Abstract
This article reviews the salient features of variants of endometrioid carcinoma (ECa) that can pose a diagnostic challenge and/or are associated with unique clinicopathological findings. Variants with distinct architectural and cytologic features include the following: (1) ECa with a villoglandular pattern (tumor with finger-like papillae lined by bland cells with a tendency for vascular/lymphatic invasion and lymph node metastasis once this pattern is seen within the myoinvasive component); (2) papillary ECa of intermediate grade (grade 2) (tumor that can be mistaken for serous carcinoma, as it contains papillae showing slightly irregular contours, moderately atypical cells, and it is associated with vascular/lymphatic invasion/lymph node metastasis, but with common association with mucinous metaplasia, MELF (microcystic, elongated, and fragmented) pattern of invasion, and wild p53 expression); (3) ECa with non-villous papillae (tumor containing pseudopapillae within glands with bland-appearing cytology commonly associated with abortive squamous differentiation and otherwise not different from usual ECa); (4) ECa with microglandular-like pattern (tumor that mimics microglandular hyperplasia of the cervix, often lacking the typical appearance of microglandular hyperplasia and showing Ki-67 index >10%, strong CD10 expression, and negative PAX-2, p63, and CD34); and (5) ECa with sex cord-like formations and hyalinization (tumor with interconnected cords and nests of bland epithelioid and spindled cells that merge with a typical component of low-grade ECa, usually associated with squamous differentiation and hyalinization). This tumor should be distinguished from carcinosarcoma and, in contrast to the latter, it shows nuclear β-catenin expression, ER/PR and patchy p16 positivity, tends to present at a low stage, and has a favorable prognosis and (6) dedifferentiated ECa (tumor showing a low-grade ECa juxtaposed to an undifferentiated carcinoma—the latter characterized by variably sized monotonous, often non-cohesive cells with brisk mitotic activity and usually arranged in sheets). Undifferentiated carcinoma tends to be negative for PAX8 and ER/PR with variable expression of keratins and can be associated with microsatellite instability (may be part of Lynch syndrome). Variants with distinct cytological features include the following: (1) ECa with clear cells (tumors with clearing due to ‘clear’ (glycogenated) squamous cells, distinct vacuoles, or not otherwise specified. EC with clear cells should be distinguished from clear cell carcinoma by the absence of the variety of architectural patterns, lack of cuboidal/flattened/hobnail cells, and lack of degree of atypia usually detected in clear cell carcinoma. In addition, they are ER/PR positive and Napsin A and p504S negative in contrast to clear cell carcinoma); (2) ECa with spindle cells (tumor with transition from spindle cells to the glandular component of a low-grade ECa. The spindle cells are keratin, ER/PR, and patchy p16 positive and show wild-type p53 expression); (3) ECa with mucinous differentiation (this tumor can be mistaken for a cervical adenocarcinoma, as they have overlapping features. Expression of ER/PR and vimentin in the context of a negative or patchy p16 positivity and the absence of high-risk HPV allows a correct diagnosis).
Similar content being viewed by others
Main
Endometrioid carcinoma (ECa) accounts for ~80% of carcinomas arising in the endometrium.1, 2 The recognition of its typical morphology and clinical significance are usually straightforward; however, morphological variants can represent a diagnostic challenge or be associated with more aggressive clinical course. These variants can be grouped into two broad categories. The first shows architectural and cytologic changes, and includes the following: (1) papillary tumors with either no or minimal cytologic atypia and those with moderate cytologic atypia; (2) tumors with a microglandular-like pattern; (3) tumors with a biphasic-like (carcinosarcoma-like) appearance; and (4) tumors displaying a combination of typical low- grade ECa and undifferentiated carcinoma (ie, dedifferentiated carcinoma). The second category comprises tumors with only cytologic changes and includes those with clear cells, spindle cells, and mucinous differentiation.
ECa of the Usual Type
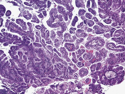
ECa is typically composed of a proliferation of oval or round endometrial glands with a smooth inner contour that are lined by stratified or pseudostratified low columnar epithelium with basophilic, amphophilic, or lightly eosinophilic cytoplasm displaying nuclei that show preservation of their polarity. In addition, a variable amount of solid growth sometimes can be seen filling and distending glandular lumens, which contains cells that bear a resemblance to the cells lining the glands (Figure 1). According to the FIGO grading system, ECa is divided as follows: grade I, up to 5% of solid, non-squamous, component; grade II, 6–50% of solid, non-squamous, component; grade III, >50% of solid, non-squamous, component3 (Figure 2a–c). The FIGO classification also considers that the presence of grade 3 nuclear atypia in the context of an architectural pattern grade I tumor should raise the grade by one;3 however, from a practical standpoint, before making a diagnosis of an ECa, tumors with this feature should raise the possibility of a serous carcinoma glandular variant.
