Abstract
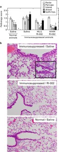
Respiratory syncytial virus (RSV) is a significant cause of bronchiolitis and pneumonia in several high health risk populations, including infants, elderly and immunocompromised individuals. Mortality in hematopoietic stem cell transplant recipients with lower respiratory tract RSV infection can exceed 80%. It has been shown that RSV replication in immunosuppressed individuals is significantly prolonged, but the contribution of pulmonary damage, if any, to the pathogenesis of RSV disease in this susceptible population is not known. In this work, we tested RI-002, a novel standardized Ig formulation containing a high level of RSV-neutralizing Ab, for its ability to control RSV infection in immunocompromised cotton rats Sigmodon hispidus. Animals immunosuppressed by repeat cyclophosphamide injections were infected with RSV and treated with RI-002. Prolonged RSV replication, characteristic of immunosuppressed cotton rats, was inhibited by RI-002 administration. Ab treatment reduced detection of systemic dissemination of viral RNA. Importantly, pulmonary interstitial inflammation and epithelial hyperplasia that were significantly elevated in immunosuppressed animals were reduced by RI-002 administration. These results indicate the potential of RI-002 to improve outcome of RSV infection in immunocompromised subjects not only by controlling viral replication, but also by reducing damage to lung parenchyma and epithelial airway lining, but further studies are needed.
This is a preview of subscription content, access via your institution
Access options
Subscribe to this journal
Receive 12 print issues and online access
$259.00 per year
only $21.58 per issue
Buy this article
- Purchase on SpringerLink
- Instant access to the full article PDF.
USD 39.95
Prices may be subject to local taxes which are calculated during checkout






Similar content being viewed by others
References
Whimbey E, Champlin RE, Couch RB, Englund JA, Goodrich JM, Raad I et al. Community respiratory virus infections among hospitalized adult bone marrow transplant recipients. Clin Infect Dis 1996; 22: 778–782.
Khanna N, Widmer AF, Decker M, Steffen I, Halter J, Heim D et al. Respiratory syncytial virus infection in patients with hematological diseases: single-center study and review of the literature. Clin Infect Dis 2008; 46: 402–412.
Raboni SM, Nogueira MB, Tsuchiya LR, Takahashi GA, Pereira LA, Pasquini R et al. Respiratory tract viral infections in bone marrow transplant patients. Transplantation 2003; 76: 142–146.
Martino R, Porras RP, Rabella N, Williams JV, Rámila E, Margall N et al. Prospective study of the incidence, clinical features, and outcome of symptomatic upper and lower respiratory tract infections by respiratory viruses in adult recipients of hematopoietic stem cell transplants for hematologic malignancies. Biol Blood Marrow Transplant 2005; 11: 781–796.
Schiffer JT, Kirby K, Sandmaier B, Storb R, Corey L, Boeckh M . Timing and severity of community acquired respiratory virus infections after myeloablative versus non-myeloablative hematopoietic stem cell transplantation. Haematologica 2009; 94: 1101–1108.
Peck AJ, Englund JA, Kuypers J, Guthrie KA, Corey L, Morrow R et al. Respiratory virus infection among hematopoietic cell transplant recipients: evidence for asymptomatic parainfluenza virus infection. Blood 2007; 110: 1681–1688.
Ljungman P, Ward KN, Crooks BN, Parker A, Martino R, Shaw PJ et al. Respiratory virus infections after stem cell transplantation: a prospective study from the Infectious Diseases Working Party of the European Group for Blood and Marrow Transplantation. Bone Marrow Transplant 2001; 28: 479–484.
Boeckh M, Berrey MM, Bowden RA, Crawford SW, Balsley J, Corey L . Phase 1 evaluation of the respiratory syncytial virus-specific monoclonal antibody palivizumab in recipients of hematopoietic stem cell transplants. J Infect Dis 2001; 184: 350–354.
Boeckh M, Englund J, Li Y, Miller C, Cross A, Fernandez H et alNIAID Collaborative Antiviral Study Group. Randomized controlled multicenter trial of aerosolized ribavirin for respiratory syncytial virus upper respiratory tract infection in hematopoietic cell transplant recipients. Clin Infect Dis 2007; 44: 245–249.
Champlin RE, Whimbey E . Community respiratory virus infections in bone marrow transplant recipients: the M.D. Anderson Cancer Center experience. Biol Blood Marrow Transplant 2001; 7 (Suppl): 8S–10S.
Nichols WG, Gooley T, Boeckh M . Community-acquired respiratory syncytial virus and parainfluenza virus infections after hematopoietic stem cell transplantation: the Fred Hutchinson Cancer Research Center experience. Biol Blood Marrow Transplant 2001; 7 (Suppl): 11S–15S.
Wingard JR, Nichols WG, McDonald GB . Supportive care. Hematology Am Soc Hematol Educ Program 2004; 1: 372–389.
