are enriched for targetable kinase fusions. Cancer Res. 2019;79:1047–53.
Toon CW, Walsh MD, Chou A, Capper D, Clarkson A, Sioson L, et al. BRAFV600E immunohistochemistry facilitates universal screening of colorectal cancers for Lynch Syndrome. Am J Surg Pathol. 2013;37:1592–602.
Nagtegaal ID, Arends MJ, Salto-Tellez M. Colorectal adenocarcinoma. In: WHO classification of tumours of the digestive system. 5th edn. Lyon: IARC Press; 2019. pp. 173–83.
Toon CW, Chou A, DeSilva K, Chan J, Patterson J, Clarkson A, et al. BRAFV600E immunohistochemistry in conjunction with mismatch repair status predicts survival in patients with colorectal cancer. Mod Pathol. 2014;27:644–50.
Mitri ZI, Parmar S, Johnson B, Kolodzie A, Keck JM, Morris M, et al. Implementing a comprehensive translational oncology platform: from molecular testing to actionability. J Transl Med. 2018;16:358.
Farago AF, Le LP, Zheng Z, Muzikansky A, Drilon A, Patel M, et al. Durable clinical response to Entrectinib in NTRK1-rearranged non-small cell lung cancer. J Thorac Oncol. 2015;10:1670–4.
Yozu M, Kumarasinghe MP, Brown IS, Gill AJ, Rosty C. Australasian Gastrointestinal Pathology Society (AGPS) consensus guidelines for universal defective mismatch repair testing in colorectal carcinoma. Pathology. 2019;51:233–23.
Moran F, Corallo S, Lonardi S, Raimondi A, Cremolini C, Rimassa L, et al. Negative hyperselection of patients with RAS and BRAF wild-type metastatic colorectal cancer who received Panitumumab-based maintenance therapy. J Clin Oncol. 2019;JCO1901254. https://doi.org/10.1200/JCO.19.01254.
Cremolini C, Morano F, Moretto R, Berenato R, Tamborini E, Perrone F, et al. Negative hyper-selection of metastatic colorectal cancer patients for anti-EGFR monoclonal antibodies: the PRESSING case–control study. Ann Oncol. 2017;28:3009–14.
Farchoukh L, Kuan SF, Dudley B, Brand R, Nikiforova M, Pai RK. MLH1-deficient colorectal carcinoma with wild-type BRAF and MLH1 promoter hypermethylation harbor KRAS mutations and arise from conventional adenomas. Am J Surg Pathol. 2016;40:1390–9.
Hung YP, Jo VY, Hornick JL. Immunohistochemistry with a pan-TRK antibody distinguishes secretory carcinoma of the salivary gland from acinic cell carcinoma. Histopathology. 2019;75:54–62.
Creancier L, Vandenberghe I, Gomes B, Dejean C, Blanchet JC, Meilleroux J, et al. Chromosomal rearrangements involving the NTRK1 gene in colorectal carcinoma. Cancer Lett. 2015;365:107–11.
Pietrantonio F, Di Nicolantonio F, Schrock AB, Lee J, Tejpar S, Sartore-Bianchi A, et al. ALK, ROS1, and NTRK rearrangements in metastatic colorectal cancer. J Natl Cancer Inst. 2017;109.
Chen Y, Chi P. Basket trial of TRK inhibitors demonstrates efficacy in TRK fusion-positive cancers. J Hematol Oncol. 2018;11:78.
Sartore-Bianchi A, Ardini E, Bosotti R, Amatu A, Valtorta E, Somaschini A, et al. Sensitivity to Entrectinib associated with a novel LMNA-NTRK1 gene fusion in metastatic colorectal cancer. J Natl Cancer Inst. 2016;108:djv306.
Lasota J, Chlopek M, Lamourex J, Christiansen J, Kowalik A, Wasag B, et al. Colonic adenocarcinomas harboring NTRK fusion genes: a clinicopathologic and molecular genetic study of 16 cases and review of the literature. Am J Surg Pathol. 2019. https://doi.org/10.1097/PAS.0000000000001377. [Epub ahead of print].
Author information
Authors and Affiliations
Corresponding author
Ethics declarations
Conflict of interest
The authors declare that they have no conflict of interest.
Additional information
Publisher’s note Springer Nature remains neutral with regard to jurisdictional claims in published maps and institutional affiliations.
Rights and permissions
About this article
Cite this article
Chou, A., Fraser, T., Ahadi, M. et al. NTRK gene rearrangements are highly enriched in MLH1/PMS2 deficient, BRAF wild-type colorectal carcinomas—a study of 4569 cases. Mod Pathol 33, 924–932 (2020). https://doi.org/10.1038/s41379-019-0417-3
Received:
Revised:
Accepted:
Published:
Issue date:
DOI: https://doi.org/10.1038/s41379-019-0417-3
This article is cited by
-
Mismatch Repair Screening of Gastrointestinal Cancers: The Impact on Lynch Syndrome Detection and Immunotherapy
Journal of Gastrointestinal Cancer (2023)
-
Comparison of NTRK fusion detection methods in microsatellite-instability-high metastatic colorectal cancer
Virchows Archiv (2023)
-
Gene fusions and oncogenic mutations in MLH1 deficient and BRAFV600E wild-type colorectal cancers
Virchows Archiv (2022)
-
Multidisciplinary consensus on optimising the detection of NTRK gene alterations in tumours
Clinical and Translational Oncology (2021)
-
Immunohistochemistry as a screening tool for NTRK gene fusions: results of a first Belgian ring trial
Virchows Archiv (2021)