Tumors with architectural and cytologic changes
Papillary Tumors
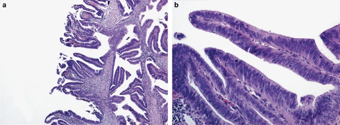
ECa with a villoglandular pattern
This tumor is characterized by long, slender, finger-like papillae, containing a fibrovascular core and lined by columnar cells with no or mild cytologic atypia. The nuclei are vertically oriented in relation to the basement membrane and the surface of the papillary structures is smooth4 (Figure 3a and b). Its incidence has been reported to range from 13% to 31%.4, 5 Most examples of this variant occur intermixed with a typical ECa (60%), whereas it occurs in its pure form in 40%.5 Some investigators have found that the presence of a villoglandular pattern within the myoinvasive component of an ECa is associated with a higher frequency of vascular/lymphatic invasion and lymph node metastasis, as well as a worse outcome when compared with myoinvasive ECa, usual type 1.4 (Figure 4a and b). A similar experience has been found in our practice; however, the validity of these observations could not be confirmed in a large Gynecologic Oncology Group study.5 This discrepancy could be related to differences in the methodology used in these two studies.6
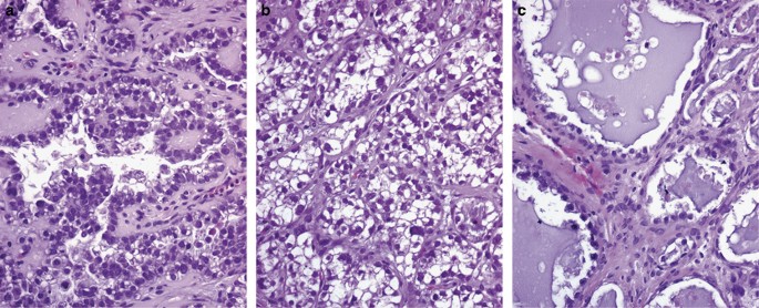
Papillary ECa of intermediate grade (Grade II)
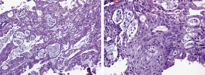
This variant is not recognized in the current WHO classification;2 however, its existence has been acknowledged by some investigators.7, 8 It is characterized by papillary structures, with or without fibrovascular cores, lined by cells with moderate cytologic atypia (ie, nuclear pleomorphism and loss of nuclear polarity). The surface of the papillae is either smooth or slightly irregular (the latter appearance being one of the reasons for which it can be mistaken with serous carcinoma); in addition, mucinous metaplasia is usually noted (Figure 5a–c). In our experience, this pattern tends to be associated with the MELF (microcystic, elongated, and fragmented) pattern of myometrial invasion,8 which is characterized by angulated and/or fragmented glands typically with at least partial attenuation of the epithelial lining and often associated with a fibromyxoid response and aggregates of acute inflammatory cells (Figure 6a–b). In some cases, only single and small cell clusters with abundant eosinophilic or vacuolated cytoplasm resembling histiocytes may be seen within the fibromyxoid stroma or areas of inflammation and can potentially be overlooked. The biological significance of the MELF pattern of invasion is still a matter of debate. One of the earliest studies found an association between this pattern and lymphovascular invasion but overall reported a more favorable patient outcome when present.9 Another study confirmed that the MELF pattern of invasion was not an independent predictor of lymph node metastases.10 However, other investigators have found an association between this pattern, lymphovascular invasion, as well as lymph node metastases.11, 12, 13, 14
In our experience, papillary ECa of intermediate grade, with or without MELF pattern, tends to be associated with vascular/lymphatic invasion and lymph node metastasis. Other investigators have indicated that these tumors appear to have a behavior intermediate between serous carcinoma and ECa villoglandular variant.7 Despite controversy, efforts should be made to identify the MELF pattern of invasion, as it is commonly associated with a deceptive pattern of vascular/lymphatic invasion,11, 12, 15, 16, 17 which is characterized by single and clusters of cells that have a histiocytoid-like morphology. The same cells may be easily overlooked in the subcapsular sinuses of regional lymph nodes (Figure 6c and d). Immunohistochemical studies may be needed to confirm the epithelial nature of these bland cell clusters.16, 17
The distinction of papillary ECa of intermediate grade (grade 2) from serous carcinoma may represent a diagnostic challenge. Clinically, papillary ECa of intermediate grade may be seen in pre- or postmenopausal patients, while serous carcinoma tends to occur in postmenopausal patients.18 Papillary ECa of intermediate grade shows moderate cytologic atypia but lacks high mitotic activity and numerous apoptotic bodies. In contrast, serous carcinoma typically has marked cytologic atypia (ie, marked nuclear pleomorphism and anisocytosis), numerous mitotic figures and conspicuous apoptosis. Although serous carcinoma may occasionally lack marked cytologic atypia, increased nuclear:cytoplasmic ratio and the last two histological features are always present. In addition, MELF pattern and mucinous metaplasia are absent in serous carcinoma. p53, p16, and Ki-67 are the most helpful immunohistochemical markers in this distinction. A wild-type pattern of p53 expression (ie p53 staining in scattered nuclei of tumor cells) is typical of papillary ECa of intermediate grade (Figure 7), while serous carcinoma is characterized by aberrant p53 expression (ie, >75% of the tumor nuclei strongly positive or complete lack of staining, ie, null case). Either patchy or absent p16 staining is seen in papillary ECa of intermediate grade, whereas it is usually diffusely positive in serous carcinoma.18, 19, 20 Attention has to be paid to the fact that up to 50% of morphologically ambiguous endometrial carcinomas (ie, tumors with overlapping features of endometrioid and serous carcinoma) with p53 overexpression do not display strong and diffuse p16 staining.18 Ki-67 shows a high proliferative index in serous carcinoma, which contrasts with a lower positivity in papillary ECa of intermediate grade. Other immunohistochemical stains that might be helpful include the following: (1) IMP2, which has been reported to be lost in at least 25% of tumor cells in low-grade ECa but not in serous carcinoma; (2) IMP3, which is expressed in ~63% of serous carcinomas (strong and diffuse cytoplasmic expression), while only 3% of low-grade ECas show patchy/focal staining; (3) PTEN, which is lost in 30–50% of ECas and is typically retained in serous carcinomas; and (4) nuclear β-catenin staining is occasionally seen in low-grade ECa, whereas serous carcinoma shows membranous staining.18
