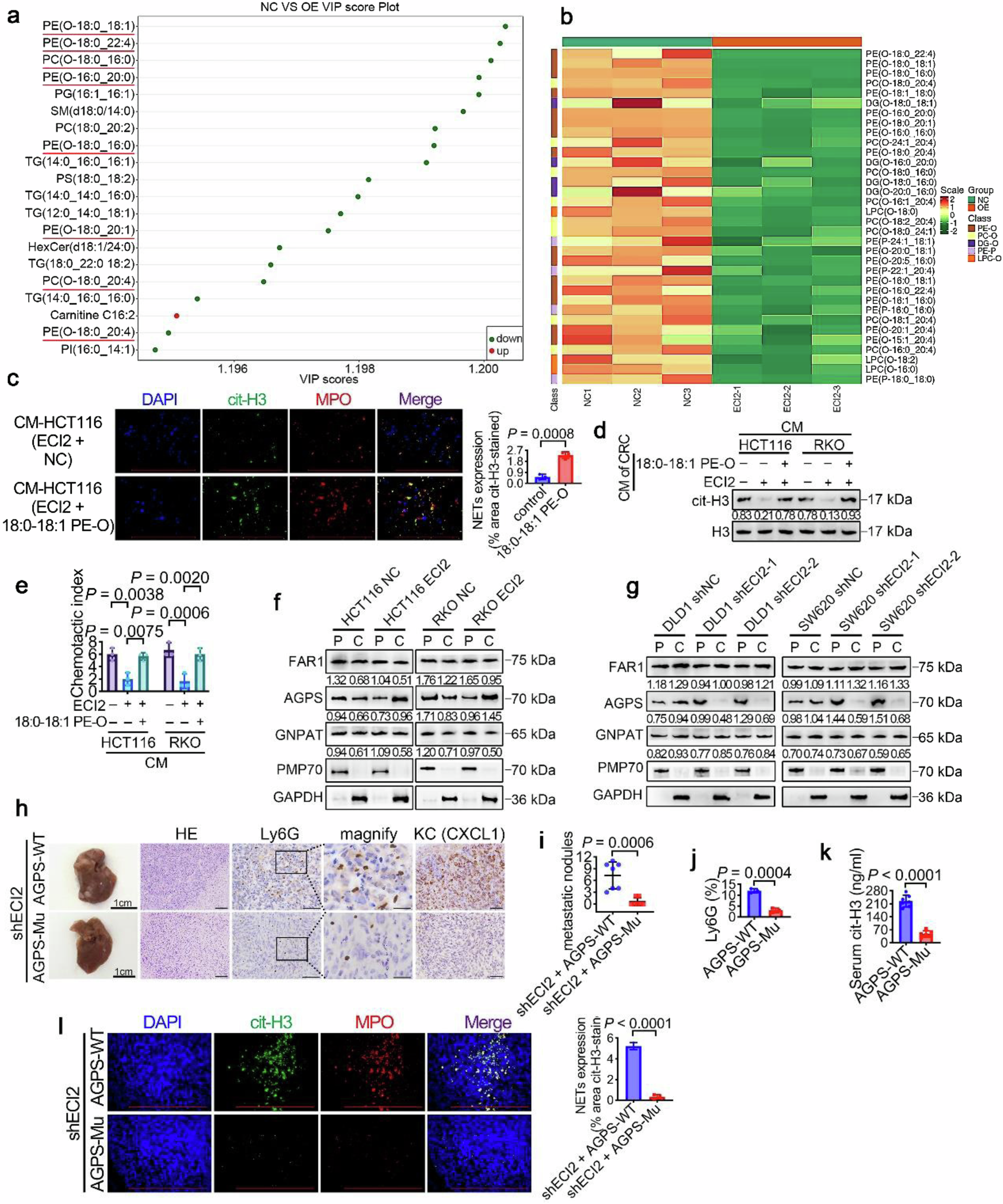
Fig. 5: ECI2 suppresses ether lipid synthesis by inhibiting peroxisomal localization of AGPS.

a, b Lipidomic analysis of the overexpressing ECI2 group (ECI2) and the control group (NC) (n = 3 samples (per group) generated after independent generation of cells and processed on different days). a The top 20 lipids with the most pronounced differences among the downregulated lipids were detected. b Heatmap of ether-associated lipids. c, d After addition of 18:0-18:1 PE-O (10 μg /ml) of CRC cells overexpressing ECI2 co-cultured with dHL-60, NETs formation was detected by applying immunofluorescence (c) (scale bar 200 μm, representative images from n = 3 independent experiments) and Western blots (d) (The quantification provided under the blots is for the representative blot from n = 3 independent experiments). The samples derive from the same experiment but different gels for cit-H3, and another for H3 were processed in parallel (d). H3 served as loading control. e Addition of supernatants from ECI2 overexpressing CRC cells cultured in 18:0-18:1 PE-O (10 μg /ml) induced chemotaxis assay of dHL-60 cells. n = 3 independent experiments. f, g Peroxisome isolation assay and Western blots to detect changes in FAR1, GNPAT, and AGPS in peroxisome (P) and cytoplasm (C) of CRC cells overexpressing (f) and silencing ECI2 (g). The samples derive from the same experiment but different gels for AGPS, GAPDH, another for FAR1, another for GNPAT and another for PMP70 were processed in parallel (f, g). GAPDH and PMP70 served as loading control. The quantification provided under the blots is for the representative blot from n = 3 independent experiments. h–l Mice were intrasplenically injected with MC38 cells transfected with shECI2 and AGPS-WT or AGPS-Mu lentivirus (n = 7 mice per group). h Representative images of liver tissue (scale bar 1 cm, 3 fields assessed per sample), HE staining of liver metastatic tumors (scale bar 50 μm), Ly6G-labeled neutrophils of liver metastatic tumors (scale bar 50 μm. Enlarged image scale bar 150 nm), and KC (CLCX1) of liver metastatic tumors (scale bar 50 μm), respectively, from left to right. i Quantification of liver metastatic nodules (n = 7 mice per group). j Quantification of neutrophils in liver metastatic tumors (n = 7 mice per group, 3 fields assessed per sample). k ELISA assay for the level of cit-H3 in the serum of mice (P < 0.0001, n = 7 mice per group). l Representative pictures of NETs in liver metastatic tumors by applying immunofluorescence assay (n = 7 mice per group, 3 fields assessed per sample, scale bar 200 μm, P < 0.0001). Data are expressed as mean ± s.d. (c, e, i, j, k, l). Statistical significance was determined by two-way ANOVA with Tukey or Sidak’s multiple comparison test (e) or two-tailed unpaired Student’s t-test (c, i, j, k, l). Source data are provided as source data files.