Abstract
The outbreak of severe acute respiratory syndrome (SARS) in 2003 reinforces the potential of lethal pandemics of respiratory viral infections. The underlying mechanisms of SARS are still largely undefined. Long pentraxin PTX3, a humoral mediator of innate immunity, has been reported to have anti-viral effects. We examined the role of PTX3 in coronavirus murine hepatitis virus strain 1 (MHV-1)-induced acute lung injury, a previously reported animal model for SARS. PTX3-deficient mice (129/SvEv/C57BL6/J) and their wild-type (WT) littermates were intranasally infected MHV-1. These mice were also treated with recombinant PTX3. Effects of PTX3 on viral binding and infectivity were determined in vitro. Cytokine expression, severity of lung injury, leukocyte infiltration and inflammatory responses were examined in vivo. In PTX3 WT mice, MHV-1 induced PTX3 expression in the lung and serum in a time-dependent manner. MHV-1 infection led to acute lung injury with greater severity in PTX3-deficient mice than that in WT mice. PTX3 deficiency enhanced early infiltration of neutrophils and macrophages in the lung. PTX3 bound to MHV-1 and MHV-3 and reduced MHV-1 infectivity in vitro. Administration of recombinant PTX3 significantly accelerated viral clearance in the lung, attenuated MHV-1-induced lung injury, and reduced early neutrophil influx and elevation of inflammatory mediators in the lung. Results from this study indicate a protective role of PTX3 in coronaviral infection-induced acute lung injury.
Similar content being viewed by others
Main
Viral infections are the most common cause of respiratory infectious diseases, such as the common cold and seasonal influenza. In certain circumstances, airway viral infections lead to severe lung injury and become life-threatening diseases, especially in patients at the extremes of age (<6 and >60 years) or with pre-existing medical conditions.1, 2 In 2003, an outbreak of severe acute respiratory syndrome (SARS) caused by a coronavirus resulted in approximately 8000 cases with >700 deaths globally.3 The potential for global viral pandemics was further illustrated by the outbreak of H5N1 influenza (avian flu) in 2008 and H1N1 influenza (swine flu) in 2009, with severe morbidity and mortality, as well as high economic costs.1
Although a number of studies in both animal models of SARS4, 5, 6, 7, 8 and in patients with SARS9 have been published, the molecular mechanisms underlying the pathogenesis of SARS coronavirus (SARS-CoV) infection have not been fully elucidated.
SARS-CoV is the causative agent of SARS.3, 10 Biologically, SARS-CoV is most closely related to Group 2 coronaviruses, including murine hepatitis viruses (MHV).10 We have shown that airway infection of MHV-1 leads to acute lung injury in susceptible strains of mice, the patterns of which are very similar to the damage observed in the lung of SARS patients.4 Thus, pulmonary MHV-1 infection in mice may serve as a clinically relevant model for determining the molecular mechanisms of SARS as well as testing potential therapeutics against it.11
Long pentraxin 3 (PTX3) is an important inflammatory mediator and a critical component of the humoral arm of innate immunity.12, 13 PTX3 expression levels remain very low in tissues and serum of normal subjects, and quickly elevate upon inflammatory and/or infectious stimuli.14, 15, 16 PTX3 has a non-redundant role in the immune response to fungi and certain bacterial infections, with potential therapeutic effects in experimental infections.17, 18 The serum level of PTX3 is elevated in severe dengue infection.19 PTX3 can bind to human and murine cytomegalovirus, and inhibit viral infectivity in vitro and protect mice from cytomegalovirus primary infection and reactivation in vivo.20 Similarly, selective binding between PTX3 and certain strains of influenza viruses have been reported. PTX3 treatment attenuated virulence in vitro and in vivo, and showed potential therapeutic effects by reducing the virus load and enhancing the survival of infected animals.21 Smits et al.,22 found that PTX3, among other genes, such as VCAM1, F3 and IL-8, was significantly increased after SARS-CoV infection in aged macaques.
We hypothesized that PTX3 may have a protective role in pulmonary coronavirus infection by involving in host defense and regulating inflammatory responses in the lung. We used MHV-1 to examine the PTX3 response to the viral infection, compared the susceptibility of PTX3 deficient mice to their wild-type (WT) littermates, and evaluated the potential therapeutic effects of exogenous PTX3.
