Correction to: European Journal of Clinical Nutrition (2010) 64, 525–533; doi:10.1038/ejcn.2010.18
Since the publication of this paper, the authors have noticed an error in the labelling of Figure 4. The correct figure legend is shown below.
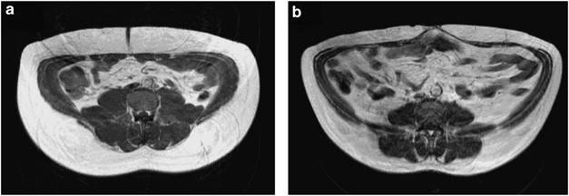
A single-slice MRI image for two subjects of the same gender with near-identical ViScan visceral fat scores (a=19.5; b=20 arbitrary units) but differing IAAT as assessed by MRI (a=3.2; b=6.3 l). Interestingly, when abdominal subcutaneous fat was considered (a=13.6; b=9.2 l), these two subjects showed similar overall levels of total abdominal adiposity (a=16.8; b=15.5 l).
The authors would like to apologize for this error.
Additional information
The online version of the original article can be found at 10.1038/ejcn.2010.18
Rights and permissions
About this article
Cite this article
Thomas, E., Collins, A., McCarthy, J. et al. Erratum: Estimation of abdominal fat compartments by bioelectrical impedance: the validity of the ViScan measurement system in comparison with MRI. Eur J Clin Nutr 65, 284 (2011). https://doi.org/10.1038/ejcn.2010.237
Published:
Issue date:
DOI: https://doi.org/10.1038/ejcn.2010.237
