Fig. 7: Mitochondrial changes in Shoc2-depleted HDLEC.
From: Signaling scaffold Shoc2 regulates lymphangiogenesis by suppressing mTORC1-mediated IFN responses

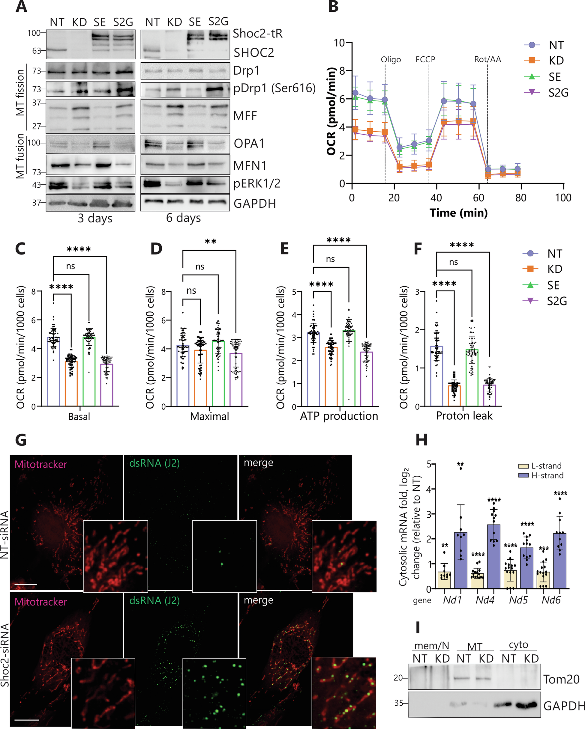
A Western blot of whole-cell lysates extracted from HDLECs expressing lentivirally supplied non-targeting shRNA (NT), Shoc2 shRNA (KD), Shoc2 shRNA together with Shoc2-tagRFP (SE), or Shoc2 shRNA together with Shoc2(S2G)-tagRFP (S2G) for 3 and 6 days. Cell lysates were probed using antibodies relevant to mitochondrial fission and fusion. GAPDH was used as a loading control. B Relative oxygen consumption rate (OCR), measured by the Seahorse XFe96 analyzer, is normalized to cell number. Data are presented as mean ± SEM of three independent experiments. Statistical significance was determined by one-way ANOVA (Brown-Forysthe test), (*p = 0.01 to 0.05, **p = 0.001 to 0.01, ***p = 0.0001 to 0.001, ****p < 0.0001, ≥ 0.05- non-significant, ns). FCCP, carbonyl cyanide-p trifluoromethoxyphenylhydrazone; Rot rotenone, AA antimycin A. C–F Basal and maximal OCR analysis, Mitochondrial ATP production, and proton leak of HDLEC depleted of Shoc2 (KD) or expressing either Shoc2-tagRFP (SE) or Shoc2-tagRFP S2G (S2G). Statistical significance was determined by one-way ANOVA (Brown-Forysthe test), (*p = 0.01 to 0.05, **p = 0.001 to 0.01, ***p = 0.0001 to 0.001, ****p < 0.0001, ≥ 0.05- non-significant, ns). G Immunostaining of dsRNA (J2) (green) in control and Shoc2-depleted HDLECs. Mitochondria are labeled with Mitotracker (red). Scale bar–10 μm. H RT–qPCR analysis of mtRNA heavy (H) and light (L) strands in cytosolic fractions of HDLEC depleted of Shoc2 for 6 days. The gene names indicate the location of the RNA segment amplified. Data shown as fold change with respect to cells expressing non-targeting siRNA. Each reaction was performed in triplicate. I Western blotting of membrane/nuclear (mem/N), mitochondrial (MT), and cytosolic (cyto) fractions of control (NT) and Shoc2-depleted (KD) cells, analyzed using Tom20 and GAPDH antibodies.