MATERIALS AND METHODS
Mice, Virus and Recombinant PTX3
PTX3-KO mice and their WT littermates were generated by breeding ptx3+/− heterozygous (129/SvEv/C57BL6/J background from Dr M.M. Matzuk, Baylor College of Medicine).23 Mice were genotyped by PCR with two pairs of primers designed against murine PTX3 Exon 2 and human HPRT contained in the targeting vector (Figure 1a).23 The specificity of PCR genotyping (Figure 1b) was validated by Southern blot (Figure 1c). All animals used were 8–12 weeks old, housed in a pathogen-free facility and received humane care in compliance with the Guide for the Care and Use of Experimental Animals formulated by the Canadian Council on Animal Care. The Animal Use and Care Committee of the University Health Network Toronto General Research Institute approved this study.
MHV-1 was obtained from the American Type Culture Collection (Manassas, VA). Viruses were first plaque purified and then expanded in murine 17CL1 cells. Supernatants were collected and stored at −80 °C.4 Recombinant PTX3 (a gift from Dr. Giovanni Salvatori, Sigma-Tau SpA, Rome, Italy) was obtained under endotoxin-free conditions by immunoaffinity purification of culture supernatants of Chinese hamster ovary cells transfected with PTX3.24
Viral Infection and PTX3 Treatment In Vivo
PTX3-KO and -WT mice were anesthetized by intraperitoneal injection with 0.2 ml 10% pentobarbital diluted in normal saline, and received an intranasal inoculation of MHV-1 (either 5000 or 10 000 PFU) in 50 μl ice-cold Dulbecco's modified Eagle's medium (DMEM), or same volume of DMEM as mock infection controls. Symptoms including ruffled fur, tremors and lack of activity were monitored daily.4 To assess lung injury, mice were killed at day 1, 2, 4, 8 and 14 post infection with 4–6 PTX3-KO or -WT mice at each time point. For PTX3 treatment, PTX-KO and -WT mice were infected intranasally with 5000 PFU of MHV-1 and then immediately treated with either 50 μl of phosphate-buffered saline (PBS) or recombinant PTX3 (2 mg/kg in PBS) intranasally. The same dose of PTX3 was administrated intraperitoneally to animals at 6 and 24 h post infection.20, 21 Mice were killed at day 2 post infection (4 mice/group). Blood was collected by cardiac puncture, and serum was isolated and stored at −80 °C until use. The left lung was fixed for histological and immunohistochemical studies. The remaining lung tissue was snap-frozen and stored at −80 °C for virus titer and cytokine analysis.
Viral Titers
An aliquot of lung tissue from each animal was homogenized in 10% ice-cold DMEM utilizing a Polytron homogenizer (Fisher Scientific, Whitby, Canada). Viral titers were determined in L2 cells as described previously.25
Lung histological and immunohistochemical staining
The left lungs were inflated at 20 cm H2O, fixed with 4% parafolmaldehyde in PBS and embedded in paraffin. Lung sections (5 μm) were stained for different assessments. Lung injury was assessed with hematoxylin and eosin staining. A modified lung injury score system was utilized.26 PTX3 was stained with a polyclonal anti-PTX3 antibody (H-300, Santa Cruz Biotechnology, Santa Cruz, CA).27 Infiltrating inflammatory cells in the lung tissues were characterized using a standard avidin–biotin complex immunoperoxidase method. Neutrophil influx was stained using a rat anti-mouse neutrophil monoclonal antibody (Serotec, Raleigh, NC). A rat anti-mouse F4/80 antigen monoclonal antibody (Serotec) was used for staining of macrophages.4 The slides were scanned with a ScanScope, and quantitative analysis of positive pixels/mm2 for each slide was done with a Positive Pixel Count Algorithm program (Aperio, Vista, CA). The staining intensities were expressed as ratios to one experimental group within the same batch of staining.
ELISA for PTX3
PTX3 levels in lung homogenates and serum were determined in duplicate with an ELISA kit (R&D System, Minneapolis, MN).28
Cytokine/Chemokine Measurement
Cytokines and chemokines in the lung homogenates and serum were measured using a mouse cytometric bead array inflammation kit (BD Bioscience, Mississauga, Canada).29
PTX3 Binding Assays to Immobilized Viruses
Plates were coated overnight at room temperature with MHV-1 or MHV-3 viruses at different PFUs in PBS. Nonspecific binding sites were blocked with 5% bovine serum albumin in PBS. The coating quality was determined with an anti-spike monoclonal antibody, which recognizes the spike protein of both MHV-1 and MHV-3. An isotype specific IgG was used as a negative control. PTX3-viral binding assay was performed by incubating the viral-coated wells with biotin-labeled PTX3 (Bio-PTX3, a gift from Dr Barbara Bottazzi in Istituto Clinico Humanitas—IRCCS, Milano, Italy) for 2 h at 37 °C. Inhibition was performed by pre-incubation with unbiotinylated PTX3 for 2 h at 37°C before the addition of Bio-PTX3. The optical density (OD) at 450 nm was read using the Horseradish Peroxidase Substrate Kit (Bio-Rad Laboratories, Life Science Group, Segrate, Italy). Nonspecific binding of PTX3 to virus-uncoated plates was minimal.20, 21
Viral Plaque Reduction Assay
MHV-1 viruses were mixed with different concentrations of PTX3, cell culture medium as a negative control, or anti-viral serum against MHV-1 (1:40 dilution) as a positive control, at room temperature for 30 min. The mixture was then added to sub-confluent L2 cells in culture medium for 1 h, overlaid with 2% agarose and incubated at 37 °C in a 5% CO2 environment for 72 h. The effect of PTX3 on viral replication was assessed by counting viral plaques.30
Statistical Analysis
Data are presented as mean±standard deviation (s.d.). Inter-group differences were tested by one-way or two-way analysis of variance (ANOVA) and followed by post hoc multiple comparison Tukey's test. The differences between two groups were tested with a student t-test. P-values <0.05 are defined as significant.
