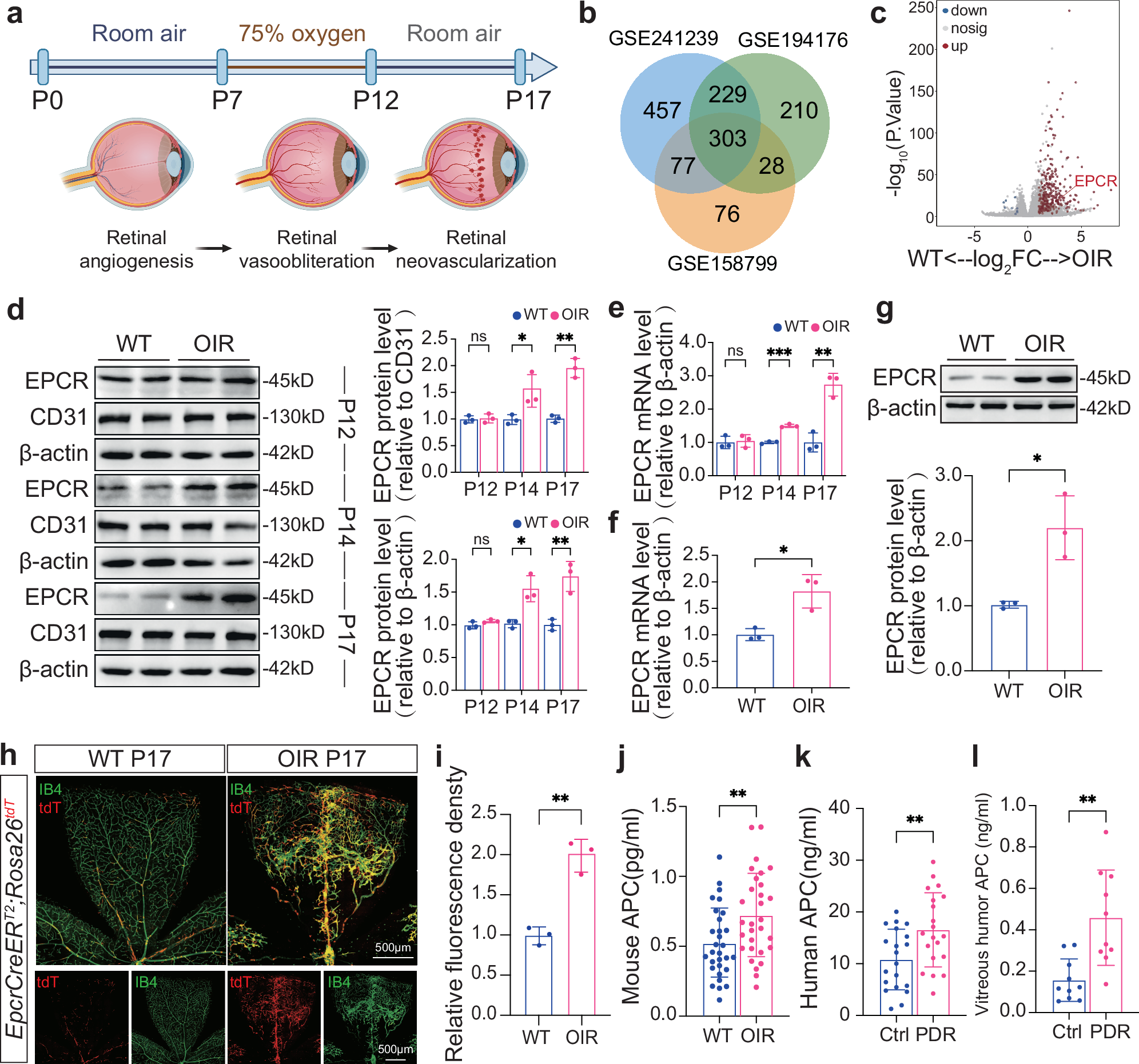
Fig. 1: EPCR is specifically highly expressed in retinal neovascularization.
From: Endothelial protein C receptor promotes retinal neovascularization through heme catabolism

a Illustration of mouse model of OIR and different phases of retinopathy. Created in BioRender. Song, H. (2025) https://BioRender.com/g81i639. b Combined analysis of upregulated genes of three independent RNA-seq data in the retina of OIR mice. GSE241239 was performed in the present study. c Volcano plot of Log2 fold-changed genes of three RNA-seq data. d The protein levels of EPCR in the retina throughout the progression of OIR. n = 3 biological replicates. Relative to β-Actin, Mean ± SD, p = 0.1864, 0.0102, 0.0064 (two-tailed Student’s t-test). Relative to CD31, Mean ± SD, p = 0.8608, 0.0362, 0.0010 (two-tailed Student’s t-test). e The mRNA levels of Epcr of the retina determined by qRT-PCR throughout the progression of OIR. n = 3 biological replicates. Mean ± SD, p = 0.7809, 0.0002, 0.0025 (two-tailed Student’s t-test). f FACS-isolated retinal endothelial cells from OIR mice at P17 showed increased expression of mRNA levels of Epcr. n = 3 biological replicates. Mean ± SD, p = 0.0133 (two-tailed Student’s t-test). g The representative protein levels of EPCR in FACS-isolated retinal endothelial cells from OIR mice. n = 3 biological replicates. Mean ± SD, p = 0.0136 (two-tailed Student’s t-test). h Representative images of lineage tracing of Epcr-positive cells in P17 mice using Epcr-CreERT2; Rosa26tdT mice. Scale bar 500 μm. i Quantification of the fluorescent intensity of Epcr-positive cells. n = 3 biological replicates. Mean ± SD, p = 0.0018 (two-tailed Student’s t-test). j WT (n = 30) and OIR (n = 30) mice serum APC levels were determined using ELISA. Mean ± SD, p = 0.0070 (two-tailed Student’s t-test). k Ctrl (n = 20) and PDR patients (n = 20) serum APC levels were determined with ELISA. Mean ± SD, p = 0.0080 (two-tailed Student’s t-test). l APC levels in Ctrl (n = 10) and PDR (n = 10) vitreous body were determined with ELISA. Mean ± SD, p = 0.0014 (two-tailed Student’s t-test). ∗∗∗p < 0.001, ∗∗p < 0.01, ∗p < 0.05. Source data are provided as a Source Data file.