Abstract
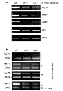
Rapid induction of the Drosophila melanogaster heat shock gene hsp70 is achieved through the binding of heat shock factor1 (HSF) to heat shock elements (HSEs) located upstream of the transcription start site2 (reviewed in ref. 3). The subsequent recruitment of several other factors4,5,6,7,8, including Spt5, Spt6 and FACT, is believed to facilitate Pol II elongation through nucleosomes downstream of the start site9,10,11. Here, we report a novel mechanism of heat shock gene regulation that involves modifications of nucleosomes by the TAC1 histone modification complex12. After heat stress, TAC1 is recruited to several heat shock gene loci, where its components are required for high levels of gene expression. Recruitment of TAC1 to the 5′-coding region of hsp70 seems to involve the elongating Pol II complex. TAC1 has both histone H3 Lys 4-specific (H3-K4) methyltransferase (HMTase) activity and histone acetyltransferase activity through Trithorax (Trx) and CREB-binding protein (CBP), respectively. Consistently, TAC1 is required for methylation and acetylation of nucleosomal histones in the 5′-coding region of hsp70 after induction, suggesting an unexpected role for TAC1 during transcriptional elongation.
This is a preview of subscription content, access via your institution
Access options
Subscribe to this journal
Receive 12 print issues and online access
$259.00 per year
only $21.58 per issue
Buy this article
- Purchase on SpringerLink
- Instant access to the full article PDF.
USD 39.95
Prices may be subject to local taxes which are calculated during checkout





Similar content being viewed by others
References
Westwood, J.T., Clos, J. & Wu, C. Stress-induced oligomerization and chromosomal relocalization of heat-shock factor. Nature 353, 822–827 (1991).
Wu, C. The 5′ ends of Drosophila heat shock genes in chromatin are hypersensitive to DNase I. Nature 286, 854–860 (1980).
Farkas, G., Leibovitch, B.A. & Elgin, S.C. Chromatin organization and transcriptional control of gene expression in Drosophila. Gene 253, 117–136 (2000).
Lis, J.T., Mason, P., Peng, J., Price, D.H. & Werner, J. P-TEFb kinase recruitment and function at heat shock loci. Genes Dev. 14, 792–803 (2000).
Fleischmann, G. et al. Drosophila DNA topoisomerase I is associated with transcriptionally active regions of the genome. Proc. Natl Acad. Sci. USA 81, 6958–6962 (1984).
Udvardy, A. & Schedl, P. Chromatin structure, not DNA sequence specificity, is the primary determinant of topoisomerase II sites of action in vivo. Mol. Cell Biol. 11, 4973–4984 (1991).
Park, J.M., Werner, J., Kim, J.M., Lis, J.T. & Kim, Y.J. Mediator, not holoenzyme, is directly recruited to the heat shock promoter by HSF upon heat shock. Mol. Cell 8, 9–19 (2001).
Rougvie, A.E. & Lis, J.T. The RNA polymerase II molecule at the 5′ end of the uninduced hsp70 gene of D. melanogaster is transcriptionally engaged. Cell 54, 795–804 (1988).
Kaplan, C.D., Morris, J.R., Wu, C. & Winston, F. Spt5 and spt6 are associated with active transcription and have characteristics of general elongation factors in D. melanogaster. Genes Dev. 14, 2623–2634 (2000).
Andrulis, E.D., Guzman, E., Doring, P., Werner, J. & Lis, J.T. High-resolution localization of Drosophila Spt5 and Spt6 at heat shock genes in vivo: roles in promoter proximal pausing and transcription elongation. Genes Dev. 14, 2635–2649 (2000).
Saunders, A. et al. Tracking FACT and the RNA polymerase II elongation complex through chromatin in vivo. Science 301, 1094–1096 (2003).
Petruk, S. et al. Trithorax and dCBP Acting in a complex to maintain expression of a homeotic gene. Science 294, 1331–1334 (2001).
Brock, H.W. & van Lohuizen, M. The Polycomb group — no longer an exclusive club? Curr. Opin. Genet. Dev. 11, 175–181 (2001).
Ashburner, M. & Bonner, J.J. The induction of gene activity in Drosophila by heat shock. Cell 17, 241–254 (1979).
Jenuwein, T. Re-SET-ting heterochromatin by histone methyltransferases. Trends Cell Biol. 11, 266–273 (2001).