Of interest, ECas with a MELF pattern of myometrial invasion may be related to the concept of epithelial mesenchymal transition, as they tend to show greater expression of cytokeratins 7 and 19, cyclin D1, fascin, p16, and loss or reduced expression of ER and PR, galectin-3, CD147, Ki-67, and β-catenin when compared with the usual type of ECa.21, 22, 23, 24, 25, 26
ECa with small non-villous papillae
This morphological variant of ECa shows pseudopapillae lacking fibrovascular cores projecting into gland lumens or extending from the surface of the finger-like papillae that characterize villoglandular ECa. These pseudopapillae are composed of rounded to polygonal cells with eosinophilic or amphophilic cytoplasm and mildly to moderately atypical nuclei. Abortive squamous differentiation is frequently seen (Figure 8a and b). Patients with this tumor have a similar prognosis to those with typical ECa.27
ECa with Microglandular-like Pattern
This variant of ECa, which typically occurs in postmenopausal patients (occasionally on hormone therapy), is characterized by a proliferation of small or medium sized, sometimes focally cystic, back-to-back glands, lined by one or more layers of cuboidal, columnar, or flattened cells with amphophilic, eosinophilic, or mucin-rich cytoplasm. Solid growth and squamous differentiation can be noted. Intraluminal mucin and acute inflammatory cells, within the lumens and stroma, are always seen, imparting an appearance reminiscent of that seen in cervical microglandular hyperplasia. Tumor cells tend to show, with rare exceptions, no more than mild cytologic atypia (Figure 9a and b). Mitotic index can be variable, although often deceptively low, and occasionally abnormal forms may be seen. This pattern can be seen pure or mixed with typical ECa (where it is often located on the surface).28 The role of immunohistochemistry in distinguishing this tumor from cervical microglandular hyperplasia is limited due to the potential overlap in commonly used markers (ie, CEA, p63, p16, vimentin, and Ki-67).29, 30, 31, 32, 33 PAX2 may be helpful if negative, as it would support the diagnosis of ECa. CD10 strongly positive and lack of p63 expression would also favor an ECa. As immunohistochemical stains are often non-contributory, recognition of residual endometrial glands or stroma in fragments containing tumor, as well as the lack of reserve cells and poorly formed and variably distributed intracytoplasmic vacuoles are the only features that allow a definitive diagnosis. For cases in which this distinction is not possible, a descriptive diagnosis such as ‘glandular proliferation with a microglandular-like pattern’ should be rendered. In addition, the report should include a comment, suggesting either procurement of additional tissue (ie, fractional curettage) or clinical correlation (ie, physical examination and imaging studies of the uterus) to reach a definitive diagnosis.
ECa with Sex Cord-like Formations and Hyalinization
This unusual type of low-grade ECa shows interconnected cords, nests, or clusters of bland epithelioid and spindled cells, which merge with a conventional component of low-grade endometrioid neoplasia. Typically in between the cords and clusters, there is abundant hyalinized to myxoid stroma, which compresses the neoplastic cells and imparts a sex-cord like appearance.
Squamous differentiation (squamoid appearance) in these areas is common. In addition, if stroma is abundant, cords become stretched and not infrequently single neoplastic cells are present. Some tumors can contain osteoid within the stroma34 (Figure 10a–d). Most patients present at low stage and have a favorable prognosis.34 This variant of ECa must be distinguished from the following:
-
1
ECa with osteoid formation. Bland osteoid formation may be seen in conventional EC but lacks the corded pattern and the combination of epithelioid and spindle cells.
-
2
ECa with spindle cells. This variant shows conventional endometrioid neoplasia merging with a cellular spindle cell component that lacks associated hyalinization of the stroma, a corded pattern, and squamous differentiation.
-
3
Carcinosarcoma. In contrast to ECa with sex cord-like features, carcinosarcoma typically occurs in postmenopausal patients and is associated with a poor prognosis.34 Histologically, two distinct components, which are usually high grade, are characteristic of this tumor. The components are juxtaposed but they do not merge, which is in contrast to ECa with sex-cord like formations and hyalinization. Cytokeratins and EMA are not particularly useful in separating these two entities. However, the latter typically expresses ER/PR and shows patchy positivity for p16, as well as wild-type p53 expression. In contrast, carcinosarcoma tends to have p53 overexpression, diffuse, strong positivity for p16, and much less expression of ER/PR. In addition, nuclear β-catenin expression has been reported in ECas with sex cord-like formations and hyalinization, but not in carcinosarcomas.35, 36
Endometrioid carcinoma with sex cord-like formations and hyalinization, interconnected cords of epithelioid, and spindle cells adjacent to a proliferation of endometrial glands (a), the neoplastic cells display low-grade cytologic features (b and c), squamous differentiation, and hyalinization of the stroma (d).
