Abstract
Architectural distortion (AD) on mammography is a localized alteration in the uniform texture of the breast characterized by lines radiating from a central point. Radiologic/pathologic correlation is challenging because the types of lesions associated with AD are not well defined and, thus, what signifies a discordant finding requiring excision is less clear. This retrospective case series was performed to elucidate the pathologic lesions associated with AD. Over a 6-year period, 588 core needle biopsies (CNBs) were performed for AD. Thirty-eight percent of the lesions were AD alone (single feature AD) and 62% had additional imaging features (multi-feature AD). Overall, 31% showed invasive carcinoma or ductal carcinoma in situ (DCIS), 37% showed benign lesions likely to correlate with AD, and 32% showed nonspecific benign findings. The invasive carcinomas tended to be low-grade (60%), ER-positive (98%), HER2-negative (98%), and often had lobular features (52%). Ninety-two percent were AJCC pathologic stage group I. Ninety-four cases of benign findings that correlated with AD without atypia underwent excision, and only one was found to have DCIS adjacent to the sclerosing lesion (1%). The remaining cases had benign findings without a clear correlate for AD. Sixty-eight cases without atypia underwent excision, and six multi-feature AD were upgraded to invasive carcinoma (9%). In conclusion, about one-third of CNBs for lesions associated with AD reveal carcinomas that are predominantly invasive, low-grade, ER-positive, HER2-negative, and low stage. Single-feature AD differed from multi-feature AD due to a lower number of carcinomas on CNB (18% vs 39%). For CNBs showing benign lesions on biopsy with a correlate for AD, the finding of malignancy on excision is low (1%). Radiologic/pathologic correlation and decisions to recommend excision will continue to be a challenge after CNB reveals nonspecific findings as some patients with multi-feature AD were found to have undetected invasive carcinomas.
Similar content being viewed by others
Introduction
Mammographically detected architectural distortion (AD) of the breast is defined as a localized alteration in the uniform texture of the breast characterized by lines radiating from a central point, without the formation of a mass (Fig. 1)1. AD is the third most common screen-detected abnormality associated with cancer on mammography after masses and calcifications; however, it represents just 6% of screen-detected abnormalities2. Areas of AD are distinct from masses on mammography because a central density is often absent and there are no definable outward convex margins. AD may be present as a solitary finding or can be associated with additional imaging findings on mammography, ultrasound (US), or MRI.
There has been an increase in the detection of AD with the introduction of digital-breast tomosynthesis (DBT), which was approved by the United States Food and Drug Administration in 2011. DBT reduces the superimposition of fibroglandular tissue, which helps to visualize findings that otherwise might be obscured. Therefore, the subtle architectural changes and radiating lines that can indicate an underlying AD and be occult on 2D mammography may be more easily identified with tomosynthesis3,4,5,6.
AD is a particularly challenging pattern for radiologists as it may be difficult to discern AD from the normal overlapping of the various soft tissue density ligamentous structures, vessels, and parenchyma. In fact, due to its subtle nature, AD has been shown to have poor interobserver reproducibility in terms of recall agreement among radiologists compared with masses and calcifications7. Interpreting core needle biopsies (CNBs) performed for AD is also a challenge for pathologists. Limited information is available on the pathologic correlates for AD; and thus, it is difficult for pathologists to determine if the microscopic findings correlate with the targeted lesion. Furthermore, with the aforementioned increase in rates of detection, there has been a shift in recent years to a greater number of benign lesions being biopsied with lower malignancy outcomes on CNB8,9. Most of the literature on AD to date has been focused on the radiologists’ perspective and has not detailed the pathologic findings on CNBs that correlate with these findings. This study was undertaken to investigate the types of breast lesions that distort the parenchyma of the breast and produce the mammographic finding of AD.
