Thank you for visiting nature.com. You are using a browser version with limited support for CSS. To obtain
the best experience, we recommend you use a more up to date browser (or turn off compatibility mode in
Internet Explorer). In the meantime, to ensure continued support, we are displaying the site without styles
and JavaScript.
Potent nucleoside and nucleotide analogs might replace hepatitis B immunoglobulin (HBIG) to prevent HBV recurrence after liver transplantation in HBV-related liver disease. Two studies, however, suggest that viral load before transplant, and not the HBIG regimen, is the strongest risk factor for HBV recurrence.
The role of microbiological analysis of bile from patients undergoing endoscopic retrograde cholangiopancreatography (ERCP) is unclear. Although the majority of such patients have positive cultures, only a few develop postprocedural bacteremia or fever. Microbiological bile analysis might, however, have a role in patients with complications of orthotopic liver transplantation and those in whom adequate biliary drainage has not been achieved.
Assessment and uptake of hepatitis C treatment among injection drug users with HCV infection remains low, partly due to concerns regarding poor adherence and response to therapy. Findings from a large, prospective study demonstrate comparable adherence and response to hepatitis C treatment among nondrug users, former drug users and active drug users.
Nonselective β-blockers are often used in patients with cirrhosis and esophageal varices to prevent variceal bleeding. A recent study has suggested that nonselective β-blockers promote more harm than benefit in patients who have cirrhosis and refractory ascites. The authors of the study suggest that these drugs should be contraindicated in these patients.
Gastric polyps are a heterogeneous group of lesions that have differing consequences for patients, particularly in terms of malignant potential. However, there is currently no consensus for the management of patients with these polyps. The British Society of Gastroenterology has, therefore, published objective management guidelines for patients with these lesions.
Epstein–Barr virus (EBV) infection with gastrointestinal tract involvement is extremely rare in immunocompetent adults. This Case Study describes an immunocompetent 30-year-old man who presented with several months of bloody diarrhea and cramping abdominal pain, suggestive of IBD. However, viral serologic tests confirmed acute EBV infection, and EBV-associated lymphoproliferative disorder of B-cell lineage with diffuse colonic involvement was diagnosed.
Clostridium difficileis as an important health-care-associated pathogen and is linked to significant morbidity, economic burden, and even mortality. A dramatic rise in the incidence ofC. difficileinfections has occurred over the past decade and new at-risk populations are emerging. This Review discusses recent changes in the epidemiology of CDI and its risk factors, examines the evidence behind various treatment regimens and management strategies and suggests measures for infection control.
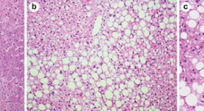
Nonalcoholic fatty liver disease (NAFLD) and/or nonalcoholic steatohepatits can take decades to evolve and progress, which limits the quality of longitudinal data. Researchers have, therefore, turned their attention to the development of suitable animal models to test the role of molecules and molecular pathways in the progression of fatty liver formation. This Review discusses the benchmark animal models that recapitulate the pathology and metabolic dysfunction associated with NALFD.