RESULTS
MHV-1 Pulmonary Infection Induces PTX3 Expression in Mice
To test cytokine expression in response to pulmonary MHV-1 infection, WT mice were infected by intranasal instillation of 5000 or 10 000 PFU of MHV-1, respectively. MHV-1 infection led to a rapid increase of PTX3 protein expression in the lung at higher levels, which reached a peak at day 4, and then were reduced at day 8 (Figure 2a). The PTX3 levels in the serum also increased and remained elevated at day 8 (Figure 2b). The higher dose of MHV-1 (10 000 PFU) induced higher PTX3 expression in the lung at days 4 and 8 (P<0.05, Figure 2a). Endothelial cells, alveolar epithelial cells (especially type II-like cells) and infiltrated cells in the alveolar wall were positively stained with anti-PTX3 antibodies at days 1, 2 and 4 after viral infection. An example of day 2 image was shown in Figure 2c. At day 8, the PTX3 staining was reduced significantly (data not shown). PTX3 was found neither in the lung nor in the serum in PTX3-deficient mice.
MHV-1 pulmonary infection induces PTX3 expression in mice. PTX3-WT mice were intranasally infected with MHV-1 and sacrificed at designated time points after infection. The PTX3 levels in the (a) lung and (b) serum were measured by ELISA. Data shown are mean±s.d. from 4 to 6 mice/dose at each time point. *P<0.05 between the two doses used. P<0.05 vs after infection. (c) Immunohistochemistry staining of PTX3 at day 2 after HMV-1 infection. Positive staining (brown) was found in endothelial (white arrow), epithelial (black arrow) and certain infiltrated (asterisk) cells ( × 200).
PTX3 Deficiency Increases MHV-1-induced Lung Injury
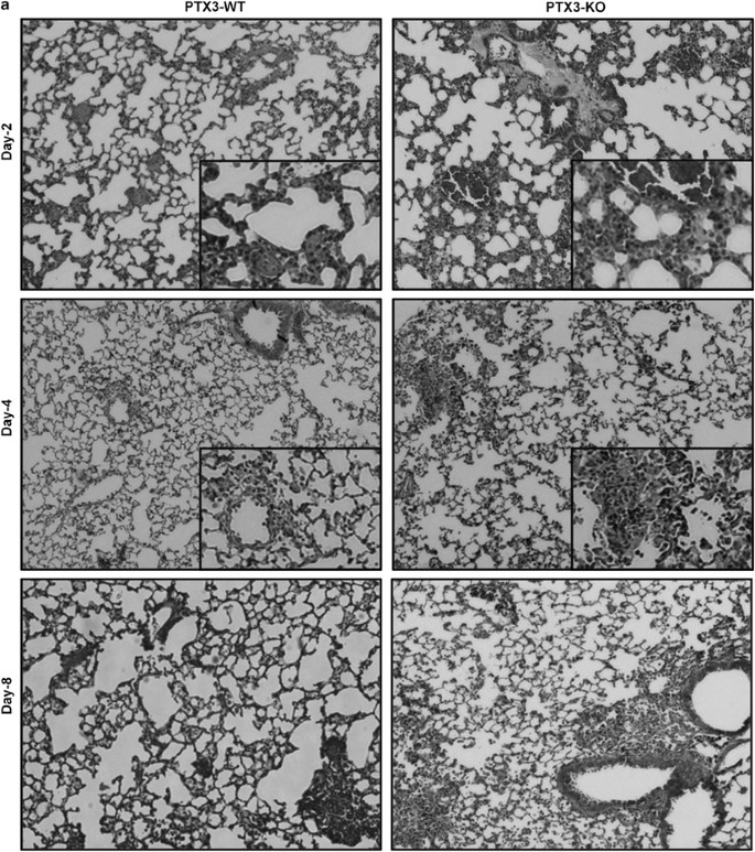
Inoculation of MHV-1 (5000 PFU) induced lung inflammation and injury in both PTX3-KO mice and their WT littermates. The early-stage post infection (day 2) was characterized histologically by patchy peribronchial and perivascular mixed inflammatory infiltrates associated with interstitial thickening and congestion. This progressed over the next several days (days 4–8) to more widespread and severe peribronchial and alveolar septal inflammatory infiltrates associated with areas of intra-alveolar exudation and hemorrhage, then subsided by day 14 to predominantly peribronchial inflammatory lesions containing mononuclear cell infiltrates, associated with foamy macrophages in the surrounding airspaces (Figure 3). More severe injury was apparent in the lungs of PTX3-KO mice than PTX3-WT mice in the earlier stages of infection (days 2 and 4), but not in later stages (days 8 and 14; Figure 3b). No obvious lung injury was observed in mock-infected lungs in both PTX3-KO and -WT mice.
