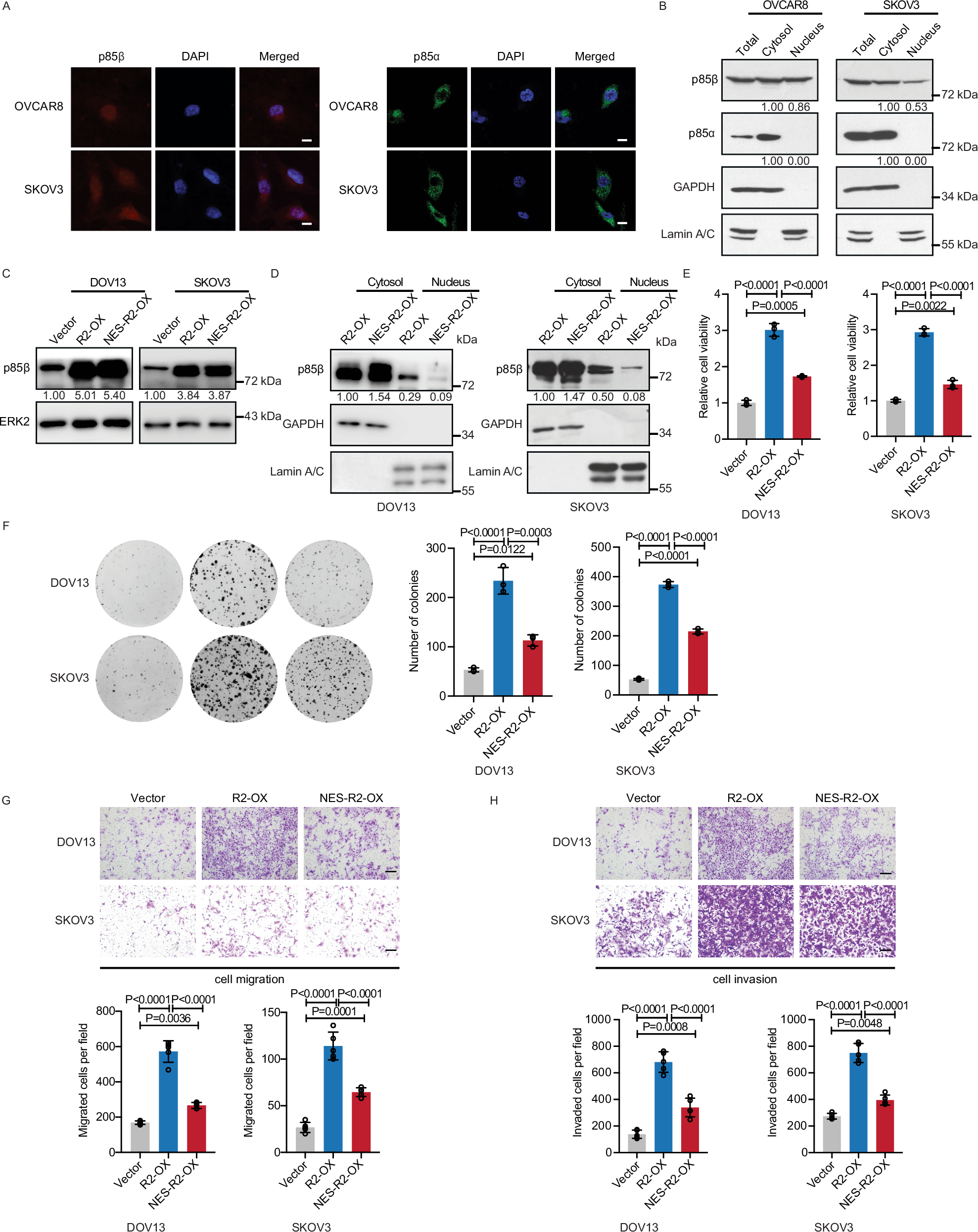
Fig. 1: Nuclear p85β is oncogenic.
From: p85β acts as a transcription cofactor and cooperates with BCLAF1 in the nucleus

A Immunofluorescence staining of p85β (red; left panel), p85α (green; right panel) in OVCAR8 and SKOV3 cells. Nuclei (blue) were stained with DAPI. Scale bar, 10 µm. B Subcellular fractions were isolated and immunoblotted for p85β and p85α. GAPDH and lamin A/C served as markers of the cytoplasm and nucleus respectively. DOV13 or SKOV3 cells stably expressing PIK3R2 (R2-OX) or PIK3R2 with nuclear export signal (NES) at N-terminal (NES-R2-OX) or empty vector control (Vector) were subjected to (C) total protein harvest and western blotting with ERK2 as loading control, (D) subcellular fractionation, (E) cell viability assay, (F) colony formation assay, or transwell assay for (G) cell migration and (H) cell invasion capabilities. Scale bar, 200 μm (DOV13) or 100 μm (SKOV3). Assays in (E) were done in triplicates and data are shown as mean ± SD. The numbers of cells on the transwell membrane were counted in 5 random fields and data represent mean ± SD (G, H). All data and images shown are representative of 3 independent experiments, except that the bar graph in (F) shows the mean colony number ± SD from three independent experiments. The numbers below the western blots are densitometry values normalized to the loading control, except for those in (B), which are normalized to the cytosolic level. The P-values shown were calculated using one-way ANOVA with Tukey’s post hoc test. Source data are provided as a Source Data file.