Abstract
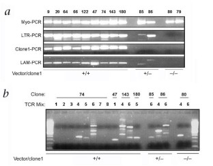
A clinical trial of retroviral-mediated transfer of the adenosine deaminase (ADA) gene into umbilical cord blood CD34+ cells was started in 1993. ADA-containing peripheral blood mononuclear cells (PBMCs) have persisted in patients from this trial, with T lymphocytes showing the highest prevalence of gene marking1,2. To gain a greater understanding of the nature and number of the transduced cells that were engrafted, we used linear amplification–mediated PCR (LAM-PCR) to identify clonal vector proviral integrants3,4. In one patient, a single vector integrant was predominant in T lymphocytes at a stable level over most of the eight-year time span analyzed and was also detected in some myeloid samples. T-cell clones with the predominant integrant, isolated after eight years, showed multiple patterns of T-cell receptor (TCR) gene rearrangement, indicating that a single pre-thymic stem or progenitor cell served as the source of the majority of the gene-marked cells over an extended period of time. It is important to distinguish the stable pattern of monoclonal gene marking that we observed here from the progressive increase of a T-cell clone with monoclonal gene marking that results from leukemic transformation, as observed in two subjects in a clinical trial of gene therapy for X-linked severe combined immunodeficiency (SCID)5,6.
This is a preview of subscription content, access via your institution
Access options
Subscribe to this journal
Receive 12 print issues and online access
$259.00 per year
only $21.58 per issue
Buy this article
- Purchase on SpringerLink
- Instant access to the full article PDF.
USD 39.95
Prices may be subject to local taxes which are calculated during checkout



Similar content being viewed by others
References
Kohn, D.B. et al. Engraftment of gene-modified cells from umbilical cord blood in neonates with adenosine deaminase deficiency. Nat. Med. 1, 1017–1026 (1995).
Kohn D.B. et al. T lymphocytes with a normal ADA gene accumulate after transplantation of transduced autologous umbilical cord blood CD34+ cells in ADA-deficient SCID neonates. Nat. Med. 4, 775–780 (1998).
Schmidt, M. et al. Detection and direct genomic sequencing of multiple rare unknown flanking DNA in highly complex samples. Hum. Gene Ther. 12, 743–749 (2001).
Schmidt, M. et al. Polyclonal long-term repopulating stem cell clones in a primate model. Blood 100, 2737–2743 (2002).
Hacein-Bey-Abina, S. et al. A serious adverse event after successful gene therapy for X-linked severe combined immunodeficiency. N. Engl. J. Med. 348, 255–256 (2003).
Marshall, E. Gene therapy. Second child in French trial is found to have leukemia. Science 299, 320 (2003).
Capel, B., Hawley, R.G. & Mintz, B. Long- and short-lived murine hematopoietic stem cell clones individually identified with retroviral integration markers. Blood 75, 2267–2270 (1990).
Morrison, S.J. & Weissman, I.L. The long-term repopulating subset of hematopoietic stem cells is deterministic and isolatable by phenotype. Immunity 1, 661–673 (1994).
Glimm, H. et al. Previously undetected human hematopoietic cell populations with short-term repopulating activity selectively engraft NOD/SCID-β2 microglobulin-null mice. J. Clin. Invest. 107, 199–206 (2001).
Willenbrock, K. et al. Analysis of T-cell subpopulations in T-cell non-Hodgkin's lymphoma of angioimmunoblastic lymphadenopathy with dysproteinemia type by single target gene amplification of T cell receptor-β gene rearrangements. Am. J. Pathol. 158, 1851–1857 (2001).
Tisdale, J.F. et al. Ex vivo expansion of genetically marked rhesus peripheral blood progenitor cells results in diminished long-term repopulating ability. Blood 92, 1131–1141 (1998).
Kim, H.J. et al. Many multipotential gene-marked progenitor or stem cell clones contribute to hematopoiesis in nonhuman primates. Blood 96, 1–8 (2000).
Jensen, M.C. et al. Human T lymphocyte genetic modification with naked DNA. Mol. Ther. 1, 49–55 (2000).
Kent, W.J. BLAT: the BLAST-like Alignment Tool. Genome Res. 12, 656–664 (2002).
Kent, W.J. et al. The Human Genome Browser at UCSC. Genome Res. 12, 996–1006 (2002).
Lander, E. et al. Initial sequencing and analysis of the human genome. Nature 409, 860–892 (2001).
Acknowledgements
We thank M. Jensen (City of Hope National Medical Center) for assistance with T-cell cloning. This research was supported by US National Institutes of Health grants 1P50 HL54850 and 3 MO1 RR0043-35S1 and by grants Ka 976/4-1 from the Deutsche Forschungsgemeinschaft and 01KV9527/7 from the German Minister for Education and Research. D.B.K. is the recipient of a Distinguished Clinical Scientist Award from the Doris Duke Charitable Foundation.
Author information
Authors and Affiliations
Corresponding author
Ethics declarations
Competing interests
The authors declare no competing financial interests.
Rights and permissions
About this article
Cite this article
Schmidt, M., Carbonaro, D., Speckmann, C. et al. Clonality analysis after retroviral-mediated gene transfer to CD34+ cells from the cord blood of ADA-deficient SCID neonates. Nat Med 9, 463–468 (2003). https://doi.org/10.1038/nm844
Received:
Accepted:
Published:
Issue date:
DOI: https://doi.org/10.1038/nm844
This article is cited by
-
HIV- 1 lentivirus tethering to the genome is associated with transcription factor binding sites found in genes that favour virus survival
Gene Therapy (2022)
-
Improved therapeutic potential of MSCs by genetic modification
Gene Therapy (2018)
-
Cellular barcoding: lineage tracing, screening and beyond
Nature Methods (2018)
-
Single-cell analysis of the fate of c-kit-positive bone marrow cells
npj Regenerative Medicine (2017)
-
Selective Inhibition of Tumor Growth by Clonal NK Cells Expressing an ErbB2/HER2-Specific Chimeric Antigen Receptor
Molecular Therapy (2015)