MHV-1 pulmonary infection induces acute lung injury, which is more severe in PTX3-deficient mice. PTX3-WT and -KO mice were intranasally infected with 5,000 PFU of MHV-1 and killed at designated time points after infection. (a) Lung pathology was examined by H&E staining ( × 100). The insets are higher magnification views of areas of inflammation and injury. (b) Lung injury scores were assessed in a blind fashion. Data shown are mean±s.d. from 4 to 6 mice/group at each time point. *P<0.05, PTX-WT vs PTX3-KO.
PTX3-Deficient Mice have Increased Early Inflammatory Cell Infiltration in the Lung after MHV-1 Infection
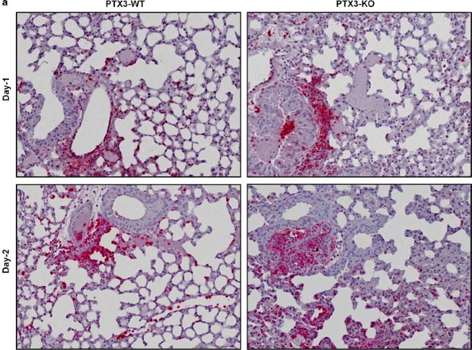
We performed immunohistochemical staining for neutrophils and macrophages in the MHV-1 infected lungs. Neutrophils were found mainly surrounding small bronchi and blood vessels at the early stage (days 1 and 2) after infection, and subsequently shifted more peripherally (Figure 4a and data not shown). Macrophages at first showed diffuse distribution and then progressively localized peribronchial inflammatory lesions (Figure 5a and data not shown). Semi-quantitative analysis revealed that the recruitment of both neutrophils and macrophages in the lung was increased in a time-dependent manner until day 8 post infection. At day 14, staining of neutrophils was reduced, whereas the staining of macrophages remained high. There was significantly higher positive staining of both neutrophils and macrophages in PTX3-KO mouse lungs compared with the PTX3-WT group at days 1 and 2 post infection (Figures 4b and 5b).
MHV-1 infection-induced pulmonary infiltration of neutrophils is enhanced in the lung of PTX3-KO mouse. PTX3-WT and -KO mice were intranasally infected with 5,000 PFU of MHV-1 and killed at designated time points after infection. Immunohistochemical staining showed infiltrating neutrophils. (a) Slides shown are representative of neutrophil infiltration (in red; × 200). (b) Semi-quantitative analysis of neutrophil staining with ImageScope. Staining intensity was expressed as positive pixels/mm2 and converted as ratio to the mean values in the WT group at day 1. Data shown are mean±s.d. from 4 to 6 mice at each time point. *P<0.05 between the PTX-WT and -KO groups.
Lack of PTX3 accelerates early influx of macrophages in the lung after MHV-1 infection. PTX3-WT and -KO mice were intranasally infected with 5,000 PFU of MHV-1 and killed at designated time points after infection. Immunohistochemical staining showed pulmonary macrophages. (a) Slides shown are representative of macrophages in MHV-1 infected lung (in brown; × 200). (b) Semi-quantitative analysis of macrophage staining with ImageScope. Staining intensity was expressed as positive pixels/mm2 and converted as ratio to the mean values in WT group at day 1. Data shown are mean±s.d. from 4 to 6 mice at each time point. *P<0.05, PTX-WT vs PTX3-KO group.