Materials and methods
After institutional review board approval, all breast CNB reports from Brigham and Women’s Hospital (BWH) and Brigham and Women’s Faulkner Hospital (BWFH) were searched over the period between 1/1/2015 and 12/31/2020 for cases in which the pathology requisition form described the targeted lesion as being associated with AD. It is an institutional practice for radiologists to provide the features of the targeted radiologic lesion on this form. The pathologic diagnosis from the CNB and, if applicable, subsequent excision were recorded for all cases. For malignant lesions, data recorded included histologic type, grade, size, estrogen receptor (ER), progesterone receptor (PR), and HER2 receptor results, and lymph node status. For uniformity, the 8th edition of the AJCC staging manual was used for all carcinomas regardless of the year the excision was performed10. For this study, tumor biologic type was defined as follows based on the results of immunohistochemistry: Luminal-like (ER-positive, PR-positive or -negative, HER2-negative), Luminal/HER2-like (ER-positive, PR-positive or -negative, HER2-positive), HER2-like (ER- and PR-negative, HER2-positive), and Basal-like (ER-, PR-, and HER2-negative).
Corresponding radiology reports were retrieved from the electronic medical record and reviewed to clarify if the mammographic AD was associated with any other findings (i.e., mass, calcifications, or asymmetry on mammography). Cases were identified as single feature AD and multi-feature AD. The latter group included cases that in addition to AD had other findings on mammography (i.e., calcifications or a mass), US, or MRI.
All breast CNBs were evaluated by pathologists with 8–>30 years of experience in subspecialty breast pathology. All breast CNBs were performed by radiologists with subspecialty expertise in breast imaging. Biopsies were performed using mammography, DBT, ultrasound (US), or magnetic resonance imaging (MRI). It is institutional practice for excision to be recommended for patients whose pathologic results include the finding of atypia, with the exception of atypical lobular hyperplasia (ALH) and classic lobular carcinoma in situ (LCIS). The majority of complex sclerosing lesions and radial sclerosing lesions are recommended for excision. The decision to recommend excision for other benign findings is made by the radiologist on a case-by-case basis. By request, radiologists can discuss cases at a breast-specific radiologic/pathologic correlation conference held every other week. This conference is generally attended by 5–10 radiologists and 5–10 pathologists. Surgeons also occasionally attend.
Results
Over the six-year period of this study, 13,749 breast CNBs were performed. Of this group, 588 biopsies (4%) from 548 women were undertaken for lesions described as being associated with AD. Ninety-seven percent of the women were evaluated by DBT. The 17 women that only underwent standard 2D mammography were evaluated during the early part of the study. Ninety-nine percent of the women also underwent US evaluation and 17% were evaluated by MRI. Thirty-eight percent (223 cases) were single feature AD (i.e., not associated with a mass or calcifications by mammography or findings on US or MRI). Of the remaining 62% (365 cases), 90% had additional findings on US (with or without additional findings on mammography or US), 6% had additional findings on only mammography, and 4% had additional findings only on MRI. Only 21 (4%) of the patients had a clinically detected lesion (20 palpable masses and 1 skin retraction). The remainder of the lesions (96%) were either detected by screening mammography or were incidental lesions found during a diagnostic workup of an unrelated lesion. 64.6% underwent stereotactic guided CNB, 33.5% US guided CNB, and 1.9% MRI guided CNB. Forty patients had either multiple synchronous or metachronous areas of AD. The average patient age was 58 years (range: 22–84 years). Twenty-three (4%) had a prior history of ipsilateral invasive carcinoma or ductal carcinoma in situ (DCIS). Overall, 184 (31%) of the 588 biopsies showed malignant lesions, 218 (37%) showed benign lesions very likely to correlate with AD, and 186 (32%) showed nonspecific benign findings without a good correlate for AD (Table 1).
Malignant lesions
Approximately one-third of CNBs (31%) showed a malignant lesion. Of the 21 lesions detected as a palpable mass or skin retraction, 14 (67%) were malignant. 72% were multi-feature AD and 29% single feature AD. All malignancies were either invasive carcinoma or DCIS. Invasive carcinomas (164/184; 89%), including three cases of microinvasive carcinoma (<0.1 cm), were more common than DCIS (20/184; 11%). The most common histologic appearance was “ductal” (i.e., of no special type) invasive carcinoma (63/164; 38%) (Table 2). Forty-four percent of the carcinomas were small (≤1 cm), 3 showed partial lobular or micropapillary patterns on excision, and 13 appeared to be obscured by dense stroma or showed unusual patterns of clusters of cells infiltrating in adipose tissue without a desmoplastic response (Fig. 2A).
