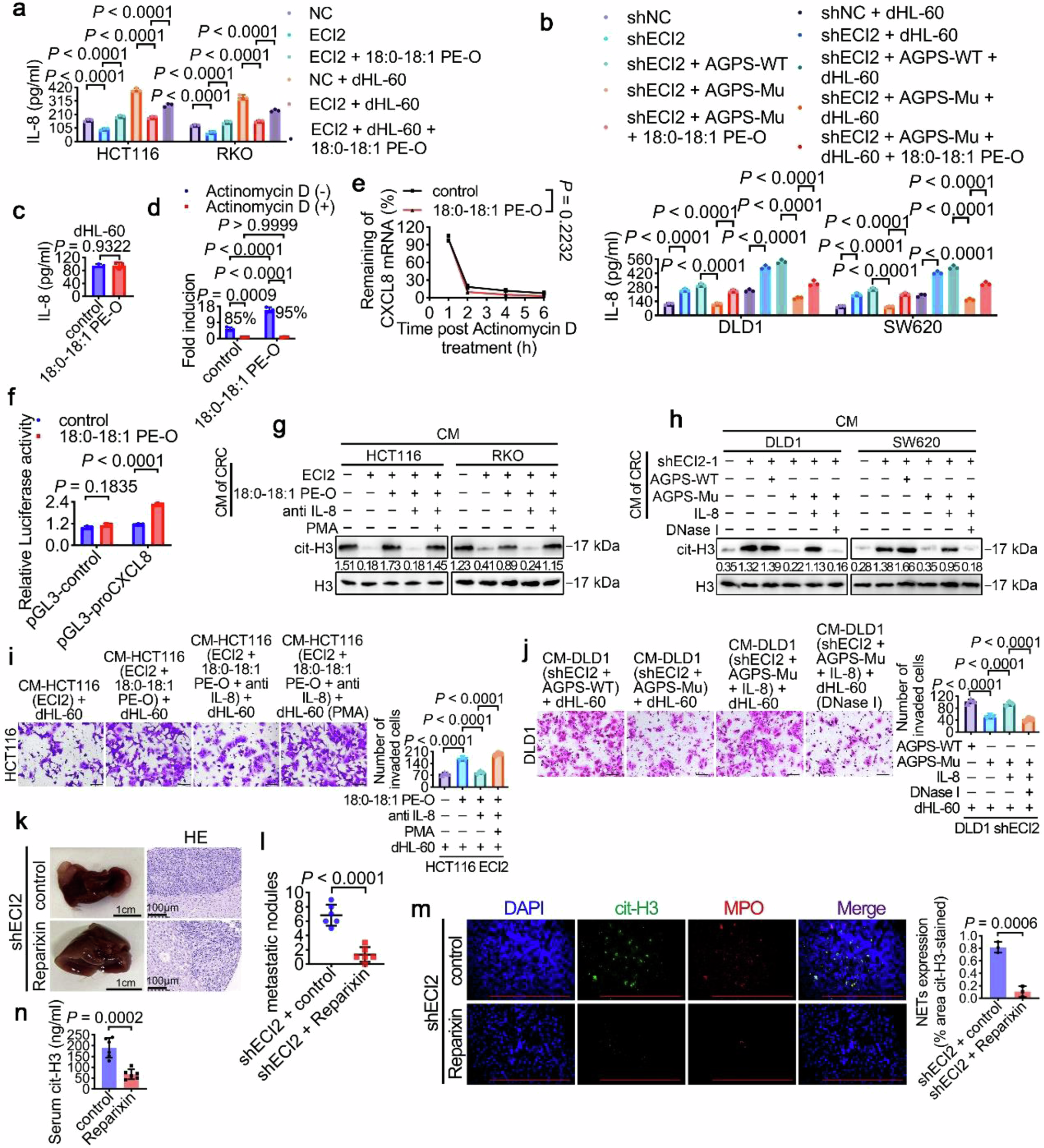
Fig. 6: ECI2 inhibits NETosis and CRC progression by suppressing ether lipid synthesis-mediated IL-8 transcription.

a ECI2-overexpressing CRC cells ± dHL-60 co-culture treated with 18:0-18:1 PE-O, and ELISA detected IL-8 (P < 0.0001). b shECI2 and AGPS-WT or AGPS-Mu transfected CRC cells ± dHL-60 co-culture treated with 18:0-18:1 PE-O had IL-8 levels measured by ELISA (P < 0.0001). c dHL-60 cells with 18:0-18:1 PE-O were assessed for IL-8 by ELISA. d CRC cells pretreated with actinomycin D then 18:0-18:1 PE-O for 3 h were analyzed for IL-8 by RT-qPCR. e CRC cells treated with 18:0-18:1 PE-O for 3 h before actinomycin D were sampled at intervals for IL-8 by RT-qPCR (P < 0.0001). f Transfected CRC cells with the human IL-8 promoter and 18:0-18:1 PE-O had luciferase activity measured (P < 0.0001). g, i ECI2-overexpressing CRC cells successively treated with 18:0-18:1 PE-O, anti-IL-8 and PMA were co-cultured with dHL-60. NETs and invasion detected by Western blots (The quantification provided under the blots is for the representative blot from n = 3 independent experiments) and Transwell (Representative data from n = 3 independent experiments, 50 μm scale, P < 0.0001). The samples derive from the same experiment but different gels for cit-H3, and another for H3 were processed in parallel (g). H3 served as loading control. h, j shECI2 and AGPS-Mu transfected CRC cells treated with recombinant IL-8 and DNase I were co-cultured with dHL-60. NETs and invasion detected by Western blots (The quantification provided under the blots is for the representative blot from n = 3 independent experiments) and Transwell (Representative data from n = 3 independent experiments, 50 μm scale, P < 0.0001). The samples derive from the same experiment but different gels for cit-H3, and another for H3 were processed in parallel (h). H3 served as loading control. k–n Mice with ECI2-silenced MC38 cells treated with Reparixin (n = 6 mice per group) were analyzed for liver tissue (1 cm and 50 μm scale, 3 fields assessed per sample), quantified metastatic nodules (P < 0.0001, n = 6 mice per group), tumors NETs by immunofluorescence (200 μm scale, n = 6 mice per group, 3 fields assessed per sample) and serum NETs by ELISA (n = 6 mice per group). Data are expressed as mean ± s.d. (a, b, c, d, e, f, i, j, l, m, n). Statistical significance was determined by two-way ANOVA with Tukey or Sidak’s multiple comparison test (a, b, d, e, f), one-way ANOVA with Tukey multiple comparison test (i, j) or two-tailed unpaired Student’s t-test (c, l, m, n). Representative data from n = 3 independent experiments (a–f). Source data are provided as source data files.