Recombinant PTX3 Protects Mouse from MHV-1-induced Lung Injury
We first determined the interaction between PTX3 and MHV-1. An anti-spike monoclonal antibody recognized the spike glycoprotein on both MHV-1 and MHV-3 (Figure 6a). Incubation of biotin-labeled PTX3 (Bio-PTX3, 5 μg/ml) with the immobilized viruses showed increased binding to either MHV-1 or MHV-3 in a viral dose-dependent manner (Figure 6b). PTX3 reduced MHV-1 infectivity dose dependently in cell culture (Figure 6c).
PTX3 binds coronaviruses and reduces MHV-1 infectivity in vitro, and accelerates virus clearance and prevents lung injury after MHV-1 infection in vivo. (a and b) PTX3 binds MHV-1 and MHV-3 coronavirus. (a) Immobilized MHV viruses were incubated with anti-spike antibody or an isotype specific IgG to determine the coating quality. (b) Immobilized MHV viruses at indicated PFUs were incubated with biotin-labeled PTX3 (Bio-PTX3) to determine the binding of the viruses. (c) L2 cells were infected with MHV-1 mixed with PTX3. PFU were counted 72 h later. The inhibition rate of plaque formation was expressed as a percentage of virus infection only group. Data shown are mean±s.d. *P<0.05 and **P<0.01 against untreated control group. (d–f) PTX3-WT and -KO mice were infected with 5,000 PFU of MHV-1 intranasally. PTX3 (2 mg/kg) was administrated at 15 min intranasally post infection and repeated at 6 and 24 h intraperitoneally. The mice were sacrificed at 48 h after infection. (d) Recombinant PTX3 enhanced viral clearance. *P<0.05, vs PBS control group. (e) PTX3 treatment reduced lung injury (H&E staining). (f) Lung injury scores were assessed in a blinded fashion. *P<0.05, vs other groups, P<0.05 vs WT-PTX treated. Data shown are mean±s.d. from 4 mice/group.
We then assessed whether recombinant PTX3 has protective effects on MHV-1-induced lung injury in vivo. We first treated MHV-1-infected PTX3-KO and -WT mice with recombinant PTX3 or PBS as a vehicle control. Mice were killed 2 days after MHV-1 infection. Administration of PTX3 accelerated viral clearance from the infected lungs in both PTX3-KO and -WT mice (Figure 6d, P<0.05), attenuated MHV-1-induced lung injury in both PTX3-KO and -WT mice (Figure 6e) and significantly reduced the lung injury score in PTX3-KO mice (Figure 6f, P<0.05). PTX3 alone had no effects on lung histology of mock-infected mice.
PTX3 Regulates Inflammatory Responses in the MHV-1-infected Lung
Administration of PTX3 significantly blocked neutrophil infiltration in the lungs in both PTX-WT and -KO mice (Figure 7a). By contrast, PTX3 treatment further promoted pulmonary infiltration of macrophages in the PTX3-KO mice (Figure 7b). PTX3 treatment significantly reduced the expression of IL-6, MCP-1 and MIP-1ß in the lung in the PTX3-KO group (Figure 7c). The serum levels of these inflammatory mediators measured were not affected by PTX3 treatment (data not shown).
Effects of PTX3 treatment on MHV-1-induced pulmonary infiltration of neutrophils and macrophages and cytokine expression. See Figure 6d–f legend for experimental design. (a) Immunostaining of neutrophils at day 2 was reduced in both the PTX3-WT and -KO groups. (b) Immunostaining of macrophages was increased in the PTX3-KO group. Staining intensity was expressed as positive pixels/mm2 and converted as ratio to the mean values in the WT group treated with PBS. *P<0.05, vs PBS control in (a) and vs other groups in (b). (c) Inflammatory mediators (IL-6, MCP-1 and MIP-1ß) expressed in the lung were measured. *P<0.05, vs PBS group. Data shown are mean±s.d. from 4 mice/group.
