To the Editor:
We read with great interest the recent article “Superficial ALK-rearranged myxoid spindle cell neoplasm: a cutaneous soft tissue tumor with distinctive morphology and immunophenotypic profile” by Dermawan et al., describing a series of six cases with ALK gene fusions, including FLNA-ALK, MYH10-ALK, and HMBOX1-ALK, and a peculiar histomorphology of spindle to ovoid cells forming whorls or cord-like arrangements in a background of myxoid to myxohyaline matrix.1 Rather than fitting into well-established tumor entities with ALK gene fusions, such as inflammatory myofibroblastic tumor, epithelioid fibrous histiocytoma, or spitzoid melanocytic tumors, these tumors show a certain degree of overlap with mesenchymal tumors harboring NTRK or other tyrosine kinase gene fusion by expression of CD34 and/or S100 and the occasional findings of lipofibromatosis-like pattern, perivascular hyalinization, and intra-tumoral lymphocytes. Nevertheless, the unique histologic features of concentric whorls and cord-like arrangements in these tumors are unorthodox in typical NTRK-fused mesenchymal tumors.
With only limited cases reported in a single series to date, the histologic and molecular spectrum of these superficial ALK-rearranged myxoid spindle cell neoplasms remains to be explored. Here we report a large subcutaneous tumor with a predominantly reticular to cord-like pattern and a novel FMR1-ALK fusion.
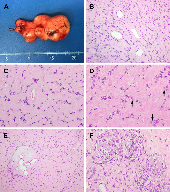
Our patient was a 37-year-old female presenting with an enlarging subcutaneous tumor in the left buttock for more than 1 year. Ultrasound examination revealed a lobulated and hypoechoic mass with some hyperechoic streaks in the deep subcutaneous tissue abutting fascia. Grossly, it was a lobulated and relatively well-defined tumor measuring about 11 × 5 cm in dimensions (Fig. 1A). Microscopically, the tumor was composed of relatively uniform tumor cells with round to ovoid nuclei, arranged in reticular and cord-like patterns in a myxohyaline stroma (Fig. 1B, C). The tumor cells had fine chromatin, scant cytoplasm, and occasional intranuclear pseudoinclusions (Fig. 1D). Ectatic thin-walled vessels were present throughout the tumor, and perivascular hyalinization or edema was present in some of the vessels (Fig. 1E). As a minor component, small cellular aggregates with whorl-like arrangements of the tumor cells were also seen focally (Fig. 1F). No significant lymphocytic infiltrate or lipofibromatosis-like area was observed. Mitotic activity was very low, if any, and no tumor necrosis was found. Immunohistochemically, the tumor cells exhibited strong but patchy expression of CD34 (40%, Fig. 2A) and focal reactivity to S100 (10%, Fig. 2B), while CK (AE1/AE3), LMW-CK, EMA, SOX10, SMA, GFAP, claudin-1, MUC4, STAT6, BCOR, and pan-Trk were all negative. With the differential diagnosis of myoepithelial tumor, ossifying fibromyxoid tumor, and OGT-rearranged mesenchymal neoplasm in mind, fluorescence in situ hybridization (FISH) assays for EWSR1, FUS, PHF1, BCOR, OGT, and FOXO1 rearrangements were performed and all showed negative results. RNA sequencing using TruSeq RNA Exome (Illumina) revealed a novel FMR1-ALK fusion joining exon 17 of FMR1 (mid-exonic breakpoint) to exon 20 of ALK, which was subsequently validated by reverse transcription-polymerase chain reaction with Sanger sequencing and by break-apart FISH assays, demonstrating rearranged ALK and FMR1, respectively (Fig. 2C–E). The fusion transcript was predicted to be in-frame and, like most ALK gene fusions, preserved the sequence encoding the receptor tyrosine kinase domain of ALK. Immunohistochemical stain for ALK (D5F3) exhibited diffuse and strong ALK reactivity (Fig. 2F). The tumor was marginally excised with positive margins. The patient had no local recurrence 9 months after the surgery.
A A lobulated subcutaneous tumor with rich vascularization on the outer surface. B, C Microscopically, the tumor shows a predominantly reticular (B) to cord-like (C) pattern in a hyalinized stroma, accompanied by thin-walled ectatic vessels. D The tumor cells have round to ovoid nuclei, fine chromatin, scant cytoplasm, and occasional intranuclear pseudoinclusions (arrows). E Some vessels show perivascular hyalinization or edematous change. F Focally, the tumor shows spindle cells arranged in whorl-like structures.
A, B The tumor cells show strong and patchy expression of CD34 (A) and focal S100 staining (B). C FMR1-ALK fusion transcript identified by RNA sequencing was confirmed by RT-PCR and Sanger sequencing, showing an in-frame fusion between exon 17 of FMR1 and exon 20 of ALK. D, E Break-apart FISH assays showing ALK (D) and FMR1 (E) gene rearrangements with split green and red signals (arrows). F The tumor cells show diffuse and strong ALK immunohistochemical staining.
