Abstract
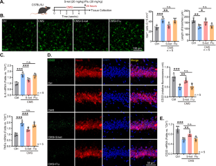
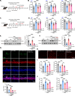
Microglia-neuron contacts have been shown to regulate neural network activity through the formation and elimination of synapses. The pathogenesis of major depressive disorder is accompanied by a decline in brain-derived neurotrophic factor (BDNF) signaling, associated with increased microglia activity that disrupts cognitive function. The actions of both typical and rapid-acting antidepressant drugs, which have been shown to increase BDNF signaling through the tropomyosin receptor kinase B (TrkB) receptor, decrease microglia activation and the levels of pro-inflammatory cytokines. Examining the link between BDNF signaling and the microglial pro-inflammatory response, we demonstrate that TrkB signaling elicits the neuronal secretion of CD22 (Siglec-2), a sialic acid-binding immunoglobulin-type lectin, to inhibit microglial activation and alleviate depression-like symptoms. In a male chronic mild stress (CMS) mouse model of depression decreased expression of the postsynaptic scaffolding protein PSD-95 and Gαi1/3 were found to compromise TrkB signaling leading to reduced CD22 levels in hippocampal tissue. Restoration of TrkB-Gαi1/3-Akt signaling with dSyn3, a peptidomimetic compound targeting the PDZ3 domain of PSD-95, enhanced CD22 expression to inhibit microglial activation, promote dendritic spine formation and rapidly mitigate depression-like symptoms. Furthermore, hippocampal overexpression of CD22 in neurons was sufficient to reduce microglial activation and depressive-like behaviors in male CMS mice. S-ketamine, a rapid-acting antidepressant, increased CD22 expression to mitigate depression-like symptoms. While neuronal knockdown of CD22 in the hippocampus did not significantly impair the rapid (within 4 h) antidepressant effects typically observed with S-ketamine or dSyn3 administration, strikingly, knockdown of CD22 attenuated the long-acting (within 3 days) antidepressant effects of S-ketamine or dSyn3, as evidenced by sustained immobility in the TST (tail suspension test) and FST (forced swim test), and a lack of improvement in sucrose preference. In contrast, a single dose of fluoxetine failed to increase CD22 expression or inhibit microglia activity. These results suggest that rapidly-acting anti-depressant drugs enhance TrkB-induced neuronal expression and secretion of CD22 to promote the homeostatic state of microglia required for antidepressant actions.

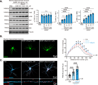
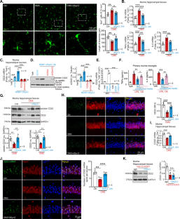
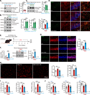
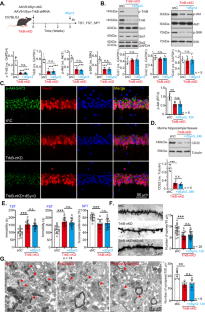
In male depression mice, dSyn3 facilitates BDNF-induced TrkB-PSD-95-Gαi1/3 complex formation to increase Akt-mTOR activation as well as synaptic and spine density in the hippocampus. TrkB signaling increases CD22 expression and secretion from neurons blocking microglial activation in the hippocampal region of male CMS mice.
This is a preview of subscription content, access via your institution
Access options
Subscribe to this journal
Receive 12 print issues and online access
$259.00 per year
only $21.58 per issue
Buy this article
- Purchase on SpringerLink
- Instant access to the full article PDF.
USD 39.95
Prices may be subject to local taxes which are calculated during checkout







Similar content being viewed by others
Data availability
All data needed to evaluate the conclusions in the paper are present in the paper and the Supplementary Materials. The source data underlying all Figures and supplementary Figures, including all raw numerical values used to generate the reported means and averages in box plots and bar charts, as well as the uncropped blots, are provided as the Source Data file.
References
Goodwin RD, Dierker LC, Wu M, Galea S, Hoven CW, Weinberger AH. Trends in U.S. depression prevalence from 2015 to 2020: the widening treatment gap. Am J Prev Med. 2022;63:726–33.
Proudman D, Greenberg P, Nellesen D. The growing burden of major depressive disorders (MDD): Implications for researchers and policy makers. Pharmacoeconomics. 2021;39:619–25.
