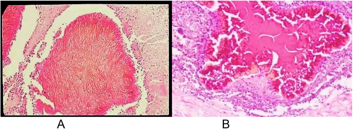
Fig. 3: The filamentous and the vesicular Madurella mycetomatis grain.
From: The contribution of mycetoma grains to suboptimal disease management

A The filamentous Madurella mycetomatis grain. Stained with H&E X40. B The vesicular Madurella mycetomatis grain. Stained with H&E X40.