A Carcinomas of no special type that presented as pure AD sometimes encompassed adipose tissue rather than forming a solid mass due an unusual diffuse infiltrative pattern. B The majority of carcinomas had lobular features. This invasive lobular carcinoma infiltrates into adipose tissue with little to no desmoplastic response and, thus, does not form a mass that would be detected on mammography. C There were only two Luminal/HER2-like carcinomas and both were microinvasive carcinoma associated with extensive DCIS. D There were two Basal-like carcinomas presenting as pure AD. This one is an unusual lobular carcinoma with histiocytoid features.
The most common special histologic type (i.e., not ductal) was invasive lobular carcinoma (53/164; 32%) (Table 2). The invasive lobular carcinomas, in combination with invasive carcinomas with ductal and lobular features (signifying that a component of the tumor invaded as single cells), and tubulolobular carcinoma accounted for over half of cases (86/164; 52%) (Table 2). These carcinomas characteristically have a diffusely infiltrative pattern around ducts and lobules and into adipose tissue (Fig. 2B). A desmoplastic response is often absent or minimal. The next most common special histologic type was tubular carcinoma (12/164; 7%). These 12 carcinomas were all very small, ranging in size from 0.1 to 0.7 cm.
The majority of the carcinomas (98/164; 60%) were modified Bloom Richardson grade 1, followed by grade 2 carcinomas (59/164; 36%), with only 4 carcinomas (2%) being grade 3 (Table 2).
Almost all of the carcinomas (158/164; 96%) were Luminal-like (ER+/HER2−) with other types being very rare (Table 2). Two cases of microinvasive carcinoma associated with extensive DCIS were Luminal/HER2-like (ER+/HER2+) (1%) (Fig. 2C). There was only one HER2-like (ER−/PR−/HER2+) carcinoma which was also grade 3. There were three Basal-like carcinomas (ER−/PR−/HER2−). One was an invasive lobular carcinoma with an unusual histiocytoid appearance (Fig. 2D). All of these cancers had additional imaging findings including 3 with a mass seen on mammography, 4 with findings on US, and 1 with findings on MRI.
The invasive carcinomas presenting as single feature AD were all grade 1 or 2, all Luminal-like, and were smaller on average than carcinomas with additional imaging findings (1 vs 1.6 cm). Only one had lymph node involvement compared to 21 cancers in the multi-feature AD group.
Information about excisional specimens was available for 155 of the 164 patients with invasive carcinoma. Two patients had distant metastases at presentation and did not undergo excision and seven patients did not have follow-up information available. Nine women underwent neoadjuvant therapy (NAT) prior to surgery: two had HER2-positive carcinomas, one had a Basal-like carcinoma, five had Luminal-like carcinomas that appeared to be extensive by imaging, and one woman with a Luminal-like carcinoma received NAT to delay surgery during the surge in COVID cases in the spring of 2020. In the 155 excisions, only 3 (2%) did not show residual invasive disease. Two of the women had small carcinomas that were completely removed by the CNB. The remaining woman had a HER2-like carcinoma and underwent NAT with only residual DCIS present after treatment.
The AJCC T classification for carcinomas of no special type (“ductal”) tended to be lower than invasive lobular carcinomas and mixed ductal and lobular carcinomas (Table 2). The latter group had relatively fewer T1a carcinomas and more T2 carcinomas. T3 carcinomas were rare in both groups. An AJCC (8th edition) Pathologic Prognostic Stage Group could be determined for 114 of the patients with invasive carcinoma. The majority (92%) were Stage I (91 Stage IA and 14 Stage IB) with only 9 women being assigned higher Stages (Table 2).