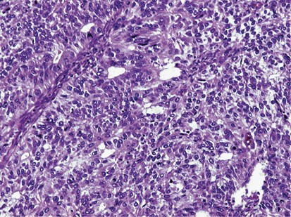
Low-Grade ECa and Undifferentiated Carcinoma (Dedifferentiated Carcinoma)
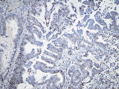
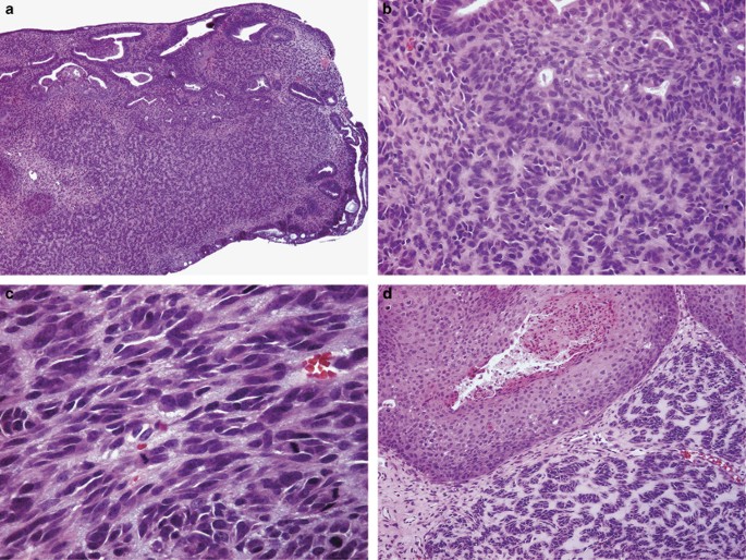
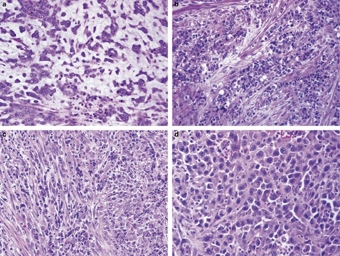
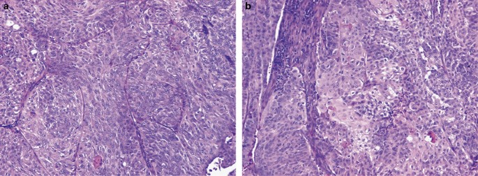
This uncommon high-grade carcinoma can arise in the endometrium or ovary and is characterized by the combination of a low-grade endometrioid (FIGO grade I or II) juxtaposed to an undifferentiated carcinoma (Figure 11, left and right).37, 38, 39 The undifferentiated component can be seen in the primary tumor or exclusively in the metastases (which can be at unusual sites).37 It is characterized by variably sized monotonous often non-cohesive cells with high nuclear-to-cytoplasmic ratio, dispersed chromatin, and small nucleoli with brisk mitotic activity. The cells are often arranged in sheets (Figure 12) but myxoid background, abrupt squamous differentiation, trabecular growth, and spindle or rhabdoid cells may be seen (Figure 13a–d). Prominent necrosis and conspicuous vascular/lymphatic space invasion are common. The undifferentiated component is variably positive for keratin cocktail, EMA, Cam 5.2, and keratin 18. Initially, it was found that the expression of the first three markers had a tendency to be focal and in some cases more than 1 block had to be tested.38, 39 However, it has recently been found that 54% of undifferentiated carcinomas are positive for keratin cocktail with either a patchy or diffuse staining pattern40 and 60% are positive for keratins 8/18.40 Cyclin D1 can be multifocally or diffusely strongly positive,41 p53 is typically diffusely positive, and diffuse p16 is seen in up to 50% of tumors. Chromogranin and/or synaptophysin can be focally positive (≤10% of cells) but this finding does not warrant designation as a neuroendocrine carcinoma.42 ER/PR expression is usually low or absent. Up to 80% of the tumors are PAX-8 negative.40 In addition, INI-1 shows retained nuclear expression, although experience is limited.39 Undifferentiated carcinoma is often associated with loss of mismatch repair proteins (more frequently loss of MLH1/PMS2 and sometimes loss of MSH6).39, 40, 43
The differential diagnosis includes the following:
-
1
ECa, grade III. Cells in the solid component of a high-grade ECa are overall similar to those seen in the conventional glandular component and scattered glands are often seen intermixed with the solid component.37 Immunohistochemically, the following differences in staining facilitate the correct diagnosis: (1) epithelial markers are typically expressed diffusely in the solid component of a grade III ECa but have only variable expression in undifferentiated carcinoma;38, 39, 40 (2) p16 and PAX8 tend to show patchy positivity in the solid component of a grade III ECa,44, 45 whereas undifferentiated carcinoma tends to be diffusely positive for p16 and negative for PAX8;40, 46 (3) ER/PR are more likely to be positive in a grade 3 ECa than in undifferentiated carcinoma (negative or minimally positive).35, 39, 40, 45
-
2
Neuroendocrine carcinoma. This tumor shares certain histological features with undifferentiated carcinoma including diffuse growth pattern, high nuclear-to-cytoplasmic ratio, and brisk mitotic activity. Furthermore, both may be seen in association with a conventional endometrioid component. However, neuroendocrine carcinoma displays characteristic chromatin pattern and typically shows positivity for chromogranin, synaptophysin, NSE, and/or CD 56 in >10% of the cells.42 In addition, keratin expression tends to be more prominent than in undifferentiated carcinoma.