Short B, Fong J, Galvez V, Shelker W, Loo CK. Side-effects associated with ketamine use in depression: a systematic review. Lancet Psychiatry. 2018;5:65–78.
Sun N, Qin YJ, Xu C, Xia T, Du ZW, Zheng LP, et al. Design of fast-onset antidepressant by dissociating SERT from nNOS in the DRN. Science. 2022;378:390–8.
Casarotto PC, Girych M, Fred SM, Kovaleva V, Moliner R, Enkavi G, et al. Antidepressant drugs act by directly binding to TRKB neurotrophin receptors. Cell. 2021;184:1299–313 e1219.
Duman RS, Deyama S, Fogaca MV. Role of BDNF in the pathophysiology and treatment of depression: Activity-dependent effects distinguish rapid-acting antidepressants. Eur J Neurosci. 2021;53:126–39.
Lin PY, Ma ZZ, Mahgoub M, Kavalali ET, Monteggia LM. A synaptic locus for TrkB signaling underlying ketamine rapid antidepressant action. Cell Rep. 2021;36:109513.
Marshall J, Zhou XZ, Chen G, Yang SQ, Li Y, Wang Y, et al. Antidepression action of BDNF requires and is mimicked by Galphai1/3 expression in the hippocampus. Proc Natl Acad Sci USA. 2018;115:E3549–E3558.
Shi X, Zhou XZ, Chen G, Luo WF, Zhou C, He TJ, et al. Targeting the postsynaptic scaffolding protein PSD-95 enhances BDNF signaling to mitigate depression-like behaviors in mice. Sci Signal. 2024;17:eadn4556.
Adachi M, Barrot M, Autry AE, Theobald D, Monteggia LM. Selective loss of brain-derived neurotrophic factor in the dentate gyrus attenuates antidepressant efficacy. Biol Psychiatry. 2008;63:642–9.
Bath KG, Jing DQ, Dincheva I, Neeb CC, Pattwell SS, Chao MV, et al. BDNF Val66Met impairs fluoxetine-induced enhancement of adult hippocampus plasticity. Neuropsychopharmacology. 2012;37:1297–304.
Zanos P, Moaddel R, Morris PJ, Georgiou P, Fischell J, Elmer GI, et al. NMDAR inhibition-independent antidepressant actions of ketamine metabolites. Nature. 2016;533:481–6.
Brown KA, Gould TD. Targeting metaplasticity mechanisms to promote sustained antidepressant actions. Mol Psychiatry. 2024;29:1114–27.
Castren E, Monteggia LM. Brain-Derived neurotrophic factor signaling in depression and antidepressant action. Biol Psychiatry. 2021;90:128–36.
Yang T, Nie Z, Shu H, Kuang Y, Chen X, Cheng J, et al. The role of BDNF on neural plasticity in depression. Front Cell Neurosci. 2020;14:82.
Yang C, Wardenaar KJ, Bosker FJ, Li J, Schoevers RA. Inflammatory markers and treatment outcome in treatment resistant depression: A systematic review. J Affect Disord. 2019;257:640–9.
Strawbridge R, Hodsoll J, Powell TR, Hotopf M, Hatch SL, Breen G, et al. Inflammatory profiles of severe treatment-resistant depression. J Affect Disord. 2019;246:42–51.
Parkhurst CN, Yang G, Ninan I, Savas JN, Yates JR 3rd, Lafaille JJ, et al. Microglia promote learning-dependent synapse formation through brain-derived neurotrophic factor. Cell. 2013;155:1596–609.
Schafer DP, Lehrman EK, Kautzman AG, Koyama R, Mardinly AR, Yamasaki R, et al. Microglia sculpt postnatal neural circuits in an activity and complement-dependent manner. Neuron. 2012;74:691–05.
Pereira-Iglesias M, Maldonado-Teixido J, Melero A, Piriz J, Galea E, Ransohoff RM, et al. Microglia as hunters or gatherers of brain synapses. Nat Neurosci. 2025;28:15–23.
Wang C, Yue H, Hu Z, Shen Y, Ma J, Li J, et al. Microglia mediate forgetting via complement-dependent synaptic elimination. Science. 2020;367:688–94.