The 20 cases of DCIS had similarities to the invasive carcinomas. The majority were low to intermediate nuclear grade (11/20; 60%) and ER-positive (18/20; 90%) (Table 2). In 70% of the cases, the DCIS involved either a sclerosing lesion or a papilloma (Fig. 3A). In other cases, the DCIS was associated with dense periductal fibrosis (Fig. 3B). All cases were excised; three were upgraded to invasive carcinoma (microinvasive (<0.1 cm), 0.2 cm, and 0.3 cm), and the remaining 17 showed residual DCIS on excision. The DCIS tended to be extensive as the average number of blocks involved on excision was 12 and ranged from 4 to 38 blocks. This translates into an average area of involvement measuring ~4–5 cm11.
Benign lesions
Approximately two-thirds (404/588; 69%) of the CNBs showed benign findings. These cases were divided into those with findings likely to correlate with AD (54%) and those with nonspecific findings that may or may not correlate with AD (46%) (Table 3).
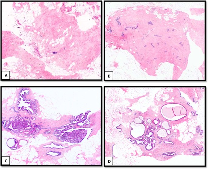
Lesions in the first category included sclerosing lesions (complex sclerosing lesions (CSLs), radial sclerosing lesions (RSL or radial scar), and sclerosing adenosis), scarring due to prior biopsy/surgery or trauma, cysts with rupture and inflammation, and fat necrosis (Fig. 4). Forty-six percent were single feature AD and 54% multi-feature AD. Of 172 such lesions without associated atypia, 94 (55%) underwent excision and only 1 (1%) showed carcinoma. This lesion was associated with a mass by US. In this case, a focus of DCIS was present adjacent to, but not involving, a CSL. Therefore, the DCIS appeared to be an incidental finding. Over 90% of the excisions confirmed that the lesion diagnosed on CNB was the most likely correlate for AD.
A Sclerosing lesions, including complex sclerosing lesions and radial sclerosing lesions, are associated with strands of dense stroma surrounding compact compressed epithelium. B Scars due to prior surgery/biopsy or trauma result in irregular bands of fibrous tissue associated with hemosiderin and foreign body giant cells. C Chronic inflammation and fibrosis associated with ruptured cysts can cause irregular areas of tissue density. D Fat necrosis consists of areas of necrotic fat intermingled with fibrous tissue and inflammatory cells.
About one-third (186/588; 32%) of the CNBs showed benign pathologic findings that did not definitively correlate with a radiographic appearance of AD. These included nonspecific benign findings (including usual ductal hyperplasia, columnar cell change, micro-cysts, micro-papillomas, and pseudoangiomatous stromal hyperplasia or PASH), cores with dense or fibrotic stroma, fibroadenoma or fibroadenomatoid change, and one biopsy showing a papilloma (Table 3) (Fig. 5). Forty-four percent were single feature AD and 56% multi-feature AD. Of the 160 such lesions without associated atypia, 68 (43%) underwent excision and 6 (9%) showed carcinoma (Table 3). All six were invasive carcinomas that had not been sampled by the CNB. The carcinomas ranged in size from 0.6 to 1.1 cm, five were grade 1 and one was grade 2, and all were Luminal-like. All had additional findings by imaging including 3 with a mass on mammography, 4 with findings on US, and 1 with an MRI finding. All were recommended for excision because of discordance of the results on CNB with imaging. An additional 47% of the excisions showed lesions that likely correlated with the AD that had either been missed by the CNB or the sampling was inadequate for identification. Notably, in the remaining 44% of excisions, there were no pathologic findings that were definite correlates for the finding of AD.
A Some biopsies showed areas of dense fibrotic tissue. B A less common finding was fibroadenomatoid change. C A single case showed fragments of a papilloma. The excision also showed a large papilloma. D The remaining cases consisted of a variety of benign changes that did not fit into any of the other categories (e.g., micro-cysts without rupture, micro-papillomas, columnar cell change, usual ductal hyperplasia).
Benign lesions that were recommended for excision due to the presence of atypia were associated with cancer in 33% of cases (Table 3). The majority were atypical ductal hyperplasia (25 or 64% of the cases) with fewer cases of architectural atypia (four cases), atypical apocrine adenosis (four cases), flat epithelial atypia (FEA) (three cases), and types of in situ lobular lesions that did not fit into the classic category (three cases). Seven of the carcinomas on excision were DCIS and four were invasive carcinomas.