-
3
Serous carcinoma. The solid growth of a serous carcinoma can mimic a dedifferentiated carcinoma; however, it is typically associated with other characteristic growth patterns (ie, glandular or papillary). The tumor cells are more cohesive and exhibit conspicuous pleomorphism. In addition, it is usually positive for keratin (diffuse) and PAX8.44
-
4
Carcinosarcoma. Although the undifferentiated/dedifferentiated carcinoma can be mistaken for the sarcomatous component of a carcinosarcoma, the latter rarely shows a monotonous proliferation of epithelioid cells. A confounding factor is the finding of focal positivity for epithelial markers in the sarcomatous component of a carcinosarcoma.47
-
1
Lymphoma/plasmacytoma. Rarely hematopoietic neoplasms can coexist with an ECa thus superficially mimicking a dedifferentiated carcinoma. In most instances, this does not represent a challenge, as the diagnosis can be established on morphologic grounds alone. In rare instances, hematopoietic markers, including CD45, CD3, CD20, and CD138 will facilitate the correct diagnosis. Of interest, CD138 can be positive in carcinomas, including tumors with a plasmacytoid morphology.39
-
2
Extra-renal malignant rhabdoid tumor. Rhabdoid morphology can be seen in dedifferentiated carcinomas; however, this is typically a focal finding. In contrast, extra-renal malignant rhabdoid tumor is composed of a predominant population of cells with rhabdoid morphology. Furthermore, this tumor shows loss of INI-1 nuclear expression in contrast to retained expression in undifferentiated/dedifferentiated carcinoma.39
Tumors with cytologic changes
ECa with Clear Cells
Cytoplasmic clearing in ECa can be secondary to the following: (1) glycogen-rich squamous component; (2) sub- or supranuclear vacuoles (secretory); (3) clear cell changes, not otherwise specified (NOS; undetermined nature); and (4) artifact. In ECas with glycogen-rich squamous differentiation, the cells are either polygonal or rounded and are typically seen with conventional areas of squamous differentiation (Figure 14a and b). ECas with secretory change are characterized by the presence of supra and/or subnuclear glycogen vacuoles (Figure 15a and b). Diffuse secretory changes are commonly seen in tumors of postmenopausal patients, although they can also be seen in reproductive-age women and in patients treated with progestins.
ECas can also have clear cytoplasm that do not fall into the categories described above, and these are designated as clear cell changes, NOS (Figure 16). Lastly, clear cells may be seen on the surface of ECa or on the edges of the tumor sections and this is most likely to be degenerative/artifactual in nature (Figure 17).
Overall, ECas with secretory changes are most likely to be confused with a clear cell carcinoma. The latter is diagnosed not by the presence of clear cells but by a combination of the typical architectural patterns (tubulocystic, papillary, and solid). Furthermore, cells range from cuboidal to low columnar, to polyhedral to flattened (Figure 18a–c), which is in contrast to ECas with secretory change that are almost exclusively composed of a uniform population of columnar cells. Cytologic atypia is often more striking in clear cell carcinomas. Immunohistochemistry may be of value in this differential diagnosis. As ECa with clear cells is typically of low grade, it shows diffuse and strong ER and PR expression in contrast to clear cell carcinoma (usually negative or weakly positive). p16 is diffusely positive in 50% of clear cell carcinomas, whereas it is patchy in ECa with clear cell changes. Napsin A and p504s have been shown to be more specific in the diagnosis of clear cell carcinoma compared with HNF-1β, as the latter is frequently positive in ECas with and without clear cells (Figure 19a–c).35, 48, 49, 50, 51, 52
ECa with Spindle Cells
Some ECas are characterized by a prominent spindle cell component. The spindle cells are typically of low grade and they often show abrupt keratinization, keratin pearls, or intercellular bridges (Figure 20a and b), and they merge with the conventional low-grade glandular component of the tumor (Figure 21a and b). Immunohistochemical stains demonstrate positive ER/PR, focal or patchy p16 expression, and wild-type p53 expression.35 These combined features allow the distinction from carcinosarcoma, which is the most common diagnostic pitfall.
ECa with Mucinous Differentiation
ECa with extensive mucinous differentiation or pure mucinous carcinoma (according to the WHO, a tumor with >50% of the cells containing mucin)2 (Figure 22) can be mistaken, in particular in limited samples, for a cervical primary tumor, as they have overlapping histological features. On morphologic grounds, features favoring an endometrial primary include the following: (1) the presence of conventional endometrioid component; (2) more prominent mucin (except if pyloric- or gastric-type mucinous epithelium, which typically has prominent mucin); (3) the presence of atypical hyperplasia/endometrial intraepithelial neoplasia; (4) less frequent apical mitoses and apoptotic debris; and (5) lack of cervical adenocarcinoma in situ or associated squamous neoplasia. Immunohistochemistry may assist in this setting as mucinous endometrial carcinomas are usually vimentin, ER, and PR positive, and negative for CEA; endocervical adenocarcinoma typically shows the opposite profile (Figure 23a–d). However, the following pitfalls should be kept in mind: (1) cervical adenocarcinoma can occasionally express ER and PR; (2) vimentin expression in ECas with mucinous differentiation can be absent or only focally positive; and (3) CEA can be expressed in ECas with mucinous differentiation/mucinous carcinoma. p16 is either negative, focally positive, or patchy positive in ECa, whereas diffusely and strongly positive in usual endocervical adenocarcinoma (HPV related). Detection of high-risk HPV by in situ hybridization is in keeping with a cervical origin of the tumor.35, 53, 54 Even though these tumors have an increased incidence of positive pelvic lymph nodes, the overall survival does not differ from that of typical ECa.8, 55
Take home messages
-
It is important to recognize the myoinvasive component of a villoglandular carcinoma, as this variant of ECa is clinically more aggressive than typical ECa with an increased risk of vascular/lymphatic invasion and lymph node metastasis.