DISCUSSION
In the present study, we have shown that PTX3 deficiency enhanced susceptibility to MHV-1 pulmonary infection, and administration of exogenous PTX3 ameliorated lung injury. The innate immunity response is the first line of host defense against viral infection. Proteomic analysis of plasma from SARS patients showed increased acute-phase proteins, such as serum amyloid A and MBL (mannose-binding lectin).31 Long pentraxin PTX3, a member of pentraxin super family, is also an acute phase protein and has been defined as a key prototypic component of the humoral arm of innate immunity.12 PTX3 is of particular interest due to its local expression from a variety of tissues at the site of infection and inflammation.12, 13, 27 PTX3 has a critical role in host defense against pulmonary infection caused by fungus,17 bacteria,18 cytomegalovirus and certain strains of influenza viruses.20, 21
In the present study, MHV-1 infection induced a dose-dependent increase of PTX3 in the lung in WT mice and caused more severe lung injury in PTX3-deficient animals. Recombinant PTX3 significantly reduced lung injury in PTX3-KO and littermate WT mice. The reduction of exogenous PTX3 on acute lung injury is more effective in the PTX3-KO mice than in the WT mice. This may be due to the dose used, timing or route of administration, and does not rule out an effect of PTX3, but it should be further studied. The genetic background of mice in the present study is 129/SvEv/C57BL6/J. We have shown that the severity of acute lung injury induced by airway infection of MHV-1 varies depending upon the strains of mice.4 The function of PTX3 in different strains of mice thus merits further investigation. This will be clinically relevant because the susceptibility of patients to SARS-CoV also varies. Different strains of mouse-adapted SARS-CoV have been developed by Subbarao's6 and Barnard's groups,7 respectively. It would be interesting to further test the potential protective effects of PTX3 with these viruses, which may be more directly relevant to SARS.
One of the important functions of the pentraxin family is pathogen recognition. It has been reported that PTX3 can bind to cytomegaloviruses20 and to influenza viruses.21 A dose-dependent binding between PTX3 and MHV viruses was found in the present study. PTX3 reduced MHV-1 viral infectivity in cell culture. Exogenous PTX3 enhanced virus clearance from the infected lungs. As binding of PTX3 was found in two MHV strains (MHV-1 and MHV-3), PTX3 may also bind to other coronaviruses, such as SARS-CoV, and facilitate their clearance from the infected lungs.
As an important component of the innate immune system, inflammatory responses are quickly initiated in response to infection of pathogens (eg, viruses), and function to clear pathogens and damaged tissues, limiting tissue injury, and eventually leading to recovery or tissue healing.32 PTX3, as an inflammatory mediator, responds to pro-inflammatory stimuli and participates in the regulation of inflammatory responses.13 The potential roles of PTX3 in acute lung injury and acute respiratory distress syndrome have been studied in multiple animal models33 as well as in humans.16 The expression level of PTX3 has been suggested as a biomarker to predict the severity of the acute lung injury.28, 34, 35
In the present study, MHV-1-induced expression of inflammatory cytokines and chemokines in the lung was reduced by exogenous PTX3 treatment. Furthermore, neutrophil infiltration was enhanced in the lungs of PTX3-deficient mice, which was attenuated by PTX3 treatment. We have shown that PTX3 deficiency also worsens the lung injury induced by lipopolysaccharide.36 These findings are consistent with a newly defined anti-inflammatory role of PTX3 in the recruitment of inflammatory cells, in which PTX3 binds to P-selectin and attenuates neutrophil migration to the sites of inflammation.37 Therefore, in addition to its effects on viral binding and facilitating viral clearance, it is reasonable to speculate that the regulatory function of PTX3 on inflammatory responses may confer further protective effects in coronavirus-induced lung injury. It has been shown that the severity of pulmonary lesions induced by MHV infection correlated better to the elevated inflammatory responses than to the viral replication in the lung.38 Therefore, inhibition of inflammatory responses is important in protecting the lung from injury.
Macrophages are abundant in the lower respiratory tract. Alveolar macrophages are not only key effector cells of the innate immune response to pathogen invasion,39 but may also be able to modulate excessive inflammation and render an immune-suppressive effect in the lung.40 Unlike neutrophil influx, which decreased 1 week after MHV-1 infection and was inhibited by PTX3 treatment, macrophage infiltration remained elevated in the lung even at 2 weeks post MHV-1 infection. PTX3 administration further increased the influx of macrophages in the lungs of PTX3 KO mice. We speculate that macrophages may have an important role in anti-viral immunity, viral clearance and lung tissue repair, although the mechanisms for this effect remains undefined at this time. MCP-1 (CCL2) and MIP-1β (CCL4) are chemokines related to monocyte recruitment. Interestingly, both of these chemokines were down-regulated by exogenous PTX treatment in the lung of PTX3 KO mice. It is possible that in PTX3 KO mice, the regulation of macrophages in the lung is altered owing to unknown compensatory mechanisms.
Collectively our data revealed that PTX3 has an important role in host defense against pulmonary coronavirus infection and protects the lung from injury. The beneficial effects of PTX3 treatment in the MHV-1-induced lung injury appear to be secondary to its antiviral activity as well as its ability to mediate the inflammatory response.
References
Lagace-Wiens PR, Rubinstein E, Gumel A . Influenza epidemiology—past, present, and future. Crit Care Med 2010;38 (4 Suppl):e1–e9.