There were 33 cases in which ALH or LCIS of classic subtype were present. Guidelines at our institution do not recommend excision for these lesions when they are incidental findings. Nineteen (58%) underwent excision for other reasons, either for discordant imaging findings or for the presence of associated sclerosing lesions (Table 1). On excision, there were 6 cases of carcinoma (32%)—-three cases of DCIS and three cases of invasive carcinoma.
Discussion
There have been nine previous studies of AD on CNB that included at least 50 patients each (Table 4)6,8,9,12,13,14,15,16,17. Although some of the studies excluded cases due to imaging findings in addition to AD or due to a history of surgery, three major conclusions are very consistent across all studies. First, the number of breast carcinomas detected is substantial, averaging 40% across the studies (range 14–75%). This rate is similar to that observed for biopsies performed for masses and calcifications. Second, the majority of malignancies are invasive carcinomas (average 92%; range 67–99%). This result is also observed for biopsies performed for masses. In contrast, biopsies performed for calcifications predominantly identify DCIS. Finally, relatively more lobular carcinomas are associated with AD (average 35%; range 22–62%). When all breast cancers are considered, lobular carcinomas only comprise around 10–15%.
The aim of the current study was to investigate the pathologic features of all breast lesions associated with AD, and thus included cases associated with other imaging findings. The cases can be divided into those with AD as the only finding (single feature AD), which comprised 38% of the cases (223) and those with additional features (62%; 365). The same three main findings found in previous studies pertain to both of these subgroups as well as to the group as a whole. The most important differences between single feature and multi-feature AD are the lower incidence of malignancy (18% vs 39%) and the lower number of upgrades to malignancy after excision (6% vs 15%). Of note, no upgrades to malignancy were found for single-feature AD if atypia was not present. The cancers found after excision of a CNB revealing a benign finding without atypia were all associated with multi-feature AD.
Anatomic stage and biologic type are the most important features of breast carcinoma for prognosis. For the first time, the 8th edition of AJCC breast cancer staging combined anatomic variables (size and lymph node status) with biologic features (grade, ER, PR, and HER2 status) to create prognostic stage groups10. A major new finding of this study is that 92% of invasive carcinomas associated with the finding of AD are classified as pathologic prognostic stage group I, with 87% being stage IA and 13% stage IB (Table 2). Women with this stage of breast carcinoma have >99% survival at 5 years18. Only 4% of the carcinomas were of relatively unfavorable biologic types (ER-negative or HER2-positive if targeted therapy is not available) and only 4% were high grade (Table 2). Of the previous studies of AD, only one provided additional pathologic information on the invasive carcinomas and this was limited to size and lymph node status (Table 4)16. Because carcinomas presenting as AD are difficult to detect mammographically and the identification of AD suffers from poor interobserver reproducibility, radiologists can be reassured they are unlikely to miss high grade, aggressive carcinomas.
The most common pathologic feature associated with invasive carcinomas presenting as AD is the presence of a “lobular” growth pattern consisting of single-cell permeation around normal breast structures accompanied by a frequent minimal or absent desmoplastic response resulting in many of these cancers encompassing adipose tissue. The mixture of stroma and adipose tissue with scattered individual tumor cells mimics the normal density of breast tissue in contrast to carcinomas that form solid masses that exclude adipose tissue. Invasive lobular carcinoma is the most common type of breast carcinoma to be occult by mammography and, as shown in all studies, is overrepresented in carcinomas detected as AD (Table 4)19. This diffuse growth may be the reason why this group of carcinomas made up the majority of the larger AJCC T2 group (Table 2).
