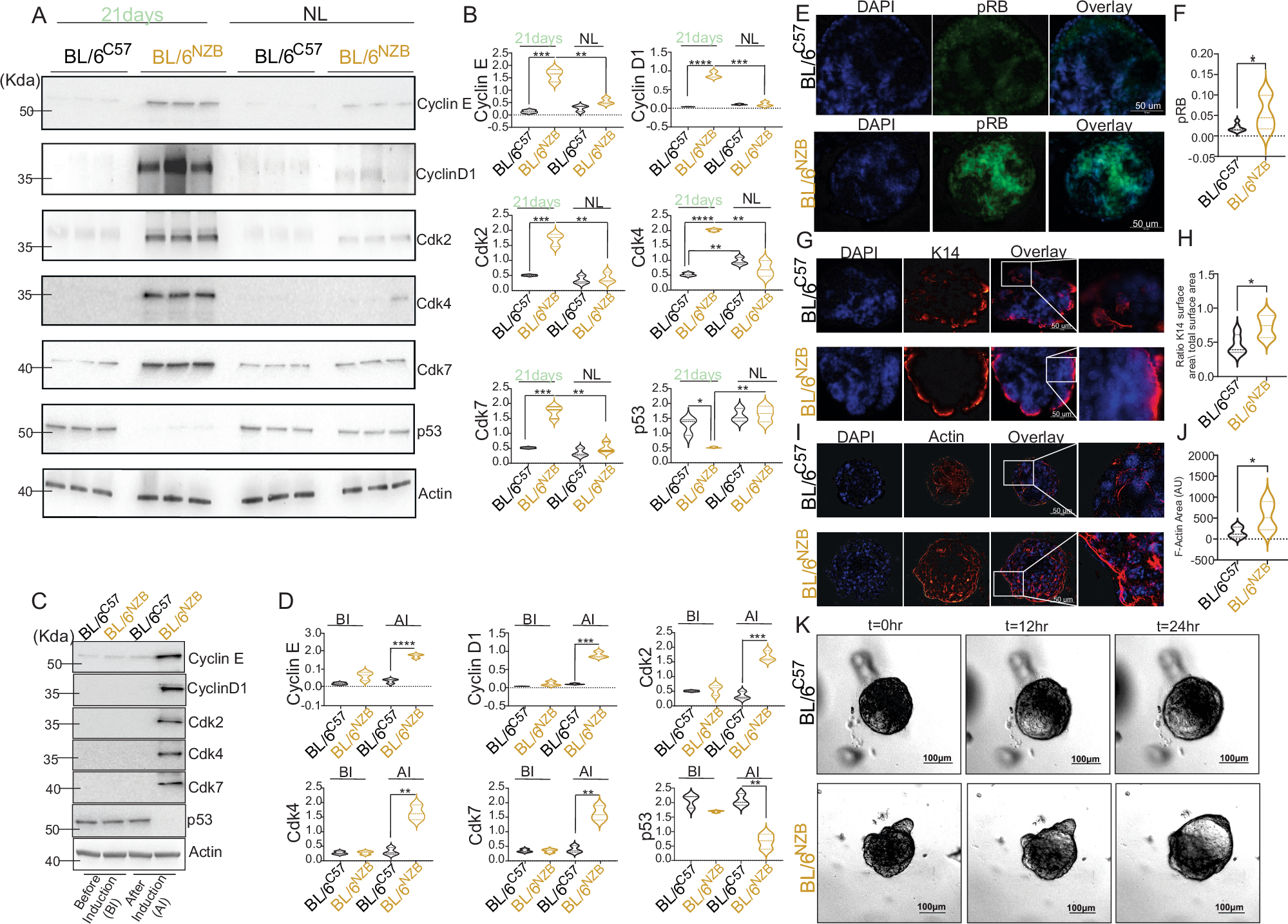
Fig. 2: Lactating mammary glands from BL/6NZB females show activation of the cell cycle and inhibition of p53 in vivo and ex vivo.

A, B Western blot analysis of indicated cell cycle markers and p53 were performed in mammary glands from BL/6C57 or BL/6NZB 3-4 months old, estrus cycle matched non lactating (NL) virgin mice and 3–4 months old lactating (Day 21) female mice (A). Graphs of quantification of western blot analysis (B). Student’s unpaired t test, two-tailed, ***p < 0.0006, **p < 0.0029 for cyclin E; ****p < 0.0001, ***p < 0.0002 for cyclin D1; ***p < 0.006, **p < 0.0017 for cdk2; ****p < 0.001, **p < 0.0010, **p < 0.0045 for cdk4; ***p < 0.006, **p < 0.0017 for cdk7; *p < 0.0111, **p < 0.0018 for p53; mean ± SD; n = 9 mice/group. The representative blot shows 3 individual mice per group. In panels a and b, data are representative of two independent experiments. C Western Blot analysis of cell cycle markers in mammary organoids derived from 3-4 months old, estrus cycle matched BL/6C57 or BL/6NZB virgin female mice before (BI) or after induction (AI) with 1 µg/ml prolactin, 1 µg/ml hydrocortisone and 40 µg/ml oxytocin on the 6th day of organoid culture. D Graphs showing the quantification of western blot analysis in C. Student’s unpaired t test, two-tailed, ****p < 0.0001 for cyclin E; ***p < 0.007 for cyclin D1; ***p < 0.0007 for cdk2; **p < 0.0014 for cdk4; **p < 0.0015 for cdk7; **p < 0.0018 for p53; mean ± SD; n = 9 mice/group. Number of experiments=3. E–J Mammary organoids from 3 to 4 months old, estrus cycle matched BL/6C57 or BL/6NZB female virgin mice induced with 1 µg/ml prolactin, 1 µg/ml hydrocortisone and 40 µg/ml oxytocin were fixed and stained for pRB, K-14, Actin and Dapi. (E, G, I) Representative image of pRB, K-14, Actin, Dapi and overlay. The scale bar represents 50 µm. n = 9 mice/group. Number of experiments=3. F, H, J Graph showing pRB stained region, K-14 surface area compared to total surface area, Actin-stained area which were analyzed using image J software. Student’s unpaired t test, one-tailed, *p < 0.0358 (F); Student’s unpaired t test, two-tailed, *p < 0.0245 (H); Student’s unpaired t test, one-tailed, *p < 0.0276 (J); mean ± SD; n = 9 mice/group. Number of experiments=3. K Primary mammary organoids isolated from 3 to 4 months old, estrus cycle matched, non-lactating BL/6C57 or BL/6NZB virgin female mice were grown for 6 days before induction with 1 µg/ml prolactin and 40 µg/ml oxytocin. Images show representative organoids at the indicated time. The scale bar represents 100 µm. n = 9 mice/group. Number of experiments=3. Source data are provided as a Source Data file. Mice used in all experiments were 2–3 months old at the beginning of the experiments.