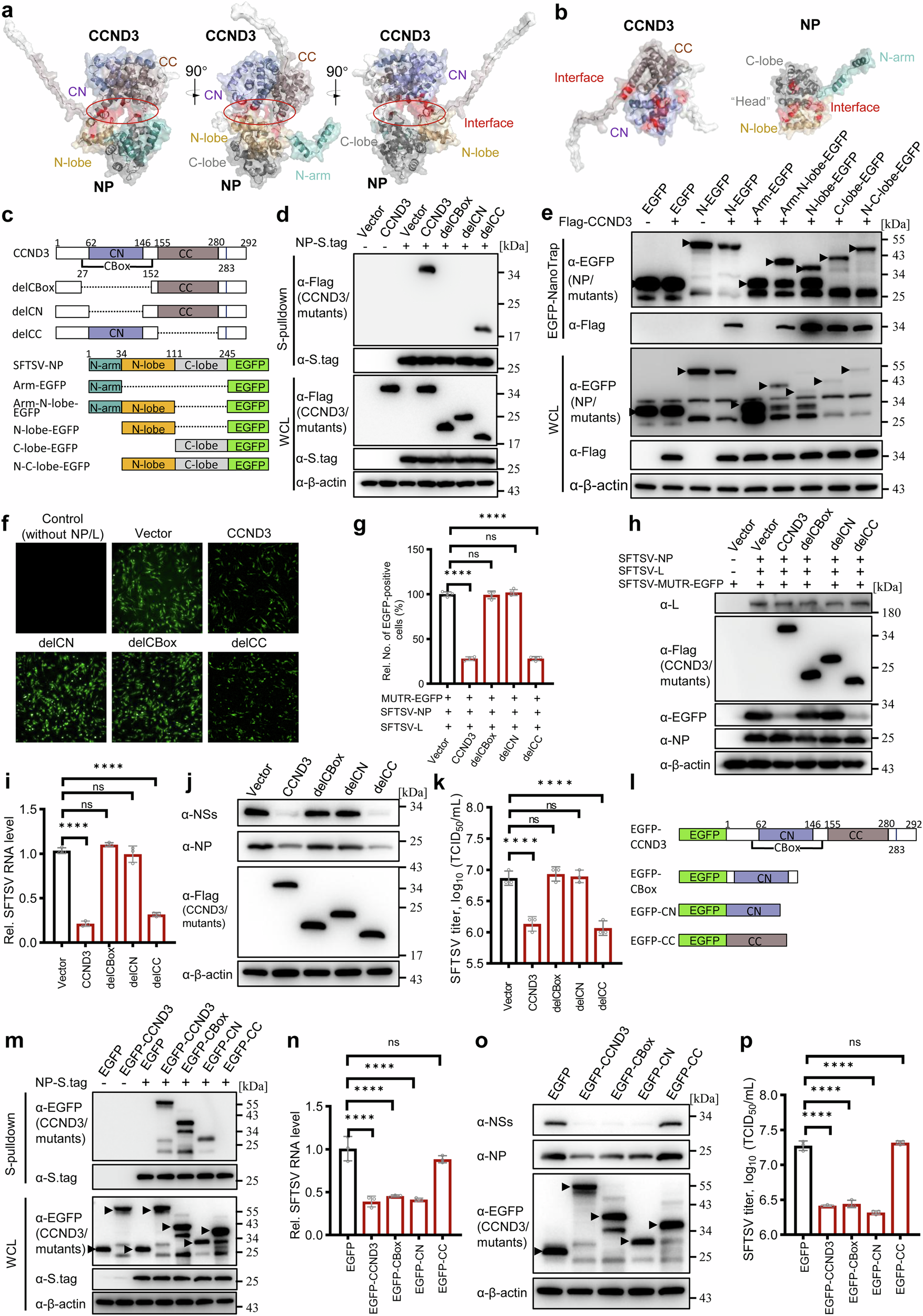
Fig. 7: By its CN domain, CCND3 targets both N- and C-lobes of NP and inhibits the RNP activity and viral replication.

a, b Structural modeling of the CCND3-NP interaction by AlphaFold2. AlphaFold2 modeling reveals a CCND3-NP complex (a) and its interaction interface (a and b, marked in red). The structural domains of CCND3 and SFTSV NP are indicated by different colors. CN, CCND3 N domain; CC, CCND3 C domain. c Schematic diagram of CCND3 and NP truncations used below. CBox, CCND3 Box domain. d Deletion of the CN or CBox, but not CC, disrupts CCND3 targeting of NP. HEK293T cells were co-transfected with the plasmids expressing Flag-tagged CCND3 or mutants and the S-tagged NP expression plasmid, or control vectors (indicated by Vector or “-”), followed by S-pulldown and WB analyses. e Both the N- and C-lobes, but not N-arm, of NP can be targeted by CCND3. Plasmids encoding EGFP or EGFP-tagged NP mutants and CCND3 were co-transfected into HEK293T cells, followed by EGFP-NanoTrap assays and WB analysis. EGFP-fused bait protein bands are indicated by arrowheads. f–h CN is required for CCND3 inhibition on SFTSV RNP activity. Effects of CCND3 or mutant expression on SFTSV EGFP-based minigenome reporter were evaluated by imaging (f), calculation of relative reporter activities (g), and WB (h). i–k CN (but not CC) is essential to CCND3 restriction of SFTSV replication and propagation. Effects of the indicated CCND3 mutants on SFSTV infection were analyzed at 24 hpi by qPCR (i), WB (j), and TCID50 assays (k), respectively. l–p CN expression alone can target NP and inhibit SFTSV infection. Targeting of NP by individual CCND3 domains tagged with EGFP (l) was analyzed by S-pulldown (m). The anti-SFTSV activities were tested by qPCR (n), WB (o), and progeny titration (p). Data in (d–f, h, j, m and o) are representative from three independent replicates with similar results. Data in (g, i, k, n, and p) are presented as means ± SD, n = 3 biological replicates. One-way ANOVA: ****p < 0.0001; ns, non-significant. Source data are provided as a Source Data file.