Shah DP, Ghantoji SS, Ariza-Heredia EJ, Shah JN, El Taoum KK, Shah PK et al. Immunodeficiency scoring index to predict poor outcomes in hematopoietic cell transplant recipients with RSV infections. Blood 2014; 123: 3263–3268.
Lehners N, Schnitzler P, Geis S, Puthenparambil J, Benz MA, Alber B et al. Risk factors and containment of respiratory syncytial virus outbreak in a hematology and transplant unit. Bone Marrow Transplant 2013; 48: 1548–1553.
Casey J, Morris K, Narayana M, Nakagaki M, Kennedy GA . Oral ribavirin for treatment of respiratory syncitial virus and parainfluenza 3 virus infections post allogeneic haematopoietic stem cell transplantation. Bone Marrow Transplant 2013; 48: 1558–1561.
Whimbey E, Champlin RE, Englund JA, Mirza NQ, Piedra PA, Goodrich JM et al. Combination therapy with aerosolized ribavirin and intravenous immunoglobulin for respiratory syncytial virus disease in adult bone marrow transplant recipients. Bone Marrow Transplant 1995; 16: 393–399.
Shah JN, Chemaly RF . Management of RSV infections in adult recipients of hematopoietic stem cell transplantation. Blood 2011; 117: 2755–2763.
The IMpact-RSV Study Group. Palivizumab, a humanized respiratory syncytial virus monoclonal antibody, reduces hospitalization from respiratory syncytial virus infection in high-risk infants. Pediatrics 1998; 102: 531–537.
DeFontbrune FS, Robin M, Porcher R, Scieux C, de Latour RP, Ferry C et al. Palivizumab treatment of respiratory syncytial virus infection after allogeneic hematopoietic stem cell transplantation. Clin Infect Dis 2007; 45: 1019–1024.
Rodriguez WJ, Gruber WC, Welliver RC, Groothuis JR, Simoes EA, Meissner HC et al. Respiratory syncytial virus (RSV) immune globulin intravenous therapy for RSV lower respiratory tract infection in infants and young children at high risk for severe RSV infections: Respiratory Syncytial Virus Immune Globulin Study Group. Pediatrics 1997; 99: 454–461.
Rodriguez WJ, Gruber WC, Groothuis JR, Simoes EA, Rosas AJ, Lepow M et al. Respiratory syncytial virus immune globulin treatment of RSV lower respiratory tract infection in previously healthy children. Pediatrics 1997; 100: 937–942.
Prince GA, Mathews A, Curtis SJ, Porter DD . Treatment of respiratory syncytial virus bronchiolitis and pneumonia in a cotton rat model with systemically administered monoclonal antibody (palivizumab) and glucocorticosteroid. J Infect Dis 2000; 182: 1326–1330.
Boukhvalova MS, Yim KC, Kuhn KH, Hemming JP, Prince GA, Porter DD et al. Age-related differences in pulmonary cytokine response to respiratory syncytial virus infection: modulation by anti-inflammatory and antiviral treatment. J Infect Dis 2007; 195: 511–518.
Ottolini MG, Curtis SJ, Porter DD, Mathews A, Richardson JY, Hemming VG et al. Comparison of corticosteroids for treatment of respiratory syncytial virus bronchiolitis and pneumonia in cotton rats. Antimicrob Agents Chemother 2002; 46: 2299–2302.
Johnson RA, Prince GA, Suffin SC, Horswood RL, Chanock RM . Respiratory syncytial virus infection in cyclophosphamide-treated cotton rats. Infect Immun 1982; 37: 369–373.
Prince GA, Hemming VG, Horswood RL, Chanock RM . Immunoprophylaxis and immunotherapy of respiratory syncytial virus infection in the cotton rat. Virus Res 1985; 3: 193–206.
Groothuis JR, Simoes EA, Levin MJ, Hall CB, Long CE, Rodriguez WJ et al. Prophylactic administration of respiratory syncytial virus immune globulin to high-risk infants and young children. The Respiratory Syncytial Virus Immune Globulin Study Group. N Engl J Med 1993; 329: 1524–1530.
The PREVENT Study Group. Reduction of respiratory syncytial virus hospitalization among premature infants and infants with bronchopulmonary dysplasia using respiratory syncytial virus immune globulin prophylaxis. Pediatrics 1997; 99: 93–99.
Gupta CK, Leszczynski J, Gupta RK, Siber GR . Stabilization of respiratory syncytial virus (RSV) against thermal inactivation and freeze-thaw cycles for development and control of RSV vaccines and immune globulin. Vaccine 1996; 14: 1417–1420.
Prince GA, Jenson AB, Horswood RL, Camargo E, Chanock RM . The pathogenesis of respiratory syncytial virus infection in cotton rats. Am J Pathol 1978; 93: 771–791.
Prince GA, Curtis SJ, Yim KC, Porter DD . Vaccine-enhanced respiratory syncytial virus disease in cotton rats following immunization with Lot 100 or a newly prepared reference vaccine. J Gen Virol 2001; 82: 2881–2888.
