Fig. 3: Interferon signaling drives elevated GBP expression and hyperinflammation in PolgD257A macrophages.
From: Caspase-11 drives macrophage hyperinflammation in models of Polg-related mitochondrial disease

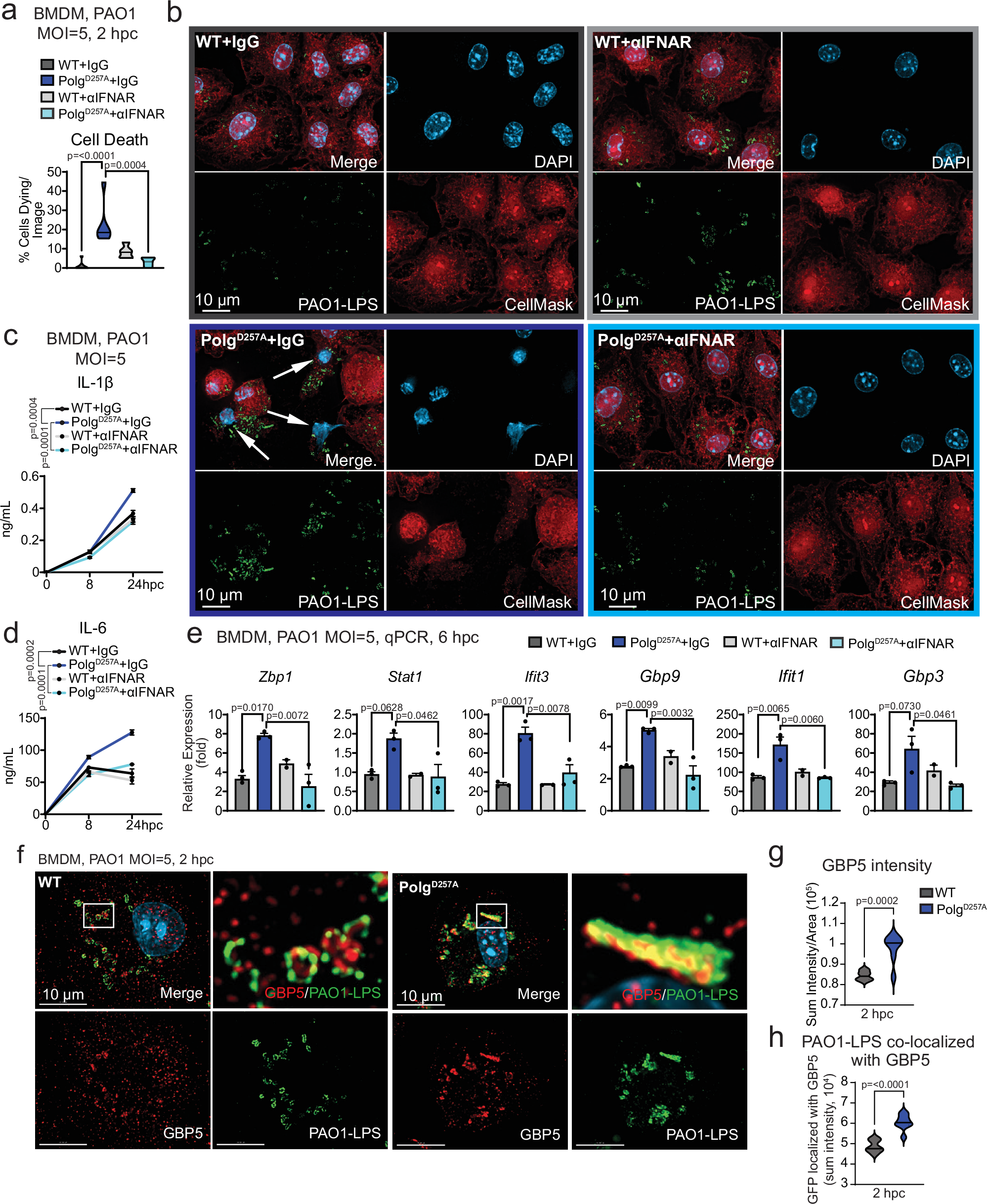
a Percent BMDMs dying after PAO1 and PAO1 plus anti-IFNAR blockade from (b) representative IF. N = 5–6 IF images/genotype/condition. c ELISA analysis of pyroptotic cytokine in BMDM supernatant after PAO1 or PAO1 plus anti-IFNAR blockade. N = 4 biological replicates over 2 timepoints. d ELISA analysis of inflammatory cytokine, IL-6, in BMDM supernatant after PAO1 or PAO1 plus anti-IFNAR blockade. N = 4 biological replicates over 2 timepoints. e qRT-PCR analysis of ISGs in WT and PolgD257A BMDMs after PAO1 and PAO1 plus anti-IFNAR blockade. N = 3 technical replicates/genotype/condition. f Representative IF of BMDMs 2 hpc with PAO1 at a multiplicity of infection (MOI) of 5. Cells were fixed, permeabilized, and stained with DAPI to mark the nucleus, anti-LPS antibody to stain PAO1 LPS, and anti-GBP5 antibody. Representative images from N = 3 experiments. g Sum intensity of GBP5 per cell area and (h) PAO1-LPS localized with GBP5 in BMDMs after PAO1 in (f) IF. N = 7–8 images/genotype. Statistics: (g, h) Two-Sided Student’s t-test (a, e) One-Way ANOVA (c, d) Two-Way ANOVA. Error bars represent SEM. Source data are provided as a Source Data file.