Compared to the previously reported case series, our case had the largest tumor size (11 cm) and relatively limited extent of S100 staining. The proportions of different histologic patterns are not specified in the previous study. Our case showed a predominantly reticular to cord-like arrangement and only focal presence of the distinct whorl-like pattern, hence morphologically mimicking myoepithelial tumor, ossifying fibromyxoid tumor, sclerosing epithelioid fibrosarcoma, and OGT-rearranged mesenchymal tumor. Aside from focal S100 expression, other myoepithelial markers, such as CK (AE1/AE3), EMA, and GFAP, were negative in our case. It also lacked the ossified matrix and PHF1 or BCOR rearrangements characteristic of ossifying fibromyxoid tumor. Negative MUC4 expression and lack of EWSR1 and FUS rearrangements did not support the diagnosis of sclerosing epithelioid fibrosarcoma. Similar to these superficial ALK-rearranged tumors, OGT-rearranged mesenchymal tumors also show a biphasic pattern with cord-like and whorled arrangements of tumor cells in a myxohyaline to fibromyxoid stroma, accompanied by perivascular hyalinization, and are immunoreactive to CD34.2 However, OGT-rearranged mesenchymal tumors arise more commonly in acral regions, although only rare cases have been reported and exceptions exist.3 Our case was negative for OGT rearrangement by FISH study, disfavoring this diagnosis. Lastly, the minor whorl-like pattern component was reminiscent of perineurioma, but EMA and claudin-1 stains were negative.
Our case harbored a novel ALK fusion partner gene, FMR1. FMR1 encodes an RNA-binding protein involved in multiple cellular processes including transcription, translation, RNA trafficking, cell cycle regulation, among others.4 Expansion of a CGG trinucleotide repeat in the 5’-untranslated region of FMR1 and the resultant loss of FMR protein (FMRP) are associated with fragile X syndrome. FMRP is ubiquitously expressed in various tissue types, especially in the central nervous system and testis.5 Like many ALK fusion partners, FMRP forms dimers via its N-terminal domains, mainly Tudor2 domain (a.k.a NDF2).5,6 The projected FMR1-ALK fusion protein in our case included almost the full length of FMRP (622 of 632 residues, NP_002015.1) and presumably retained the ability of dimerization as seen in other ALK fusion proteins. A recent study reporting a spindle cell sarcoma harboring FMR1-RAF1 fusion in the buttock of a 4-year-old girl supports our finding of FMR1 serving as the 5’ fusion partner gene in kinase gene fusions,7 although the tumor carrying FMR1-RAF1 fusion bore no histologic resemblance to our case.
In summary, our case demonstrated that superficial ALK-rearranged myxoid spindle cell neoplasm can exhibit a predominantly reticular to cord-like pattern with a minor but distinct whirling component and limited extent of S100 expression. FMR1 was identified as a novel fusion partner in ALK gene fusions.
References
Dermawan, J. K. et al. Superficial ALK-rearranged myxoid spindle cell neoplasm: a cutaneous soft tissue tumor with distinctive morphology and immunophenotypic profile. Mod. Pathol. 34, 1710–1718 (2021).
Lee, J. C. et al. Myoepithelioma-like hyalinizing epithelioid tumors of the hand with novel OGT-FOXO3 fusions. Am. J. Surg. Pathol. 44, 387–395 (2020).
Torrence, D., Zhang, L., Sung, Y. S., Dickson, B. C. & Antonescu, C. R. Hyalinizing epithelioid tumors with OGT-FOXO fusions. A case report of a non-acral soft tissue mass harboring a novel FOXO4 gene rearrangement. Genes Chromosomes Cancer 60, 498–503 (2021).
Taha, M. S. et al. Novel FMRP interaction networks linked to cellular stress. FEBS J. 288, 837–860 (2021).
Adinolfi, S. et al. The N-terminus of the fragile X mental retardation protein contains a novel domain involved in dimerization and RNA binding. Biochemistry 42, 10437–10444 (2003).
Hu, Y. et al. The amino-terminal structure of human fragile X mental retardation protein obtained using precipitant-immobilized imprinted polymers. Nat. Commun. 6, 6634 (2015).
Zhang, T., Wang, Q., Yi, X., Zhu, P. RAF1-rearranged spindle cell tumour: report of two additional cases with identification of a novel FMR1-RAF1 fusion. Virchows Arch. https://doi.org/10.1007/s00428-021-03178-3 (2021).
Acknowledgements
We thank TMU Cancer Translational Core Facility for the technical support in RNA sequencing testing and analysis.
Funding
This work was sponsored by Chang Gung Memorial Hospital (CMRPG8L0371 to H.-Y. H.).
Author information
Authors and Affiliations
Corresponding author
Ethics declarations
Competing interests
The authors declare no competing interests.
Ethics approval
The institutional review board of Chang Gung Memorial Hospital approved this study (202002040B0).
Additional information
Publisher’s note Springer Nature remains neutral with regard to jurisdictional claims in published maps and institutional affiliations.
Rights and permissions
About this article
Cite this article
Kao, YC., Lee, PH., Wu, CL. et al. Superficial ALK-rearranged myxoid spindle cell neoplasm with a novel FMR1-ALK fusion gene. Mod Pathol 35, 438–441 (2022). https://doi.org/10.1038/s41379-021-00952-1
Received:
Revised:
Accepted:
Published:
Version of record:
Issue date:
DOI: https://doi.org/10.1038/s41379-021-00952-1