Han QQ, Shen SY, Liang LF, Chen XR, Yu J. Complement C1q/C3-CR3 signaling pathway mediates abnormal microglial phagocytosis of synapses in a mouse model of depression. Brain Behav Immun. 2024;119:454–64.
Cornell J, Salinas S, Huang HY, Zhou M. Microglia regulation of synaptic plasticity and learning and memory. Neural Regen Res. 2022;17:705–16.
Sato-Hashimoto M, Nozu T, Toriba R, Horikoshi A, Akaike M, Kawamoto K, et al. Microglial SIRPalpha regulates the emergence of CD11c(+) microglia and demyelination damage in white matter. eLife. 2019;8:e42025.
Jame-Chenarboo Z, Gray TE, Macauley MS. Advances in understanding and exploiting Siglec-glycan interactions. Curr Opin Chem Biol. 2024;80:102454.
Tu H, Yuan L, Ni B, Lin Y, Wang K. Siglecs-mediated immune regulation in neurological disorders. Pharmacol Res. 2024;210:107531.
Ren H, Pan Y, Wang D, Hao H, Han R, Qi C, et al. CD22 blockade modulates microglia activity to suppress neuroinflammation following intracerebral hemorrhage. Pharmacol Res. 2023;196:106912.
Mott RT, Ait-Ghezala G, Town T, Mori T, Vendrame M, Zeng J, et al. Neuronal expression of CD22: novel mechanism for inhibiting microglial proinflammatory cytokine production. Glia. 2004;46:369–79.
Muller J, Nitschke L. The role of CD22 and Siglec-G in B-cell tolerance and autoimmune disease. Nat Rev Rheumatol. 2014;10:422–8.
Bu XL, Sun PY, Fan DY, Wang J, Sun HL, Cheng Y, et al. Associations of plasma soluble CD22 levels with brain amyloid burden and cognitive decline in Alzheimer’s disease. Sci Adv. 2022;8:eabm5667.
Pluvinage JV, Sun J, Claes C, Flynn RA, Haney MS, Iram T, et al. The CD22-IGF2R interaction is a therapeutic target for microglial lysosome dysfunction in Niemann-Pick type C. Sci Transl Med. 2021;13:eabg2919.
Pluvinage JV, Haney MS, Smith BAH, Sun J, Iram T, Bonanno L, et al. CD22 blockade restores homeostatic microglial phagocytosis in ageing brains. Nature. 2019;568:187–92.
Jiang YN, Cai X, Zhou HM, Jin WD, Zhang M, Zhang Y, et al. Diagnostic and prognostic roles of soluble CD22 in patients with Gram-negative bacterial sepsis. Hepatobiliary Pancreat Dis Int. 2015;14:523–9.
Cao C, Rioult-Pedotti MS, Migani P, Yu CJ, Tiwari R, Parang K, et al. Impairment of TrkB-PSD-95 signaling in Angelman syndrome. PLoS Biol. 2013;11:e1001478.
Yang X, Huang YA, Marshall J. Targeting TrkB-PSD-95 coupling to mitigate neurological disorders. Neural Regen Res. 2025;20:715–24.
Kornau HC, Schenker LT, Kennedy MB, Seeburg PH. Domain interaction between NMDA receptor subunits and the postsynaptic density protein PSD-95. Science. 1995;269:1737–40.
Niethammer M, Kim E, Sheng M. Interaction between the C terminus of NMDA receptor subunits and multiple members of the PSD-95 family of membrane-associated guanylate kinases. J Neurosci. 1996;16:2157–63.
Schnell E, Sizemore M, Karimzadegan S, Chen L, Bredt DS, Nicoll RA. Direct interactions between PSD-95 and stargazin control synaptic AMPA receptor number. Proc Natl Acad Sci USA. 2002;99:13902–7.
Omelchenko A, Menon H, Donofrio SG, Kumar G, Chapman HM, Roshal J, et al. Interaction between CRIPT and PSD-95 is required for proper dendritic arborization in hippocampal neurons. Mol Neurobiol. 2020;57:2479–93.
Naik MT, Naik N, Hu T, Wang SH, Marshall J. Structure-based design of peptidomimetic inhibitors of PSD-95 with improved affinity for the PDZ3 domain. FEBS Lett. 2024;598:233–41.