-
Papillary ECa of intermediate grade is often associated with mucinous metaplasia and MELF pattern of invasion. It has a prognosis intermediate between villoglandular carcinoma and serous carcinoma. This tumor shows moderate cytologic atypia and it is associated with an increased risk of vascular/lymphatic invasion and lymph node metastasis; however, in contrast to serous carcinoma it has a wild-type p53 staining pattern and p16 patchy positivity,8 and appears to have an intermediate behavior between serous and villoglandular carcinoma.
-
ECa with small non-villous papillae is a low-grade ECa and can be distinguished from a serous carcinoma by lack of fibrovascular cores, its low-grade cytologic features, as well as association to adjacent conventional low-grade ECa.
-
ECa with sex cord-like formations and hyalinization is a low-grade tumor that should not be confused with carcinosarcoma. Merging with typical endometrioid type glands and low-grade cytology contrasts with the sharp demarcation and high-grade cytology of both components in carcinosarcoma. Nuclear β-catenin expression in the spindle and corded areas may also assist in this differential diagnosis.
-
Low-grade ECa and undifferentiated carcinoma (dedifferentiated carcinoma) should not be mistaken for an ECa FIGO grade II or III. It can be recognized, as the undifferentiated component is juxtaposed to areas of low-grade ECa, cells typically grow in sheets, are non-cohesive, and are relatively monotonous, with PAX8, ER and PR negative. It is important to recognize this type of carcinoma, as it carries a very poor prognosis and can be a marker of Lynch syndrome as well.
-
ECa with clear cells lacks the typical architectural patterns and the variety of cells (flattened, cuboidal, and hobnail), and degree of cytologic atypia seen in clear cell carcinoma. ER, PR (positive), and Napsin A and p504S (negative) support the diagnosis of ECa with clear cells.
-
ECa with spindle cells can be distinguished from carcinosarcoma, as the former typically shows a transition to the glandular elements of a low-grade ECa, they are low grade, and often represent part of the spectrum of squamous differentiation. The spindle cell areas are keratin and ER/PR positive, and p16 is typically patchy positive. ECa with mucinous differentiation should not be confused with a cervical adenocarcinoma. The former is often ER/PR and vimentin positive, while negative for CEA. p16 is either negative of patchy positive, as high-risk HPV is not detected by in situ hybridization.
References
Clement PH, Young RH . Endometrioid carcinoma of the uterine corpus: a review of its pathology with emphasis on recent advances and problematic aspects. Adv Anat Pathol 2002;9:145–184.
Zaino RJ, Kurman RJ, Diana KL et al. The utility of the revised International Federation of Gynecology and Obstetrics histologic grading of endometrial adenocarcinoma using a defined nuclear grading system. A Gynecology Oncology Group study. Cancer 1995;75:81–86.
Zaino R, Carinelli SG, Ellenson LH et al. Tumors of the uterine corpus. Epithelial tumours and precursors. In: Kurman RJ, Carcangiu ML, Herrington CS, Young RH eds World Health Organization Classification of Tumors of Female Reproductive Organs. IARC Press: Lyon, France, 2014;125–133.
Ambros R, Ballouk F, Malfetano J et al. Significance of papillary (villoglandular) differentiation in endometrioid carcinoma of the uterus. Am J Surg Pathol 1994;18:569–575.
Zaino RJ, Kurman RJ, Bruentto VL et al. Villoglandular adenocarcinoma of the uterus: a clinicopathologic study of 61 cases. A Gynecologic Oncology Group Study. Am J Surg Pathol 1998;22:1379–1385.
Ambros R, Malfetano JH . Villoglandular adenocarcinoma of the endometrium. Am J Surg Pathol 2000;24:155–156.
Longacre TA, Atkins KA, Kempson RL et al. The uterine corpus. In: Mills SE, Carter D, Greenson JK et al (eds). Sternberg’s Diagnostic Surgical Pathology Vol. 2. Lippincott Williams & Wilkins: Philadelphia, PA, 2010;2229.
Malpica A, Euscher ED . Endometrial carcinomas. In: Epstein JI (ed). Biopsy Interpretation of the Uterine Cervix and Corpus. Second Edition. Wolters Kluwer: Philadelphia, PA, 2015;194–234.
Murray SK, Young RH, Scully RE . Unusual epithelial and stromal changes in myoinvasive endometrioid adenocarcinoma: a study of their frequency, associated diagnostic problems, and prognostic significance. Int J Gynecol Pathol 2003;22:324–333.
Euscher E, Fox P, Bassett R et al. The pattern of myometrial invasion as a predictor of lymph node metastasis or extrauterine disease in low-grade endometrial carcinoma. Am J Surg Pathol 2013;37:1728–1736.
Stewart CJ, Brennan BA, Leung YC et al. MELF pattern invasion in endometrial carcinoma: association with low grade, myoinvasive endometrioid tumours, focal mucinous differentiation and vascular invasion. Pathology 2009;41:454–459.
Pavlakis K, Messini I, Verkoussis T et al. MELF invasion in endometrial cancer as a risk factor for lymph node metastasis. Histopathology 2011;58:966–973.
Hertel JD, Huettner PC, Pfeifer JD . Lymphovascular space invasion in microcystic elongated and fragmented (MELF)-pattern well-differentiated endometrioid adenocarcinoma is associated with a higher rate of lymph node metastasis. Int J Gynecol Pathol 2014;33:127–134.
Dogan Altunpulluk M, Kir G, Topal CS et al. The association of the microcystic, elongated and fragmented (MELF) invasion pattern in endometrial carcinomas with deep myometrial invasion, lymphovascular space invasion and lymph node metastasis. J Obstet Gynaecol 2015;35:397–402.