Rozovskaia, T. et al. Self-association of the SET domains of human ALL-1 and of Drosophila TRITHORAX and ASH1 proteins. Oncogene 19, 351–357 (2000).
Cui, X. et al. Association of SET domain and myotubularin-related proteins modulates growth control. Nature Genet. 18, 331–337 (1998).
Beisel, C., Imhof, A., Greene, J., Kremmer, E. & Sauer, F. Histone methylation by the Drosophila epigenetic transcriptional regulator Ash1. Nature 419, 857–862 (2002).
Sedkov, Y. et al. Role of histone methylation in the ecdysone-dependent development of Drosophila. Nature 426, 78–83 (2003).
Shopland, L.S. & Lis, J.T. HSF recruitment and loss at most Drosophila heat shock loci is coordinated and depends on proximal promoter sequences. Chromosoma 105, 158–171 (1996).
Weber, J.A., Taxman, D.J., Lu, Q. & Gilmour, D.S. Molecular architecture of the hsp70 promoter after deletion of the TATA box or the upstream regulation region. Mol. Cell Biol. 17, 3799–3808 (1997).
Mazo, A.M., Huang, D.H., Mozer, B.A. & Dawid, I.B. The trithorax gene, a trans-acting regulator of the bithorax complex in Drosophila, encodes a protein with zinc-binding domains. Proc. Natl Acad. Sci. USA 87, 2112–2116 (1990).
Florence, B. & McGinnis, W. A genetic screen of the Drosophila X chromosome for mutations that modify Deformed function. Genetics 150, 1497–1511 (1998).
Breen, T.R. Mutant alleles of the Drosophila trithorax gene produce common and unusual homeotic and other developmental phenotypes. Genetics 152, 319–344 (1999).
Katsani, K.R., Arredondo, J.J., Kal, A.J. & Verrijzer, C.P. A homeotic mutation in the trithorax SET domain impedes histone binding. Genes Dev. 15, 2197–2202 (2001).
Nacheva, G.A. et al. Change in the pattern of histone binding to DNA upon transcriptional activation. Cell 58, 27–36 (1989).
Nowak, S.J. & Corces, V.G. Phosphorylation of histone H3 correlates with transcriptionally active loci. Genes Dev. 14, 3003–3013 (2000).
Casso, D., Ramirez-Weber, F. & Kornberg, T.B. GFP-tagged balancer chromosomes for Drosophila melanogaster. Mech. Dev. 91, 451–454 (2000).
Rea, S. et al. Regulation of chromatin structure by site-specific histone H3 methyltransferases. Nature 406, 593–599 (2000).
Rozovskaia, T. et al. Trithorax and ASH1 interact directly and associate with the trithorax group-responsive bxd region of the Ultrabithorax promoter. Mol. Cell. Biol. 19, 6441–6447 (1999).
Acknowledgements
We would like to thank J. Lis, A. Shearn, C. Wu, F. Winston, S. Lindquist, C. Wu, T.-S. Hsieh, D. Gilmour and T. Breen for antibodies and mutant stocks, and J.B. Jaynes for critical remarks on the manuscript. S.P. was supported by a training program from the National Cancer Institute (NCI) (CA009678). This work was supported by a grant (CA50507) from the NCI to A.M.
Author information
Authors and Affiliations
Corresponding author
Ethics declarations
Competing interests
The authors declare no competing financial interests.
Rights and permissions
About this article
Cite this article
Smith, S., Petruk, S., Sedkov, Y. et al. Modulation of heat shock gene expression by the TAC1 chromatin-modifying complex. Nat Cell Biol 6, 162–167 (2004). https://doi.org/10.1038/ncb1088
Received:
Accepted:
Published:
Issue date:
DOI: https://doi.org/10.1038/ncb1088
This article is cited by
-
The Trithorax group protein ASH1 requires a combination of BAH domain and AT hooks, but not the SET domain, for mitotic chromatin binding and survival
Chromosoma (2021)
-
Theoretical analysis of Polycomb-Trithorax systems predicts that poised chromatin is bistable and not bivalent
Nature Communications (2019)
-
Additional sex combs interacts with enhancer of zeste and trithorax and modulates levels of trimethylation on histone H3K4 and H3K27 during transcription of hsp70
Epigenetics & Chromatin (2017)
-
Bromodomain factors of BET family are new essential actors of pericentric heterochromatin transcriptional activation in response to heat shock
Scientific Reports (2017)
-
Transcriptional control of non-apoptotic developmental cell death in C. elegans
Cell Death & Differentiation (2016)