All the studies of AD have shown that DCIS makes up a small subset of carcinomas (Table 4). In this study, only 11% of carcinomas were DCIS. The majority (16/20; 80%) were associated with calcifications microscopically, but calcifications were only detected mammographically in six cases (38%). Three were upgraded to small invasive carcinomas on excision (microinvasive, 0.2 cm, and 0.3 cm). The majority of the cases were associated with a sclerosing lesion or a papilloma (65%). The underlying lesion likely contributed to the appearance of AD. In the remaining cases, periductal fibrosis may have played a role. A previous study of five cases of DCIS presenting as AD showed similar results with 2 cases associated with sclerosing adenosis and 3 with dense surrounding stroma20.
A significant challenge for the management of patients after CNBs performed for AD is determining radiologic/pathologic correlation for the two-thirds of cases with benign findings. In this study, only about half of these benign biopsies revealed lesions likely to correlate with AD, the majority being sclerosing lesions. However, when such a lesion was identified, in the 94 biopsies that subsequently underwent excision, the likelihood of cancer was exceedingly small. Indeed, there was only one case (1%) and this appeared to be an incidental focus of DCIS adjacent to the targeted complex sclerosing lesion (Table 3). The low probability of carcinoma in this setting is supported by the 64 additional cases of sclerosing lesions reported in six studies, as only one additional case of DCIS is reported after excision (Table 4). Although CSL and RSL are often classified as “high risk lesions” and these were the lesions most likely to undergo excision in this study, there was a higher upgrade rate for excisions when a sclerosing lesion was not identified. Thus, it is critical for pathologists to identify this low-risk group of lesions for which excision may not be indicated.
The remaining half of CNBs with benign findings are more problematic because a definitive lesion that would correlate with AD could not be identified. Discordant rates warranting a recommendation for excision for CNBs in general are reported in 1–8% of cases21,22,23,24. If all biopsies with benign nonspecific and non-atypical findings in this study were considered possibly discordant, the discordant rate would have been 27%. For these cases, a decision to recommend excision must be made considering the degree of concern based on the imaging findings and clinical setting. For example, the likelihood of malignancy is higher when other imaging findings are present in addition to the AD8,14,15,25. Almost half (42%; 45% were single feature AD and 41% multi-feature AD) of these cases with nonspecific findings underwent excision, and the results fell into three main groups. The smallest group (9% of cases undergoing excision) revealed invasive carcinomas that had been missed by the CNB. Selection bias most likely affected this rate because only the lesions of most concern would have been recommended for excision. If all patients had undergone excision, and no additional cancers had been found, the incidence of malignancy would have been 4%. Of note, all of the cancers were associated with multi-feature AD. The second group (47% of cases undergoing excision) revealed lesions that would correlate with AD but that had either been missed or not sampled sufficiently to be able to render a diagnosis on CNB. This left a substantial portion of benign CNBs with nonspecific findings (44%) for which no definite correlating pathologic lesion could be identified on excision. In these cases, subtle changes in breast stroma likely caused the radiologic finding of distortion, and these changes did not have specific identifiable features, even after excision.
Concordant with previous studies, ADH was an unusual finding to present as AD as this lesion was found in only 4% of the CNBs and on average has only been reported in 2% of biopsies (Table 4). Also concordant with the previous studies was the upgrade to malignancy in about a third of cases.
The finding of ALH/LCIS in biopsies performed for AD were rare (6% of cases) and 6 other studies reported these lesions in 0–7% of cases (Table 4). Of 10 such cases undergoing excision in 3 previous studies, 3 (30%) revealed invasive carcinoma. In the current study, 6 of 19 cases undergoing excision showed carcinoma (32%). Although the number of carcinomas is much higher than expected for excisions of incidental ALH/LCIS, it is important to note that in this study the excisions were performed due to concern about the imaging findings and not due to the ALH/LCIS. However, due to the strong association of AD with carcinomas with lobular features, it is important to consider if ALH/LCIS might be predictive of the presence of invasive lobular carcinoma in this setting and, thus, are not “incidental”. Of the 9 carcinomas reported, three were invasive ductal carcinoma, two invasive lobular carcinoma, one invasive carcinoma with ductal and lobular features, and three DCIS, suggesting that the majority may not have been directly related to the ALH/LCIS. However, the number of cases is small and additional studies will be needed to determine if ALH/LCIS has a different significance for predicting malignancy on excision in the setting of AD.