Huie EZ, Yang X, Rioult-Pedotti MS, Tran K, Monsen ER, Hansen K, et al. Peptidomimetic inhibitors targeting TrkB/PSD-95 signaling improves cognition and seizure outcomes in an Angelman Syndrome mouse model. Neuropsychopharmacology 2025;50:772–82.
Li KR, Huan MJ, Yao J, Li JJ, Cao Y, Wang S, et al. Syn3, a newly developed cyclic peptide and BDNF signaling enhancer, ameliorates retinal ganglion cell degeneration in diabetic retinopathy. Protein Cell. 2024;15:858–65.
Lau KA, Yang X, Rioult-Pedotti MS, Tang S, Appleman M, Zhang J, et al. A PSD-95 peptidomimetic mitigates neurological deficits in a mouse model of Angelman syndrome. Prog Neurobiol. 2023;230:102513.
Marshall J, Szmydynger-Chodobska J, Rioult-Pedotti MS, Lau K, Chin AT, Kotla SKR, et al. TrkB-enhancer facilitates functional recovery after traumatic brain injury. Sci Rep. 2017;7:10995.
Cazorla M, Premont J, Mann A, Girard N, Kellendonk C, Rognan D. Identification of a low-molecular weight TrkB antagonist with anxiolytic and antidepressant activity in mice. J Clin Invest. 2011;121:1846–57.
Cazorla M, Jouvenceau A, Rose C, Guilloux JP, Pilon C, Dranovsky A, et al. Cyclotraxin-B, the first highly potent and selective TrkB inhibitor, has anxiolytic properties in mice. PLoS ONE. 2010;5:e9777.
Zhang Y, Wei CK, Wang P, Zheng LC, Cheng Y, Ren ZH, et al. S-ketamine alleviates depression-like behavior and hippocampal neuroplasticity in the offspring of mice that experience prenatal stress. Sci Rep. 2024;14:26929.
Zhang JC, Li SX, Hashimoto K. R (-)-ketamine shows greater potency and longer lasting antidepressant effects than S (+)-ketamine. Pharmacol Biochem Behav. 2014;116:137–41.
Tian J, Xie Y, Ye S, Hu Y, Feng J, Li Y, et al. S-ketamine ameliorates post-stroke depression in mice via attenuation of neuroinflammation, synaptic restoration, and BDNF pathway activation. Biochem Biophys Res Commun. 2025;769:151965.
Zhang Q, Xue Y, Wei K, Wang H, Ma Y, Wei Y, et al. Locus coeruleus-dorsolateral septum projections modulate depression-like behaviors via BDNF but not norepinephrine. Adv Sci (Weinh). 2024;11:e2303503.
Li N, Lee B, Liu RJ, Banasr M, Dwyer JM, Iwata M, et al. mTOR-dependent synapse formation underlies the rapid antidepressant effects of NMDA antagonists. Science. 2010;329:959–64.
McEwen BS, Akil H. Revisiting the stress concept: implications for affective disorders. J Neurosci. 2020;40:12–21.
Watanabe Y, Gould E, McEwen BS. Stress induces atrophy of apical dendrites of hippocampal CA3 pyramidal neurons. Brain Res. 1992;588:341–5.
Wohleb ES, Gerhard D, Thomas A, Duman RS. Molecular and cellular mechanisms of rapid-acting antidepressants ketamine and scopolamine. Curr Neuropharmacol. 2017;15:11–20.
Yirmiya R, Rimmerman N, Reshef R. Depression as a microglial disease. Trends Neurosci. 2015;38:637–58.
Wang H, He Y, Sun Z, Ren S, Liu M, Wang G, et al. Microglia in depression: an overview of microglia in the pathogenesis and treatment of depression. J Neuroinflammation. 2022;19:132.
Lin C, Zhou X, Li M, Zhang C, Zhai H, Li H, et al. S-ketamine alleviates neuroinflammation and attenuates lipopolysaccharide-induced depression via targeting SIRT2. Adv Sci (Weinh). 2025;12:e2416481.