Lee KR, Vacek PM, Belinson JL . Traditional and nontraditional histopathologic predictors of recurrence in uterine endometrioid adenocarcinoma. Gynecol Oncol 1994;54:10–18.
McKenney JK, Kong CS, Longacre TA . Endometrial adenocarcinoma associated with subtle lymph-vascular space invasion and lymph node metastasis: a histologic pattern mimicking intravascular and sinusoidal histiocytes. Int J Gynecol Pathol 2005;24:73–78.
Han G, Lim D, Leitao MM Jr et al. Histological features associated with occult lymph node metastasis in FIGO clinical stage I, grade I endometrioid carcinoma. Histopathology 2014;64:389–398.
Garg K, Soslow RA . Strategies for distinguishing low-grade endometrioid and serous carcinomas of endometrium. Adv Anat Pathol 2012;19:1–10.
Chiesa-Vottero AG, Malpica A, Deavers MT et al. Immunohistochemical expression of p16 and p53 in uterine serous carcinoma and ovarian high-grade serous carcinoma. Int J Gynecol Pathol 2007;26:328–333.
Yemelyanova A, Ji H, Shih IM et al. Utility of p16 expression for distinction of uterine serous carcinoma from endometrial endometrioid and endocervical adenocarcinomas: immunohistochemical analysis of 201 cases. Am J Surg Pathol 2009;33:1504–1514.
Stewart CJ, Little L . Immunophenotypic features of MELF pattern invasion in endometrial adenocarcinoma: evidence for epithelial-mesenchymal transition. Histopathology 2009;55:91–101.
Stewart CJ, Crook ML, Leung YC et al. Expression of cell cycle regularory proteins in endometrial adenocarcinoma: variations in conventional tumor areas and in microcystic, elongated and fragmented glands. Mod Pathol 2009;22:725–733.
Stewart CJ, Crook ML, Doherty DA . Micro-anatomical variation in cellular proliferation in endometrial adenocarcinoma, and inverse correlation between Ki67 and cytokeratin 7 expression. Histopathology 2010;57:46–54.
Stewart CJ, Crook ML . Galectin-3 expression in uterine endometriod adenocarcinoma: comparison of staining in conventional tumor glands and in areas of MELF pattern myometrial invasion. Int J Gynecol Pathol 2010;29:555–561.
Stewart CJ, Crook ML . CD147 (EMMPRIN) and matrix metalloproteinase-2 expression in uterine endometrioid adenocarcinoma. Pathol Res Pract 2011;207:30–36.
Stewart CJ, Crook ML, Manso L . Fascin expression in low grade uterine endometrioid adenocarcinoma: correlation with microcystic, elongated and fragmented (MELF)-type alteration at the deep invasive margin. Histopathology 2011;59:73–80.
Murray SK, Young RH, Scully RE . Uterine endometrioid carcinoma with small nonvillous papillae: an analysis of 26 cases of a favorable-prognosis tumor to be distinguished from serous carcinoma. Int J Surg Pathol 2000;8:279–289.
Young RH, Scully RE . Uterine carcinomas simulating microglandular hyperplasia. A report of six cases. Am J Surg Pathol 1992;16:1092–1097.
Qiu W, Mittal K . Comparison of morphologic and immunohistochemical features of cervical microglandular hyperplasia with low-grade mucinous adenocarcinoma of the endometrium. Int J Gynecol Pathol 2003;22:261–265.
Da Forno PD, McGregor AH, Brown LJR . Microglandular hyperplasia: a pitfall in the diagnosis of microglandular type endometrioid adenocarcinoma. Histopathology 2005;46:346–358.
Chekmaeva M, Elleson LH, Pirog EC . Immunohistochemical differences between mucinous and microglandular adenocarcinomas of the endometrium and benign endocervical epithelium. Int J Gynecol Pathol 2008;27:547–554.
Pavlakis K, Vrekoussis T, Messinin I et al. Mucinous epithelial lesions in endometrial curettage material: a diagnostic challenge. Appl Immunohistochem Mol Morphol 2012;20:607–613.
Stewart CJR, Crook ML . PAX2 and cyclin D1 expression in the distinction between cervical microglandular hyperplasia and endometrial microglandular-like carcinoma: a comparison with p16, vimentin, and Ki-67. Int J Gynecol Pathol. 2014;34:90–100.
Murray SK, Clement PB, Young RH . Endometrioid carcinomas of the uterine corpus with sex cord-like formations, hyalinization, and other unusual morphologic features: a report of 31 cases of a neoplasm that may be confused with carcinosarcoma and other uterine neoplasms. Am J Surg Pathol 2005;29:157–166.
Bartosch C, Lopes JM, Oliva E . Endometrial carcinomas: a review emphasizing overlapping and distinctive morphological and immunohistochemical features. Adv Anat Pathol 2011;18:415–437.
Wani Y, Saegusa M, Notohara K . Aberrant nuclear beta-catenin expression in the spindled or corded cells in so-called corded and hyalinized endometrioid carcinomas. Another critical role of the unique morphological feature. Histol Histopathol 2009;24:149–155.
Silva EG, Deavers MT, Bodurka DC et al. Association of low grade endometrioid carcinoma of the uterus and ovary with undifferentiated carcinoma: a new type of dedifferentiated carcinoma? Int J Gynecol Pathol 2006;25:52–58.
Altrabulsi B, Malpica A, Deavers MT et al. Undifferentiated carcinoma of the endometrium. Am J Surg Pathol 2005;29:1316–1321.
