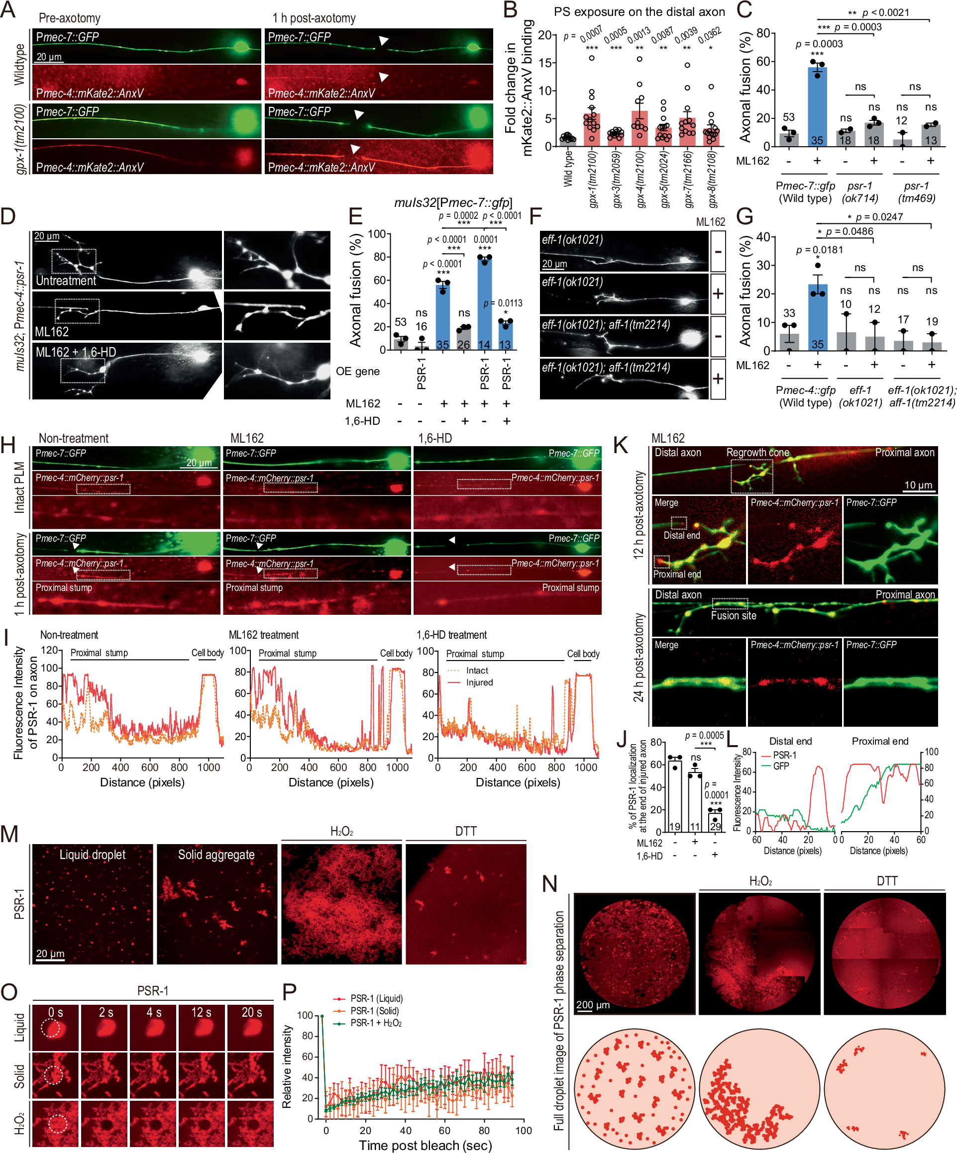
Fig. 4: Ferroptosis-induced axonal fusion requires PSR-1, which forms condensates in vivo and in vitro.

A Ferroptosis signaling induces PS exposure. Representative images of PS exposure immediately before axotomy and 1 h post axotomy. PS exposure was visualized by mKATE2-tagged Annexin V expression. B Quantification of PS exposure in the indicated strains. The foldchange of mKate2-AnxV intensity in the distal axon between right before axotomy and 1 h post injury was plotted. High debris rates correlated with high PS exposure, while high fusion rates associated with a moderate PS exposure. C Quantification of axonal fusion in the indicated strains and conditions. ML162-induced axonal fusion is abolished in psr-1 mutants. D, E Representative images and quantification of axonal fusion in WT (muIs32) with indicated genotypes and conditions. PSR-1 overexpression further increased ML162-induced axonal fusion. F, G Representative images and quantification of axonal fusion. ML162-induced axonal fusion is abolished in eff-1 mutant. H, I Representative images and intensity plot profile of mCherry::PSR-1 before and 1 h post axotomy. Injury-triggered PSR-1 condensation at the tips of injured axons is reduced by 1,6-HD treatment. J Percentage of animals showing PSR-1 localization at the injury site 1 h post axotomy. 1,6-HD inhibits PSR-1 condensation at the injury site. K, L Representative images and intensity plot profile of mCherry::PSR-1 at the regenerative axon and distal stump 12 h post injury. PSR-1 condensates are enriched at the regenerative growth cone and the reconnection site. M In vitro droplet formation assay showing that recombinant mCherry::PSR-1 forms droplets and aggregates in the presence of 10% PEG8000. Addition of 5 mM H2O2 in the droplet formation buffer led to enhanced PSR-1 aggregation. PSR-1 droplets and aggregates melt in the presence of 5 mM DTT. N Zoom out images and schematic illustrations of mCherry::PSR-1 droplets and aggregates at indicated conditions. Multiple images with overlapping fields were stitched to produce a panorama. O, P Representative images and quantification of FRAP analyses on mCherry::PSR-1 condensates. Statistics: One-way ANOVA or Student’s t-tests; mean ± SEM. For all fusion and debris bar graphs, animals of each condition (total number indicated) were randomly divided into 2 or 3 groups for statistical analyses.