Lapinsky SE . Epidemic viral pneumonia. Curr Opin Infect Dis 2010;23:139–144.
Lau SK, Woo PC, Li KS, et al. Severe acute respiratory syndrome coronavirus-like virus in Chinese horseshoe bats. Proc Natl Acad Sci USA 2005;102:14040–14045.
De Albuquerque N, Baig E, Ma X, et al. Murine hepatitis virus strain 1 produces a clinically relevant model of severe acute respiratory syndrome in A/J mice. J Virol 2006;80:10382–10394.
DeAlbuquerque N, Baig E, Xuezhong M, et al. Murine hepatitis virus strain 1 as a model for severe acute respiratory distress syndrome (SARS). Adv Exp Med Biol 2006;581:373–378.
Roberts A, Deming D, Paddock CD, et al. A mouse-adapted SARS-coronavirus causes disease and mortality in BALB/c mice. PLoS Pathog 2007;3:e5.
Day CW, Baric R, Cai SX, et al. A new mouse-adapted strain of SARS-CoV as a lethal model for evaluating antiviral agents in vitro and in vivo. Virology 2009;395:210–222.
Khanolkar A, Hartwig SM, Haag BA, et al. Toll-like receptor 4 deficiency increases disease and mortality after mouse hepatitis virus type 1 infection of susceptible C3H mice. J Virol 2009;83:8946–8956.
Hwang DM, Chamberlain DW, Poutanen SM, et al. Pulmonary pathology of severe acute respiratory syndrome in Toronto. Mod Pathol 2005;18:1–10.
Rota PA, Oberste MS, Monroe SS, et al. Characterization of a novel coronavirus associated with severe acute respiratory syndrome. Science 2003;300:1394–1399.
Ma XZ, Bartczak A, Zhang J, et al. Proteasome inhibition in vivo promotes survival in a lethal murine model of SARS. J Virol 2010;84:12419–12428.
Bottazzi B, Doni A, Garlanda C, et al. An integrated view of humoral innate immunity: pentraxins as a paradigm. Annu Rev Immunol 2010;28:157–183.
Garlanda C, Bottazzi B, Bastone A, et al. Pentraxins at the crossroads between innate immunity, inflammation, matrix deposition, and female fertility. Annu Rev Immunol 2005;23:337–366.
Deban L, Bottazzi B, Garlanda C, et al. Pentraxins: multifunctional proteins at the interface of innate immunity and inflammation. Biofactors 2009;35:138–145.
Muller B, Peri G, Doni A, et al. Circulating levels of the long pentraxin PTX3 correlate with severity of infection in critically ill patients. Crit Care Med 2001;29:1404–1407.
He X, Han B, Liu M . Long pentraxin 3 in pulmonary infection and acute lung injury. Am J Physiol Lung Cell Mol Physiol 2007;292:L1039–L1049.
Garlanda C, Hirsch E, Bozza S, et al. Non-redundant role of the long pentraxin PTX3 in anti-fungal innate immune response. Nature 2002;420:182–186.
Soares AC, Souza DG, Pinho V, et al. Dual function of the long pentraxin PTX3 in resistance against pulmonary infection with Klebsiella pneumoniae in transgenic mice. Microbes Infect 2006;8:1321–1329.
Mairuhu AT, Peri G, Setiati TE, et al. Elevated plasma levels of the long pentraxin, pentraxin 3, in severe dengue virus infections. J Med Virol 2005;76:547–552.
Bozza S, Bistoni F, Gaziano R, et al. Pentraxin 3 protects from MCMV infection and reactivation through TLR sensing pathways leading to IRF3 activation. Blood 2006;108:3387–3396.
Reading PC, Bozza S, Gilbertson B, et al. Antiviral activity of the long chain pentraxin PTX3 against influenza viruses. J Immunol 2008;180:3391–3398.
Smits SL, de Lang A, van den Brand JM, et al. Exacerbated innate host response to SARS-CoV in aged non-human primates. PLoS Pathog 2010;6:e1000756.
Varani S, Elvin JA, Yan C, et al. Knockout of pentraxin 3, a downstream target of growth differentiation factor-9, causes female subfertility. Mol Endocrinol 2002;16:1154–1167.
Rivieccio V, Esposito A, Bellofiore P, et al. High-level expression and efficient purification of recombinant human long pentraxin PTX3 in Chinese hamster ovary cells. Protein Expr Purif 2007;51:49–58.
Levy GA, Leibowitz JL, Edgington TS . Induction of monocyte procoagulant activity by murine hepatitis virus type 3 parallels disease susceptibility in mice. J Exp Med 1981;154:1150–1163.