Because this study included all lesions associated with AD regardless of the presence of other imaging findings, a strength of this study is that the results are relevant to a broad range of lesions. For example, the very low rate of malignancy for CNBs showing sclerosing lesions also included cases with masses, calcifications, and/or findings on MRI. Although additional findings by imaging (i.e., multi-feature AD) identified a higher risk for malignancy in general, in the group of lesions very likely to correlate with AD, only a single incidental case of DCIS was identified (Table 1). Another strength of the study was that all biopsies were performed by radiologists specializing in breast imaging and interpreted by pathologists with extensive experience in breast pathology.
A weakness of this study is that a recommendation for excision was made after a benign diagnosis on CNB on a case by case basis in the absence of strict guidelines. Although it is beyond the aims and scope of this study, it will be important for radiologists to undertake further investigations to identify indicators of greater risk of malignancy including clinical presentations leading to diagnostic workup, reasons for recall from screening, additional descriptive features related to AD, and subsequent imaging findings on US and MRI. Data from this study is being used for this purpose25.
In conclusion, this is the largest study of CNBs performed for lesions associated with AD and the only one to provide a comprehensive look at the pathologic findings for both multi-feature and single feature AD. When pathologists receive biopsies performed for AD, they need to be alert to the presence of invasive carcinomas that are likely to be low-grade with lobular features as these carcinomas can often be quite subtle microscopically. Carcinomas associated with AD can also mimic benign sclerosing lesions as they are typically well-differentiated and can be very small. For biopsies showing benign findings, pathologists need to accurately report the presence of sclerosing lesions, cysts with rupture, scarring, and fat necrosis as these findings often correlate with AD and the likelihood of malignancy on excision is minimal. For the remaining benign lesions, radiology/pathology correlation will continue to be a challenge as many of these lesions do not have a recognizable pathologic correlate. However, a reassuring result of this study is that almost all carcinomas that are associated with AD are in a group with expected very favorable survival.
Data availability
All data generated or analyzed during this study are included in this published article.
References
Sickles, E. A. et al. in ACR BI-RADS® Atlas, Breast Imaging Reporting and Data System. 5.a edn. (American College of Radiology, 2013).
Berg, W. A. & Leung, J. (eds). Diagnostic Imaging: Breast, 3rd edn. (Elsevier, 2019).
Partyka, L., Lourenco, A. P. & Mainiero, M. B. Detection of mammographically occult architectural distortion on digital breast tomosynthesis screening: initial clinical experience. Am. J. Roentgenol. 203, 216–222 (2014).
Ray, K. M., Turner, E., Sickles, E. A. & Joe, B. N. Suspicious findings at digital breast tomosynthesis occult to conventional digital mammography: imaging features and pathology findings. Breast J. 21, 538–542 (2015).
Durand, M. A., Wang, S., Hooley, R. J., Raghu, M. & Philpotts, L. E. Tomosynthesis-detected architectural distortion: management algorithm with radiologic-pathologic correlation. Radiographics 36, 311–321 (2016).
Rochat, C. J., Baird, G. L. & Lourenco, A. P. Digital mammography stereotactic biopsy versus digital breast tomosynthesis-guided biopsy: differences in biopsy targets, pathologic results, and discordance rates. Radiology 294, 518–527 (2020).
Onega, T. et al. Radiologist agreement for mammographic recall by case difficulty and finding type. J. Am. Coll. Radiol. 13, e72–e79 (2016).
Bahl, M., Lamb, L. R. & Lehman, C. D. Pathologic outcomes of architectural distortion on digital 2D versus tomosynthesis mammography. Am. J. Roentgenol. 209, 1162–1167 (2017).
Alshafeiy, T. I. et al. Outcome of architectural distortion detected only at breast tomosynthesis versus 2D mammography. Radiology 288, 38–46 (2018).
Hortobagyi, et al. in AJCC Cancer Staging Manual. 8th edn. (Springer International Publishing, 2017).