Li W, Ali T, Zheng C, Liu Z, He K, Shah FA, et al. Fluoxetine regulates eEF2 activity (phosphorylation) via HDAC1 inhibitory mechanism in an LPS-induced mouse model of depression. J Neuroinflammation. 2021;18:38.
Zhou QG, Hu Y, Hua Y, Hu M, Luo CX, Han X, et al. Neuronal nitric oxide synthase contributes to chronic stress-induced depression by suppressing hippocampal neurogenesis. J Neurochem. 2007;103:1843–54.
Li Y, Luikart BW, Birnbaum S, Chen J, Kwon CH, Kernie SG, et al. TrkB regulates hippocampal neurogenesis and governs sensitivity to antidepressive treatment. Neuron. 2008;59:399–412.
Lee BH, Kim H, Park SH, Kim YK. Decreased plasma BDNF level in depressive patients. J Affect Disord. 2007;101:239–44.
Aydemir C, Yalcin ES, Aksaray S, Kisa C, Yildirim SG, Uzbay T, et al. Brain-derived neurotrophic factor (BDNF) changes in the serum of depressed women. Prog Neuropsychopharmacol Biol Psychiatry. 2006;30:1256–60.
Xiang W, Wang K, Han L, Wang Z, Zhou Z, Bai S, et al. CD22 blockade aggravates EAE and its role in microglia polarization. CNS Neurosci Ther. 2024;30:e14736.
Tan J, Town T, Mori T, Wu Y, Saxe M, Crawford F, et al. CD45 opposes beta-amyloid peptide-induced microglial activation via inhibition of p44/42 mitogen-activated protein kinase. J Neurosci. 2000;20:7587–94.
Biber K, Neumann H, Inoue K, Boddeke HW. Neuronal ‘On’ and ‘Off’ signals control microglia. Trends Neurosci. 2007;30:596–602.
Ducottet C, Griebel G, Belzung C. Effects of the selective nonpeptide corticotropin-releasing factor receptor 1 antagonist antalarmin in the chronic mild stress model of depression in mice. Prog Neuro-Psychopharmacol Biol Psychiatry. 2003;27:625–31.
Liu TT, Shi X, Hu HW, Chen JP, Jiang Q, Zhen YF, et al. Endothelial cell-derived RSPO3 activates Galphai1/3-Erk signaling and protects neurons from ischemia/reperfusion injury. Cell Death Dis. 2023;14:654.
Acknowledgements
We thank Dr. Zai-Xiang Tang from Soochow University for validating the utilization of suitable statistical tests in this study. This work was supported by generous funding from the National Institutes of Health (R21NS133544), the Harrington Discovery Institute, and the Foundation for Angelman Syndrome Therapeutics, National Natural Science Foundation of China (82571750, 82371473, 82171461, 81922025, 82501839), China Postdoctoral Science Foundation (2025M772214), Jiangsu Province Social Development Project (BE2023702), a Project Funded by the Priority Academic Program Development of Jiangsu Higher Education Institutions. The funders had no role in the study design, data collection and analysis, decision to publish, or preparation of the manuscript.
Author information
Authors and Affiliations
Contributions
XS, SC, JM and CC proposed and designed the research; XS, SC, JC, CX, BZ and HL performed the experiments, analyzed the data and organized figures; XS, SC, JC, CX carried out all statistical analysis and verification. All listed authors approved final manuscript submitted to the journal.
Corresponding authors
Ethics declarations
Competing interests
The authors declare no competing interests.
Declaration of generative AI and AI-assisted technologies:
No AI and AI-assisted technologies were used in the writing process.
Supplementary information
Rights and permissions
Springer Nature or its licensor (e.g. a society or other partner) holds exclusive rights to this article under a publishing agreement with the author(s) or other rightsholder(s); author self-archiving of the accepted manuscript version of this article is solely governed by the terms of such publishing agreement and applicable law.
About this article
Cite this article
Shi, X., Cai, Sz., Chai, Jl. et al. TrkB promotes the neuronal secretion of soluble Siglec-2 (CD22) to mitigate microglial activation and alleviate depression-like behaviors in male mice. Mol Psychiatry (2026). https://doi.org/10.1038/s41380-026-03575-7
Received:
Revised:
Accepted:
Published:
Version of record:
DOI: https://doi.org/10.1038/s41380-026-03575-7