Mura M, Binnie M, Han B, et al. Functions of type II pneumocyte-derived vascular endothelial growth factor in alveolar structure, acute inflammation, and vascular permeability. Am J Pathol 2010;176:1725–1734.
Han B, Mura M, Andrade CF, et al. TNFalpha-induced long pentraxin PTX3 expression in human lung epithelial cells via JNK. J Immunol 2005;175:8303–8311.
He X, Han B, Bai X, et al. PTX3 as a potential biomarker of acute lung injury: supporting evidence from animal experimentation. Intensive Care Med 2010;36:356–364.
He X, Han B, Mura M, et al. Anti-human tissue factor antibody ameliorated intestinal ischemia reperfusion-induced acute lung injury in human tissue factor knock-in mice. PLoS One 2008;3:e1527.
Li C, Fung LS, Chung S, et al. Monoclonal antiprothrombinase (3D4.3) prevents mortality from murine hepatitis virus (MHV-3) infection. J Exp Med 1992;176:689–697.
Chen JH, Chang YW, Yao CW, et al. Plasma proteome of severe acute respiratory syndrome analyzed by two-dimensional gel electrophoresis and mass spectrometry. Proc Natl Acad Sci USA 2004;101:17039–17044.
Nathan C . Points of control in inflammation. Nature 2002;420:846–852.
Okutani D, Han B, Mura M, et al. High-volume ventilation induces pentraxin 3 expression in multiple acute lung injury models in rats. Am J Physiol Lung Cell Mol Physiol 2007;292:L144–L153.
Mauri T, Bellani G, Patroniti N, et al. Persisting high levels of plasma pentraxin 3 over the first days after severe sepsis and septic shock onset are associated with mortality. Intensive Care Med 2010;36:621–629.
Mauri T, Coppadoro A, Bellani G, et al. Pentraxin 3 in acute respiratory distress syndrome: an early marker of severity. Crit Care Med 2008;36:2302–2308.
Han B, Haitsma JJ, Zhang Y, et al. Long pentraxin PTX3 deficiency worsens LPS-induced acute lung injury. Intensive Care Med 2011;37:334–342.
Deban L, Russo RC, Sironi M, et al. Regulation of leukocyte recruitment by the long pentraxin PTX3. Nat Immunol 2010;11:328–334.
Leibowitz JL, Srinivasa R, Williamson ST, et al. Genetic determinants of mouse hepatitis virus strain 1 pneumovirulence. J Virol 2010;84:9278–9291.
Fujimoto I, Pan J, Takizawa T, et al. Virus clearance through apoptosis-dependent phagocytosis of influenza A virus-infected cells by macrophages. J Virol 2000;74:3399–3403.
Pribul PK, Harker J, Wang B, et al. Alveolar macrophages are a major determinant of early responses to viral lung infection but do not influence subsequent disease development. J Virol 2008;82:4441–4448.
Acknowledgements
We thank Dr Martin M. Matzuk in Baylor College of Medicine, Houston, Texas for providing PTX3 transgenic mice; Dr Giovanni Salvatori from Sigma-tau SpA, Roma, Italy for providing recombinant human PTX3; Dr Barbara Bottazzi in Istituto Clinico Humanitas - IRCCS, Milano, Italy for providing Biotinylated-PTX3. This project was supported by research grants from Ontario Thoracic Society and Canadian Institutes of Health Research (MOP-13-270 and MOP-42546).
Author information
Authors and Affiliations
Corresponding author
Ethics declarations
Competing interests
The authors declare no conflict of interest.
Additional information
Long pentraxin PTX3 is a humoral mediator of innate immunity that has clinically important anti-viral effects. Administration of recombinant PTX3 to a mouse model of severe acute respiratory syndrome accelerates viral clearance in the lung, attenuates virus-induced lung injury, and reduces early neutrophil influx and elevation of inflammatory mediators.
Rights and permissions
About this article
Cite this article
Han, B., Ma, X., Zhang, J. et al. Protective effects of long pentraxin PTX3 on lung injury in a severe acute respiratory syndrome model in mice. Lab Invest 92, 1285–1296 (2012). https://doi.org/10.1038/labinvest.2012.92
Received:
Revised:
Accepted:
Published:
Issue date:
DOI: https://doi.org/10.1038/labinvest.2012.92
Keywords
This article is cited by
-
Association of polymorphisms in long pentraxin 3 and its plasma levels with COVID-19 severity
Clinical and Experimental Medicine (2022)
-
Intraperitoneal adoptive transfer of mesenchymal stem cells enhances recovery from acid aspiration acute lung injury in mice
Intensive Care Medicine Experimental (2017)