Tafe LJ, Garg K, Chew I et al. Endometrial and ovarian carcinomas with undifferentiated components: clinically aggressive and frequently underrecognized neoplasms. Mod Pathol 2010;23:781–789.
Ramalingam P, Masand R, Euscher ED et al. Undifferentiated carcinoma of the endometrium: an expanded immunohistochemical analysis including PAX-8 and basal-like carcinoma surrogate markers. Int J Gynecol Pathol 2015, in press.
Shah VI, McCluggage WG . Cyclin D1 does not distinguish YWHAE-NUTM2 high-grade endometrial stromal sarcoma from undifferentiated endometrial carcinoma. Letters to the Editor. Am J Surg Pathol 2015;39:722–724.
Taraif SH, Deavers MT, Malpica A et al. The significance of neuroendocrine expression in undifferentiated carcinoma of the endometrium. Int J Gynecol Pathol 2009;28:142–147.
Broaddus RR, Lynch HT, Chen LM et al. Pathologic features of endometrial carcinoma associated with HNPCC: a comparison with sporadic endometrial carcinoma. Cancer 2006;106:87–94.
Bunner AH, Riss P, Heinze G et al. Immunoexpression of PAX8 in endometrial cancer: relation to high-grade carcinoma and p53. Int J Gynecol Pathol 2011;30:569–575.
Alkushi A, Kobel M, Kalloger SE et al. High-grade endometrial carcinoma:serous and grade 3 endometrioid carcinomas have different immunophenotypes and outcomes. Int J Gynecol Pathol 2010;29:343–350.
Saad RS, Masshour M, Noftech-Mozes S et al. p16 expression in undifferentiated carcinoma of the uterus does not exclude its endometrial origin. Int J Gynecol Pathol 2012;31:57–65.
de Brito PA, Silverberg SG, Orenstein JM . Carcinosarcoma (malignant mixed müllerian (mesodermal) tumor) of the female genital tract: immunohistochemical and ultrastructural analysis of 28 cases. Hum Pathol 1993;24:132–142.
Fadare O, Parkash V, Gwin K et al. Utility of α-methylacyl-coenzyme-A racemase (p504s) immunohistochemistry in distinguishing endometrial clear cell carcinomas from serous and endometrioid carcinomas. Hum Pathol 2013;44:2814–2821.
Fadare O, Desouki MM, Gwin K et al. Frequent expression of napsin A in clear cell carcinoma of the endometrium. Am J Surg Pathol 2014;38:189–196.
Hoang LN, Han G, McConechy M et al. Immunohistochemical characterization of prototypical endometrial clear cell carcinoma—diagnostic utility of HNF-1β and oestrogen receptor. Histopathology 2014;64:585–596.
Han G, Soslow RA, Wethington S et al. Endometrial carcinomas with clear cells: a study of a heterogeneous group of tumors including interobserver variability, mutation analysis, and immunohistochemistry with HNF-1β. Int J Gynecol Pathol 2015;34:323–333.
Lim D, Ip PP, Cheung AN et al. Immunohistochemical comparison of ovarian and uterine endometrioid carcinoma, endometrioid carcinoma with clear cell change, and clear cell carcinoma. Am J Surg Pathol 2015;39:1061–1069.
Fujiwara M, Longacre TA . Low-grade mucinous adenocarcinoma of the uterine corpus: a rare and deceptively bland form of endometrial carcinoma. Am J Surg Pathol 2011;35:537–544.
Yemelyanova A, Vang R, Seidman JD et al. Endocervical adenocarcinomas with prominent endometrial or endomyometrial involvement simulating primary endometrial carcinomas: utility of HPV DNA detection and immunohistochemical expression of p16 and hormone receptors to confirm cervical origin of the corpus tumor. Am J Surg Pathol 2009;33:914–924.
Rauh-Hain JA, Vargas RJ, Clemmer J et al. Mucinous adenocarcinoma of the endometrium compared with endometrioid endometrial cancer. Am J Clin Oncol 2014;0:1–6.
Author information
Authors and Affiliations
Corresponding author
Ethics declarations
Competing interests
The author declares no conflict of interest.
Rights and permissions
About this article
Cite this article
Malpica, A. How to approach the many faces of endometrioid carcinoma. Mod Pathol 29 (Suppl 1), S29–S44 (2016). https://doi.org/10.1038/modpathol.2015.142
Received:
Accepted:
Published:
Issue date:
DOI: https://doi.org/10.1038/modpathol.2015.142
This article is cited by
-
Establishing and Validating an Innovative Focal Adhesion-Linked Gene Signature for Enhanced Prognostic Assessment in Endometrial Cancer
Reproductive Sciences (2024)
-
Identification of a subset of microsatellite-stable endometrial carcinoma with high PD-L1 and CD8+ lymphocytes
Modern Pathology (2019)
-
Das un- und dedifferenzierte Endometriumkarzinom
Der Pathologe (2019)
-
Malignant ascites occurs most often in patients with high-grade serous papillary ovarian cancer at initial diagnosis: a retrospective analysis of 191 women treated at Bayreuth Hospital, 2006–2015
Archives of Gynecology and Obstetrics (2019)
-
Non-endometrioid and high-grade endometrioid endometrial cancers show DNA fragmentation factor 40 (DFF40) and B-cell lymphoma 2 protein (BCL2) underexpression, which predicts disease-free and overall survival, but not DNA fragmentation factor 45 (DFF45) underexpression
BMC Cancer (2018)

