Fitzgibbons, P. L. et al. Protocol for the examination of resection specimens from patients with ductal carcinoma in situ (DCIS) of the breast (version 4.3.0.2; posted February 2020). (College of American Pathologists Available from cap.org., 2020).
Venkatesan, A., Chu, P., Kerlikowske, K., Sickles, E. A. & Smith-Bindman, R. Positive predictive value of specific mammographic findings according to reader and patient variables. Radiology 250, 648–657 (2009).
Bahl, M., Baker, J. A., Kinsey, E. N. & Ghate, S. V. Architectural distortion on mammography: correlation with pathologic outcomes and predictors of malignancy. Am. J. Roentgenol. 205, 1339–1345 (2015).
Vijapura, C., Yang, L., Xiong, J. & Fajardo, L. L. Imaging features of nonmalignant and malignant architectural distortion detected by tomosynthesis. Am. J. Roentgenol. 211, 1397–1404 (2018).
Pujara, A. C., Hui, J. & Wang, L. C. Architectural distortion in the era of digital breast tomosynthesis: outcomes and implications for management. Clin. Imaging 54, 133–137 (2019).
Walcott-Sapp, S., Garreau, J., Johnson, N. & Thomas, K. A. Pathology results of architectural distortion on detected with digital breast tomosynthesis without definite sonographic correlate. Am. J. Surg. 217, 857–861 (2019).
Ambinder, E. B. et al. Tomosynthesis-guided vacuum-assisted breast biopsy of architectural distortion without a sonographic correlate: a retrospective review. Am. J. Roentgenol. 217, 845–854 (2021).
Weiss, A. et al. Validation study of the American Joint Committee on Cancer Eighth Edition Prognostic Stage Compared With the Anatomic Stage in Breast Bancer. JAMA Oncol. 4, 203–209 (2018).
Lopez, J. K. & Bassett, L. W. Invasive lobular carcinoma of the breast: spectrum of mammographic, US, and MR imaging findings. Radiographics 29, 165–176 (2009).
Sekine, K. et al. DCIS showing architectural distortion on the screening mammogram—comparison of mammographic and pathological findings. Breast Cancer 14, 281–284 (2007).
Verkooijen, H. M. Diagnostic accuracy of stereotactic large-core needle biopsy for nonpalpable breast disease: results of a multicenter prospective study with 95% surgical confirmation. Int. J. Cancer 99, 853–859 (2002).
Parikh, J. & Tickman, R. Image-guided tissue sampling: where radiology meets pathology. Breast J. 11, 403–409 (2005).
Son, E. J. et al. Imaging-histologic discordance after sonographically guided percutaneous breast biopsy: a prospective observational study. Ultrasound Med. Biol. 37, 1771–1778 (2011).
Poole, B. B. et al. Malignancy rates after surgical excision of discordant breast biopsies. J. Surg. Res. 195, 152–157 (2015).
Jen, A. et al. Predictive value of mammographic architectural distortion and correlates identified on US and MRI. (SBI/ACR Breast Imaging Symposium, 2021).
Funding
The authors received no specific funding for this work.
Author information
Authors and Affiliations
Contributions
S.E.B. and S.C.L. performed study concept and design, acquisition, analysis, and interpretation of data; C.D., J.K., D.K., and S.K. performed study concept and design and revision of the paper; X.H., A.J., and E.R. performed review and revision of the paper. All authors read and approved the final paper.
Corresponding author
Ethics declarations
Competing interests
The authors declare no competing interests.
Ethics approval
Institutional review board approval was obtained.
Additional information
Publisher’s note Springer Nature remains neutral with regard to jurisdictional claims in published maps and institutional affiliations.
Rights and permissions
About this article
Cite this article
Bachert, S.E., Jen, A., Denison, C. et al. Breast lesions associated with mammographic architectural distortion: a study of 588 core needle biopsies. Mod Pathol 35, 728–738 (2022). https://doi.org/10.1038/s41379-021-00996-3
Received:
Revised:
Accepted:
Published:
Version of record:
Issue date:
DOI: https://doi.org/10.1038/s41379-021-00996-3