Boukhvalova MS, Prince GA, Blanco JC . Respiratory syncytial virus infects and abortively replicates in the lungs in spite of preexisting immunity. J Virol 2007; 81: 9443–9450.
Boukhvalova MS, Yim KC, Prince GA, Blanco JC . Methods for monitoring dynamics of pulmonary RSV replication by viral culture and by real-time reverse transcription-PCR in vivo: Detection of abortive viral replication. Curr Protoc Cell Biol 2010; Chapter 26: Unit26.6.
Falsey AR, Walsh EE . Relationship of serum antibody to risk of respiratory syncytial virus infection in elderly adults. J Infect Dis 1998; 177: 463–466.
Walsh EE, Peterson DR, Falsey AR . Risk factors for severe respiratory syncytial virus infection in elderly persons. J Infect Dis 2004; 189: 233–238.
Ottolini MG, Porter DD, Hemming VG, Zimmerman MN, Schwab NM, Prince GA . Effectiveness of RSVIG prophylaxis and therapy of respiratory syncytial virus in an immunosuppressed animal model. Bone Marrow Transplant 1999; 24: 41–45.
Nimmerjahn F, Ravetch JV . The antiinflammatory activity of IgG: the intravenous IgG paradox. J Exp Med 2007; 204: 11–15.
Anthony RM, Wermeling F, Karlsson MC, Ravetch JV . Identification of a receptor required for the anti-inflammatory activity of IVIG. Proc Natl Acad Sci USA 2008; 105: 19571–19578.
Kaveri SV . Intravenous immunoglobulin: exploiting the potential of natural antibodies. Autoimmun Rev 2012; 11: 792–794.
LaRocco MT, Burgert SJ . Infection in the bone marrow transplant recipient and role of the microbiology laboratory in clinical transplantation. Clin Microbiol Rev 1997; 10: 277–297.
Campbell AP, Chien JW, Kuypers J, Englund JA, Wald A, Guthrie KA et al. Respiratory virus pneumonia after hematopoietic cell transplantation (HCT): associations between viral load in bronchoalveolar lavage samples, viral RNA detection in serum samples, and clinical outcomes of HCT. J Infect Dis 2010; 201: 1404–1413.
Waghmare A, Campbell AP, Xie H, Seo S, Kuypers J, Leisenring W et al. Respiratory syncytial virus lower respiratory disease in hematopoietic cell transplant recipients: viral RNA detection in blood, antiviral treatment, and clinical outcomes. Clin Infect Dis 2013; 57: 1731–1741.
Asner S, Stephens D, Pedulla P, Richardson SE, Robinson J, Allen U . Risk factors and outcomes for respiratory syncytial virus-related infections in immunocompromised children. Pediatr Infect Dis J 2013; 32: 1073–1076.
Hong J, Knutsen AP . Pulmonary disease in primary immunodeficiency disorders. Ped Allergy Immunol Pulmonol 2013; 26: 57–68.
Lanari M, Vandini S, Capretti MG, Lazzarotto T, Faldella G . Respiratory syncytial virus infections in infants affected by primary immunodeficiency. J Immunol Res 2014; 2014: 850831.
Mond J, Cunningham-Rundles C, Falsey A, Forbes L, Grossman A, Harris J et al. Pharmacokinetics of RI-002, an investigational IVIG preparation. J Allergy Clin Immunol 2015; 135 abstr# 286.
Shah DP, Ghantoji SS, Mulanovich VE, Ariza-Heredia EJ, Chemaly RF . Management of respiratory viral infections in hematopoietic cell transplant recipients. Am J Blood Res 2012; 2: 203–218.
Acknowledgements
We thank Hannah Sanford-Crane, Lauren Hippler, Julio Canas, Charles Smith and Martha Malache for help with the animal studies. We also thank Tom March for help with evaluating pulmonary histopathology and Maryanne Formica for technical assistance with the neutralizing assays.
Author information
Authors and Affiliations
Corresponding author
Ethics declarations
Competing interests
Sigmovir Biosystems was funded by ADMA to test RI-002 in the cotton rat model.
Rights and permissions
About this article
Cite this article
Boukhvalova, M., Blanco, J., Falsey, A. et al. Treatment with novel RSV Ig RI-002 controls viral replication and reduces pulmonary damage in immunocompromised Sigmodon hispidus. Bone Marrow Transplant 51, 119–126 (2016). https://doi.org/10.1038/bmt.2015.212
Received:
Revised:
Accepted:
Published:
Issue date:
DOI: https://doi.org/10.1038/bmt.2015.212
This article is cited by
-
Expert consensus on the diagnosis, treatment, and prevention of respiratory syncytial virus infections in children
World Journal of Pediatrics (2024)
-
Cross-protective antibodies against common endemic respiratory viruses
Nature Communications (2023)
-
Efficacy, Safety, and Pharmacokinetics of a New 10Â % Liquid Intravenous Immunoglobulin Containing High Titer Neutralizing Antibody to RSV and Other Respiratory Viruses in Subjects with Primary Immunodeficiency Disease
Journal of Clinical Immunology (2016)


